Tìm hiểu chung về suy giảm nhận thức
Nhận thức là gì?
Nhận thức là quá trình liên quan đến tâm thần kinh giúp chúng ta tiếp nhận thông tin qua giác quan, xử lý và phân tích thông tin, lưu trữ kiến thức và sử dụng thông tin để suy nghĩ và hành động. Nhờ nhận thức, con người có thể học hỏi từ kinh nghiệm và thích nghi với môi trường sống.
Nhận thức bao gồm nhiều chức năng cao cấp của não bộ như:
- Chú ý;
- Trí nhớ;
- Ngôn ngữ;
- Hiểu và diễn đạt;
- Lập kế hoạch;
- Ra quyết định;
- Lý luận và phán đoán;
- Định hướng không gian.
Suy giảm nhận thức là gì?
Suy giảm nhận thức là thuật ngữ dùng để mô tả sự suy giảm ở một hoặc nhiều lĩnh vực nhận thức như trí nhớ, khả năng tập trung, ngôn ngữ, tư duy logic, tốc độ xử lý thông tin.
Tình trạng này có thể xảy ra tạm thời (do stress, nhiễm trùng, rối loạn chuyển hóa…) hoặc tiến triển mạn tính và không hồi phục (như trong bệnh Alzheimer).
Khi suy giảm nhận thức trở nên nghiêm trọng và ảnh hưởng đáng kể đến chức năng xã hội và nghề nghiệp, nó có thể được chẩn đoán là rối loạn thần kinh nhận thức.
Tần suất suy giảm nhận thức do nhiều nguyên nhân khác nhau chưa được xác định chính xác. Tuy nhiên, tuổi cao là yếu tố nguy cơ quan trọng nhất.
Alzheimer là nguyên nhân phổ biến nhất của sa sút trí tuệ. Ngoài ra, suy giảm nhận thức còn có thể liên quan đến nhiều bệnh lý khác như bệnh mạch máu não, chấn thương sọ não, rối loạn chuyển hóa hoặc nhiễm trùng hệ thần kinh trung ương.
Nguy cơ sa sút trí tuệ tăng rõ rệt theo tuổi và trở thành một vấn đề sức khỏe quan trọng trong bối cảnh già hóa dân số. Điều này đặt ra thách thức lớn đối với hệ thống y tế, đặc biệt trong việc phát hiện sớm, quản lý và chăm sóc người bệnh lâu dài.
Triệu chứng suy giảm nhận thức
Những dấu hiệu và triệu chứng của suy giảm nhận thức
Suy giảm nhận thức không phải là một bệnh riêng lẻ mà là biểu hiện của một tình trạng bệnh lý nền. Người bệnh có thể tự nhận thấy sự thay đổi nhưng đa số trường hợp được phát hiện bởi người thân hoặc người chăm sóc trực tiếp. Các dấu hiệu thường gặp bao gồm:
- Hay quên, lặp lại câu hỏi hoặc kể đi kể lại một câu chuyện.
- Khó học và tiếp thu một điều mới.
- Giảm khả năng tập trung.
- Khó diễn đạt hoặc tìm từ ngữ phù hợp khi nói.
- Giảm khả năng nhận biết người quen hoặc địa điểm quen thuộc.
- Dễ bối rối và lạc lõng trong môi trường mới.
- Thay đổi tâm trạng (cáu gắt, lo âu, trầm buồn).
- Thay đổi hành vi hoặc tính cách.
- Khó thực hiện các công việc hằng ngày từng làm được trước đây.

