Tìm hiểu chung về viêm phổi kẽ
Viêm phổi kẽ là một thuật ngữ chung được sử dụng cho một nhóm lớn các bệnh lý gây ra tình trạng viêm và xơ hóa trong phổi. Tổn thương này xảy ra ở các mô nằm giữa các túi khí nhỏ (phế nang) và các mạch máu xung quanh chúng. Viêm phổi kẽ còn được gọi là bệnh phổi nhu mô lan tỏa.
Khi mô nằm trong hoặc xung quanh các túi khí bị xơ cứng và sẹo hóa, các túi khí này không thể giãn nở hoàn toàn. Điều này khiến người bệnh gặp khó khăn khi hít vào và đưa oxy vào cơ thể. Do đó, viêm phổi kẽ được coi là một loại bệnh phổi hạn chế, nghĩa là tổn thương trong phổi làm cho phổi khó giãn nở hoàn toàn.
Tổn thương phổi do viêm phổi kẽ gây ra thường không thể hồi phục. Tùy thuộc vào loại viêm phổi kẽ, tình trạng bệnh có thể trở nên tồi tệ hơn theo thời gian. Có hơn 200 bệnh lý được xếp vào nhóm viêm phổi kẽ.
Các ví dụ về viêm phổi kẽ bao gồm:
- Xơ phổi vô căn (loại viêm phổi kẽ phổ biến nhất).
- Bệnh bụi phổi amiăng.
- Bệnh bụi phổi ở công nhân mỏ than.
- Viêm phổi tổ chức hóa không rõ nguyên nhân.
- Viêm phổi quá mẫn.
- Bệnh sarcoidosis.
- Bệnh bụi phổi silic.
- Viêm phổi kẽ không đặc hiệu.
Triệu chứng viêm phổi kẽ
Những dấu hiệu và triệu chứng của viêm phổi kẽ
Triệu chứng phổ biến nhất của tất cả các loại viêm phổi kẽ là khó thở. Khó thở này thường trở nên tồi tệ hơn khi người bệnh gắng sức hoặc vận động.
Các triệu chứng khác có thể bao gồm:
- Ho khan;
- Mệt mỏi;
- Tức ngực hoặc khó chịu ở ngực.
Các triệu chứng này thường nhẹ lúc ban đầu nhưng sẽ xấu đi trong nhiều tháng hoặc nhiều năm.

Khi bệnh viêm phổi kẽ trở nên nghiêm trọng hơn (giai đoạn tiến triển), người bệnh có thể xuất hiện các dấu hiệu sau:
- Ngón tay, ngón chân dùi trống hoặc ngón tay/ngón chân bị bè ra.
- Sụt cân và chán ăn.
- Nồng độ oxy trong máu thấp.
- Nghe phổi sẽ thấy tiếng ran nổ.
Biến chứng có thể gặp khi mắc bệnh viêm phổi kẽ
Các trường hợp nghiêm trọng nếu không được điều trị có thể dẫn đến các biến chứng đe dọa tính mạng.
Các biến chứng nghiêm trọng của viêm phổi kẽ bao gồm:
- Tăng áp phổi;
- Suy hô hấp;
- Suy tim;
- Nhiễm trùng phổi;
- Tràn khí màng phổi;
- Ung thư phổi.
Khi nào cần gặp bác sĩ?
Bạn nên đến gặp bác sĩ nếu bạn gặp các dấu hiệu sau:
- Khó thở ngày càng tăng.
- Khó thở khi tập thể dục hoặc gắng sức.
- Ho khan kéo dài.
Tiên lượng bệnh viêm phổi kẽ sẽ tốt nhất nếu được điều trị càng sớm càng tốt.
Nguyên nhân gây viêm phổi kẽ
Nguyên nhân gây ra bệnh viêm phổi kẽ được phân thành nhóm nguyên nhân đã biết và không rõ (vô căn). Có hàng chục nguyên nhân đã được xác định, nhưng viêm phổi kẽ cũng có thể xảy ra mà không tìm thấy nguyên nhân.
Nguyên nhân đã biết của viêm phổi kẽ
Viêm phổi kẽ xảy ra do một bệnh lý nền mà người bệnh đang mắc phải hoặc do tiếp xúc với một chất gây hại nào đó.
Các nguyên nhân đã biết bao gồm:
- Bệnh mô liên kết: Bao gồm viêm khớp dạng thấp, lupus, và xơ cứng bì.
- Bệnh u hạt.
