Tìm hiểu chung về tai biến mạch máu não
Tai biến mạch máu não là một căn bệnh ảnh hưởng đến các động mạch trong não. Đột quỵ xảy ra khi một mạch máu mang oxy và chất dinh dưỡng đến não bị tắc nghẽn bởi cục máu đông hoặc mạch máu bị vỡ gây xuất huyết. Khi điều này xảy ra, một phần của não không nhận được máu và oxy cần thiết làm các tế bào não chết đi. Việc điều trị kịp thời là vô cùng quan trọng để giảm thiểu tổn thương não và nguy cơ tử vong hoặc tàn tật.
Các loại tai biến mạch máu não:
Đột quỵ thiếu máu cục bộ (Ischemic Stroke): Đây là loại đột quỵ phổ biến nhất, chiếm khoảng 85% các trường hợp. Bệnh xảy ra khi nguồn cung cấp máu đến một phần của não bị chặn hoặc giảm đi, ngăn cản mô não nhận được oxy và chất dinh dưỡng, thường do cục máu đông chặn hoặc làm hẹp động mạch dẫn đến não.
Đột quỵ xuất huyết (Hemorrhagic Stroke): Xảy ra khi một mạch máu trong não bị rò rỉ hoặc vỡ. Máu tràn vào bên trong não, gây chảy máu não và làm tăng áp lực lên các tế bào não, gây tổn thương.
Cơn thiếu máu não thoáng qua (Transient Ischemic Attack - TIA): TIA là một giai đoạn tạm thời có các triệu chứng tương tự như đột quỵ. Tình trạng này được gây ra bởi sự giảm tạm thời lưu lượng máu đến một phần của não, thường kéo dài chỉ trong vài phút và không gây tổn thương vĩnh viễn. Tuy TIA không gây triệu chứng kéo dài, nó là dấu hiệu cảnh báo nghiêm trọng về nguy cơ đột quỵ thực sự sau này.
Triệu chứng thường gặp của tai biến mạch máu não
Những triệu chứng của tai biến mạch máu não
Để nhận biết các dấu hiệu cảnh báo tai biến mạch máu não (đột quỵ), hãy nhớ quy tắc F.A.S.T (hoặc BE FAST):
- F - Face (Mặt): Yêu cầu người đó mỉm cười nhìn xem một bên mặt có bị chảy xệ không? Mất kiểm soát cơ mặt ở một bên không?
- A - Arms (Tay): Yêu cầu người đó giơ cả hai cánh tay lên. Một cánh tay có rơi xuống hoặc không thể nâng lên không?
- S - Speech (Lời nói): Yêu cầu người đó lặp lại một cụm từ đơn giản. Lời nói của họ có bị nói lắp hoặc nghe lạ/khó hiểu không?
- T - Time (Thời gian): Nếu bạn thấy bất kỳ dấu hiệu nào trong số này hãy đưa bệnh nhân đến cơ sở y tế ngay.
Các triệu chứng tai biến mạch máu não khác bao gồm:
- Tê hoặc yếu đột ngột ở mặt, cánh tay hoặc chân, thường chỉ ở một bên cơ thể.
- Lú lẫn đột ngột, khó nói hoặc khó hiểu lời nói của người khác.
- Khó nhìn đột ngột ở một hoặc cả hai mắt như nhìn mờ, đen hoặc nhìn đôi.
- Khó đi lại đột ngột, chóng mặt, mất thăng bằng hoặc mất phối hợp.
- Đau đầu dữ dội đột ngột không rõ nguyên nhân, triệu chứng này đôi khi kèm theo nôn mửa, chóng mặt và thay đổi ý thức.
- Mất trí nhớ, thay đổi tâm trạng hoặc tính cách đột ngột, cứng cổ, ngất xỉu hoặc co giật.

Tác động của tai biến mạch máu não với sức khỏe
Bộ não là một cơ quan cực kỳ phức tạp kiểm soát nhiều chức năng cơ thể. Nếu tai biến mạch máu não xảy ra và máu không thể đến khu vực kiểm soát một chức năng nào đó, phần cơ thể đó sẽ không hoạt động như bình thường. Tai biến mạch máu não có thể gây ra tàn tật về ngôn ngữ, vận động và cảm giác trong một khoảng thời gian hoặc lâu hơn tùy tình trang bệnh. Mức độ tổn thương sẽ phụ thuộc vào việc não bị thiếu máu xảy ra trong bao lâu và phần nào của não bị ảnh hưởng. Phục hồi sau tai biến mạch máu não là một sự kiện thay đổi cuộc đời, ảnh hưởng đến người bệnh cả về mặt cảm xúc lẫn thể chất.
