Sâu chân răng không chỉ gây cảm giác đau nhức khó chịu mà còn tiềm ẩn nguy cơ làm hư hại vĩnh viễn răng nếu không được xử lý đúng cách. Tình trạng này thường xuất phát từ việc vệ sinh răng miệng chưa đầy đủ hoặc ăn nhiều đường. Cùng tìm hiểu về các dấu hiệu của sâu chân răng và hướng dẫn cách điều trị, giúp bạn ngăn ngừa biến chứng và bảo vệ sức khỏe răng miệng.
Sâu chân răng là gì?
Sâu chân răng là tình trạng tổn thương men và ngà răng ở phần chân răng, nơi tiếp giáp với nướu, thường biểu hiện bằng các đốm ố vàng, đen hoặc xám. Nguyên nhân chủ yếu là do vi khuẩn trong mảng bám răng giải phóng axit làm bào mòn cấu trúc răng. Nếu không được phát hiện và điều trị kịp thời, sâu chân răng có thể dẫn đến viêm tủy, mất răng vĩnh viễn và tăng nguy cơ các bệnh nha chu khác. Đây là vấn đề phổ biến, ảnh hưởng đến cả trẻ em lẫn người trưởng thành và người cao tuổi.

Nguyên nhân sâu chân răng
Sâu chân răng là hệ quả của nhiều yếu tố tác động trực tiếp và gián tiếp đến sức khỏe răng miệng. Hiểu rõ nguyên nhân giúp phòng ngừa hiệu quả và hạn chế biến chứng nghiêm trọng như viêm tủy hay mất răng vĩnh viễn. Một số nguyên nhân phổ biến bao gồm:
- Vệ sinh răng miệng sai cách: Đánh răng không đều đặn (ít nhất 2 lần/ngày), không kỹ hoặc bỏ qua việc làm sạch sau bữa ăn tạo điều kiện cho mảng bám và vi khuẩn phát triển, dẫn tới sâu chân răng.
- Đánh răng mạnh, dùng bàn chải quá cứng: Hành động này làm mòn men răng, tổn thương nướu và tăng nguy cơ ê buốt, sâu răng theo thời gian.
- Tuổi tác: Người lớn tuổi thường gặp tình trạng tụt nướu, để lộ bề mặt chân răng, từ đó vi khuẩn dễ xâm nhập và gây sâu răng.
- Các bệnh về răng miệng: Viêm nha chu, viêm nướu làm suy yếu lớp bảo vệ tự nhiên, tạo điều kiện cho mảng bám tích tụ và hình thành sâu răng.
- Yếu tố di truyền: Men răng yếu, cổ răng mòn sớm hay cấu trúc răng không chắc khỏe đều làm tăng nguy cơ sâu răng.
- Bệnh tiểu đường: Hệ miễn dịch suy giảm ở bệnh nhân tiểu đường làm tăng nguy cơ nhiễm trùng nướu và sâu răng nghiêm trọng.
- Hút thuốc lá: Thuốc lá và xì gà ảnh hưởng xấu tới men răng, gây vàng răng và gia tăng khả năng mắc các bệnh nha chu.
- Sử dụng thuốc tây: Một số thuốc gây khô miệng, giảm tiết nước bọt, tạo môi trường thuận lợi cho vi khuẩn phát triển.
- Chấn thương răng: Răng bị nứt, gãy hoặc tổn thương là nơi lý tưởng cho vi khuẩn tích tụ, dẫn đến sâu chân răng.
- Răng không đều, lệch lạc: Khó làm sạch răng đúng cách khiến mảng bám tồn tại lâu hơn, làm tăng nguy cơ viêm nướu và sâu răng.
Dấu hiệu chân răng bị sâu
Sâu chân răng thường tiến triển âm thầm và ở vị trí khó quan sát, vì vậy nhiều người chỉ phát hiện khi tổn thương đã lan rộng. Dưới đây là những dấu hiệu cho thấy chân răng bị sâu:
Đau nhức và cảm giác rát tại vùng chân răng
Cơn đau xuất hiện khi sâu làm tổn thương men và ngà răng, khiến các sợi thần kinh bên dưới bị kích thích. Người bệnh có thể cảm thấy đau âm ỉ, đau buốt theo đợt hoặc tăng lên rõ rệt khi nhai, cắn hoặc chạm vào vị trí tổn thương.

