Tìm hiểu chung về sâu răng
Sâu răng là những lỗ hổng hoặc vùng tổn thương hình thành trên bề mặt răng. Đây là kết quả của quá trình phân hủy các mô cứng của răng (men răng, ngà răng và xi măng chân răng). Quá trình này xảy ra khi axit trong miệng làm mòn (ăn mòn) lớp men răng cứng bên ngoài. Sâu răng là kết quả của vi khuẩn gây sâu răng bám vào răng, chủ yếu là Streptococcus mutans, chuyển hóa đường thành axit, làm mất khoáng cấu trúc răng theo thời gian. Sâu răng có thể hình thành trên cả thân răng (phần trên của răng) hoặc chân răng.
Có ba loại sâu răng chính:
- Sâu bề mặt nhẵn: Loại sâu này tiến triển chậm do quá trình hòa tan men răng. Nó thường xuất hiện ở những người trong độ tuổi 20 tuổi, lỗ sâu răng thường xuất hiện ở giữa các răng và có thể được ngăn ngừa hoặc đôi khi đảo ngược bằng vệ sinh răng miệng đúng cách.
- Sâu hố và rãnh: Loại này hình thành trên mặt nhai của răng, đặc biệt là ở răng hàm sau. Tình trạng này có xu hướng bắt đầu ở tuổi thiếu niên và tiến triển nhanh chóng.
- Sâu chân răng: Loại này phổ biến hơn ở người lớn có nướu bị tụt. Tụt nướu làm lộ chân răng, có nhiều mảng bám khiến việc ngăn ngừa và điều trị trở nên khó khăn.
Sâu răng có thể ảnh hưởng đến tất cả các lớp của răng, trải qua năm giai đoạn chính:
- Mất khoáng: Giai đoạn đầu tiên, có thể thấy các đốm trắng nhỏ, phấn trên răng do mất khoáng men răng.
- Sâu men răng: Nếu không được điều trị, sâu răng tiến triển và tiếp tục phá vỡ men răng. Lúc này, các lỗ hổng (sâu răng) có thể trở nên rõ ràng và các đốm trắng có thể chuyển sang màu nâu nhạt.
- Sâu ngà răng: Ngà răng là lớp ngay dưới men răng, mềm hơn men răng nhiều. Khi mảng bám và vi khuẩn đến lớp này, sâu răng hình thành nhanh hơn. Răng có thể trở nên nhạy cảm và các đốm có thể chuyển sang màu nâu sẫm hơn.
- Tổn thương tủy răng: Tủy răng là lớp trong cùng của răng, chứa dây thần kinh và mạch máu. Khi sâu răng lan đến tủy thường gây đau, nướu sưng đỏ và các đốm trên răng có thể chuyển sang màu nâu sẫm hoặc đen.
- Áp xe răng: Nếu không được điều trị, sâu răng sâu có thể gây nhiễm trùng, tạo thành một túi mủ ở đầu chân răng (áp xe quanh chóp). Các triệu chứng có thể bao gồm đau răng lan xuống hàm hoặc mặt, sưng mặt và sưng hạch bạch huyết ở cổ. Nhiễm trùng có thể lan sang các mô xung quanh và các bộ phận khác của cơ thể, hiếm khi lan đến não hoặc máu (nhiễm trùng huyết).
Triệu chứng thường gặp của sâu răng
Những triệu chứng của sâu răng
Ban đầu, sâu răng trên bề mặt men răng thường không gây đau hoặc triệu chứng. Bạn có thể không cảm thấy sâu răng cho đến khi nó lan đến ngà răng hoặc tủy răng. Khi sâu răng tiến triển, các triệu chứng có thể bao gồm:
- Đau răng hoặc đau miệng.
- Răng nhạy cảm với thức ăn hoặc đồ uống nóng, lạnh hoặc ngọt.
- Hôi miệng hoặc có vị khó chịu trong miệng.
- Chảy máu nướu răng hoặc các dấu hiệu khác của bệnh nướu răng.
