Tìm hiểu chung về viêm não
Viêm não là tình trạng viêm nhu mô não, thường đi kèm với viêm màng não. Tình trạng này có thể do nhiều nguyên nhân khác nhau, bao gồm nhiễm trùng và các phản ứng tự miễn dịch. Hội chứng viêm não cấp tính (AES) được Tổ chức Y tế Thế giới định nghĩa vào năm 2008 là tình trạng khởi phát cấp tính với sốt và bệnh não (rối loạn tri giác từ kích thích đến hôn mê) có hoặc không kèm theo co giật hoặc các dấu hiệu thần kinh khác do viêm hệ thần kinh trung ương (CNS).
Triệu chứng viêm não
Những triệu chứng của viêm não
Các triệu chứng của viêm não có thể rất đa dạng và phụ thuộc vào nguyên nhân gây bệnh, mức độ nghiêm trọng và vùng não bị ảnh hưởng. Các triệu chứng thường gặp bao gồm:
- Sốt;
- Đau đầu;
- Co giật;
- Thay đổi hành vi;
- Ảo giác và/hoặc suy giảm nhận thức.
Các triệu chứng khởi phát của viêm não tự miễn thường là các rối loạn tâm thần, đa dạng và không đặc hiệu; các triệu chứng loạn thần, ảo giác, ý tưởng hoang tưởng, căng trương lực, rối loạn hành vi và tâm trạng có thể xuất hiện và thay đổi trong quá trình bệnh.

Tác động của viêm não với sức khỏe
Tỷ lệ tử vong sau viêm não do herpes có thể vượt quá 50%. Viêm não tự miễn liên quan đến kháng thể bề mặt tế bào hoặc synap dường như có khả năng gây bệnh trực tiếp và có thể thay đổi cấu trúc hoặc chức năng của mục tiêu, dẫn đến những hậu quả đối với hành vi hoặc phá hủy mô, bằng cách nội hóa hoặc chặn thụ thể, tái phân bố từ vị trí synap đến vị trí ngoại synap, hoặc can thiệp vào tương tác phối tử - thụ thể. Tuy nhiên, tiên lượng chung của nhóm kháng thể này có vẻ tốt hơn và đáp ứng với liệu pháp miễn dịch đa phương thức.
Biến chứng có thể gặp viêm não
Viêm não có thể dẫn đến nhiều biến chứng nghiêm trọng, bao gồm các vấn đề về thần kinh lâu dài. Các phương pháp điều trị như hỗ trợ thở bằng mặt nạ oxy hoặc máy thở cho thấy khả năng suy hô hấp. Thuốc kiểm soát cơn động kinh hoặc co giật cũng cho thấy nguy cơ co giật là một biến chứng tiềm ẩn. Bệnh nhân mắc viêm não do ve ở châu Á thường có di chứng co giật kéo dài. Viêm não hoại tử xuất huyết cấp tính là một bệnh tối cấp với tỷ lệ tử vong có thể lên tới 70%.
Khi nào cần gặp bác sĩ?
Bạn cần đến cơ sở y tế ngay lập tức nếu bạn hoặc người thân có bất kỳ triệu chứng nào của viêm não, đặc biệt là sốt, đau đầu dữ dội, cứng cổ, lú lẫn, co giật hoặc thay đổi ý thức. Viêm não cần được điều trị tại bệnh viện. Việc điều trị càng sớm, khả năng thành công càng cao.
Nguyên nhân gây viêm não
Nguyên nhân gây viêm não rất đa dạng. Virus là nguyên nhân được xác định phổ biến nhất, chiếm khoảng 70% các trường hợp viêm não được xác nhận. Ở Hoa Kỳ, các nguyên nhân phổ biến nhất của viêm não do virus là virus herpes simplex (HSV). Một số tác nhân gây bệnh do virus khác bao gồm virus varicella-zoster, virus Epstein-Barr (EBV), cytomegalovirus (CMV), human herpesvirus type 6 và 7, virus sởi, virus quai bị, virus rubella, virus viêm não ngựa miền đông, virus viêm não ngựa miền tây, virus dengue và virus dại. Các arbovirus (virus viêm não ngựa miền đông, miền tây, Venezuela, Zika và West Nile) gây bệnh trong những tháng hè khi muỗi xuất hiện nhiều. Virus viêm não Nhật Bản (JEV) là một nguyên nhân quan trọng gây bệnh thần kinh ở người trên khắp châu Á và được truyền bởi muỗi, đặc biệt là muỗi thuộc chi Culex.

