X-quang xương cẳng tay được sử dụng phổ biến trong cấp cứu và khám cơ xương khớp nhờ khả năng hiển thị cấu trúc xương rõ ràng. Cẳng tay gồm xương quay và xương trụ, dễ tổn thương khi té ngã chống tay hoặc va đập trực tiếp. Không phải trường hợp nào cũng biểu hiện biến dạng rõ rệt. Vì vậy, chẩn đoán hình ảnh giúp bác sĩ đưa ra quyết định điều trị chính xác hơn.
X-quang xương cẳng tay là gì?
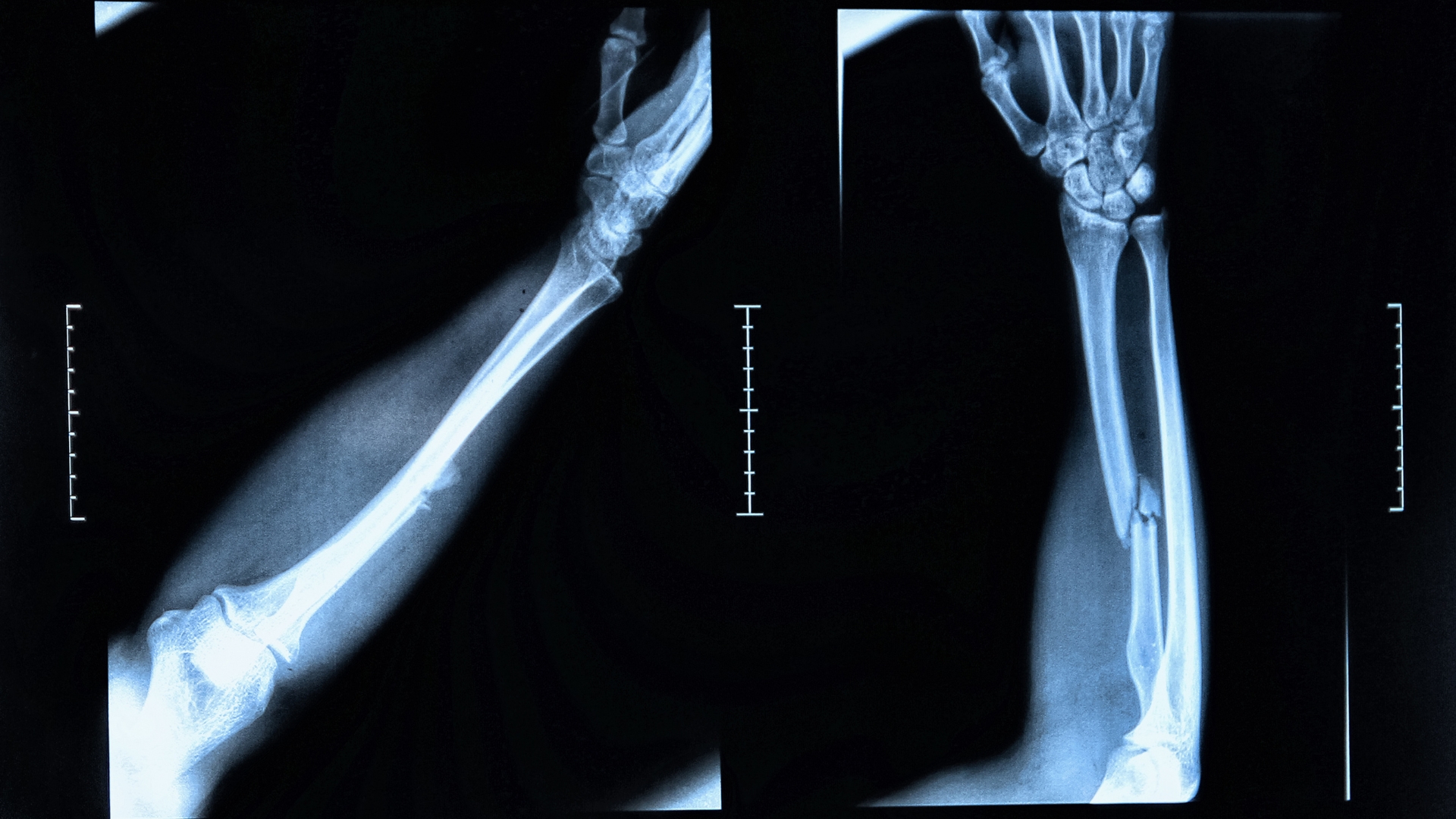
X-quang xương cẳng tay là phương pháp chẩn đoán hình ảnh sử dụng tia X để tạo ra hình ảnh của hai xương chính ở cẳng tay là xương quay và xương trụ. Hình ảnh thu được giúp bác sĩ quan sát cấu trúc xương, phát hiện đường nứt, gãy, biến dạng hoặc những thay đổi bất thường liên quan đến khớp cổ tay và khuỷu tay.
Trong thực tế, người bệnh thường được chụp ở ít nhất hai tư thế cơ bản gồm tư thế thẳng và tư thế nghiêng. Việc chụp ở hai góc khác nhau giúp đánh giá toàn diện trục xương và mức độ di lệch nếu có. Nhờ đó, các tổn thương nhỏ hoặc gãy kín khó nhận thấy trên một mặt phẳng duy nhất sẽ ít bị bỏ sót hơn.