- Tiếp xúc với môi trường và nghề nghiệp: Tiếp xúc với các chất gây kích ứng phổi trong quá khứ hoặc hiện tại, chẳng hạn như: Bụi, hóa chất, khói, amiăng, silica, thuốc lá; phản ứng dị ứng với các chất hít phải (viêm phổi quá mẫn), bao gồm nấm mốc, nấm, vi khuẩn, hoặc mảnh lông chim.
- Tác động từ thuốc hoặc phương pháp điều trị: Các loại thuốc nhất định, như hóa trị hoặc các loại thuốc khác ảnh hưởng đến phổi (ví dụ: Amiodarone, nitrofurantoin, methotrexate).
- Nhiễm trùng phổi: Có thể gây ra hoặc làm trầm trọng thêm viêm phổi kẽ.

Nguyên nhân không rõ gây viêm phổi kẽ
Khi bác sĩ không tìm được nguyên nhân gây ra viêm phổi kẽ, tình trạng này được gọi là viêm phổi kẽ vô căn.
Nguy cơ mắc bệnh viêm phổi kẽ
Những ai có nguy cơ mắc bệnh viêm phổi kẽ?
Bất kỳ ai cũng có thể mắc bệnh viêm phổi kẽ, kể cả trẻ em. Bạn có nhiều khả năng mắc viêm phổi kẽ hơn nếu thuộc các nhóm sau:
- Người trên 70 tuổi.
- Giới tính nam.
- Người hút thuốc hoặc đã từng hút thuốc.
- Người có tiền sử mắc một số bệnh lý hoặc tình trạng nhất định, như viêm gan C, lao, viêm phổi, bệnh phổi tắc nghẽn mạn tính (COPD), hoặc bệnh mô liên kết.
- Người làm việc trong môi trường tiếp xúc với các chất như amiăng, silica, nấm mốc, nấm, hoặc vi khuẩn.
- Người đã từng xạ trị vùng ngực.

Yếu tố làm tăng nguy cơ mắc bệnh viêm phổi kẽ
Các yếu tố sau đây được biết là làm tăng nguy cơ mắc viêm phổi kẽ:
- Tuổi tác cao (trên 70 tuổi).
- Hút thuốc lá, sử dụng các sản phẩm thuốc lá khác hoặc vape và hít phải khói thuốc lá thụ động.
- Tiếp xúc với các chất độc hại trong môi trường hoặc nghề nghiệp (ví dụ: Bụi kim loại, hóa chất, silica, amiăng).
- Tiền sử xạ trị ngực.
- Có bệnh lý nền, đặc biệt là các bệnh mô liên kết như viêm khớp dạng thấp hoặc sarcoidosis.
Phương pháp chẩn đoán và điều trị bệnh viêm phổi kẽ