Ngoài nhiễm virus, viêm não tự miễn (AIE) đang ngày càng được công nhận là một nguyên nhân quan trọng. AIE có thể liên quan đến sự hiện diện của các tự kháng thể đặc hiệu. Phản ứng miễn dịch này có thể được kích hoạt bởi một nhiễm trùng hoặc một khối u. Các cơ chế tiềm ẩn dẫn đến việc các kháng thể xâm nhập vào hệ thần kinh trung ương (CNS) và phản ứng miễn dịch liên quan gây nên tình trạng viêm não.
Nguy cơ mắc phải viêm não
Những ai có nguy cơ mắc phải viêm não?
Viêm não do virus có xu hướng phổ biến hơn ở người trẻ tuổi so với người lớn tuổi. Tuy nhiên, môi trường cũng đóng một vai trò quan trọng. Tỷ lệ mắc viêm não do virus cao nhất ở trẻ em và người lớn tuổi. Viêm não do EBV và CMV thường thấy hơn ở những người suy giảm miễn dịch. Đối với viêm não tự miễn, việc phát hiện kháng thể dương tính có liên quan mật thiết đến các khối u ác tính ở bệnh nhân lớn tuổi (>60 tuổi).
Yếu tố làm tăng nguy cơ mắc phải viêm não
Một số yếu tố có thể làm tăng nguy cơ mắc viêm não, bao gồm thời gian trong năm (các bệnh do arbovirus phổ biến hơn vào mùa hè), vị trí địa lý (viêm não St. Louis phổ biến ở Trung Tây và Nam Hoa Kỳ, viêm não do ve phổ biến ở Bắc Trung và Đông Bắc Hoa Kỳ) và tiếp xúc với động vật hoặc côn trùng. Du lịch đến các khu vực lưu hành bệnh do muỗi hoặc ve truyền cũng làm tăng nguy cơ mắc bệnh.
Phương pháp chẩn đoán và điều trị viêm não
Phương pháp xét nghiệm và chẩn đoán viêm não
Việc chẩn đoán viêm não thường dựa trên sự kết hợp của tiền sử bệnh, khám lâm sàng, kết quả xét nghiệm và chẩn đoán hình ảnh.
Xét nghiệm dịch não tủy (CSF): Phân tích CSF là một bước quan trọng trong chẩn đoán viêm não. Trong nhiều trường hợp viêm não tự miễn, phân tích CSF và huyết thanh cho thấy tăng nhẹ đến vừa phải số lượng tế bào lympho (< 100 tế bào/μl) ở 60-80% bệnh nhân. Một phần ba bệnh nhân có nồng độ protein tăng nhẹ đến vừa phải. Tuy nhiên, kết quả CSF bình thường không loại trừ chẩn đoán. Trong viêm não do virus, CSF thường cho thấy glucose bình thường, protein tăng vừa phải và tăng bạch cầu lympho. Khoảng 10% bệnh nhân viêm não do virus có thể có kết quả CSF bình thường. PCR CSF có thể được sử dụng để xét nghiệm HSV-1, HSV-2 và enterovirus. Xét nghiệm IgM cho virus viêm não Nhật Bản và virus dengue cũng có thể được thực hiện nếu nghi ngờ.
