Khuỷu tay là khớp quan trọng trong các động tác gập, duỗi và xoay cẳng tay, nhưng cũng dễ bị tổn thương khi té ngã hoặc vận động mạnh. Khi xuất hiện đau, sưng hay hạn chế vận động, X-quang khớp khuỷu thường được chỉ định để đánh giá tình trạng xương khớp và hỗ trợ chẩn đoán.
Khi nào cần chụp X-quang khớp khuỷu?
X-quang khớp khuỷu thường được chỉ định trong các tình huống có nghi ngờ tổn thương xương hoặc khớp. Đây là phương pháp được sử dụng phổ biến nhờ khả năng phát hiện nhanh các bất thường liên quan đến cấu trúc xương.
Để hiểu rõ hơn, có thể chia các trường hợp cần chụp thành những nhóm sau:
Các dấu hiệu nên đi kiểm tra sớm
Khi cơ thể xuất hiện những biểu hiện dưới đây, việc chụp X-quang khớp khuỷu có thể được cân nhắc:
- Đau khuỷu tay sau khi té ngã hoặc va chạm mạnh.
- Sưng, bầm tím hoặc biến dạng vùng khuỷu.
- Khó gập duỗi tay hoặc cảm giác cứng khớp.
- Đau kéo dài không rõ nguyên nhân.
Những dấu hiệu này có thể liên quan đến gãy xương, trật khớp hoặc viêm khớp, cần được đánh giá sớm để tránh ảnh hưởng đến chức năng vận động.
Nhóm đối tượng thường được chỉ định
Một số nhóm có nguy cơ cao cần chụp X-quang khuỷu tay bao gồm:
- Người chơi thể thao có va chạm.
- Người lao động tay chân thường xuyên.
- Trẻ em dễ té chống tay.
- Người lớn tuổi có dấu hiệu thoái hóa.
Trường hợp cần cân nhắc kỹ
Mặc dù X-quang khớp khuỷu được xem là an toàn trong nhiều trường hợp, nhưng vẫn cần lưu ý:
- Phụ nữ đang mang thai cần thông báo trước.
- Trẻ nhỏ cần điều chỉnh liều tia phù hợp.
- Trường hợp nghi ngờ tổn thương mô mềm có thể cần phương pháp khác.

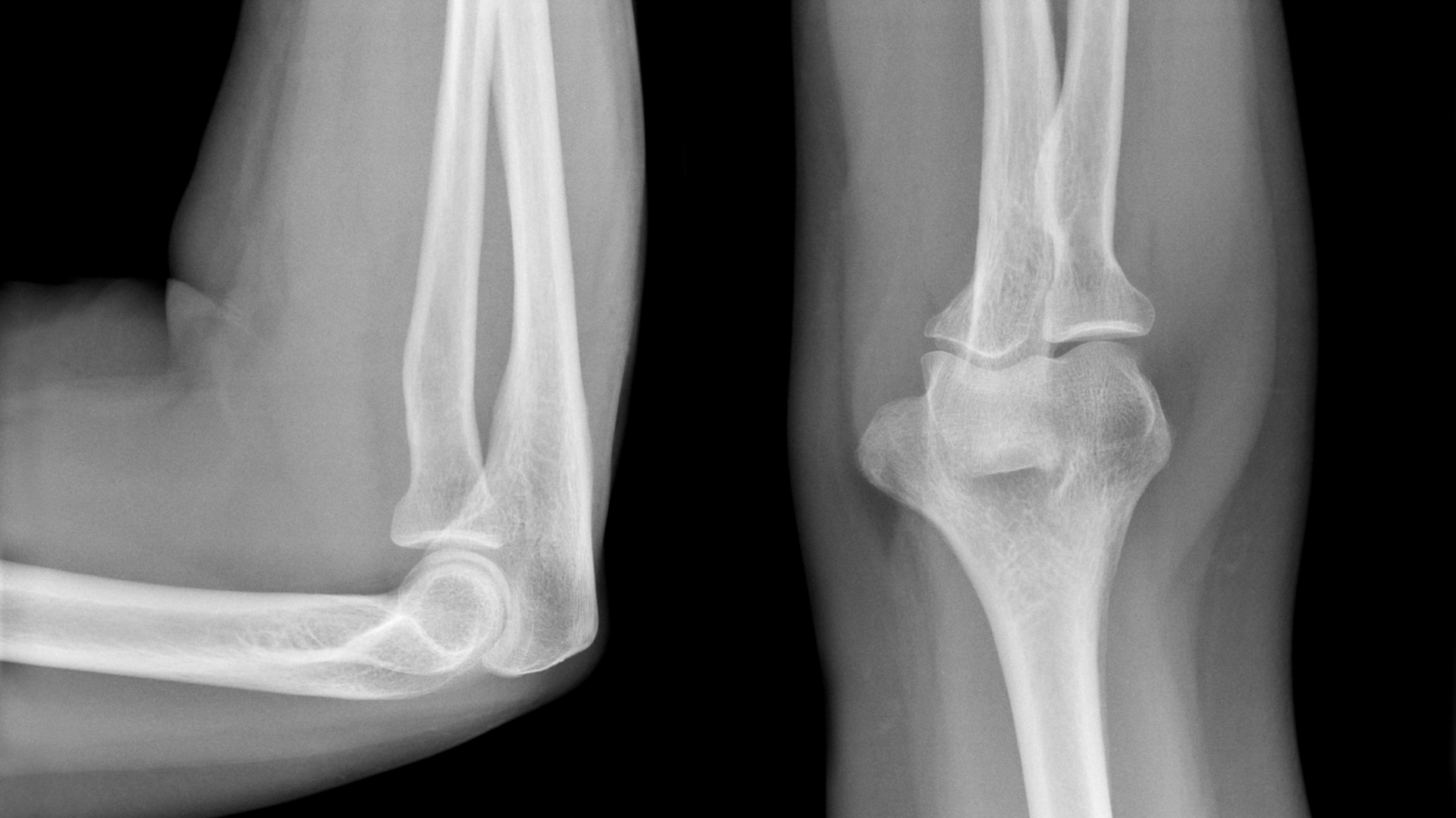
X-quang khớp khuỷu phát hiện được những gì?
Sau khi được chỉ định, nhiều người thường băn khoăn X-quang khớp khuỷu có thể phát hiện những vấn đề nào. Thực tế, phương pháp này chủ yếu đánh giá cấu trúc xương và khớp.