Biến chứng có thể gặp khi mắc tai biến mạch máu não
Các biến chứng chính sau tai biến mạch máu não bao gồm:
- Mất cử động cơ (tê liệt): Người bệnh có thể bị tê liệt hoặc mất kiểm soát cơ bắp ở một bên cơ thể.
- Khó nói hoặc nuốt: Đột quỵ có thể ảnh hưởng đến các cơ ở miệng và cổ họng, gây khó nói rõ ràng, khó nuốt hoặc ăn. Người bệnh cũng có thể gặp khó khăn về ngôn ngữ gồm khó nói, khó hiểu lời nói, khó đọc hoặc viết.
- Mất trí nhớ hoặc khó suy nghĩ: Nhiều người sống sót sau đột quỵ bị mất trí nhớ hoặc gặp khó khăn trong việc suy luận, đưa ra phán đoán và hiểu các khái niệm.
- Các triệu chứng cảm xúc: Người bệnh có thể gặp khó khăn hơn trong việc kiểm soát cảm xúc hoặc phát triển chứng trầm cảm.
- Thay đổi hành vi và tự chăm sóc: Người bệnh có thể cần hỗ trợ trong việc chải chuốt và các công việc hàng ngày.
Ngoài ra, người đã từng bị đột quỵ có nguy cơ cao mắc các biến chứng nghiêm trọng khác, bao gồm: Huyết khối tĩnh mạch sâu (DVT), nhồi máu cơ tim, viêm phổi, thuyên tắc phổi và co giật.
Khi nào cần gặp bác sĩ?
Tai biến mạch máu não là một bệnh lý cấp cứu cần được điều trị y tế ngay lập tức. Hãy tìm kiếm sự chăm sóc y tế ngay lập tức nếu bạn nhận thấy bất kỳ triệu chứng nào của đột quỵ, ngay cả khi chúng dường như đến rồi đi hoặc biến mất hoàn toàn (TIA). Các phương pháp điều trị tai biến mạch máu não hiệu quả nhất hay ưu việt chỉ có thể thực hiện nếu bệnh lý này được nhận biết và chẩn đoán trong vòng 3 giờ kể từ khi xuất hiện các triệu chứng đầu tiên, sau khoảng thời gian đó, các biện pháp điều ít hiệu quả hơn.
Nguyên nhân gây bệnh tai biến mạch máu não
Có hai nguyên nhân chính gây ra tai biến mạch máu não hay đột quỵ, tương ứng với hai loại đột quỵ chính:
Đột quỵ thiếu máu cục bộ
Xảy ra khi một cục máu đông làm tắc hoặc chặn một động mạch dẫn đến não. Các động mạch bị tổn thương do mảng xơ vữa động mạch bong tróc gây nên cục máu đông trong lòng mạch máu. Các yếu tố gây ra tắc nghẽn bao gồm:
- Các lắng đọng chất béo tích tụ trong mạch máu.
- Cục máu đông hoặc mảnh vụn khác di chuyển qua mạch máu từ tim.
Đột quỵ xuất huyết
Xảy ra khi một mạch máu trong não bị rò rỉ hoặc vỡ. Chảy máu bên trong não có thể là kết quả của nhiều tình trạng ảnh hưởng đến mạch máu. Các yếu tố liên quan đến đột quỵ xuất huyết bao gồm:
- Huyết áp cao không được kiểm soát.
- Sử dụng quá liều thuốc làm loãng máu (thuốc chống đông máu).
- Phình mạch với các chỗ phình tại các điểm yếu trong thành mạch máu.
- Chấn thương đầu.
- Đột quỵ thiếu máu cục bộ dẫn đến chảy máu não.
- Vỡ dị dạng động tĩnh mạch (Arteriovenous malformation - AVM) là nguyên nhân ít phổ biến hơn.

Nguy cơ mắc phải tai biến mạch máu não
Những ai có nguy cơ mắc phải biến mạch máu não?
Bất cứ ai cũng có thể bị tai biến mạch máu não. Tuy nhiên, một số nhóm người có nguy cơ cao hơn:
- Tuổi tác: Những người từ 55 tuổi trở lên có nguy cơ đột quỵ cao hơn so với người trẻ tuổi.
- Chủng tộc hoặc sắc tộc: Người Mỹ gốc Phi và người Hispanic có nguy cơ đột quỵ cao hơn so với người thuộc các chủng tộc hoặc sắc tộc khác.