Khi nào cần thực hiện X-quang ở xương cẳng tay?
Chụp X-quang xương cẳng tay nên được thực hiện sớm khi có dấu hiệu nghi ngờ tổn thương xương sau va chạm hoặc khi xuất hiện triệu chứng bất thường kéo dài. Việc trì hoãn kiểm tra có thể khiến xương gãy di lệch nhiều hơn, làm tăng nguy cơ biến chứng và ảnh hưởng đến khả năng vận động về sau.
Trường hợp chấn thương cấp tính
X-quang thường được chỉ định ngay trong các tình huống sau:
Té ngã chống tay: Khi ngã và dùng tay chống đỡ, lực tác động truyền trực tiếp lên cẳng tay có thể gây gãy xương quay, xương trụ hoặc gãy cả hai xương cùng lúc.
Tai nạn giao thông, tai nạn lao động: Va chạm mạnh hoặc lực xoắn đột ngột khiến xương chịu áp lực lớn và dễ nứt hoặc gãy.
Biến dạng rõ rệt ở cẳng tay: Tay cong bất thường, sưng nề nhanh, bầm tím hoặc đau dữ dội là dấu hiệu cảnh báo cần chụp kiểm tra.
Giảm hoặc mất khả năng vận động: Người bệnh không thể xoay, gập hay duỗi tay như bình thường sau chấn thương.
Trong cấp cứu, chụp sớm giúp xác định vị trí gãy, mức độ di lệch và tổn thương kèm theo. Từ đó, bác sĩ có thể quyết định bó bột, nắn chỉnh hay can thiệp phẫu thuật phù hợp.

Trường hợp không do chấn thương
Ngoài tai nạn, X-quang còn được cân nhắc khi có các biểu hiện sau:
Đau cẳng tay kéo dài nhiều tuần không rõ nguyên nhân.
Nghi ngờ viêm xương, viêm tủy xương hoặc tổn thương tiêu xương.
Theo dõi các bất thường cấu trúc xương hoặc đánh giá mức độ loãng xương.
Trong thực hành lâm sàng, X-quang thường là kỹ thuật đầu tiên để xác định và phân loại đa số trường hợp gãy xương trước khi cân nhắc các kỹ thuật hình ảnh chuyên sâu hơn.

Quy trình thực hiện diễn ra như thế nào?
Chụp X-quang xương cẳng tay là thủ thuật đơn giản, thực hiện nhanh và không gây đau. Người bệnh không cần gây mê hay nhịn ăn trước khi chụp. Tuy vậy, việc tuân thủ đúng quy trình kỹ thuật rất quan trọng để đảm bảo hình ảnh rõ nét và hạn chế phải chụp lại nhiều lần.
Trước khi bắt đầu, kỹ thuật viên sẽ hướng dẫn người bệnh tháo bỏ đồng hồ, vòng tay hoặc các vật kim loại ở vùng cần khảo sát. Những vật này có thể tạo bóng cản trên phim, làm che khuất cấu trúc xương và ảnh hưởng đến kết quả chẩn đoán.
Quy trình chụp thường gồm các bước cơ bản sau:
Tư thế thẳng: Cẳng tay được duỗi thẳng hoàn toàn, lòng bàn tay ngửa và đặt sát mặt bàn chụp. Tư thế này giúp quan sát toàn bộ chiều dài xương quay và xương trụ.
Tư thế nghiêng: Cẳng tay xoay sang một bên, cạnh ngoài áp sát bàn để đánh giá sự di lệch theo chiều trước - sau.
Giữ nguyên tư thế trong lúc phát tia: Người bệnh cần giữ tay bất động vài giây khi máy hoạt động để tránh hình ảnh bị mờ.
Liều tia sử dụng trong chụp X-quang chi trên tương đối thấp và được kiểm soát theo tiêu chuẩn an toàn bức xạ. Mức phơi nhiễm từ một lần chụp ở vùng cẳng tay thường rất nhỏ và không vượt ngưỡng an toàn đối với cơ thể.
Toàn bộ quá trình thường diễn ra trong vài phút. Sau khi chụp, người bệnh có thể sinh hoạt bình thường và chờ nhận kết quả theo hướng dẫn của cơ sở y tế.
X-quang xương cẳng tay có an toàn không?
Chụp X-quang xương cẳng tay được xem là an toàn khi thực hiện đúng chỉ định và tại cơ sở y tế tuân thủ tiêu chuẩn an toàn bức xạ. Lượng tia sử dụng trong một lần chụp vùng chi trên tương đối thấp. Sau khi chụp, tia X không tồn tại hay tích tụ trong cơ thể nên không gây ảnh hưởng kéo dài. Tuy nhiên, người bệnh vẫn cần lưu ý một số vấn đề sau:
Phụ nữ đang mang thai: Nên thông báo cho nhân viên y tế trước khi chụp. Dù vùng cẳng tay ở xa tử cung, bác sĩ vẫn sẽ cân nhắc lợi ích - nguy cơ và áp dụng biện pháp che chắn phù hợp nếu cần.
Trẻ em: Chỉ nên chụp khi thật sự cần thiết để tránh phơi nhiễm không cần thiết, vì trẻ nhạy cảm hơn với bức xạ so với người trưởng thành.
Hạn chế chụp lặp lại: Việc cử động trong lúc chụp có thể làm hình ảnh bị mờ và phải chụp lại, từ đó làm tăng tổng liều tia.
Trong đa số trường hợp, lợi ích của việc phát hiện sớm gãy xương hoặc tổn thương cấu trúc xương vượt xa nguy cơ từ liều tia thấp. Nếu trì hoãn kiểm tra khi nghi ngờ gãy xương, xương có thể liền sai trục, gây đau kéo dài hoặc hạn chế vận động về lâu dài.

