Trong y học, gãy xương không chỉ là tình trạng xương bị nứt hoặc tách rời mà còn phản ánh sự tổn thương nghiêm trọng của mô mềm, mạch máu và thần kinh xung quanh. Vì vậy, nhận biết sớm, sơ cứu đúng cách và lựa chọn phương pháp điều trị phù hợp đóng vai trò quan trọng trong việc đảm bảo khả năng hồi phục và tránh di chứng lâu dài.
Gãy xương là gì? Tổng quan và phân loại
Theo định nghĩa y học, gãy xương là tình trạng xương bị mất tính liên tục do tác động cơ học mạnh hoặc do yếu tố bệnh lý làm suy yếu cấu trúc xương. Khi đó, mô xương bị nứt, vỡ hoặc tách rời hoàn toàn, làm gián đoạn khả năng chịu lực và vận động của cơ thể. Mức độ tổn thương có thể nhẹ, chỉ là vết rạn nhỏ, hoặc nghiêm trọng hơn với đầu xương gãy chệch khỏi vị trí ban đầu.
Trong thực tế lâm sàng, gãy xương được chia thành nhiều dạng khác nhau:
- Gãy kín (gãy không hở da): Xương gãy nhưng không xuyên qua da, thường ít nguy cơ nhiễm trùng.
- Gãy hở: Đầu xương chọc ra ngoài da, gây tổn thương mô mềm và nguy cơ nhiễm khuẩn cao.
- Gãy phức tạp: Xương vỡ thành nhiều mảnh, thường do va chạm mạnh hoặc tai nạn nghiêm trọng.
- Gãy rạn: Xương chỉ bị nứt, thường gặp ở người trẻ hoặc do vận động quá sức.
- Gãy do bệnh lý: Xảy ra khi xương yếu sẵn do bệnh lý như loãng xương, ung thư xương hoặc viêm xương.
:format(webp)/gay_xuong_nguyen_nhan_trieu_chung_1_6dccb5f94f.png)
Gãy xương có thể xảy ra ở bất kỳ vị trí nào trên cơ thể, nhưng thường gặp nhất ở tay, chân, cổ tay, cột sống và xương sườn. Trong đó, gãy cổ xương đùi ở người cao tuổi là dạng đặc biệt nghiêm trọng, dễ gây biến chứng tàn phế hoặc tử vong nếu không điều trị và phục hồi kịp thời.
Nguyên nhân và yếu tố nguy cơ gây gãy xương
Gãy xương không chỉ xuất phát từ những chấn thương trực tiếp mà còn chịu ảnh hưởng bởi nhiều yếu tố nguy cơ tiềm ẩn, làm tăng khả năng tổn thương hệ xương khớp.
Chấn thương do tác động bên ngoài
Tai nạn giao thông, tai nạn lao động hoặc ngã khi chơi thể thao là nguyên nhân hàng đầu gây gãy xương. Ở người trẻ, những chấn thương này thường do va đập mạnh hoặc lực tác động đột ngột vượt quá sức chịu đựng của xương.
Loãng xương và bệnh lý nền
Người cao tuổi hoặc người bị loãng xương có mật độ xương giảm, dễ gãy dù chỉ với một va chạm nhẹ. Ngoài ra, ung thư xương, bệnh lý chuyển hóa như cường giáp, suy tuyến cận giáp hoặc sử dụng corticosteroid kéo dài cũng làm tăng nguy cơ gãy xương.
:format(webp)/gay_xuong_nguyen_nhan_trieu_chung_2_e3380c7b91.png)
Thói quen sinh hoạt thiếu lành mạnh
Chế độ ăn nghèo canxi, thiếu vitamin D, hút thuốc, uống rượu bia nhiều hoặc ít vận động khiến cấu trúc xương suy yếu dần theo thời gian. Việc không tập thể dục đều đặn còn làm giảm sức mạnh cơ, dẫn đến mất cân bằng khi di chuyển, dễ té ngã.
Triệu chứng nhận biết và cách sơ cứu ban đầu
Dấu hiệu điển hình của gãy xương
Người bị gãy xương thường có những biểu hiện rõ rệt sau:
- Đau nhức dữ dội tại vị trí tổn thương, đặc biệt khi cử động.
- Sưng nề, bầm tím, biến dạng chi thể hoặc tư thế bất thường.
- Mất khả năng vận động, chi bị gãy có thể ngắn hơn hoặc xoay lệch so với bình thường.
- Trong gãy hở, vết thương chảy máu, lộ đầu xương hoặc mô mềm rách nát.
Phân biệt gãy xương với bong gân, trật khớp
- Bong gân: Đau nhẹ hơn, sưng ít, không biến dạng xương.
- Trật khớp: Có biến dạng khớp rõ nhưng thường kèm cảm giác “trượt khớp” chứ không nghe tiếng răng rắc như khi gãy xương.
- Gãy xương: Thường sưng nhanh, đau nhức dữ dội, biến dạng rõ, kèm tiếng rắc hoặc cảm giác cọ xương.
:format(webp)/gay_xuong_nguyen_nhan_trieu_chung_3_02d8faa104.png)
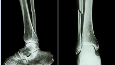
Việc chẩn đoán chính xác cần được xác định bằng X-quang hoặc CT scan tại cơ sở y tế.
Hướng dẫn sơ cứu đúng cách khi nghi ngờ gãy xương
- Giữ nguyên tư thế chi bị thương, tránh cử động mạnh.
