Theo các chuyên gia chấn thương chỉnh hình, việc hiểu rõ nguyên nhân, dấu hiệu nhận biết và cách điều trị gãy xương sườn là rất quan trọng để ngăn ngừa tổn thương thêm cho phổi, tim hoặc các cơ quan nội tạng. Bài viết dưới đây giúp bạn nhận biết sớm, xử lý đúng cách và phục hồi nhanh chóng khi không may bị gãy xương sườn.
Tổng quan về tình trạng gãy xương sườn
Hệ thống xương sườn gồm 12 đôi xương cong, bao quanh lồng ngực như một chiếc lồng bảo vệ, giúp che chắn tim, phổi và các cơ quan nội tạng quan trọng khác. Những xương này không chỉ hỗ trợ hô hấp bằng cách mở rộng lồng ngực khi hít vào mà còn tham gia vào việc ổn định cấu trúc thân trên.
Gãy xương sườn là tình trạng một hoặc nhiều xương trong khung sườn bị nứt hoặc gãy do tác động lực mạnh vào vùng ngực. Khi bị gãy xương sườn, người bệnh thường cảm thấy đau nhói dữ dội khi hít thở sâu, ho, cười hoặc di chuyển thân trên vì mảnh xương vỡ có thể cọ xát vào cơ quan lân cận hoặc gây co thắt cơ ngực.
Theo thống kê từ các nghiên cứu y khoa, gãy xương sườn chiếm khoảng 10 - 15% các chấn thương ngực cấp cứu, phổ biến ở nam giới trẻ tuổi do tai nạn giao thông và ở người cao tuổi do ngã. Việc nhận biết sớm gãy xương sườn qua các dấu hiệu như đau ngực dữ dội, khó thở hoặc sưng bầm vùng ngực là chìa khóa để can thiệp kịp thời.

Nguyên nhân gây gãy xương sườn
Gãy xương sườn có thể xảy ra ở mọi lứa tuổi. Tuy nhiên, người cao tuổi và người có bệnh lý xương yếu (như loãng xương) dễ bị hơn do mật độ xương giảm. Một số nguyên nhân phổ biến dẫn đến gãy xương sườn bao gồm các yếu tố ngoại lực mạnh hoặc tình trạng xương yếu từ bên trong, thường gặp trong đời sống hàng ngày hoặc tai nạn. Dưới đây là các nguyên nhân chính, được phân loại để dễ theo dõi:
- Tai nạn giao thông: Là nguyên nhân hàng đầu gây gãy xương sườn, đặc biệt ở người không thắt dây an toàn hoặc va chạm tốc độ cao. Lực va đập từ vô lăng hoặc cửa xe có thể làm gãy 2 - 5 xương sườn cùng lúc kèm theo chấn thương nội tạng. Theo các báo cáo y tế, tai nạn giao thông chiếm đến 40% các ca gãy xương sườn cấp cứu.
- Ngã mạnh hoặc chấn thương sinh hoạt: Ngã từ độ cao (như từ thang hoặc mái nhà), va vào vật cứng trong lao động hoặc sinh hoạt hàng ngày là nguyên nhân phổ biến ở người lớn tuổi. Lực rơi từ 1 - 2 mét có thể đủ để gây gãy xương sườn nếu xương yếu do loãng xương.
- Chấn thương thể thao: Các môn thể thao đối kháng như bóng đá, võ thuật, bóng bầu dục hoặc đấm bốc thường gây gãy xương sườn do va chạm trực tiếp vào ngực.
- Ho kéo dài hoặc xương yếu: Ở người già hoặc người bị bệnh phổi mạn tính (như COPD), cơn ho mạnh lặp lại có thể khiến xương sườn bị nứt, đặc biệt nếu có loãng xương. Đây là dạng gãy xương sườn "không chấn thương" chiếm khoảng 10% các trường hợp.
- Loãng xương hoặc ung thư di căn xương: Loãng xương hoặc ung thư di căn xương làm giảm độ cứng chắc của xương, dễ dẫn đến gãy xương sườn dù chỉ tác động nhẹ như ho hoặc cúi người.