Nếu suy giảm nhận thức mức độ nhẹ, người bệnh vẫn sinh hoạt độc lập nhưng có thay đổi về trí nhớ hoặc tư duy. Tuy nhiên nếu bệnh diễn tiến nặng (sa sút trí tuệ), người bệnh không còn khả năng tự chăm sóc do mất khả năng lập kế hoạch, phán đoán và thực hiện các hoạt động sinh hoạt hằng ngày.
Suy giảm nhận thức có thể đi kèm các triệu chứng khác tùy vào bệnh lý nền:
- Do nhiễm trùng: Sốt, đau đầu, cứng cổ, buồn nôn, nôn, phát ban, co giật.
- Do rối loạn chuyển hóa: Đau bụng, khó thở, mệt mỏi, nhịp tim nhanh hoặc chậm, yếu cơ, khát nhiều, tiểu nhiều, mất ý thức.
- Do chấn thương đầu, đột quỵ, sa sút trí tuệ: Thay đổi hành vi hoặc nhân cách, rối loạn thị giác, mất thăng bằng, đau đầu dữ dội, tê yếu tay chân, liệt, rối loạn giấc ngủ.
Biến chứng của suy giảm nhận thức
Suy giảm nhận thức có thể là dấu hiệu của các bệnh lý nghiêm trọng như đột quỵ, nhiễm trùng thần kinh trung ương hoặc rối loạn chuyển hóa nguy hiểm vì thế cần loại trừ các bệnh lý cấp tính này.
Nếu không được phát hiện và điều trị kịp thời, suy giảm nhận thức có thể dẫn đến:
- Chậm phát triển ở trẻ em.
- Khó khăn học tập.
- Rối loạn ngôn ngữ và thính giác.
- Yếu hoặc liệt chi.
- Mất trí nhớ vĩnh viễn.
- Thay đổi nhân cách.
- Mất khả năng sống độc lập.
- Tăng nguy cơ té ngã và chấn thương.
- Tàn tật lâu dài.
- Hôn mê (trong trường hợp nặng).
Khi nào cần gặp bác sĩ?
Cần đưa người bệnh đi cấp cứu ngay khi có các dấu hiệu sau:

Bạn nên khám sớm nếu có các dấu hiệu:
- Trí nhớ giảm dần theo thời gian.
- Lặp lại câu hỏi nhiều lần.
- Gặp khó khăn trong sinh hoạt hằng ngày.
- Thay đổi tính cách bất thường.
- Khó giao tiếp hoặc mất khả năng định hướng.
Nguyên nhân gây suy giảm nhận thức
Bản chất của suy giảm nhận thức là tổn thương tế bào thần kinh trong não. Tổn thương có thể xảy ra ở chất xám (vỏ não, đồi thị, hạch nền) hoặc chất trắng (bao myelin và các đường dẫn truyền giữa các vùng não).
Tùy vị trí tổn thương sẽ gây ra biểu hiện khác nhau:
- Tổn thương thùy trán gây giảm khả năng lập kế hoạch, tư duy trừu tượng, phán đoán.
- Tổn thương thùy thái dương gây giảm trí nhớ, rối loạn ngôn ngữ.
- Tổn thương thùy đỉnh gây giảm khả năng định hướng không gian, khó thực hiện động tác quen thuộc.
Các nguyên nhân chính gây tổn thương não bao gồm:
- Bệnh lý thoái hóa thần kinh gây tổn thương tế bào thần kinh thông qua cơ chế miễn dịch và tích tụ protein bất thường như: Alzheimer, Parkinson, Huntington, đa xơ cứng (Multiple sclerosis),...
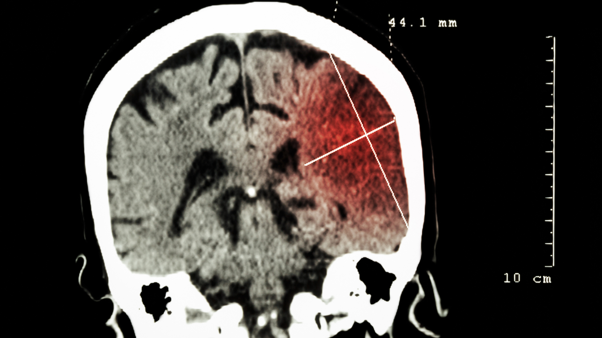
- Thiếu máu não và tổn thương mạch máu như đột quỵ nhồi máu não hoặc xuất huyết não, thiếu máu não mạn tính.
- Chấn thương và tổn thương trực tiếp như chấn thương sọ não, u não, phẫu thuật não.
- Rối loạn chuyển hóa và độc tố như đái tháo đường, rối loạn điện giải, thiếu vitamin, ngộ độc kim loại nặng, tiếp xúc hóa chất độc.
- Nhiễm trùng như viêm não, viêm màng não hoặc nhiễm trùng toàn thân nặng.