- Cố định tạm thời bằng nẹp, gậy hoặc vật cứng (không bó quá chặt).
- Chườm lạnh để giảm sưng và đau trong 24 giờ đầu.
- Không tự ý nắn, kéo xương, vì có thể gây tổn thương mạch máu và dây thần kinh.
- Nhanh chóng đưa nạn nhân đến bệnh viện để được chẩn đoán và xử lý chuyên khoa.
Phương pháp điều trị và phục hồi sau gãy xương
Quá trình điều trị và phục hồi sau gãy xương đòi hỏi sự kết hợp giữa y học hiện đại và chăm sóc đúng cách nhằm giúp người bệnh lấy lại chức năng vận động và chất lượng cuộc sống.
Điều trị nội khoa
Trong trường hợp gãy xương kín, đơn giản và không di lệch, bác sĩ có thể chỉ định bó bột hoặc nẹp cố định để giữ vị trí xương ổn định trong quá trình liền xương. Bệnh nhân thường được kê thêm thuốc giảm đau, kháng viêm, bổ sung canxi và vitamin D.
Phẫu thuật kết hợp xương
Với các trường hợp gãy phức tạp, gãy hở hoặc di lệch nhiều, cần tiến hành phẫu thuật kết hợp xương bằng đinh nội tủy, nẹp vít hoặc khung cố định ngoài. Mục tiêu là tái lập hình dạng ban đầu và tạo điều kiện cho xương liền đúng vị trí.
:format(webp)/gay_xuong_nguyen_nhan_trieu_chung_4_4c35f27e3b.png)
Vật lý trị liệu và phục hồi chức năng
Sau khi xương bắt đầu liền, người bệnh cần tập vật lý trị liệu để tránh teo cơ, cứng khớp và phục hồi khả năng vận động. Các bài tập bao gồm co duỗi nhẹ, tập đi với khung hoặc nạng, kết hợp massage, chiếu tia hồng ngoại và siêu âm trị liệu.
Thời gian phục hồi
Thời gian liền xương phụ thuộc vào vị trí và mức độ gãy, thường kéo dài 6 - 12 tuần ở người trẻ và lâu hơn ở người cao tuổi. Trong giai đoạn này, người bệnh nên duy trì dinh dưỡng cân bằng, ngủ đủ giấc và tránh hút thuốc, vì nicotine làm chậm quá trình tái tạo xương.
Cách phòng ngừa gãy xương hiệu quả
Để phòng ngừa gãy xương hiệu quả, bạn cần chú trọng vào việc duy trì xương chắc khỏe thông qua chế độ dinh dưỡng, lối sống lành mạnh và phòng tránh tai nạn.
Dinh dưỡng đầy đủ canxi và vitamin D
Canxi và vitamin D là hai dưỡng chất thiết yếu cho sức khỏe xương. Nên bổ sung thực phẩm giàu canxi như sữa, cá hồi, tôm, rau xanh đậm và phơi nắng 15 - 20 phút mỗi ngày để tăng tổng hợp vitamin D tự nhiên.
Tập luyện thể thao hợp lý
Các bài tập tăng sức mạnh cơ - xương như đi bộ, yoga, bơi lội, đạp xe giúp cải thiện thăng bằng và giảm nguy cơ té ngã. Người cao tuổi nên tập luyện nhẹ nhàng, có người hướng dẫn để tránh chấn thương.
:format(webp)/gay_xuong_nguyen_nhan_trieu_chung_5_a2c1bd7a87.png)
Kiểm tra mật độ xương định kỳ
Người trên 50 tuổi, đặc biệt là phụ nữ sau mãn kinh, cần đo mật độ xương định kỳ để phát hiện sớm tình trạng loãng xương và điều chỉnh kịp thời.
Hạn chế nguy cơ té ngã trong sinh hoạt
Sắp xếp không gian sống gọn gàng, đủ ánh sáng; sử dụng tay vịn khi đi cầu thang; mang giày có đế chống trượt là những biện pháp đơn giản nhưng rất hiệu quả trong việc phòng ngừa gãy xương do té ngã.
Tóm lại, gãy xương là chấn thương phổ biến nhưng hoàn toàn có thể phục hồi tốt nếu được phát hiện sớm, xử trí và điều trị đúng cách. Việc chú trọng dinh dưỡng, tập luyện phù hợp và phòng ngừa té ngã là chìa khóa giúp xương chắc khỏe, giảm thiểu nguy cơ gãy và duy trì chất lượng cuộc sống lâu dài.
Xem thêm:
:format(webp)/470051785_8767135473405056_691967411107495592_n_6b2bbff755.png)
:format(webp)/467434554_545745841560409_1066418224364723785_n_560a494f9c.png)
:format(webp)/dau_hieu_bong_gan_1_197990af37.jpg)
:format(webp)/dau_nhuc_xuong_khop_toan_than_la_dau_hieu_benh_gi_1_0e2e1620e5.png)
:format(webp)/dau_khop_hang_nguyen_nhan_dau_hieu_va_cach_dieu_tri_hieu_qua_1_e3449c20ff.jpg)
:format(webp)/thay_khop_hang_la_gi_cac_yeu_to_rui_ro_bien_chung_co_the_gap_phai_1_ebc59ddbc9.jpg)
:format(webp)/khop_hang_cau_tao_chuc_nang_va_cac_van_de_thuong_gap_1_179dbf7bca.jpg)