Tình trạng ngứa ngáy, nổi mụn nước do ghẻ gây ra không chỉ ảnh hưởng đến sinh hoạt hằng ngày mà còn dễ lây lan cho người xung quanh. Một số người hy vọng bệnh sẽ tự khỏi mà không cần can thiệp y tế, nhưng thực tế không phải lúc nào cũng như vậy. Xác định được thời điểm cần đi khám bác sĩ là điều quan trọng để đảm bảo an toàn và hiệu quả điều trị.
Người bị ghẻ nước có tự khỏi không?
Ghẻ nước không thể tự khỏi và thường cần điều trị với thuốc đặc hiệu do bác sĩ chỉ định. Nếu không được chữa trị thì người nhiễm vẫn có nguy cơ tiếp tục lây bệnh cho người khác. Bạn có thể lây ghẻ cho người khác ngay từ khi mới nhiễm, kể cả khi chưa có triệu chứng. Ghẻ thường lây qua tiếp xúc gần, như ngủ chung giường hoặc dùng chung đồ dùng cá nhân. Điều này khiến bệnh dễ bùng phát trong gia đình hoặc tập thể.
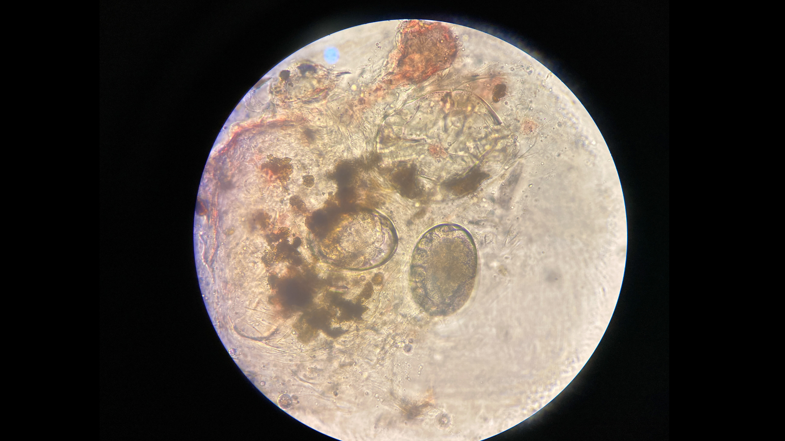
Bệnh ghẻ là do ký sinh trùng Sarcoptes scabiei gây ra. Những con ghẻ này đào hang dưới da, ăn và đẻ trứng, tạo thành vòng đời liên tục. Do đó, nếu không dùng thuốc diệt tận gốc, ghẻ sẽ tiếp tục sinh sôi thay thế những con đã chết, khiến bệnh không thể tự biến mất.

Ngứa dữ dội và phát ban là dấu hiệu điển hình của ghẻ nước. Đây là phản ứng của cơ thể trước phân hoặc nước bọt của con ghẻ. Tình trạng này có thể gây khó chịu cả ngày lẫn đêm, ảnh hưởng đến sinh hoạt và giấc ngủ. Việc gãi ngứa thường xuyên còn dễ làm trầy xước da và gây nhiễm trùng.
Những yếu tố ảnh hưởng đến việc khỏi bệnh ghẻ nước
Mức độ của bệnh
Ghẻ nước do ký sinh trùng con cái ghẻ gây ra. Chúng đào hang dưới lớp biểu bì, lớp da ngoài cùng, để ăn và đẻ trứng. Mỗi con cái có thể đẻ 2 - 3 trứng mỗi ngày và khoảng 10% số trứng sống sót đến tuổi trưởng thành. Chu kỳ này lặp đi lặp lại, khiến ghẻ sinh sôi liên tục cho đến khi bị tiêu diệt bằng thuốc.