Nguy cơ mắc phải suy giảm nhận thức
Những ai có nguy cơ mắc phải suy giảm nhận thức?
Suy giảm nhận thức có thể gặp ở mọi lứa tuổi nhưng nguy cơ cao hơn ở:
- Người cao tuổi (yếu tố nguy cơ mạnh nhất).
- Người mang gen APOE e4 (liên quan đến Alzheimer). Tuy nhiên mang gen không đồng nghĩa chắc chắn mắc bệnh.
- Người có tiền sử đột quỵ hoặc chấn thương sọ não.
- Người mắc bệnh mạn tính như tiểu đường, tăng huyết áp.
- Người ít vận động, ít hoạt động trí tuệ.
- Người có trình độ học vấn thấp.
- Người bị trầm cảm kéo dài.
- Người có suy giảm thính lực hoặc thị lực không điều trị.

Yếu tố làm tăng nguy cơ mắc phải suy giảm nhận thức
Ngoài tuổi cao và yếu tố di truyền, nhiều yếu tố có thể làm tăng nguy cơ:
- Yếu tố bệnh lý như đái tháo đường, tăng huyết áp, rối loạn mỡ máu (đặc biệt LDL cao), béo phì, trầm cảm, ngưng thở khi ngủ do tắc nghẽn, chấn thương sọ não.
- Hút thuốc lá.
- Ít vận động thể lực.
- Thiếu hoạt động kích thích trí tuệ.
- Ít giao tiếp xã hội.
- Ô nhiễm không khí kéo dài.
Phương pháp chẩn đoán và điều trị suy giảm nhận thức
Phương pháp xét nghiệm và chẩn đoán suy giảm nhận thức
Hiện nay không có một xét nghiệm đơn lẻ nào có thể chẩn đoán suy giảm nhận thức. Tiêu chuẩn chẩn đoán suy giảm nhận thức thường dựa trên:
- Có thay đổi về trí nhớ hoặc chức năng nhận thức khác (lập kế hoạch, ra quyết định, làm theo hướng dẫn…).
- Suy giảm tiến triển theo thời gian.
- Có thể còn hoặc giảm khả năng sinh hoạt độc lập.
- Điểm test nhận thức thấp hơn mức trung bình theo tuổi và trình độ học vấn.
Khám thần kinh nhằm đánh giá phản xạ, vận động mắt, thăng bằng, dáng đi nhằm loại trừ Parkinson, đột quỵ, u não…
Một số xét nghiệm cận lâm sàng có thể được chỉ định gồm:
- Xét nghiệm máu: Định lượng vitamin B12, hormone tuyến giáp, đường huyết, điện giải, dấu ấn sinh học Alzheimer (trong một số trường hợp).
- Chọc dò dịch não tủy.
- Phân tích protein liên quan Alzheimer (amyloid, tau).
- Chẩn đoán hình ảnh như MRI/CT scan để phát hiện u não, đột quỵ, xuất huyết, PET scan giúp đánh giá lắng đọng protein bất thường.

Phương pháp điều trị suy giảm nhận thức
Điều trị suy giảm nhận thức phụ thuộc vào nguyên nhân gây bệnh
Đối với nguyên nhân có thể hồi phục
- Ngưng hoặc điều chỉnh thuốc gây ảnh hưởng nhận thức (benzodiazepine, thuốc kháng cholinergic…).
- Điều trị thiếu vitamin B12.
- Kiểm soát rối loạn tuyến giáp.
- Điều trị trầm cảm.
- Điều trị ngưng thở khi ngủ.
- Kiểm soát tăng huyết áp và đái tháo đường.