- Sưng mặt.
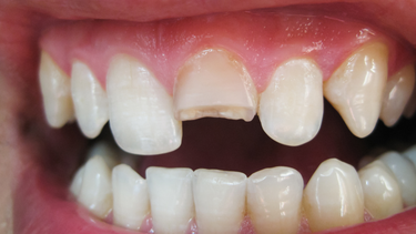
- Những đốm màu nâu, đen hoặc trắng trên bất kỳ bề mặt nào của răng. Ban đầu, bạn có thể nhận thấy một vùng nhỏ, màu trắng, phấn trên men răng. Khi sâu răng nặng hơn có thể thấy các đốm màu nâu hoặc đen trên răng.
- Lỗ trên bề mặt răng có thể nhìn thấy được.
- Đau khi cắn.
:format(webp)/sau_rang2_5c1aaf9f4a.jpg)
Tác động của sâu răng với sức khỏe
Sâu răng không được điều trị có thể gây ra những hậu quả nghiêm trọng và lâu dài, ảnh hưởng đến sức khỏe tổng thể và chất lượng cuộc sống:
Đau đớn và khó chịu: Sâu răng có thể dẫn đến đau răng dữ dội, đau miệng và nhạy cảm răng, gây khó khăn trong sinh hoạt hàng ngày.
Khó khăn trong ăn uống và dinh dưỡng: Đau hoặc khó khăn khi ăn uống có thể dẫn đến giảm cân hoặc suy dinh dưỡng.
Mất răng: Nếu sâu răng tiến triển quá lâu mà không được điều trị, bạn có thể mất một phần lớn răng và cần phải nhổ răng. Mất răng có thể ảnh hưởng đến ngoại hình, sự tự tin và lòng tự trọng.
Nhiễm trùng toàn thân: Nhiễm trùng nghiêm trọng từ áp xe răng có thể lan khắp cơ thể, và trong một số trường hợp hiếm gặp, có thể gây tử vong.
Ảnh hưởng đến trẻ em: Sâu răng ở trẻ em thường dẫn đến nghỉ học, còn ở người lớn có thể liên quan đến nghỉ làm và ảnh hưởng đến cơ hội việc làm, giảm năng suất.
Biến chứng có thể gặp khi mắc sâu răng
Các biến chứng của sâu răng có thể rất nghiêm trọng nếu không được điều trị:
- Áp xe răng.
- Sưng hoặc mủ quanh răng.
- Hư hỏng hoặc gãy răng.
- Viêm quanh chóp.
Khi nào cần gặp bác sĩ?
Bạn nên đến gặp nha sĩ ngay khi có các triệu chứng sau:
- Đau răng hoặc đau miệng.
- Răng nhạy cảm.
- Chảy máu nướu răng.
- Khó khăn khi nhai.
- Phát hiện lỗ sâu rõ ràng bằng mắt thường sau khi làm sạch và làm khô răng.
- Đau hoặc khó chịu khi uống nước lạnh hoặc do thức ăn bị mắc kẹt.
Nguyên nhân gây sâu răng
Sâu răng phát triển là một quá trình kéo dài, liên quan đến nhiều yếu tố:
- Vi khuẩn: Vi khuẩn trong miệng ăn đường và tinh bột từ thức ăn, đồ uống (trái cây, kẹo, bánh mì, ngũ cốc, nước ngọt, nước trái cây và sữa). Sau đó, chúng chuyển đổi carbohydrate này thành axit làm mòn răng.
- Mảng bám răng: Vi khuẩn, axit, thức ăn và nước bọt trộn lẫn tạo thành mảng bám răng, một chất dính bám trên răng. Mảng bám răng là một lớp màng dính trong suốt bao phủ răng. Nó hình thành do ăn nhiều đường và tinh bột mà không làm sạch răng kỹ. Mảng bám bám trên răng có thể cứng lại dưới hoặc trên đường viền nướu thành cao răng, làm mảng bám khó loại bỏ hơn và tạo thành lá chắn cho vi khuẩn.