Ý nghĩa kết quả và hướng xử trí sau chụp
Kết quả X-quang giúp xác định có hay không tổn thương xương và đánh giá mức độ nghiêm trọng của tình trạng đó. Dựa trên hình ảnh thu được, bác sĩ sẽ lựa chọn phương án điều trị phù hợp với từng trường hợp cụ thể.
Một số tình huống thường gặp gồm:
Gãy xương không di lệch: Hai đầu xương vẫn nằm đúng vị trí giải phẫu. Người bệnh thường được bó bột hoặc cố định tay trong thời gian nhất định. Bác sĩ sẽ hẹn chụp kiểm tra định kỳ để theo dõi quá trình liền xương.
Gãy xương di lệch nhiều hoặc gãy nhiều mảnh: Trường hợp này có thể cần can thiệp phẫu thuật để đưa xương về đúng trục. Các phương pháp thường dùng gồm cố định bằng nẹp vít hoặc đinh nội tủy nhằm đảm bảo xương liền vững chắc.
Nếu người bệnh vẫn đau kéo dài hoặc hạn chế vận động, bác sĩ có thể chỉ định thêm các kỹ thuật hình ảnh khác như CT hoặc MRI. Những phương pháp này giúp đánh giá tổn thương phần mềm, dây chằng hoặc các đường gãy kín khó thấy trên phim thường.
Việc tái khám đúng lịch rất quan trọng để kiểm soát tiến trình liền xương và phát hiện sớm biến chứng như chậm liền xương hoặc khớp giả. Bên cạnh đó, người bệnh cần tuân thủ hướng dẫn bất động, dùng thuốc và tập phục hồi chức năng theo chỉ định để khôi phục tối đa khả năng vận động của cẳng tay.

X-quang xương cẳng tay là phương tiện quan trọng trong chẩn đoán và theo dõi tổn thương vùng cẳng tay. Thực hiện đúng thời điểm giúp phát hiện gãy xương sớm và hạn chế biến chứng lâu dài. Khi xuất hiện đau, sưng hoặc hạn chế vận động sau chấn thương, người bệnh nên thăm khám để được chỉ định chụp x-quang kịp thời. Chủ động kiểm tra đúng lúc là bước quan trọng để bảo vệ chức năng vận động của tay.
:format(webp)/470051785_8767135473405056_691967411107495592_n_6b2bbff755.png)
:format(webp)/467434554_545745841560409_1066418224364723785_n_560a494f9c.png)
/test_do_nhay_cam_la_gi_khi_nao_can_test_do_nhay_cam_truoc_khi_dung_my_pham_1_1ce6a35d83.png)
/benh_a_z_trat_khop_61f6e12195.png)
/benh_a_z_run_tay_0_d0dcfa2419.jpg)
/bi_chuot_rut_nen_lam_gi_cach_xu_ly_nhanh_va_phong_ngua_hieu_qua_0_503e010766.png)
/sau_noi_soi_dai_trang_1_e57c19d4f3.jpg)