Tình trạng dịch tích tụ bất thường trong khoang màng phổi có thể làm giảm khả năng hô hấp, gây đau ngực và ảnh hưởng lớn đến sinh hoạt hằng ngày của người bệnh. Trong bài viết này, chúng ta sẽ cùng tìm hiểu nguyên nhân, dấu hiệu cảnh báo và các phương pháp điều trị hiện nay, giúp phát hiện sớm và hỗ trợ chăm sóc đúng cách cho người bệnh.
Tràn dịch màng phổi ác tính là gì?
Tràn dịch màng phổi ác tính là tình trạng dịch tích tụ trong khoang giữa hai lá màng phổi do sự xâm lấn hoặc di căn của tế bào ung thư. Đây được xem là một biến chứng nghiêm trọng, thường gặp ở giai đoạn tiến triển của các bệnh ung thư như ung thư phổi, ung thư vú hoặc u lympho.
Theo nghiên cứu, khoảng 10 ‑ 20% bệnh nhân ung thư nói chung có thể phát triển tràn dịch màng phổi ác tính. Nếu chỉ nói về ung thư phổi thì tỷ lệ tại chẩn đoán khoảng 15% và có thể tăng tới khoảng 50% khi tiến triển của bệnh.
Khó thở khi nằm hoặc tăng khi nằm nghiêng là triệu chứng thường gặp khi dịch nhiều hoặc chèn ép phổi, và người bệnh nên chú ý. Tuy nhiên, không phải mọi trường hợp đều có triệu chứng này. Tiên lượng bệnh nhân với tràn dịch màng phổi ác tính thường kém, nhiều nghiên cứu ghi nhận tuổi thọ trung bình khoảng 4 ‑ 7 tháng sau chẩn đoán.

Nguyên nhân tràn dịch màng phổi ác tính
Tràn dịch màng phổi ác tính chủ yếu là hậu quả của các bệnh ung thư, đặc biệt là ung thư phổi và ung thư di căn. Khi tế bào ung thư lan đến màng phổi, chúng kích thích viêm và làm rò rỉ dịch vào khoang màng phổi, gây khó thở và nhiều biến chứng hô hấp nghiêm trọng. Dưới đây là những nguyên nhân thường gặp:
Ung thư phổi
Đây là nguyên nhân hàng đầu gây tràn dịch màng phổi ác tính. Tế bào ung thư có thể xâm lấn trực tiếp màng phổi hoặc chèn ép các mạch bạch huyết, khiến dịch bị ứ đọng. Ở nhiều trường hợp, tràn dịch màng phổi chính là dấu hiệu đầu tiên gợi ý ung thư phổi.
Ung thư di căn
Ngoài phổi, nhiều loại ung thư khác cũng có thể di căn đến màng phổi như ung thư vú, u lympho, ung thư buồng trứng, u trung biểu mô hay bệnh bạch cầu.
Khi tế bào ung thư lan đến màng phổi, chúng phá vỡ cân bằng giữa sản xuất và hấp thu dịch, làm dịch tích tụ nhiều hơn.
Tình trạng này thường gặp ở giai đoạn IV - khi ung thư đã lan rộng, khiến tiên lượng bệnh xấu và chất lượng sống suy giảm đáng kể.
Ngoài việc tế bào ung thư lan tới màng phổi hoặc chèn ép các mạch bạch huyết, một số điều trị ung thư như xạ trị vùng ngực hoặc phẫu thuật có thể góp phần làm thay đổi màng phổi và gia tăng rủi ro dịch tích tụ. Ví dụ:
- Xạ trị vùng ngực có thể gây viêm hoặc xơ hóa màng phổi.
- Hóa trị có thể làm tăng tính thấm thành mạch, khiến dịch rò rỉ nhiều hơn bình thường.

Các yếu tố tiên lượng xấu
Một số đặc điểm cho thấy tràn dịch màng phổi ác tính có diễn tiến nhanh và đáp ứng kém với điều trị, bao gồm:
- Dịch tái phát sớm sau dẫn lưu, chỉ trong vài ngày hoặc vài tuần.
- Khối u không đáp ứng với hóa trị, xạ trị hoặc liệu pháp nhắm trúng đích.
- Di căn xa nhiều cơ quan như gan, xương, não, khiến khả năng kiểm soát bệnh kém.
Nhìn chung, đây là dấu hiệu cho thấy ung thư đã ở giai đoạn tiến triển, cần được phát hiện sớm và điều trị phối hợp để cải thiện triệu chứng, kéo dài thời gian sống và nâng cao chất lượng cuộc sống.
Triệu chứng tràn dịch màng phổi ác tính
Các dấu hiệu của tràn dịch màng phổi ác tính có thể khởi phát âm thầm hoặc tiến triển rõ rệt tùy vào lượng dịch và tốc độ tích tụ. Ở giai đoạn đầu, người bệnh thường ít nhận biết, nhưng khi dịch tăng lên, các triệu chứng hô hấp và toàn thân sẽ dần xuất hiện, bao gồm:
- Khó thở: Là biểu hiện thường gặp nhất. Khi dịch tích tụ quá nhiều, phổi bị chèn ép, làm giảm khả năng giãn nở và trao đổi khí. Người bệnh có thể thấy hụt hơi khi vận động nhẹ, thậm chí khó thở ngay cả lúc nghỉ ngơi.
- Đau ngực: Cơn đau thường âm ỉ, có thể tăng khi hít sâu hoặc ho mạnh. Nguyên nhân là do màng phổi bị kéo căng hoặc xâm lấn bởi tế bào ung thư.
- Ho kéo dài: Ho khan hoặc ho dai dẳng không đáp ứng thuốc, thường là dấu hiệu cảnh báo có dịch trong khoang màng phổi.
- Mệt mỏi, sụt cân: Cơ thể suy nhược, giảm cân không rõ nguyên nhân, đặc trưng của các bệnh ung thư giai đoạn muộn.
- Sốt nhẹ, ớn lạnh: Có thể xảy ra nếu dịch màng phổi bị bội nhiễm, làm tăng tình trạng viêm.
Những triệu chứng này có thể bị nhầm lẫn với bệnh lý hô hấp thông thường. Vì vậy, khi khó thở hoặc đau ngực kéo dài, người bệnh nên đi khám sớm để được chẩn đoán và xử trí kịp thời.