Các tổn thương do chấn thương
Đây là nhóm nguyên nhân phổ biến nhất:
- Gãy đầu xương quay.
- Gãy mỏm khuỷu.
- Trật khớp khuỷu.
Những tổn thương này thường xảy ra sau tai nạn hoặc té ngã và cần được phát hiện sớm để xử lý phù hợp.
Bệnh lý xương khớp
Ngoài chấn thương, X-quang khuỷu còn hỗ trợ nhận diện:
- Viêm khớp.
- Thoái hóa khớp.
- Hình thành gai xương.
Các bệnh lý này thường tiến triển âm thầm và có thể gây hạn chế vận động nếu không được theo dõi.
Một số bất thường khác
Trong một số trường hợp, X-quang khớp khuỷu còn giúp phát hiện:
- Nhiễm trùng xương.
- Dị dạng cấu trúc xương.
- Theo dõi sau điều trị như bó bột hoặc phẫu thuật.
Những giới hạn cần biết
Dù hữu ích, phương pháp này vẫn có những hạn chế nhất định. X-quang không cho thấy rõ:
- Dây chằng.
- Gân.
- Mô mềm quanh khớp.
Vì vậy, nếu kết quả chưa rõ ràng, bác sĩ có thể chỉ định thêm các kỹ thuật khác để đánh giá toàn diện hơn.

Quy trình chụp X-quang khớp khuỷu diễn ra như thế nào?
Nhiều người lo lắng về quá trình thực hiện, tuy nhiên chụp X-quang khớp khuỷu thường diễn ra nhanh và đơn giản. Việc nắm rõ các bước sẽ giúp bạn yên tâm hơn khi thực hiện.
Trước khi chụp cần chuẩn bị gì?
Trước khi tiến hành, bạn có thể được hướng dẫn:
- Tháo các vật dụng kim loại như đồng hồ, vòng tay.
- Thông báo tình trạng sức khỏe đặc biệt.
- Không cần nhịn ăn hoặc chuẩn bị phức tạp.
Các tư thế chụp thường gặp
Để đánh giá chính xác, kỹ thuật viên có thể yêu cầu thực hiện nhiều tư thế:
- Tư thế thẳng.
- Tư thế nghiêng.
- Tư thế chếch.
Việc thay đổi góc chụp giúp quan sát rõ hơn cấu trúc khớp và phát hiện bất thường.
Quá trình chụp diễn ra ra sao?
Trong quá trình thực hiện:
- Tay được đặt đúng vị trí theo hướng dẫn.