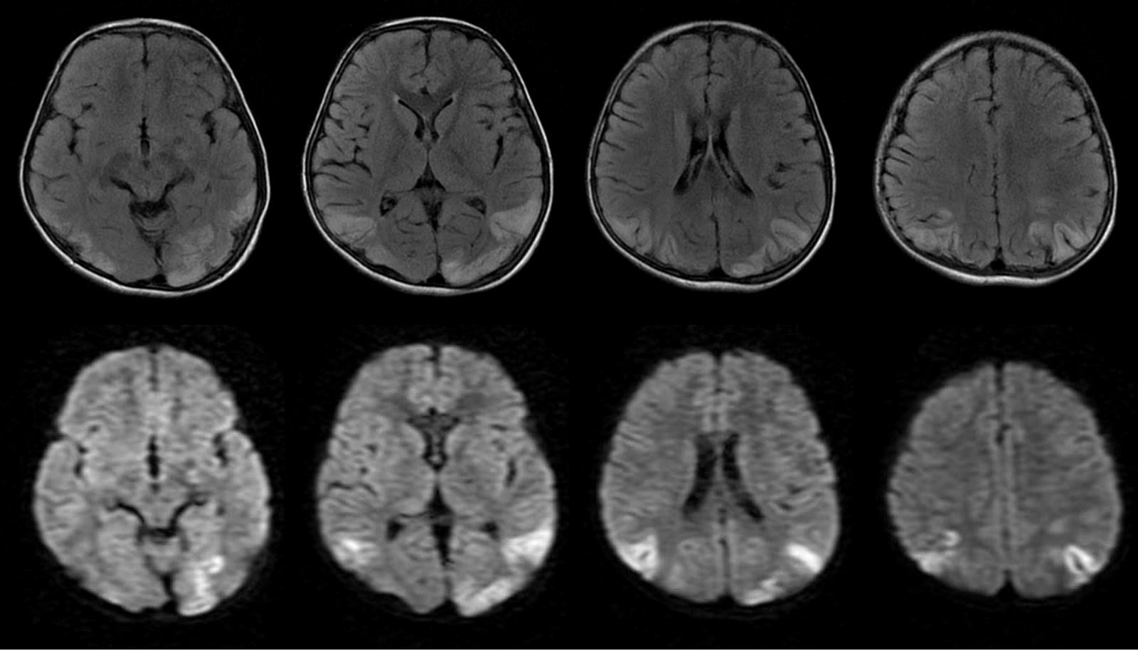
Chẩn đoán hình ảnh: MRI não nên được thực hiện một cách hệ thống khi nghi ngờ viêm não sau nhiễm trùng. MRI là phương pháp chẩn đoán hình ảnh nhạy nhất để phát hiện các dấu hiệu phù hợp với viêm não do HSV, chẳng hạn như sự liên quan của thùy thái dương và trán. CT có thể cho thấy các tổn thương giảm mật độ ở thùy thái dương khi có sự liên quan của HSV, thường xuất hiện 3-5 ngày sau nhiễm trùng.

Điện não đồ (EEG): EEG có thể cho thấy những bất thường ở bệnh nhân bị co giật. Viêm não Nhật Bản thường liên quan đến 3 kiểu EEG bao gồm hoạt động delta lan tỏa có gai, hoạt động delta liên tục lan tỏa và hoạt động alpha comma22 . EEG cũng có thể hữu ích trong việc nghi ngờ trạng thái động kinh không co giật hoặc viêm não tự miễn.
Xét nghiệm kháng thể: Trong viêm não tự miễn, xét nghiệm kháng thể trong CSF hoặc huyết thanh có thể giúp xác định nguyên nhân. Tuy nhiên, xét nghiệm kháng thể không bao giờ có thể thay thế đánh giá lâm sàng.
Sàng lọc khối u: Sàng lọc khối u là điều cần thiết ở bệnh nhân nghi ngờ viêm não tự miễn, đặc biệt ở người lớn tuổi có kháng thể dương tính.
Phương pháp điều trị viêm não
Việc điều trị viêm não phụ thuộc vào nguyên nhân cơ bản.
