Nhồi máu cơ tim là bệnh lý tim mạch nguy hiểm, có thể đe dọa trực tiếp đến tính mạng nếu không được phát hiện và xử trí kịp thời. Trong chẩn đoán, xét nghiệm nhồi máu cơ tim giữ vai trò quan trọng, giúp bác sĩ nhanh chóng xác định mức độ tổn thương cơ tim và đưa ra phác đồ điều trị phù hợp. Bài viết dưới đây từ Tiêm chủng Long Châu sẽ cung cấp thông tin chi tiết về các phương pháp xét nghiệm phổ biến, ý nghĩa lâm sàng cũng như lời khuyên phòng ngừa hiệu quả.
Các phương pháp xét nghiệm nhồi máu cơ tim phổ biến hiện nay
Trong chẩn đoán nhồi máu cơ tim, bác sĩ không dựa vào một xét nghiệm đơn lẻ mà thường phối hợp nhiều phương pháp nhằm tăng độ chính xác. Bốn nhóm xét nghiệm chính được sử dụng phổ biến bao gồm điện tâm đồ, siêu âm tim, xét nghiệm sinh hóa máu và chụp động mạch vành. Mỗi kỹ thuật có ưu điểm và giá trị riêng trong đánh giá tình trạng tổn thương cơ tim.
Điện tâm đồ (ECG)
Điện tâm đồ là xét nghiệm nhồi máu cơ tim cơ bản và thường được thực hiện đầu tiên trong cấp cứu tim mạch. Bằng cách ghi lại hoạt động điện của tim, bác sĩ có thể nhận diện các thay đổi đặc trưng như đoạn ST chênh lên hoặc chênh xuống, sóng T đảo ngược hay sự xuất hiện sóng Q bệnh lý. Đây là cơ sở quan trọng giúp định hướng chẩn đoán sớm nhồi máu cơ tim.
Tuy nhiên, trong những trường hợp cơn nhồi máu còn ở giai đoạn sớm hoặc không điển hình, điện tâm đồ có thể chưa biểu hiện rõ ràng. Do đó, bệnh nhân thường cần được làm thêm các xét nghiệm khác để khẳng định chẩn đoán.

Siêu âm tim
Siêu âm tim là một trong những xét nghiệm nhồi máu cơ tim có giá trị cao, sử dụng sóng siêu âm để tạo hình ảnh cấu trúc và hoạt động của tim. Phương pháp này giúp bác sĩ phát hiện rối loạn vận động vùng cơ tim do thiếu máu cục bộ, đánh giá chức năng thất trái, đồng thời phát hiện sớm biến chứng nguy hiểm như thủng vách liên thất, đứt dây chằng van hai lá hoặc hình thành huyết khối trong buồng tim. Siêu âm tim thường được kết hợp với điện tâm đồ để nâng cao độ chính xác, đặc biệt hữu ích trong các ca khó chẩn đoán.
Xét nghiệm sinh hóa máu
Trong nhóm xét nghiệm nhồi máu cơ tim, xét nghiệm sinh hóa máu được coi là phương pháp then chốt, mang lại nhiều giá trị trong cả chẩn đoán ban đầu lẫn theo dõi sau điều trị. Cơ chế của xét nghiệm này dựa trên hiện tượng các enzym và protein đặc hiệu thoát ra máu khi tế bào cơ tim bị hoại tử. Việc định lượng những chất này giúp bác sĩ xác định mức độ tổn thương cơ tim, thời điểm khởi phát cơn nhồi máu và tiên lượng nguy cơ biến chứng.
- Myoglobin: Myoglobin là một protein có vai trò vận chuyển và dự trữ oxy trong cơ. Đây là marker xuất hiện sớm nhất trong máu sau nhồi máu cơ tim, chỉ khoảng 2 giờ sau khi cơn đau khởi phát. Nồng độ Myoglobin đạt đỉnh trong vòng 4 - 12 giờ và trở về bình thường sau khoảng 24 giờ. Tuy nhiên, do Myoglobin cũng tăng khi có tổn thương cơ xương, xét nghiệm này có độ nhạy cao nhưng tính đặc hiệu thấp. Vì vậy, kết quả cần được kết hợp cùng các marker khác để đưa ra chẩn đoán chính xác.
- CK-MB (Creatine Kinase - MB isoenzym): CK-MB là một isoenzym đặc hiệu của cơ tim, có giá trị cao hơn Myoglobin trong chẩn đoán. Nồng độ CK-MB thường bắt đầu tăng sau 4 - 5 giờ kể từ khi khởi phát nhồi máu, đạt cực đại sau 18 - 24 giờ và trở về bình thường trong 2 - 3 ngày. Trong thực hành lâm sàng, xét nghiệm CK-MB mass đo khối lượng enzym bằng kỹ thuật miễn dịch được đánh giá chính xác hơn so với đo hoạt độ, giúp nâng cao độ tin cậy trong phát hiện tổn thương cơ tim.
- Troponin T và Troponin I: Troponin T (cTnT) và Troponin I (cTnI) là những marker sinh học đặc hiệu nhất cho cơ tim và hiện được xem là tiêu chuẩn vàng trong xét nghiệm nhồi máu cơ tim. Troponin bắt đầu tăng sau khoảng 3 - 4 giờ từ khi khởi phát cơn đau ngực, đạt đỉnh trong vòng 12 - 24 giờ và có thể tồn tại ở nồng độ cao kéo dài tới 7 - 10 ngày. Nhờ đó, xét nghiệm Troponin đặc biệt hữu ích trong phát hiện các trường hợp bệnh nhân đến muộn, đồng thời cho phép bác sĩ theo dõi hiệu quả tái tưới máu sau can thiệp hoặc đánh giá nguy cơ biến chứng tim mạch.