Chẩn đoán tràn dịch màng phổi ác tính
Để xác định tràn dịch màng phổi ác tính do ung thư, bác sĩ sẽ phối hợp nhiều phương pháp nhằm tìm rõ nguyên nhân, đánh giá mức độ lan rộng và lựa chọn hướng điều trị phù hợp.
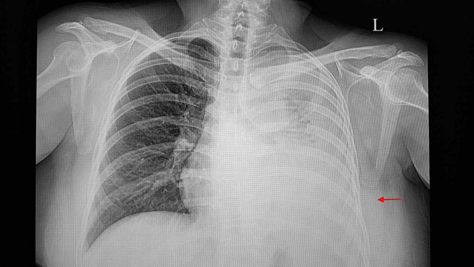
Chụp X - quang phổi
Đây là bước thăm khám đầu tiên khi nghi ngờ có dịch trong khoang màng phổi. Hình ảnh X - quang giúp phát hiện vùng mờ ở đáy phổi, dấu hiệu đặc trưng của tràn dịch. Tuy nhiên, phương pháp này chỉ phát hiện được khi lượng dịch đã tương đối nhiều và không thể xác định bản chất của dịch là lành hay ác tính.
Xét nghiệm dịch màng phổi
Sau khi chọc hút dịch (thoracentesis), mẫu dịch được phân tích tế bào học (tìm tế bào ác tính), hóa sinh (protein, LDH, glucose), pH và đôi khi marker khối u nhằm xác định bản chất dịch và hướng điều trị. Đây là phương pháp then chốt giúp xác định nguyên nhân gây tràn dịch màng phổi và định hướng điều trị.
Chụp CT lồng ngực
CT scan cho hình ảnh chi tiết hơn X - quang, giúp bác sĩ đánh giá chính xác lượng dịch, vị trí tổn thương và mức độ lan rộng của ung thư. Ngoài ra, kỹ thuật này còn giúp phát hiện tổn thương màng phổi, nhu mô phổi hoặc hạch di căn, hỗ trợ theo dõi tiến triển bệnh trong suốt quá trình điều trị.

Tóm lại, tràn dịch màng phổi ác tính là biến chứng nghiêm trọng của bệnh ung thư, dễ gây khó thở kéo dài, đau ngực và suy giảm chất lượng cuộc sống nếu không được phát hiện sớm và điều trị đúng. Việc thăm khám định kỳ, tuân thủ phác đồ điều trị và theo dõi chặt chẽ giúp kiểm soát triệu chứng, hạn chế tái phát và cải thiện tiên lượng. Chủ động chăm sóc sức khỏe và hỗ trợ miễn dịch là bước quan trọng để đồng hành hiệu quả cùng quá trình điều trị.
Để phát hiện biến chứng nghiêm trọng cần được phát hiện sớm và theo dõi kỹ. Bên cạnh điều trị y khoa, việc chăm sóc sức khỏe và tăng cường miễn dịch cũng đóng vai trò quan trọng. Chủ động tiêm phòng các bệnh lý hô hấp như cúm, phế cầu tại Hệ thống Tiêm chủng Long Châu sẽ giúp bạn giảm nguy cơ viêm phổi, nhiễm khuẩn và biến chứng nguy hiểm liên quan đến màng phổi.
:format(webp)/470051785_8767135473405056_691967411107495592_n_6b2bbff755.png)
:format(webp)/467434554_545745841560409_1066418224364723785_n_560a494f9c.png)
/benh_a_z_san_la_phoi_0_1ae6e60ddf.jpg)
/noi_soi_mang_phoi_la_gi_khi_nao_can_thuc_hien_va_nhung_dieu_nguoi_benh_nen_biet_1_1bedbccd7a.jpg)
/choc_dich_mang_phoi_la_gi_khi_nao_can_thuc_hien_va_nhung_dieu_can_biet_2_2aa24d2bea.jpg)
/khoi_u_phoi_co_chua_duoc_khong_nhung_thong_tin_can_biet_0_c77f5d00e4.png)
/tong_hop_cac_cach_chua_benh_phoi_tac_nghen_man_tinh_duoc_bac_si_khuyen_nghi_2_5ce1bc3420.jpg)