- Axit tấn công: Nếu không được chải răng và dùng chỉ nha khoa đúng cách, axit trong mảng bám sẽ hòa tan men răng, tạo ra các lỗ hổng trên bề mặt men răng - đây là giai đoạn đầu tiên của sâu răng. Khi men răng bị mòn, vi khuẩn và axit có thể đến lớp ngà răng, lớp này mềm hơn men răng và ít kháng axit hơn, khiến răng nhạy cảm hơn.
- Tổn thương tiếp diễn: Khi sâu răng tiếp tục, vi khuẩn và axit di chuyển vào bên trong răng (tủy răng) chứa dây thần kinh và mạch máu. Tủy bị sưng và kích ứng do vi khuẩn. Vì không có chỗ cho sưng nở ra bên trong răng, dây thần kinh bị chèn ép, gây đau.
:format(webp)/sau_rang4_86d32100fd.jpg)
Nguy cơ mắc phải sâu răng
Những ai có nguy cơ mắc phải sâu răng?
Mặc dù bất kỳ ai có răng đều có thể bị sâu răng, nhưng một số nhóm người có nguy cơ cao hơn:
- Trẻ em và thanh thiếu niên: Sâu răng phổ biến hơn ở trẻ em vì nhiều em không chải răng đúng cách hoặc thường xuyên và chúng có xu hướng tiêu thụ nhiều thực phẩm và đồ uống có đường hơn.
- Người lớn: Nhiều người lớn cũng bị sâu răng. Đôi khi, sâu răng mới phát triển xung quanh các cạnh của những lỗ sâu được điều trị từ thời thơ ấu. Người lớn cũng dễ bị tụt nướu hơn, làm lộ chân răng ra mảng bám và có thể gây sâu răng.
- Người lớn tuổi: Theo thời gian, răng có thể bị mòn và nướu có thể tụt, làm răng dễ bị sâu hơn. Người lớn tuổi cũng có thể sử dụng nhiều loại thuốc làm giảm tiết nước bọt, làm tăng nguy cơ sâu răng.
Yếu tố làm tăng nguy cơ mắc phải sâu răng
Ngoài các nhóm tuổi, một số yếu tố làm tăng đáng kể nguy cơ phát triển sâu răng:
- Khô miệng: Một số tình trạng sức khỏe (như hội chứng Sjögren) hoặc thuốc (như thuốc chống trầm cảm) có thể làm giảm sản xuất nước bọt. Nước bọt giúp rửa trôi thức ăn và mảng bám và các chất trong nước bọt giúp chống lại axit do vi khuẩn tạo ra.
- Tiêu thụ thực phẩm và đồ uống có đường, tinh bột và ăn vặt giữa các bữa ăn: Thực phẩm bám vào răng lâu hơn dễ gây sâu răng hơn những thực phẩm dễ bị nước bọt rửa trôi, như sữa, kem, mật ong, đường, nước ngọt, trái cây sấy khô, bánh ngọt, bánh quy, kẹo cứng, ngũ cốc khô và khoai tây chiên. Ăn vặt hoặc nhấm nháp đồ uống có đường thường xuyên tạo điều kiện cho vi khuẩn miệng sản xuất axit tấn công răng.
- Vị trí răng: Sâu răng thường xảy ra ở răng hàm sau (răng tiền hàm và răng hàm lớn) vì chúng có nhiều rãnh, hố và kẽ hở, khó làm sạch hơn răng cửa nhẵn nhụi, dễ tiếp cận.
Phương pháp chẩn đoán và điều trị sâu răng
Phương pháp xét nghiệm và chẩn đoán sâu răng
Phát hiện sâu răng sớm là rất quan trọng để điều trị thành công. Nha sĩ sử dụng nhiều phương pháp để chẩn đoán sâu răng:
- Thăm khám lâm sàng bằng mắt và sờ nắn: Đây là phương pháp phổ biến và dễ nhất, ha sĩ sẽ sử dụng các dụng cụ để kiểm tra răng của bạn. Một chiếc răng có lỗ sâu sẽ mềm hơn khi nha sĩ thăm dò. Tuy nhiên, việc sử dụng thám trâm nha khoa truyền thống gây tranh cãi vì nó có thể gây tổn thương không thể phục hồi cho các bề mặt bị mất khoáng và lây lan vi khuẩn.