Phương pháp xét nghiệm và chẩn đoán viêm phổi kẽ
Để chẩn đoán viêm phổi kẽ, bác sĩ sẽ hỏi về tiền sử gia đình và bệnh sử của bạn, đồng thời thực hiện các xét nghiệm và chẩn đoán hình ảnh.
Các xét nghiệm và chẩn đoán có thể được thực hiện bao gồm:
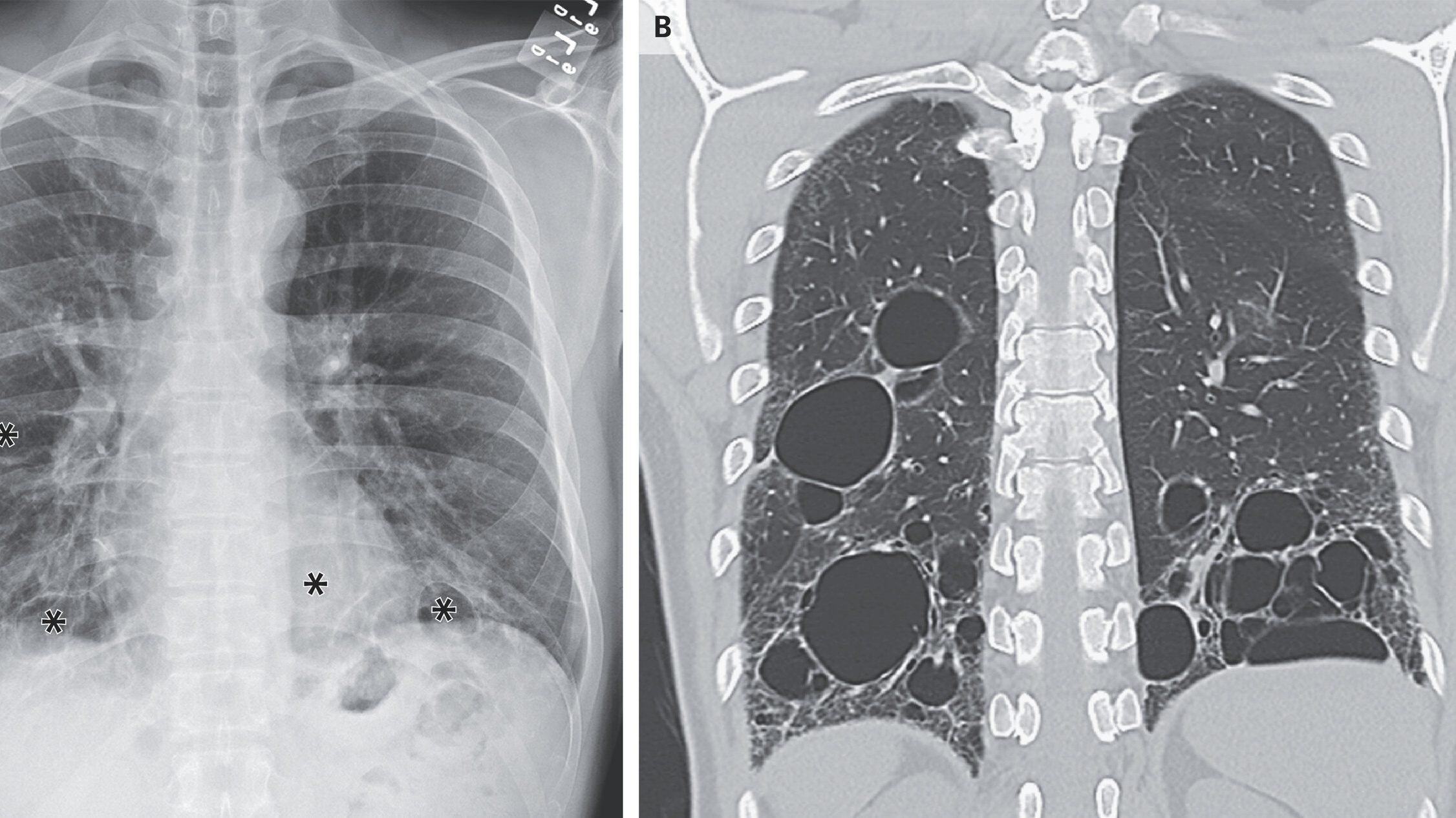
- Chẩn đoán hình ảnh: Chụp X-quang ngực hoặc chụp CT để có cái nhìn rõ hơn về phổi và giúp chẩn đoán viêm phổi kẽ.
- Xét nghiệm chức năng phổi: Thường là các bài kiểm tra hô hấp để kiểm tra mức độ hoạt động của phổi.
- Xét nghiệm máu: Lấy mẫu máu để kiểm tra các dấu hiệu của bệnh tự miễn hoặc các nguyên nhân viêm phổi kẽ đã biết.
- Sinh thiết phổi: Lấy một mẫu mô nhỏ từ phổi để nghiên cứu dưới kính hiển vi, giúp xác định loại viêm phổi kẽ cụ thể.

Phương pháp điều trị viêm phổi kẽ
Hiện tại chưa có cách chữa khỏi bệnh viêm phổi kẽ. Việc điều trị thường tập trung vào xử lý bệnh lý nền và cải thiện triệu chứng. Mục tiêu điều trị là giảm triệu chứng, cải thiện chất lượng cuộc sống và làm chậm sự tiến triển của bệnh.
Các phương pháp điều trị và thuốc được sử dụng bao gồm:
- Thuốc chống viêm: Corticosteroids (ví dụ: Prednisone) được sử dụng để giảm viêm trong phổi. Loại thuốc này được kê đơn nếu người bệnh mắc bệnh tự miễn.
- Thuốc chống xơ hóa: Các loại thuốc này (như pirfenidone và nintedanib) có thể giúp làm chậm quá trình xơ hóa phổi mới. Hai loại thuốc pirfenidone và nintedanib đã được FDA chấp thuận để làm chậm tiến triển xơ hóa ở những người được chẩn đoán mắc xơ phổi vô căn.
- Thuốc sinh học: Đôi khi các loại thuốc như rituximab được sử dụng để điều trị bệnh tự miễn và các nguyên nhân gây viêm phổi kẽ khác.
- Điều trị trào ngược dạ dày thực quản: Bệnh trào ngược dạ dày thực quản có thể làm viêm phổi kẽ tồi tệ hơn, vì vậy bác sĩ có thể kê đơn thuốc để kiểm soát axit dạ dày.