Gãy xương sườn có nguy hiểm không?
Mức độ nguy hiểm của gãy xương sườn phụ thuộc vào vị trí, số lượng xương bị gãy và sự hiện diện của biến chứng. Phần lớn các trường hợp gãy xương sườn đơn giản (1 - 2 xương, không di lệch) chỉ gây đau tạm thời và tự lành nhưng gãy phức tạp có thể dẫn đến hậu quả nghiêm trọng nếu không xử lý kịp thời. Dưới đây là phân tích chi tiết:
Gãy nhẹ (nứt, không di lệch): Ít nguy hiểm, chiếm 70% các ca gãy xương sườn, có thể tự lành sau 4 - 6 tuần nếu được nghỉ ngơi đúng cách. Người bệnh chỉ cần tránh vận động mạnh và nguy cơ biến chứng dưới 5%.
Gãy nặng (gãy nhiều xương, gãy di lệch): Có thể gây ra biến chứng nghiêm trọng như:
- Tràn khí màng phổi: Xương gãy đâm vào phổi khiến không khí lọt vào khoang màng phổi, gây khó thở đột ngột và suy hô hấp. Đây là biến chứng phổ biến nhất, xảy ra ở 20% ca gãy nhiều xương.
- Tràn máu màng phổi: Mảnh xương làm tổn thương mạch máu, gây xuất huyết trong ngực dẫn đến tụt huyết áp và sốc.
- Tổn thương gan, lách, tim: Nếu gãy xương sườn ở vùng thấp (xương 8 - 12) hoặc vùng giữa ngực, mảnh xương có thể đâm thủng nội tạng, gây xuất huyết nội.
- Mảng sườn di động: Khi nhiều xương sườn gãy liên tiếp (thường 3 xương trở lên ở hai nơi), thành ngực mất ổn định, người bệnh khó thở nghiêm trọng, có thể tử vong nếu không cấp cứu kịp (tỷ lệ tử vong 10 - 20%).
Tóm lại, gãy xương sườn tự thân không quá nguy hiểm nhưng có thể đe dọa tính mạng khi kèm theo biến chứng nội tạng. Chính vì thế, người bệnh cần được khám và chẩn đoán y khoa ngay khi có dấu hiệu nghi ngờ như đau ngực dữ dội, khó thở hoặc ho ra máu.

Chẩn đoán và điều trị gãy xương sườn
Chẩn đoán và điều trị gãy xương sườn cần được thực hiện nhanh chóng tại cơ sở y tế để giảm thiểu biến chứng. Quy trình thường bắt đầu từ đánh giá lâm sàng và hình ảnh học sau đó là kế hoạch điều trị cá nhân hóa dựa trên mức độ tổn thương.
Chẩn đoán
Để xác định chính xác mức độ gãy xương sườn, bác sĩ sẽ tiến hành các bước sau một cách có hệ thống:
Khám lâm sàng: Quan sát vùng ngực (sưng bầm, biến dạng), ấn đau tại vị trí gãy, nghe âm thở (giảm tiếng rì rào phổi nếu tràn khí) và đánh giá khả năng hô hấp (tần số thở, độ bão hòa oxy). Bước này giúp phát hiện 80% các ca gãy xương sườn đơn giản.
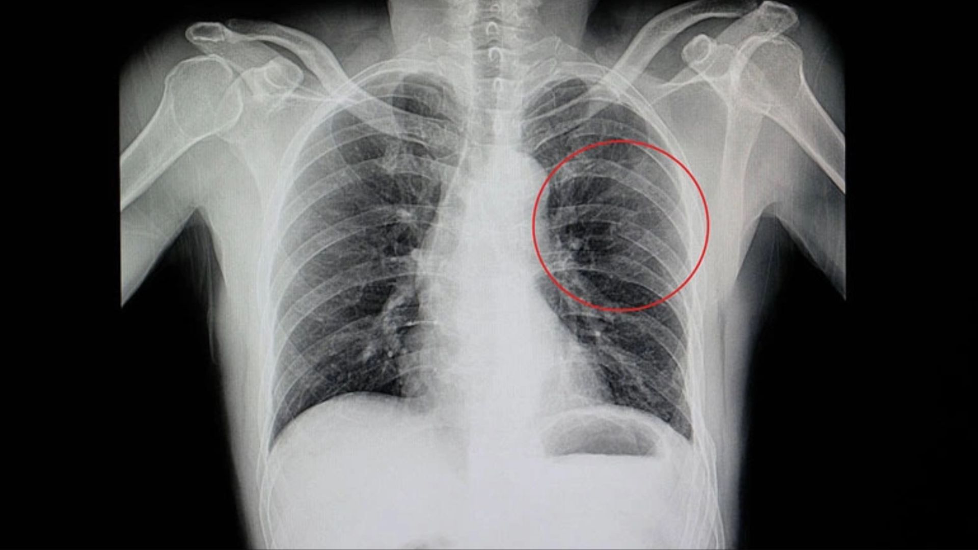
Chẩn đoán hình ảnh:
- X-quang ngực: Phương pháp đầu tay, giúp phát hiện vị trí và số lượng xương gãy cũng như loại trừ tràn khí màng phổi. Hình ảnh cho thấy đường gãy ngang hoặc xoắn ốc trên xương sườn.
- CT scan hoặc MRI: Được chỉ định khi nghi ngờ có tổn thương nội tạng hoặc gãy phức tạp, cung cấp hình ảnh 3D chi tiết về mảnh xương di lệch và tổn thương mềm.
- Siêu âm ngực: Dùng để phát hiện tràn khí hay tràn máu màng phổi nhanh chóng tại giường bệnh, đặc biệt hữu ích trong cấp cứu.