Tăng nhạy cảm với nhiệt độ và kích thích
Răng trở nên dễ ê buốt khi tiếp xúc với thức ăn nóng, lạnh, chua hoặc ngọt. Đây là biểu hiện của tình trạng men răng bị mòn, ngà răng lộ ra, làm tăng dẫn truyền cảm giác đau.
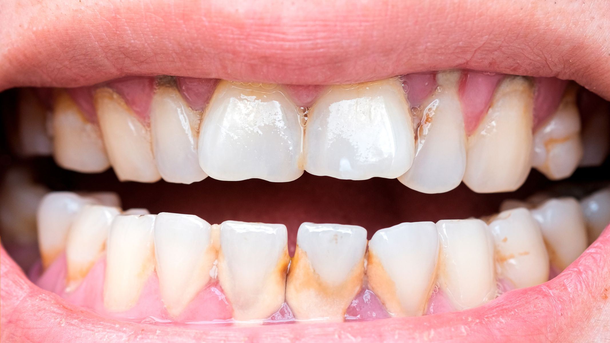
Thay đổi màu sắc chân răng
Chân răng có thể chuyển sang vàng sẫm, nâu hoặc đen. Sự đổi màu này phản ánh quá trình phân rã mô răng do vi khuẩn gây sâu tiết acid phá hủy cấu trúc men và ngà.

Hình thành lỗ sâu hoặc bề mặt răng thô ráp
Khi tổn thương tiến triển, bề mặt chân răng trở nên gồ ghề, xuất hiện các hố nhỏ hoặc khe lõm. Đây là dấu hiệu sâu răng đã lan rộng và cần điều trị nha khoa ngay.
Điều trị sâu chân răng thế nào?
Điều trị sâu chân răng phụ thuộc vào mức độ tổn thương của men - ngà răng và tình trạng viêm tại vùng chân răng. Lựa chọn phương pháp phù hợp giúp bảo tồn răng tự nhiên, hạn chế đau nhức và ngăn ngừa diễn tiến thành viêm tủy, áp xe hay mất răng vĩnh viễn. Dưới đây là các phương pháp điều trị thường được áp dụng:
Hàn răng (Trám răng)
Hàn răng là kỹ thuật tiêu chuẩn trong điều trị sâu chân răng mức độ nhẹ đến trung bình, khi vùng tổn thương chưa xâm lấn sâu vào tủy răng. Bác sĩ sẽ làm sạch mô răng bị sâu, sau đó sử dụng vật liệu trám như composite hoặc glass ionomer có khả năng bám dính cao, chịu lực tốt để lấp đầy lỗ sâu. Quá trình thường kéo dài 15-20 phút và hầu như không gây đau.
- Ưu điểm: Giúp phục hồi hình thể răng, ngăn sâu lan rộng, cải thiện thẩm mỹ và giảm ê buốt.
- Nhược điểm: Độ bền phụ thuộc vào kỹ thuật và thói quen ăn nhai; vật liệu có thể bong sau thời gian dài; không phù hợp với tổn thương quá sâu hoặc liên quan tủy.