- Người bệnh cần giữ yên trong vài phút.
- Toàn bộ quá trình diễn ra nhanh chóng và không gây đau.
Sau khi chụp cần lưu ý gì?
Sau khi hoàn tất:
- Có thể sinh hoạt bình thường.
- Không cần nghỉ ngơi đặc biệt.
- Kết quả thường có trong thời gian ngắn.
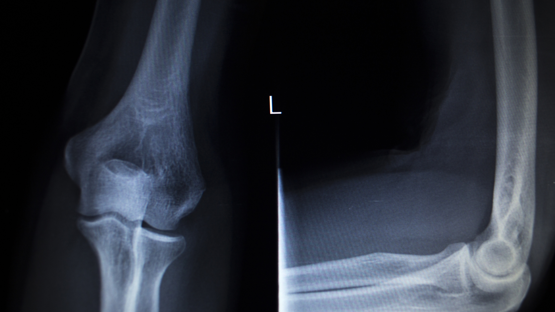
Cách đọc kết quả X-quang khớp khuỷu dễ hiểu
Không phải ai cũng hiểu rõ kết quả X-quang. Tuy nhiên, bạn vẫn có thể nắm được những dấu hiệu cơ bản để theo dõi tình trạng sức khỏe.
Hình ảnh bình thường
Một phim X-quang khớp khuỷu bình thường thường có:
- Cấu trúc xương rõ nét.
- Khe khớp đều.
- Không có dấu hiệu lệch trục.
Dấu hiệu bất thường
Một số dấu hiệu có thể gợi ý vấn đề:
- Xuất hiện đường gãy.
- Lệch vị trí khớp.
- Hẹp khe khớp.
- Hình thành gai xương.
Khi nào cần kiểm tra thêm?
Trong một số trường hợp, dù đã chụp X-quang khớp khuỷu nhưng vẫn cần thăm khám thêm nếu:
- Còn đau kéo dài.
- Kết quả chưa rõ ràng.
- Nghi ngờ tổn thương mô mềm.

Chụp X-quang khớp khuỷu có an toàn không?
Một trong những mối quan tâm phổ biến là mức độ an toàn khi chụp X-quang khớp khuỷu. Thực tế, đây là phương pháp được sử dụng rộng rãi với liều tia thấp.
Mức độ an toàn
Theo các tài liệu y khoa quốc tế, X-quang sử dụng lượng bức xạ thấp và thời gian tiếp xúc ngắn, do đó:
- Phù hợp trong đa số trường hợp.
- Ít gây ảnh hưởng nếu thực hiện đúng chỉ định.
Những lưu ý quan trọng
Để đảm bảo an toàn, bạn nên:
- Thông báo nếu đang mang thai.
- Tránh chụp lặp lại khi không cần thiết.
- Tuân thủ hướng dẫn của nhân viên y tế.
So sánh với phương pháp khác
Mỗi phương pháp chẩn đoán có vai trò riêng:
- X-quang: Đánh giá xương nhanh.
- MRI: Đánh giá mô mềm.
- CT: Hình ảnh chi tiết hơn.
Việc lựa chọn phụ thuộc vào tình trạng cụ thể của từng người.

X-quang khớp khuỷu là phương pháp giúp đánh giá nhanh các vấn đề liên quan đến xương và khớp khuỷu tay. Khi có dấu hiệu đau, sưng hoặc chấn thương, việc thăm khám sớm và thực hiện đúng chỉ định sẽ giúp phát hiện vấn đề kịp thời và hạn chế biến chứng.
:format(webp)/470051785_8767135473405056_691967411107495592_n_6b2bbff755.png)
:format(webp)/467434554_545745841560409_1066418224364723785_n_560a494f9c.png)
/cham_dut_benh_lao_co_kha_thi_cap_nhat_xet_nghiem_chan_doan_moi_nhat_tu_who_giup_phat_hien_som_0_15ef06d02e.png)
/sieu_am_co_phat_hien_soi_than_khong_nhung_dieu_can_biet_1_2e61fdc0ef.png)
/tang_am_giam_am_trong_sieu_am_la_gi_hieu_dung_de_doc_ket_qua_khong_con_lo_lang_1_2b30a18772.png)
/buon_tieu_de_sieu_am_vi_sao_can_va_cach_thuc_hien_dung_1_822ebb7d4e.png)
/sieu_am_bung_tong_quat_o_dau_uy_tin_goi_y_lua_chon_phu_hop_va_luu_y_quan_trong_1_d22b068528.png)