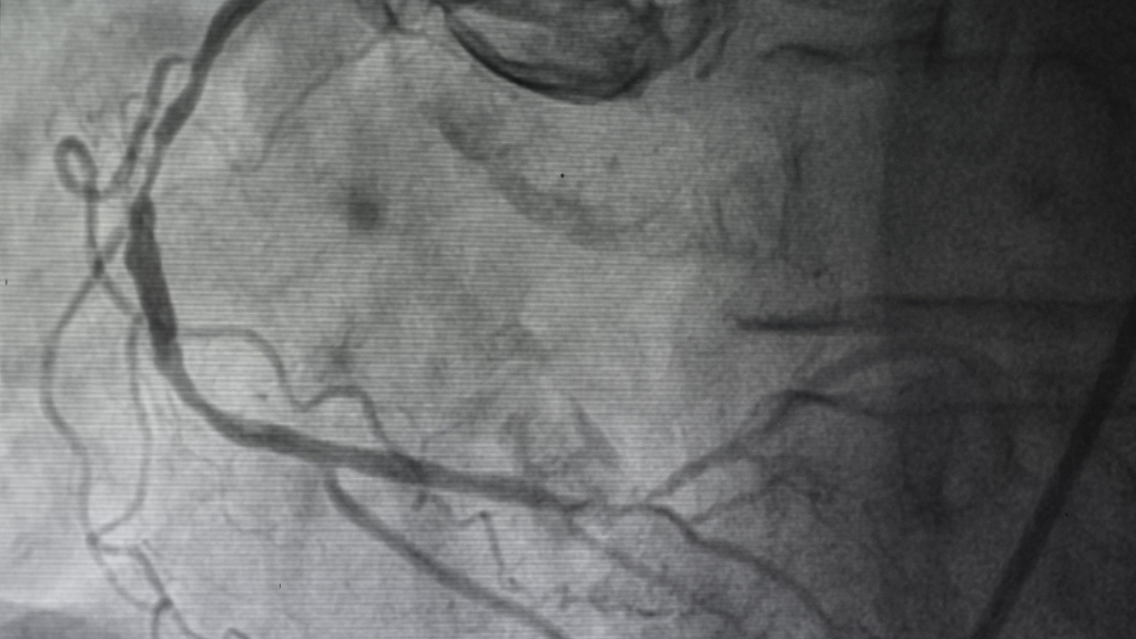
Chụp động mạch vành
Chụp động mạch vành là một kỹ thuật xâm lấn, thường được xem là phương pháp chẩn đoán giải phẫu quan trọng nhất trong xét nghiệm nhồi máu cơ tim.
Bằng cách sử dụng thuốc cản quang và tia X, bác sĩ có thể quan sát trực tiếp hệ thống mạch vành, xác định vị trí, mức độ và số lượng mạch bị tắc nghẽn. Đồng thời, thủ thuật này cho phép can thiệp tái thông ngay như nong mạch, đặt stent hoặc phẫu thuật bắc cầu. Dù chi phí cao và đòi hỏi trang thiết bị hiện đại, chụp động mạch vành vẫn là tiêu chuẩn vàng trong xác định và điều trị nhồi máu cơ tim.