Nội khoa
Thuốc kháng virus: Acyclovir đã được chứng minh là làm giảm đáng kể tỷ lệ tử vong và tàn tật, đồng thời hạn chế mức độ nghiêm trọng của suy giảm hành vi và nhận thức lâu dài của viêm não do HSV khi được bắt đầu sớm. Do đó, theo kinh nghiệm, các bác sĩ nên bắt đầu điều trị acyclovir cho tất cả bệnh nhân nghi ngờ viêm não. Các thuốc tương tự nucleoside cũng được sử dụng cho các virus herpes khác. Ganciclovir và foscarnet được khuyến cáo để điều trị viêm não do CMV.
Steroid: Tiêm steroid có thể được sử dụng để giảm viêm. Steroid tiêm tĩnh mạch liều cao được chấp nhận là liệu pháp hàng đầu cho ADEM. Corticosteroid cũng có thể mang lại hiệu quả đáng kể trong viêm não Hashimoto. Việc sử dụng corticosteroid trong viêm não do virus vẫn chưa được thiết lập rõ ràng nhưng có thể được cân nhắc cùng với acyclovir ở bệnh nhân có phù não rõ rệt hoặc tăng áp lực nội sọ.
Điều trị kiểm soát hệ thống miễn dịch: Các phương pháp điều trị giúp kiểm soát hệ thống miễn dịch, chẳng hạn như tiêm immunoglobulin tĩnh mạch (IVIG) và trao đổi huyết tương (plasmapheresis), là các liệu pháp hàng đầu trong điều trị viêm não tự miễn. IVIG cũng có thể có giá trị đối với bệnh nhân viêm não tủy sau nhiễm trùng kháng steroid. Rituximab và cyclophosphamide là các liệu pháp miễn dịch thứ hai có thể được sử dụng trong viêm não tự miễn khi các liệu pháp đầu tiên không hiệu quả.
Thuốc kháng sinh hoặc kháng nấm: Nếu nguyên nhân gây viêm não là do vi khuẩn hoặc nấm, thuốc kháng sinh hoặc kháng nấm thích hợp sẽ được sử dụng để điều trị nguyên nhân.
Thuốc giảm đau: Thuốc giảm đau có thể được sử dụng để giảm đau hoặc hạ sốt.
Thuốc kiểm soát co giật: Thuốc để kiểm soát co giật hoặc cơn động kinh có thể cần thiết trong một vài trường hợp.
Hỗ trợ hô hấp: Một số biện pháp hỗ trợ hô hấp như oxy qua mặt nạ hoặc máy thở, có thể cần thiết nếu bệnh nhân gặp khó khăn trong việc thở.
Điều trị tăng áp lực nội sọ: Các biện pháp như dùng mannitol hoặc truyền dịch muối ưu trương có thể được sử dụng để giảm áp lực nội sọ.
Ngoại khoa
Trong viêm não tự miễn liên quan đến khối u, điều trị phẫu thuật nên được tiến hành càng sớm càng tốt. Phẫu thuật có thể làm giảm các triệu chứng một cách hiệu quả và cải thiện kết quả lâu dài.
Chế độ sinh hoạt và phòng ngừa viêm não
Những thói quen sinh hoạt giúp hạn chế diễn tiến viêm não
Có một số thói quen sinh hoạt có thể giúp bạn hạn chế diễn thức viêm não. Việc tuân thủ chặt chẽ phác đồ điều trị của bác sĩ và tái khám theo lịch hẹn là một trong số đó. Bên cạnh đó, bệnh nhân cần được nghỉ ngơi đầy đủ và tránh các hoạt động gắng sức trong giai đoạn bệnh.
Chế độ sinh hoạt:
- Ngủ đủ giấc và đúng giờ: Giấc ngủ đóng vai trò quan trọng trong việc duy trì chức năng miễn dịch và bảo vệ não bộ. Thiếu ngủ kéo dài có thể làm suy giảm hàng rào máu não và tăng nguy cơ viêm nhiễm thần kinh trung ương.
- Giữ gìn vệ sinh cá nhân và môi trường sống: Rửa tay thường xuyên, vệ sinh răng miệng và ăn uống sạch sẽ giúp ngăn ngừa các tác nhân nhiễm trùng - đặc biệt là virus và vi khuẩn - là nguyên nhân phổ biến gây viêm não.