- Chụp X-quang răng: X-quang thường được dùng để chẩn đoán sâu răng mặt nhai và kẽ răng. Tuy nhiên, X-quang có thể đánh giá thấp mức độ sâu răng, vì tổn thương thực tế có thể sâu hơn hình ảnh X-quang.
- Các thiết bị chẩn đoán mới hơn: Bao gồm phát hiện huỳnh quang laser và huỳnh quang do ánh sáng, cung cấp thêm thông tin về mức độ, vị trí cụ thể của tổn thương và hoạt động của vi khuẩn.
:format(webp)/sau_rang3_b6d912fabd.jpg)
Phương pháp điều trị sâu răng
Việc quản lý sâu răng đã thay đổi đáng kể trong những năm gần đây, tập trung vào việc bảo tồn mô răng khỏe mạnh và duy trì sức sống tủy. Phương pháp điều trị phụ thuộc vào mức độ nghiêm trọng của tình trạng.
Nội khoa
Các phương pháp này được ưu tiên áp dụng khi sâu răng ở giai đoạn sớm, không hoặc chưa có lỗ hổng lớn:
- Fluoride: Ở giai đoạn rất sớm của sâu răng, điều trị fluoride có thể sửa chữa men răng bị tổn thương - một quá trình gọi là tái khoáng này - có thể đảo ngược các dấu hiệu sớm của sâu răng. Bạn có thể cần kem đánh răng và nước súc miệng cũng như điều trị fluoride tại phòng nha.
- Trám bít hố rãnh: Đây là lớp phủ nhựa bảo vệ được áp dụng lên bề mặt nhai của răng hàm sau, bịt kín các rãnh và kẽ hở có xu hướng tích tụ thức ăn, bảo vệ men răng khỏi mảng bám và axit. Đặc biệt hiệu quả cho trẻ em và thanh thiếu niên.
- Thâm nhập nhựa: Kỹ thuật này đưa nhựa có độ nhớt thấp vào bên trong tổn thương để tạo ra hàng rào khuếch tán, ngăn chặn sự tiến triển của sâu răng.
- Kiểm soát lỗ sâu không phục hồi: Phương pháp này bao gồm việc làm rộng lỗ sâu để dễ làm sạch hơn, kết hợp với vệ sinh răng miệng tốt và liệu pháp tái khoáng hóa (như fluoride) để ngăn chặn sự tiến triển của tổn thương.
Ngoại khoa
Khi lỗ sâu đã hình thành hoặc sâu răng đã tiến triển đến các lớp sâu hơn của răng, cần có sự can thiệp xâm lấn hơn:
- Trám răng: Khi một lỗ hổng hình thành trong răng, nha sĩ sẽ loại bỏ mô bị sâu và lấp đầy lỗ hổng. Vật liệu trám răng bao gồm composite resin (vật liệu có màu răng), amalgam bạc hoặc vàng.
- Điều trị tủy răng: Điều trị tủy răng giúp giảm đau do sâu răng tiến triển, nha sĩ hoặc chuyên gia nội nha sẽ loại bỏ tủy răng bị tổn thương, sau đó lấp đầy các ống tủy và buồng tủy bằng gutta-percha.
- Nhổ răng: Nếu điều trị tủy răng không khả thi, nha sĩ có thể khuyên nhổ răng. Bạn có thể cần một cầu răng hoặc implant nha khoa để thay thế răng vĩnh viễn đã nhổ.
- Loại bỏ sâu răng chọn lọc: Đây là phương pháp bảo tồn mô răng, trong đó một phần ngà răng mềm hoặc cứng bị sâu được giữ lại gần tủy để tránh phơi nhiễm tủy và duy trì sức sống tủy.