- Giới tính: Nam giới có nguy cơ đột quỵ cao hơn nữ giới. Tuy nhiên, phụ nữ thường lớn tuổi hơn khi họ bị đột quỵ và có xu hướng tử vong do đột quỵ cao hơn nam giới.
- Tiền sử gia đình: Tiền sử cá nhân hoặc gia đình bị đột quỵ, đau tim hoặc cơn thiếu máu cục bộ thoáng qua (TIA).
Yếu tố làm tăng nguy cơ mắc phải biến mạch máu não
Nhiều yếu tố có thể làm tăng nguy cơ tai biến mạch máu não:
Yếu tố nguy cơ liên quan đến lối sống:
- Thừa cân hoặc béo phì.
- Thiếu hoạt động thể chất.
- Hút thuốc lá hoặc tiếp xúc với khói thuốc lá thụ động.
Yếu tố nguy cơ y tế:
- Huyết áp cao là một trong những điều quan trọng nhất cần kiểm soát để giảm nguy cơ đột quỵ.
- Cholesterol cao.
- Bệnh đái tháo đường kiểm soát kém.
- Ngưng thở khi ngủ do tắc nghẽn (Obstructive sleep apnea - OSA).
- Bệnh tim mạch khác như suy tim, dị tật tim, nhiễm trùng tim, hoặc nhịp tim không đều như rung nhĩ.
Phương pháp chẩn đoán và điều trị tai biến mạch máu não
Phương pháp xét nghiệm và chẩn đoán biến mạch máu não
Khi đến bệnh viện, đội ngũ cấp cứu sẽ xem xét các triệu chứng và hoàn thành khám thực thể. Các xét nghiệm giúp bác sĩ xác định loại tai biến mạch máu não đang xảy ra và đưa ra phương pháp điều trị tốt nhất. Các phương pháp xét nghiệm và chẩn đoán có thể bao gồm:
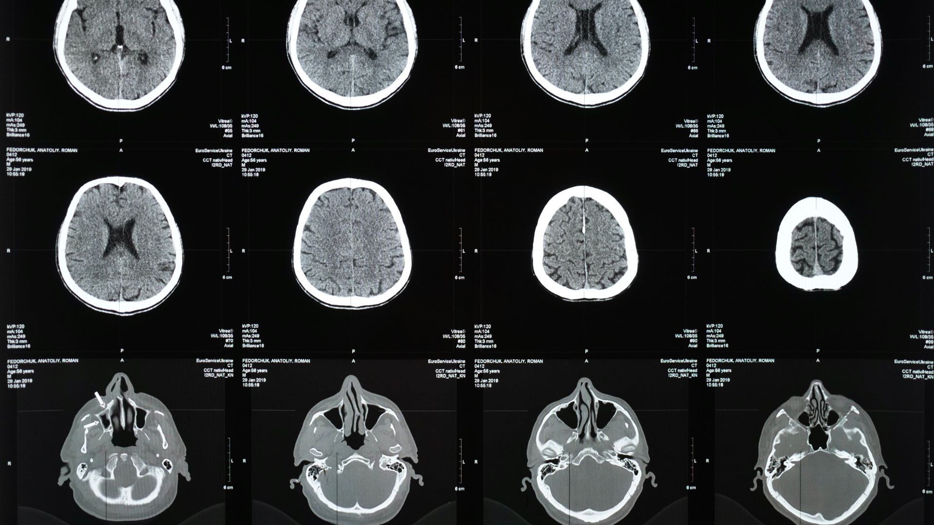
- Chụp CT scan hoặc MRI scan: Cung cấp hình ảnh chi tiết của não và động mạch.
- Siêu âm động mạch cảnh: Một xét nghiệm sóng âm để kiểm tra các động mạch cảnh cung cấp máu cho phần trước của não.
- Xét nghiệm máu: Được sử dụng để kiểm tra các yếu tố liên quan.
- Điện não đồ (EEG): Ghi lại hoạt động điện của não.
- Điện tâm đồ (EKG): Ghi lại hoạt động điện của tim, giúp phát hiện các vấn đề tim mạch có thể gây ra cục máu đông.
- Việc xác định loại đột quỵ (thiếu máu cục bộ hay xuất huyết) là bước quan trọng để xác định phương pháp điều trị tối ưu.

Phương pháp điều trị biến mạch máu não
Nội khoa
Điều trị đột quỵ thiếu máu cục bộ:
- Thuốc làm tan cục máu đông (Thrombolytics): Thuốc tiêm tĩnh mạch giúp hòa tan cục máu đông làm tắc nghẽn lưu lượng máu.