- Quản lý căng thẳng và rèn luyện thể chất đều đặn: Tập thể dục thường xuyên giúp cải thiện tuần hoàn máu não và tăng cường miễn dịch. Bên cạnh đó, kiểm soát stress bằng thiền, yoga hoặc các hoạt động thư giãn giúp bảo vệ hệ thần kinh khỏi tác nhân kích thích gây viêm.
Chế độ sinh hoạt:
- Tăng cường thực phẩm giàu omega-3: Omega-3 có trong cá hồi, cá thu, hạt lanh và quả óc chó giúp giảm viêm và tăng cường chức năng thần kinh. Đây là acid béo thiết yếu có vai trò bảo vệ tế bào thần kinh và chống lại các tổn thương do viêm.
- Ăn nhiều rau xanh và trái cây giàu chất chống oxy hóa: Các loại rau như cải bó xôi, bông cải xanh và trái cây như việt quất, cam, dâu tây chứa nhiều vitamin C, E và flavonoid - giúp trung hòa gốc tự do và bảo vệ mô não khỏi tổn thương.
- Hạn chế thực phẩm chế biến sẵn và nhiều đường: Thực phẩm nhiều đường, chất béo bão hòa và chất bảo quản có thể kích hoạt các phản ứng viêm trong cơ thể, làm trầm trọng thêm các tình trạng viêm sẵn có, trong đó có viêm não.
- Uống đủ nước và hạn chế chất kích thích: Nước giúp duy trì quá trình chuyển hóa và đào thải độc tố. Trong khi đó, caffeine và rượu có thể ảnh hưởng tiêu cực đến hệ thần kinh trung ương và nên được kiểm soát ở mức tối thiểu.
Phương pháp phòng ngừa viêm não hiệu quả
Phương pháp phòng ngừa đặc hiệu
Tiêm phòng là một biện pháp phòng ngừa hiệu quả đối với một số loại viêm não do virus, chẳng hạn như vắc xin phòng viêm não Nhật Bản, sởi và quai bị,... Bạn nên kiểm tra và cập nhật lịch tiêm chủng thường xuyên, đặc biệt khi có kế hoạch đi du lịch đến các vùng có nguy cơ cao mắc các bệnh do virus.
Không đặc hiệu
Kiểm soát véc tơ truyền bệnh: Thực hiện các biện pháp kiểm soát muỗi và ve, chẳng hạn như loại bỏ các nguồn nước đọng, sử dụng thuốc diệt côn trùng và mặc quần áo dài tay, mang tất và sử dụng thuốc chống côn trùng. Tránh các hoạt động ngoài trời ở những khu vực có nguy cơ nhiễm ve cao.

Vệ sinh cá nhân: Rửa tay thường xuyên bằng xà phòng và nước có thể giúp ngăn ngừa sự lây lan của nhiều loại virus gây viêm não.
Kiểm soát bệnh ở động vật: Các biện pháp kiểm soát dịch bệnh ở động vật cũng rất quan trọng để ngăn chặn sự lây truyền sang người, chẳng hạn như đối với virus viêm não Nhật Bản ở lợn và ngựa.
:format(webp)/470051785_8767135473405056_691967411107495592_n_6b2bbff755.png)
:format(webp)/467434554_545745841560409_1066418224364723785_n_560a494f9c.png)
:format(webp)/viem_nao_s1_f99dec8644.jpg)
/nghiem_phap_valsalva_la_gi_khi_nao_can_thuc_hien_va_nhung_dieu_nguoi_benh_nen_biet_4_7b223952ef.jpg)
/parvovirus_b19_nhung_dieu_can_biet_ve_trieu_chung_lay_truyen_va_cach_phong_ngua_1_982e950313.png)
/benh_a_z_dau_dau_van_mach_128ff8b449.png)
/hoi_chung_parinaud_trieu_chung_nguyen_nhan_va_cach_phat_hien_som_1_35c5874ab5.png)
/cham_phat_trien_tam_than_cb72966155.png)