Khi nào cần đi xét nghiệm nhồi máu cơ tim?
Không phải mọi cơn đau ngực đều là nhồi máu cơ tim, nhưng vì bệnh có thể diễn biến nhanh và gây tử vong, nên người bệnh cần được thăm khám và làm các xét nghiệm nhồi máu cơ tim theo chỉ định của bác sĩ khi có triệu chứng nghi ngờ.
- Dấu hiệu điển hình: Cơn đau ngực dữ dội, cảm giác đè ép sau xương ức, có thể lan ra tay trái, hàm hoặc lưng. Cơn đau thường kéo dài trên 15 phút và không thuyên giảm khi nghỉ ngơi.
- Biểu hiện kèm theo: Khó thở, vã mồ hôi, buồn nôn, nôn ói, chóng mặt, cảm giác sắp ngất.
- Trường hợp đặc biệt ở phụ nữ, người cao tuổi hoặc bệnh nhân đái tháo đường: Triệu chứng có thể không điển hình, đôi khi chỉ là mệt mỏi bất thường, khó thở nhẹ, khó tiêu, đau vùng thượng vị.
Ngoài ra, những người có nhiều yếu tố nguy cơ tim mạch (tăng huyết áp, hút thuốc lá, béo phì, rối loạn mỡ máu, tiền sử gia đình mắc bệnh mạch vành) cũng nên đi khám và làm xét nghiệm nhồi máu cơ tim sớm khi có triệu chứng gợi ý. Theo khuyến cáo của các hiệp hội tim mạch lớn, mọi bệnh nhân nghi ngờ nhồi máu cơ tim cần được thực hiện điện tâm đồ và xét nghiệm Troponin càng sớm càng tốt ngay tại khoa cấp cứu, để kịp thời chẩn đoán và can thiệp.

Cách phòng ngừa nhồi máu cơ tim hiệu quả
Mặc dù y học hiện đại đã có nhiều tiến bộ trong xét nghiệm nhồi máu cơ tim và điều trị can thiệp, nhưng phòng ngừa vẫn là chìa khóa quan trọng nhất để giảm thiểu nguy cơ mắc bệnh. Dưới đây là những biện pháp được khuyến nghị:
- Duy trì vận động thể chất: Tập luyện đều đặn ít nhất 150 phút mỗi tuần với các bài tập cường độ vừa phải như đi bộ nhanh, đạp xe hoặc bơi lội. Hoạt động đều đặn giúp cải thiện tuần hoàn và giảm nguy cơ xơ vữa động mạch.
- Áp dụng chế độ ăn uống khoa học: Tăng cường rau xanh, trái cây, ngũ cốc nguyên hạt, cá và dầu thực vật không bão hòa. Đồng thời, cần hạn chế thực phẩm nhiều chất béo bão hòa, đường, muối và các sản phẩm chế biến sẵn để bảo vệ sức khỏe tim mạch lâu dài.
- Loại bỏ thuốc lá: Hút thuốc là một trong những yếu tố nguy cơ hàng đầu gây nhồi máu cơ tim và nhiều bệnh lý tim mạch khác. Việc ngừng hút thuốc mang lại lợi ích gần như ngay lập tức, giúp giảm đáng kể nguy cơ tổn thương mạch máu và cải thiện sức khỏe tổng thể.
- Kiểm soát căng thẳng và duy trì giấc ngủ chất lượng: Stress kéo dài có thể làm tăng huyết áp, thúc đẩy rối loạn nhịp tim và ảnh hưởng tiêu cực đến hệ tim mạch. Dành thời gian thư giãn, kết hợp ngủ đủ 7 - 9 giờ mỗi ngày giúp cơ thể hồi phục và duy trì hoạt động ổn định của tim.
- Khám sức khỏe định kỳ: Thực hiện các xét nghiệm máu, đo huyết áp, kiểm tra đường huyết và mỡ máu định kỳ giúp phát hiện sớm các yếu tố nguy cơ. Việc tầm soát thường xuyên cho phép bác sĩ đưa ra những biện pháp can thiệp kịp thời, ngăn ngừa hiệu quả biến chứng tim mạch.

Xét nghiệm nhồi máu cơ tim đóng vai trò quyết định trong việc phát hiện sớm và điều trị kịp thời căn bệnh nguy hiểm này. Các phương pháp như điện tâm đồ, siêu âm tim, xét nghiệm sinh hóa và chụp động mạch vành đều có ưu điểm riêng, giúp bác sĩ đưa ra chẩn đoán chính xác. Để bảo vệ sức khỏe tim mạch, mỗi người nên duy trì lối sống khoa học, đi khám định kỳ. Phát hiện sớm và điều trị đúng cách chính là chìa khóa để giảm thiểu biến chứng và kéo dài tuổi thọ cho người bệnh tim mạch.
:format(webp)/470051785_8767135473405056_691967411107495592_n_6b2bbff755.png)
:format(webp)/467434554_545745841560409_1066418224364723785_n_560a494f9c.png)
/phau_thuat_ho_van_tim_het_bao_nhieu_tien_tim_hieu_chi_phi_va_nhung_dieu_can_chuan_bi_1_a9a0f48e84.png)
/ho_van_tim_2_la_co_nguy_hiem_khong_hieu_dung_de_song_khoe_cung_trai_tim_1_f8fd6f9bae.png)
/ho_van_tim_2_la_14_la_gi_dau_hieu_nhan_biet_va_cach_cham_soc_dung_cach_2_8b97891bf8.png)
/ho_van_tim_3_la_14_co_nguy_hiem_khong_va_khi_nao_can_theo_doi_1_19e2105fb4.png)
/dau_hieu_ho_van_tim_7_bieu_hien_thuong_gap_giup_nhan_biet_som_benh_tim_mach_1_436232b46f.png)