- Thuốc chống kết tập tiểu cầu: Làm cho tiểu cầu (tế bào máu hình thành cục máu đông) ít kết dính hơn và ít có khả năng tạo cục máu đông. Aspirin là loại thuốc chống kết tập tiểu cầu phổ biến nhất, các loại thuốc khác có thể sử dụng bao gồm clopidogrel hoặc ticagrelor.
- Thuốc làm loãng máu: Heparin là thuốc tác dụng nhanh có thể được sử dụng ngắn hạn trong bệnh viện. Các thuốc tác dụng chậm hơn như warfarin hoặc các thuốc chống đông máu mới hơn (dabigatran, rivaroxaban, apixaban, edoxaban) có thể được sử dụng lâu dài để ngăn ngừa đột quỵ ở những người có nguy cơ cao.
Điều trị đột quỵ xuất huyết: Để kiểm soát chảy máu và giảm áp lực, ác sĩ có thể sử dụng thuốc cấp cứu để giảm huyết áp, ngăn ngừa co thắt mạch máu, thúc đẩy đông máu và ngăn ngừa co giật.
Ngoại khoa
Khi bệnh nhân được xác định là đột quỵ do nhồi máu và được đưa đến bệnh viện trong thời gian vàng, bệnh nhân có thể được xem xét thực hiện thủ thuật nội mạch khẩn cấp đưa một ống nhựa nhỏ (catheter) vào động mạch não để trực tiếp loại bỏ tắc nghẽn (còn gọi là lấy huyết khối cơ học - mechanical thrombectomy). Các thủ thuật liên quan khác có thể bao gồm nong mạch vành và đặt stent động mạch cảnh hoặc cắt bỏ nội mạc động mạch cảnh. Hoặc khi chảy máu nghiêm trọng, phẫu thuật có thể được thực hiện để loại bỏ máu tích tụ trong não hoặc giảm áp lực nội sọ tăng lên.
Chế độ sinh hoạt và phòng ngừa tai biến mạch máu não
Những thói quen sinh hoạt có thể giúp bạn hạn chế diễn tiến của biến mạch máu não
Quản lý tai biến mạch máu não thường liên quan đến một đội ngũ chăm sóc đa chuyên khoa bao gồm bác sĩ thần kinh và bác sĩ phục hồi chức năng. Mục tiêu là giúp người bệnh hồi phục chức năng nhiều nhất có thể để sống độc lập.
Chế độ dinh dưỡng:
- Giảm cholesterol và chất béo bão hòa: Ăn ít cholesterol và chất béo có thể giảm sự tích tụ mảng bám trong động mạch.
- Ăn nhiều rau quả và trái cây: Ăn năm hoặc nhiều hơn khẩu phần rau quả hoặc trái cây mỗi ngày có thể giảm nguy cơ đột quỵ.
- Chế độ ăn Địa Trung Hải: Chế độ ăn này chú trọng dầu ô liu, trái cây, các loại hạt, rau củ và ngũ cốc nguyên hạt.
- Duy trì cân nặng khỏe mạnh: Thừa cân là yếu tố góp phần gây ra các nguy cơ đột quỵ khác như huyết áp cao và tiểu đường.

Chế độ sinh hoạt:
- Tập thể dục thường xuyên: Hoạt động thể chất (tập aerobic) làm giảm nguy cơ đột quỵ bằng nhiều cách vì giúp giảm huyết áp, tăng cholesterol tốt và cải thiện sức khỏe tổng thể của mạch máu và tim. Nên tập ít nhất 30 phút hoạt động thể chất vừa phải vào hầu hết các ngày trong tuần hoặc 150 phút hoạt động aerobic cường độ vừa phải mỗi tuần.
- Hạn chế sử dụng thuốc lá: Bỏ thuốc lá giúp giảm nguy cơ đột quỵ.
- Uống rượu bia điều độ: Uống một lượng nhỏ đến vừa phải (khoảng một ly mỗi ngày) có thể giúp ngăn ngừa đột quỵ thiếu máu cục bộ.
- Tuân thủ phục hồi chức năng: Tham gia phục hồi chức năng nhận thức, vật lý trị liệu, trị liệu nghề nghiệp và trị liệu ngôn ngữ để phục hồi khả năng.
- Chăm sóc sức khỏe tâm thần: Trầm cảm và lo lắng rất phổ biến sau đột quỵ. Hãy tìm kiếm sự giúp đỡ và hỗ trợ từ bạn bè, gia đình hoặc chuyên gia sức khỏe tâm thần.