Chế độ sinh hoạt và phòng ngừa bệnh viêm phổi kẽ
Những thói quen sinh hoạt có thể giúp bạn hạn chế diễn tiến của viêm phổi kẽ
Chế độ sinh hoạt
Nếu được chẩn đoán mắc viêm phổi kẽ, cách tốt nhất để chăm sóc bản thân là lập kế hoạch với bác sĩ để quản lý các triệu chứng và ngăn ngừa tổn thương thêm:
- Ngừng hút thuốc: Nếu bạn hút thuốc, sử dụng các sản phẩm thuốc lá khác hoặc vape, hãy bỏ ngay lập tức và tránh xa khói thuốc lá thụ động.
- Hoạt động thể chất: Tập thể dục và hoạt động thể chất có thể tăng cường mức năng lượng, cải thiện cách cơ thể sử dụng oxy và giúp giảm căng thẳng, lo lắng, trầm cảm.
- Quản lý bệnh lý nền: Điều trị mọi tình trạng bệnh lý nền, đặc biệt là những bệnh có thể góp phần gây ra viêm phổi kẽ như trào ngược dạ dày thực quản.
- Thận trọng trong môi trường làm việc: Nếu bạn làm việc với các chất có thể gây tổn thương phổi hoặc gây phản ứng dị ứng, hãy đảm bảo an toàn bằng cách tuân thủ quy định an toàn lao động cũng như mặc đồ bảo hộ khi làm việc.

Chế độ dinh dưỡng
Một chế độ dinh dưỡng cân bằng sẽ giúp bạn trong việc phòng ngừa bệnh viêm phổi kẽ:
- Duy trì chế độ ăn uống và cân nặng khỏe mạnh: Chế độ ăn uống và cân nặng khỏe mạnh đóng vai trò quan trọng trong việc kiểm soát viêm phổi kẽ.
- Quản lý tác dụng phụ của thuốc: Một số loại thuốc điều trị viêm phổi kẽ gây ra tác dụng phụ như tiêu chảy hoặc trào ngược axit. Hãy hỏi bác sĩ nếu bạn gặp các vấn đề như đầy hơi, trào ngược axit hoặc khó thở khi ăn.

Phương pháp phòng ngừa viêm phổi kẽ hiệu quả
Hiện không có vắc xin đặc hiệu cho bệnh này, tuy nhiên việc tuân thủ những phương pháp dưới đây sẽ giúp ích cho bạn trong việc phòng ngừa căn bệnh này:
- Tránh xa các chất độc hại: Tránh hoặc đeo mặt nạ phòng độc khi làm việc xung quanh các chất độc hại, chẳng hạn như amiăng, bụi kim loại, hoặc hóa chất. Đồng thời cũng nên hạn chế tiếp xúc trực tiếp với các yếu tố có thể gây phản ứng dị ứng mãn tính như cỏ khô, ngũ cốc và lông chim.
- Quản lý bệnh lý nền: Nếu bạn mắc bệnh mô liên kết hoặc sarcoidosis, hãy thảo luận với bác sĩ về các cách quản lý bệnh của bạn để ngăn ngừa viêm phổi kẽ.
- Không hút thuốc: Bỏ hút thuốc nếu bạn đang hút.
- Tiêm chủng: Việc tiêm chủng có thể giúp phòng ngừa các bệnh nhiễm trùng phổi, yếu tố có thể gây ra hoặc làm trầm trọng thêm bệnh viêm phổi kẽ.
:format(webp)/470051785_8767135473405056_691967411107495592_n_6b2bbff755.png)
:format(webp)/467434554_545745841560409_1066418224364723785_n_560a494f9c.png)
:format(webp)/viem_phoi_ke_e963ab4c3a.png)
/viem_phoi_ke_tre_em1_04932464cf.jpg)
/viem_phoi_bam_sinh_o_tre_so_sinh_va_huong_dieu_tri_hieu_qua_hien_nay_3_bcff2439fb.png)
/khao_sat_nhan_thuc_suoi_am_dinh_duong_va_phong_benh_khi_mien_bac_don_ret_keo_dai_e6d2d147bd.png)
/viem_tieu_phe_quan_va_viem_phoi_phan_biet_chinh_xac_de_dieu_tri_hieu_qua_1_a5639c5f51.jpg)
/viem_phoi_do_virus_o_tre_em_nguyen_nhan_va_cach_xu_tri_3_57f4459ee8.png)