Chế độ sinh hoạt và phòng ngừa sâu răng
Những thói quen sinh hoạt có thể giúp bạn hạn chế diễn tiến của sâu răng
Duy trì lối sống và vệ sinh răng miệng tốt là yếu tố then chốt để kiểm soát sâu răng:
Chế độ dinh dưỡng
- Hạn chế thực phẩm và đồ uống có đường, tinh bột: Tránh hoặc cắt giảm đáng kể các loại đồ ăn nhẹ và đồ uống có đường để giảm nguồn thức ăn cho vi khuẩn gây sâu răng.
- Hạn chế ăn vặt và nhấm nháp đồ uống thường xuyên: Mỗi khi bạn ăn hoặc uống bất kỳ đồ uống nào đều tạo điều kiện cho vi khuẩn miệng tạo ra axit. Nếu bạn ăn vặt hoặc uống liên tục suốt cả ngày, răng của bạn sẽ bị tấn công liên tục.
- Ăn các thực phẩm tốt cho răng: Trái cây và rau tươi giúp tăng tiết nước bọt. Cà phê, trà không đường và kẹo cao su không đường giúp rửa trôi các hạt thức ăn.
Chế độ sinh hoạt
- Chải răng thường xuyên và đúng cách: Chải răng ít nhất hai lần một ngày (tốt nhất là sau mỗi bữa ăn) bằng bàn chải lông mềm và kem đánh răng chứa fluoride. Nhổ bọt sau khi chải, không súc miệng bằng nước ngay.
- Dùng chỉ nha khoa hàng ngày: Dùng chỉ nha khoa hoặc dụng cụ làm sạch kẽ răng hàng ngày để loại bỏ thức ăn và mảng bám kẹt giữa các răng.
- Khám nha sĩ định kỳ: Thực hiện kiểm tra răng miệng và làm sạch răng chuyên nghiệp ít nhất hai lần một năm.
:format(webp)/sau_rang5_6e6507d2e1.jpg)
Phương pháp phòng ngừa sâu răng hiệu quả
Các phương pháp phòng ngừa sâu răng hiệu quả gồm:
- Sử dụng fluoride: Fluoride là một khoáng chất tự nhiên giúp củng cố men răng và làm cho nó kháng axit hơn.
- Vệ sinh răng miệng kỹ lưỡng: Chải răng và dùng chỉ nha khoa hàng ngày để loại bỏ mảng bám răng chứa vi khuẩn.
- Kiểm soát chế độ ăn uống: Cắt giảm thực phẩm và đồ uống có đường, tinh bột là một cách tiếp cận quan trọng để giảm gánh nặng sâu răng.
- Khám nha sĩ định kỳ: Giúp phát hiện sớm các vấn đề và áp dụng các biện pháp phòng ngừa hoặc điều trị cần thiết.
:format(webp)/470051785_8767135473405056_691967411107495592_n_6b2bbff755.png)
:format(webp)/467434554_545745841560409_1066418224364723785_n_560a494f9c.png)
:format(webp)/sau_rang1_8bae60b288.jpg)
:format(webp)/tuyet_doi_tranh_cac_thuc_pham_cung_hoac_dai_de_ngan_ngua_tinh_trang_xe_dich_tru_implant_hau_phau_1_eeb5c78aa3.png)
:format(webp)/nhung_tac_hai_cua_nieng_rang_thuong_gap_la_gi_1_7b815490c2.png)
:format(webp)/rang_vinh_vien_bi_lung_lay_thi_phai_lam_sao_1_d595de0d2b.png)
:format(webp)/quy_trinh_trong_rang_implant_dien_ra_nhu_the_nao_2_4f3b32f544.png)
:format(webp)/sau_rang_o_nguoi_lon_nguyen_nhan_dau_hieu_va_cach_dieu_tri_hieu_qua_1_55930877ac.png)