Các chấn thương xương sườn, dù nhẹ hay nặng, đều ảnh hưởng trực tiếp đến sức khỏe và chất lượng cuộc sống. Rạn xương sườn thường xuất hiện sau tai nạn, va đập hoặc do xương yếu, khiến người bệnh đau nhức, khó thở và hạn chế vận động. Thời gian hồi phục phụ thuộc vào mức độ tổn thương, tuổi tác, chế độ nghỉ ngơi và cách chăm sóc. Do đó, việc nắm rõ các lưu ý trong điều trị và chăm sóc sẽ giúp người bệnh hồi phục an toàn và nhanh chóng hơn.
Rạn xương sườn bao lâu thì khỏi?
Rạn xương sườn là hiện tượng xuất hiện các vết nứt hoặc rạn trên một hoặc nhiều xương sườn. Về bản chất, đây là một dạng gãy xương kín, tức là xương bị nứt nhưng không di lệch, vẫn giữ nguyên vị trí dọc và ngang, chưa bị trồi ra ngoài da.
Nguyên nhân gây rạn xương sườn có thể bao gồm:
- Tai nạn (giao thông, lao động, thể thao…).
- Va chạm hoặc chấn thương trực tiếp (té ngã, bị vật cứng đánh…).
- Một số bệnh lý xương khớp (loãng xương, viêm xương, u xương…).
Dù xuất phát từ nguyên nhân nào, người bệnh đều sẽ trải qua những cơn đau âm ỉ kéo dài nếu không được chăm sóc và điều trị đúng cách. Thông thường, xương sườn sau khi bị rạn sẽ cần từ vài tuần đến vài tháng để trở lại trạng thái ổn định và chắc khỏe hoàn toàn.

Yếu tố ảnh hưởng đến thời gian hồi phục
Trên thực tế, thời gian hồi phục sau rạn xương sườn không cố định mà phụ thuộc vào nhiều yếu tố khác nhau. Việc nắm rõ những yếu tố này sẽ giúp người bệnh chủ động xử lý, rút ngắn quá trình điều trị.
Mức độ tổn thương của xương sườn
Thời gian hồi phục rạn xương sườn chịu ảnh hưởng lớn từ mức độ tổn thương. Nếu vết rạn càng nghiêm trọng, tổn thương càng sâu và phức tạp, quá trình điều trị sẽ kéo dài hơn.
Đối với những trường hợp rạn nhẹ, người bệnh chỉ cần dùng thuốc và nghỉ ngơi hợp lý là có thể trở lại sinh hoạt và làm việc bình thường trong thời gian ngắn. Ngược lại, với các tổn thương nặng, chẳng hạn như gãy đầu xương sườn liên tiếp trên hai xương, phẫu thuật sẽ là cần thiết, đồng nghĩa với việc thời gian điều trị và hồi phục sẽ lâu hơn.
Phát hiện tình trạng rạn xương muộn
Nhiều người do xem nhẹ các va chạm hoặc tai nạn nhỏ mà không đi khám kịp thời, dẫn đến việc vết rạn xương sườn không được phát hiện sớm. Trong thời gian này, nếu vẫn vận động mạnh, tập luyện hoặc mang vác vật nặng, vết nứt có thể trở nên nghiêm trọng hơn, từ đó làm kéo dài thời gian điều trị.
Tuân thủ đúng phương pháp điều trị
Việc nhận biết sớm các dấu hiệu rạn xương và tiến hành điều trị ngay sẽ giúp rút ngắn quá trình hồi phục và giảm thiểu các biến chứng.
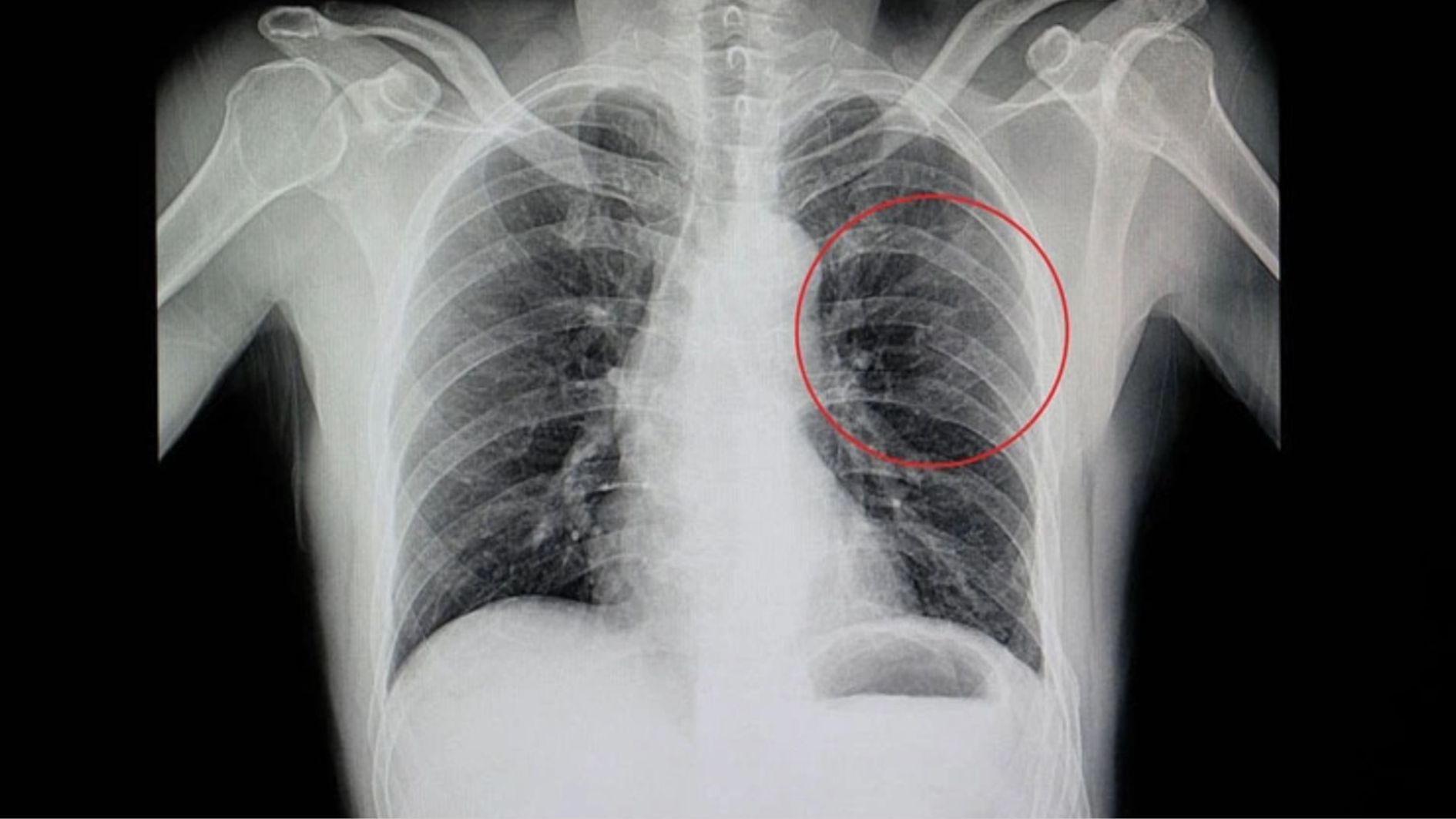
Qua thăm khám và các xét nghiệm hình ảnh như X-quang ngực hoặc CT-scan, bác sĩ sẽ đánh giá chính xác mức độ tổn thương và lựa chọn phương pháp điều trị phù hợp. Thông thường, điều trị bao gồm bất động vùng xương bị rạn, kết hợp giảm đau, chống sưng và bổ sung dinh dưỡng để hỗ trợ quá trình liền xương, giúp các triệu chứng đau và sưng dần thuyên giảm.
Bên cạnh đó, bác sĩ sẽ lập kế hoạch điều trị chi tiết và ước lượng thời gian hồi phục. Do đó, tốc độ phục hồi của xương sườn sẽ phụ thuộc rất nhiều vào việc người bệnh có tuân thủ đúng hướng dẫn điều trị hay không. Nếu không làm theo chỉ định, vết rạn không những khó lành nhanh mà còn tiềm ẩn nguy cơ biến chứng nghiêm trọng.