Điều trị
Điều trị gãy xương sườn tùy thuộc vào mức độ tổn thương, ưu tiên bảo tồn và giảm đau để hỗ trợ tự lành. Dưới đây là các phương pháp chính:
Trường hợp nhẹ (không biến chứng):
- Nghỉ ngơi, hạn chế vận động mạnh: Giữ tư thế ngồi hoặc nằm nghiêng để giảm áp lực lên ngực, tránh cúi gập hoặc nâng vật nặng trong 4 - 6 tuần.
- Dùng thuốc giảm đau (Paracetamol, NSAIDs): Theo chỉ định để kiểm soát đau, tránh Opioid nếu có thể vì gây ức chế hô hấp. Liều lượng thường 500mg Paracetamol mỗi 6 giờ.
- Không băng ép quá chặt vì có thể làm hạn chế hô hấp: Chỉ dùng nếu bác sĩ hướng dẫn và theo dõi dấu hiệu khó thở.
- Tập thở sâu nhẹ nhàng giúp phổi nở đều, tránh viêm phổi: Thực hiện 10 lần/giờ.
Trường hợp nặng (gãy nhiều, di lệch, có biến chứng):
- Cấp cứu hô hấp: Đặt dẫn lưu màng phổi nếu có tràn khí/tràn máu, sử dụng oxy hỗ trợ để duy trì SpO2 >92%.
- Phẫu thuật cố định xương sườn: Dùng nẹp titan hoặc vít để phục hồi cấu trúc ngực, đặc biệt ở mảng sườn di động, giúp ổn định hô hấp nhanh chóng. Thời gian phẫu thuật 1 - 2 giờ, hồi phục 2 - 4 tuần.
- Theo dõi nội tạng tổn thương: Tim, phổi, gan, lách… cần được kiểm tra kỹ qua siêu âm hoặc CT và điều trị hỗ trợ như truyền máu nếu xuất huyết.
Phục hồi sau điều trị:
- Nghỉ ngơi 4 - 6 tuần, tránh vận động nặng: Bắt đầu với đi bộ nhẹ sau 1 tuần để tránh huyết khối.
- Duy trì chế độ dinh dưỡng giàu canxi, vitamin D, protein: Như sữa, cá, rau lá xanh để hỗ trợ liền xương, bổ sung 1000mg canxi/ngày.
- Không hút thuốc, hạn chế rượu bia để xương phục hồi tốt hơn: Hút thuốc làm chậm lành xương 30% vì nicotine co mạch máu.
Điều trị gãy xương sườn cần theo dõi chặt chẽ với tái khám sau 2 tuần để đánh giá liền xương qua X-quang.

Gãy xương sườn là chấn thương phổ biến nhưng tiềm ẩn nguy cơ cao nếu không được điều trị đúng cách. Việc nhận biết sớm, xử lý đúng hướng dẫn y khoa và theo dõi chặt chẽ giúp người bệnh phục hồi nhanh, tránh biến chứng nguy hiểm. Mong rằng những chia sẻ hôm nay sẽ giúp bạn có thêm nhiều thông tin sức khỏe hữu ích.
Xem thêm:
:format(webp)/470051785_8767135473405056_691967411107495592_n_6b2bbff755.png)
:format(webp)/467434554_545745841560409_1066418224364723785_n_560a494f9c.png)
/bien_chung_sau_mo_tai_tao_day_chang_cheo_truoc_nhan_biet_som_de_tranh_hau_qua_4_d27ea58fdd.jpg)
/6_3e84ff616f.png)
/benh_a_z_viem_can_gan_chan_1_d0ec621890.jpg)
/rach_day_chang_co_tu_lanh_duoc_khong_cach_hoi_phuc_an_toan_628eb52f26.jpg)
/trieu_chung_dut_day_chang_dau_goi_bieu_hien_nhu_the_nao_1_5d1db51b24.png)