Điều trị tủy răng
Khi sâu răng đã lan đến buồng tủy gây viêm hoặc nhiễm trùng, phương pháp điều trị tủy là bắt buộc nhằm giữ lại răng. Bác sĩ sẽ loại bỏ toàn bộ mô tủy viêm, làm sạch hệ thống ống tủy bằng dụng cụ chuyên dụng, sau đó trám bít kín để ngăn vi khuẩn xâm nhập trở lại. Cuối cùng, răng có thể được phục hình bằng mão sứ để tăng độ bền.
- Ưu điểm: Bảo tồn răng thật, loại bỏ đau nhức và viêm nhiễm.
- Nhược điểm: Nếu chăm sóc không đúng, răng vẫn có thể bị sâu trở lại hoặc gãy vỡ do cấu trúc răng đã yếu.
Tái khoáng men răng
Tái khoáng phù hợp với sâu răng giai đoạn sớm, khi tổn thương mới xảy ra ở men răng và chưa tạo lỗ sâu rõ rệt. Phương pháp sử dụng fluor, canxi và phosphate để bổ sung khoáng chất cho men răng, giúp tăng độ cứng và giảm nhạy cảm.
- Ưu điểm: Ngăn tiến triển sâu răng, hỗ trợ phục hồi men răng và giảm ê buốt.
- Nhược điểm: Không hiệu quả với sâu răng nặng hoặc đã tổn thương tới ngà - tủy răng.
Nhổ răng
Trong trường hợp sâu chân răng lan rộng, gây phá hủy gần như toàn bộ thân và chân răng, không thể bảo tồn bằng các phương pháp nội nha, nhổ răng là lựa chọn cuối cùng. Sau khi nhổ, bệnh nhân có thể cần trồng răng implant, cầu răng hoặc hàm giả để khôi phục chức năng và thẩm mỹ.
Cách phòng ngừa chân răng bị sâu hiệu quả
Ngăn ngừa sâu chân răng luôn quan trọng hơn điều trị, khi tổn thương tại vùng chân răng thường tiến triển nhanh và dễ gây viêm tủy. Áp dụng đúng các biện pháp chăm sóc răng miệng dưới đây sẽ giúp bảo vệ men - ngà răng, hạn chế mảng bám và tối ưu sức khỏe răng nướu:
- Duy trì vệ sinh răng miệng chuẩn: Chải răng tối thiểu 2 lần/ngày với kem đánh răng chứa fluoride để hỗ trợ tái khoáng và ức chế vi khuẩn tạo axit. Ưu tiên bàn chải lông mềm hoặc bàn chải điện nếu khó làm sạch theo kỹ thuật xoay tròn.
- Sử dụng chỉ nha khoa hoặc tăm nước: Làm sạch kẽ răng ngay sau bữa ăn nhằm loại bỏ mảng bám nằm sâu giữa hai răng.
- Súc miệng sát khuẩn: Dùng nước súc miệng chứa fluor hoặc chlorhexidine theo hướng dẫn để giảm vi khuẩn khoang miệng và hỗ trợ bảo vệ phần chân răng.
- Kiểm soát chế độ ăn: Hạn chế đường đơn và đồ uống có tính acid (nước ngọt, trà sữa, nước có gas). Ưu tiên thực phẩm giàu canxi, phốt pho, vitamin D để tối ưu hóa cấu trúc men răng.
- Khám răng định kỳ 6 tháng/lần: Giúp phát hiện sớm sâu răng giai đoạn men, viêm nướu hoặc tụt lợi.

Sâu chân răng là một bệnh lý răng miệng tiến triển âm thầm nhưng có thể gây tổn thương nghiêm trọng nếu không được phát hiện và xử lý kịp thời. Bên cạnh điều trị, chăm sóc răng miệng đúng cách và duy trì lối sống dinh dưỡng lành mạnh cũng giúp phòng ngừa sâu chân răng dài lâu. Nếu bạn đang gặp bất kỳ biểu hiện nào nghi ngờ sâu răng, hãy đến cơ sở nha khoa uy tín để được chẩn đoán và điều trị sớm nhất.
:format(webp)/470051785_8767135473405056_691967411107495592_n_6b2bbff755.png)
:format(webp)/467434554_545745841560409_1066418224364723785_n_560a494f9c.png)
/nho_rang_kieng_an_gi_de_giam_dau_nhanh_lanh_tranh_bien_chung_ac256711b6.jpg)
/benh_a_z_nam_mieng_ee44900499.png)
/benh_a_z_chay_mau_chan_rang_d6660b8c52.jpg)
/tho_bang_mieng_co_tot_khong_cach_khac_phuc_thoi_quen_tho_bang_mieng_1_e084882f7b.png)
/huong_dan_cach_tri_dau_rang_tai_nha_nhanh_chong_hieu_qua_2_275a204f19.png)