Thông thường, một người bệnh ghẻ có khoảng 10 - 15 con cái ghẻ trên cơ thể. Tuy nhiên, ở những thể bệnh nặng như ghẻ vảy hoặc ghẻ Na Uy, số lượng ghẻ có thể lên tới hàng ngàn đến hàng triệu con. Càng nhiều ghẻ ký sinh, bệnh càng khó điều trị dứt điểm. Thậm chí sau khi đã loại bỏ hết ve, triệu chứng ngứa và nổi sang thương da vẫn có thể kéo dài nhiều tuần.
Sức đề kháng của hệ miễn dịch
Sức khỏe hệ miễn dịch ảnh hưởng trực tiếp đến khả năng kiểm soát bệnh ghẻ. Những người có sức đề kháng yếu, như trẻ em, người cao tuổi, bệnh nhân đái tháo đường, người nhiễm HIV hoặc đang dùng thuốc ức chế miễn dịch, thường dễ mắc các thể ghẻ nặng như ghẻ vảy hoặc ghẻ Na Uy.

Ngoài ra, người có miễn dịch yếu cũng dễ bị nhiễm trùng da thứ phát. Ví dụ, khi ghẻ đào hang, chúng tiết ra protein ức chế miễn dịch, tạo điều kiện cho vi khuẩn Streptococcus pyogenes phát triển, gây biến chứng chốc lở.
Thói quen vệ sinh cá nhân và môi trường sống
Ghẻ không phải là bệnh của riêng người vệ sinh kém, bất kỳ ai cũng có thể mắc. Tuy nhiên, những yếu tố môi trường và thói quen sinh hoạt có thể làm tăng nguy cơ nhiễm bệnh. Những đối tượng dễ bị lây nhiễm gồm:
- Người sống trong điều kiện chật hẹp, đông đúc.
- Trẻ em, do thường xuyên tiếp xúc gần với người chăm sóc và bạn bè.
- Người cao tuổi ở viện dưỡng lão.
- Nhân viên y tế chăm sóc bệnh nhân ghẻ.
- Người đang hoạt động tình dục.
- Người có hệ miễn dịch yếu.
Môi trường ẩm thấp, không được vệ sinh sạch sẽ cũng tạo điều kiện cho con cái ghẻ phát triển. Con cái ghẻ có thể sống bên ngoài cơ thể người đến 4 ngày trên chăn, nệm, khăn hay mùng màn. Vì vậy, để tránh tái nhiễm, cần vệ sinh cá nhân kỹ lưỡng, giặt giũ và phơi khô đồ dùng, đồng thời điều trị đồng loạt cho tất cả thành viên trong gia đình.
Bệnh ghẻ nước có tự thuyên giảm không?
Ghẻ nước là bệnh da liễu do ký sinh trùng Sarcoptes scabiei gây ra. Chúng sống và sinh sản dưới lớp da, gây ngứa dữ dội và nổi mẩn đỏ. Nếu không được điều trị đúng cách, bệnh không thể tự khỏi.
Một số người có thể thấy triệu chứng thuyên giảm tạm thời, nhưng điều này không đồng nghĩa với việc ghẻ đã biến mất. Ký sinh trùng vẫn tồn tại dưới da và tiếp tục lây lan. Hơn nữa, việc không điều trị kịp thời có thể dẫn đến nhiễm trùng da, lây cho người khác và gây biến chứng nặng hơn.
Do đó, người bệnh cần chủ động đi khám và điều trị sớm theo hướng dẫn của nhân viên y tế để chấm dứt bệnh hoàn toàn và tránh lây lan trong cộng đồng.

Khi nào cần đi khám bác sĩ?
Mặc dù bệnh ghẻ nước có thể điều trị được, nhưng việc đi khám bác sĩ là cần thiết trong các trường hợp sau:
- Ngứa kéo dài hoặc lan rộng: Triệu chứng không giảm sau vài ngày tự chăm sóc, vùng tổn thương xuất hiện ngày càng nhiều.
- Dấu hiệu nhiễm trùng da: Da sưng đỏ, chảy mủ, đau rát hoặc kèm sốt nhẹ, có thể là dấu hiệu viêm mô tế bào hoặc chốc lở.
- Tái phát nhiều lần: Đã từng điều trị nhưng bệnh quay lại, có thể do chưa xử lý triệt để nguồn lây hoặc dùng thuốc chưa đúng.