Đối với bệnh Alzheimer
- Kháng thể đơn dòng như lecanemab hoặc donanemab. Tác dụng làm giảm tích tụ mảng amyloid trong não và làm chậm suy giảm nhận thức
- Loại thuốc này cũng có thể gây ra các tác dụng phụ nghiêm trọng như phù não, xuất huyết não nhỏ hoặc co giật (hiếm gặp). Lưu ý: Người mang gen APOE e4 có nguy cơ cao hơn gặp tác dụng phụ.
Chế độ sinh hoạt và phòng ngừa suy giảm nhận thức
Những thói quen sinh hoạt có thể giúp bạn hạn chế diễn tiến của suy giảm nhận thức
Chế độ sinh hoạt
Các nghiên cứu cho thấy lối sống đóng vai trò rất quan trọng, bao gồm:
- Vận động thể chất: Tập thể dục ít nhất 150 phút/tuần, ưu tiên đi bộ nhanh, bơi, đạp xe. Việc này giúp tăng tưới máu não và kích thích tạo synapse mới.
- Kích thích trí tuệ như đọc sách, học các kỹ năng mới (trang điểm, làm tóc, nấu ăn,...), chơi cờ, sudoku, học ngoại ngữ,...
- Duy trì giao tiếp xã hội như tham gia sinh hoạt cộng đồng, gặp gỡ bạn bè, hoạt động nhóm.
- Ngủ đủ giấc từ 7 - 8 tiếng/ngày, điều trị ngưng thở khi ngủ (nếu có).
- Kiểm soát các bệnh mạn tính như tăng huyết áp, đái tháo đường, rối loạn mỡ máu.
Chế độ dinh dưỡng
Chế độ ăn uống có vai trò bảo vệ và phục hồi tế bào thần kinh:
- Chế độ ăn Địa Trung Hải (Mediterranean diet) gồm nhiều rau xanh, trái cây, cá biển, dầu olive, các loại hạt và hạn chế thịt đỏ và thực phẩm chế biến sẵn.
- Bổ sung các loại thực phẩm giàu omega-3 như cá hồi, cá thu, hạt lanh, quả bơ,...
- Bổ sung các vitamin nhóm B (B6, B12, folate) có trong rau lá xanh đậm, ngũ cốc nguyên hạt,...
- Bổ sung các thực phẩm giàu chất chống oxy hóa như dâu tây, việt quất, mâm xôi, trà xanh,...
Bên cạnh đó cần hạn chế một số nhóm thực phẩm như:
- Đường tinh luyện;
- Chất béo bão hòa;
- Rượu bia.
Phương pháp phòng ngừa suy giảm nhận thức
Không phải tất cả các trường hợp suy giảm nhận thức đều có thể phòng ngừa (đặc biệt do tuổi già hoặc yếu tố di truyền). Tuy nhiên, nhiều nghiên cứu cho thấy có thể giảm nguy cơ và làm chậm tiến triển bằng các biện pháp sau:
- Kiểm soát tốt bệnh mạn tính: Duy trì huyết áp ổn định, kiểm soát đường huyết nếu mắc đái tháo đường, điều trị rối loạn mỡ máu, theo dõi và điều trị bệnh tim mạch.
- Duy trì vận động thể chất thường xuyên.
- Kích thích trí tuệ liên tục như đọc sách, học kỹ năng mới, học ngoại ngữ, tham gia hoạt động đòi hỏi sự tư duy.
- Ngủ đủ giấc và tích cực điều trị rối loạn giấc ngủ.
- Chế độ ăn uống lành mạnh.
- Tránh các yếu tố nguy cơ như thuốc lá, rượu bia.
- An toàn giao thông để tránh chấn thương sọ não.

:format(webp)/470051785_8767135473405056_691967411107495592_n_6b2bbff755.png)
:format(webp)/467434554_545745841560409_1066418224364723785_n_560a494f9c.png)
:format(webp)/benh_a_z_suy_giam_nhan_thuc_2_c6ec22b263.jpg)
/10_Phu_gai_thi_630e6dc54b.jpg)
/liet_mat_ngoai_bien_nguyen_nhan_dau_hieu_va_cach_dieu_tri_b0cf4e6e76.jpg)
/u_than_kinh_o_tre_nhan_biet_som_de_han_che_bien_chung_ca91e5f246.jpg)
/dien_nao_do_cua_nguoi_tram_cam_co_y_nghia_gi_4_01a1a694a2.png)
/lam_gi_khi_bi_dau_dau_du_doi_cach_giam_dau_hieu_qua_va_nhung_dieu_can_biet_1_8fc1f3bf0f.png)