- Uống thuốc theo chỉ dẫn: Việc tuân thủ dùng thuốc giúp cơ thể hồi phục và ngăn ngừa đột quỵ tái phát.
Phương pháp phòng ngừa biến mạch máu não hiệu quả
Phòng ngừa đột quỵ, đặc biệt là đột quỵ thiếu máu cục bộ, đòi hỏi sự phối hợp giữa thay đổi lối sống lành mạnh và điều trị y tế phù hợp. Dưới đây là các biện pháp phòng ngừa hiệu quả đã được chứng minh:
- Kiểm soát huyết áp cao: Tăng huyết áp là yếu tố nguy cơ quan trọng nhất của đột quỵ. Cần duy trì huyết áp ở mức mục tiêu thông qua việc kết hợp giữa thay đổi lối sống (ăn nhạt, giảm cân, vận động) và sử dụng thuốc hạ huyết áp theo chỉ định của bác sĩ.
- Quản lý đái tháo đường: Đường huyết không được kiểm soát sẽ làm tổn thương mạch máu và tăng nguy cơ đột quỵ. Việc duy trì glucose máu ổn định nên được thực hiện thông qua chế độ ăn hợp lý, tập luyện đều đặn, giảm cân nếu thừa cân và tuân thủ dùng thuốc theo hướng dẫn.
- Kiểm soát rối loạn lipid máu: Tăng cholesterol máu, đặc biệt là LDL-C, thúc đẩy quá trình xơ vữa động mạch. Bệnh nhân nên thay đổi chế độ ăn uống (giảm chất béo bão hòa, tăng chất xơ) và sử dụng thuốc hạ lipid máu nếu cần thiết để đạt mục tiêu điều trị.
- Sử dụng thuốc dự phòng thứ phát: Ở những người đã từng bị cơn thiếu máu não thoáng qua (TIA) hoặc đột quỵ thiếu máu cục bộ, cần sử dụng thuốc chống kết tập tiểu cầu (như aspirin, clopidogrel) hoặc thuốc chống đông (nếu có rung nhĩ hoặc nguyên nhân tim mạch khác) để giảm nguy cơ tái phát.
- Bỏ thuốc lá: Hút thuốc lá làm tăng nguy cơ hình thành cục máu đông và thúc đẩy xơ vữa động mạch. Việc ngừng hút thuốc có thể làm giảm đáng kể nguy cơ đột quỵ trong thời gian ngắn.
- Duy trì cân nặng hợp lý: Thừa cân, béo phì liên quan đến nhiều yếu tố nguy cơ tim mạch khác như tăng huyết áp, đái tháo đường, rối loạn lipid máu. Giảm cân giúp cải thiện đáng kể nguy cơ tim mạch tổng thể.
- Tăng cường hoạt động thể chất: Tập thể dục đều đặn ít nhất 150 phút mỗi tuần (như đi bộ nhanh, đạp xe, bơi lội) giúp cải thiện tuần hoàn, kiểm soát huyết áp, giảm mỡ máu và nâng cao sức khỏe tim mạch.
- Ăn uống lành mạnh: Chế độ ăn giàu rau xanh, trái cây, ngũ cốc nguyên cám, cá, ít chất béo bão hòa và muối giúp ngăn ngừa xơ vữa và bảo vệ mạch máu não. Chế độ ăn kiểu Địa Trung Hải hoặc DASH là những mô hình dinh dưỡng đã được khuyến cáo.
- Hạn chế rượu bia: Uống rượu quá mức làm tăng huyết áp và nguy cơ rối loạn nhịp tim. Nên hạn chế dưới 2 đơn vị cồn/ngày với nam giới và dưới 1 đơn vị/ngày với nữ giới.
:format(webp)/470051785_8767135473405056_691967411107495592_n_6b2bbff755.png)
:format(webp)/467434554_545745841560409_1066418224364723785_n_560a494f9c.png)
:format(webp)/tai_bien_mach_mau_nao1_15f697cdd5.jpg)
/benh_a_z_dot_quy_acd8229663.png)
/tam_soat_dot_quy_bao_nhieu_tien_ai_can_tam_soat_dot_quy_1_dfd73c5312.png)
/di_chung_tai_bien_mach_mau_nao_nhan_biet_som_de_phuc_hoi_hieu_qua_1_d5e3406cd0.png)
/tang_xong_la_gi_nguyen_nhan_trieu_chung_va_cach_phong_ngua_hieu_qua_2_303f4f37cd.png)
/dau_hieu_tai_bien_lan_2_va_cach_nhan_biet_de_ho_tro_phong_ngua_4_dc3f214ae8.jpg)