- Nghi ngờ lây cho người khác: Có người trong nhà hoặc tiếp xúc gần cùng xuất hiện triệu chứng ngứa, mẩn đỏ.
Khi có các dấu hiệu này, người bệnh nên đến cơ sở y tế để được chẩn đoán chính xác và hướng dẫn điều trị đúng cách, giúp hạn chế biến chứng và ngăn ngừa lây lan.
Cách điều trị bệnh ghẻ nước an toàn, hiệu quả
Việc điều trị ghẻ nước cần được thực hiện đúng cách và theo chỉ định chuyên môn để đạt hiệu quả tối ưu. Tùy vào mức độ bệnh, cơ địa người bệnh và điều kiện cụ thể, bác sĩ có thể chỉ định phương pháp phù hợp, bao gồm dùng thuốc bôi ngoài da, thuốc uống hoặc kết hợp cả hai.
Người bệnh tuyệt đối không tự ý mua thuốc hoặc dùng lại đơn cũ. Tất cả các loại thuốc điều trị ghẻ đều cần được sử dụng dưới sự hướng dẫn của nhân viên y tế nhằm tránh nguy cơ kháng thuốc, kích ứng da hoặc lây lan tiếp tục.
Những lưu ý trong điều trị ghẻ nước:
- Tuân thủ đúng phác đồ điều trị do bác sĩ chỉ định, không ngưng thuốc sớm ngay cả khi triệu chứng đã thuyên giảm.
- Cảm giác ngứa có thể kéo dài vài ngày đến hai tuần sau khi ký sinh trùng đã bị loại bỏ. Đây là phản ứng viêm còn sót lại, không nhất thiết là dấu hiệu bệnh chưa khỏi.
- Giặt sạch toàn bộ chăn, màn, quần áo, khăn tắm... bằng nước nóng hoặc sấy nhiệt độ cao để tránh tái nhiễm.
- Điều trị đồng thời cho tất cả người tiếp xúc gần, kể cả khi họ chưa có triệu chứng, để hạn chế lây lan trong gia đình hoặc tập thể.
Người bệnh nên đến cơ sở y tế nếu triệu chứng không cải thiện sau vài tuần, có dấu hiệu nhiễm trùng da hoặc tổn thương lan rộng. Việc điều trị đúng cách và vệ sinh môi trường sống sạch sẽ sẽ giúp kiểm soát bệnh hiệu quả và ngăn ngừa tái phát.

Bài viết đã giải đáp câu hỏi: “Người bị ghẻ nước có tự khỏi không?”. Ghẻ nước rất khó có thể tự khỏi nếu không được điều trị đúng cách, bởi ký sinh trùng gây bệnh vẫn tiếp tục tồn tại và lây lan. Người bệnh cần đi khám bác sĩ khi ngứa kéo dài, tổn thương lan rộng hoặc có dấu hiệu nhiễm trùng da. Chủ động thăm khám và điều trị kịp thời không chỉ giúp chấm dứt triệu chứng nhanh chóng mà còn ngăn ngừa lây nhiễm cho cộng đồng.
:format(webp)/470051785_8767135473405056_691967411107495592_n_6b2bbff755.png)
:format(webp)/467434554_545745841560409_1066418224364723785_n_560a494f9c.png)
/benh_a_z_rop_da_86647ce718.jpg)
/bi_noi_me_day_lien_tuc_la_benh_gi_nguyen_nhan_trieu_chung_va_cach_cham_soc_1_800499e8ce.png)
/moi_tham_la_benh_gi_nguyen_nhan_trieu_chung_va_khi_nao_can_di_kham_1_4e60e69e9c.png)
/u_ba_dau_co_tu_het_khong_giai_thich_de_hieu_va_huong_xu_ly_an_toan_1_3db62ba92b.png)
/ky_sinh_trung_demodex_la_gi_trieu_chung_nguy_co_va_cach_phong_ngua_hieu_qua_1_ab9b2b88b0.jpg)