Yếu tố tuổi tác ảnh hưởng đến thời gian khỏi rạn xương
Ở người trẻ tuổi, khả năng hồi phục các tổn thương xương khớp nói chung và rạn xương nói riêng diễn ra nhanh hơn. Ngược lại, ở người cao tuổi, xương khớp đã bắt đầu lão hóa, độ chắc khỏe giảm dần, dẫn đến quá trình bình phục kéo dài hơn.
Bên cạnh đó, cấu trúc xương của người cao tuổi thường dễ gãy, nên những vết rạn đã lành vẫn có nguy cơ tái phát. Nếu không cẩn thận, nguy cơ gãy xương ở người lớn tuổi cao hơn so với người trẻ.
Cách chăm sóc khi bị rạn xương sườn
Quá trình chăm sóc người bị rạn xương sườn đóng vai trò quan trọng trong việc rút ngắn thời gian hồi phục. Điều này bao gồm việc tuân thủ đúng phác đồ điều trị của bác sĩ, kết hợp với chế độ dinh dưỡng và nghỉ ngơi hợp lý.
Người bệnh cần được nghỉ ngơi đầy đủ, tránh làm việc nặng hoặc vận động quá mức. Chế độ ăn nên cung cấp đủ năng lượng, cân bằng các chất cơ bản như tinh bột, đạm và chất béo. Đồng thời, việc bổ sung các khoáng chất cần thiết như canxi, kẽm, magie cùng với vitamin sẽ hỗ trợ vết nứt xương sớm lành và tăng cường sức khỏe tổng thể.

Mức độ nguy hiểm khi bị rạn xương sườn?
Rạn xương sườn là tình trạng phổ biến. Mức độ nguy hiểm phụ thuộc vào chấn thương kèm theo. Nếu chỉ xuất hiện các vết rạn mà không ảnh hưởng đến các cơ quan nội tạng, tình trạng này thường không quá nguy hiểm và thời gian hồi phục nhanh. Tuy nhiên, nếu rạn xương đi kèm với các chấn thương khác do tai nạn hoặc va chạm mạnh, việc điều trị sẽ phức tạp hơn và thời gian hồi phục sẽ lâu hơn.
Lưu ý trong điều trị và chăm sóc để nhanh bình phục
Loại bỏ các yếu tố cản trở quá trình hồi phục sẽ giúp rút ngắn thời gian điều trị. Người bệnh và người thân nên lưu ý những điểm sau:
- Tăng thời gian nghỉ ngơi, tránh mọi hoạt động nặng, mang vác hoặc di chuyển vật cồng kềnh, cũng như tạm ngừng các bài tập thể thao, chạy bộ hoặc vận động mạnh.
- Chườm lạnh tại vùng xương bị rạn giúp giảm đau và sưng. Nên dùng túi đá, không đặt trực tiếp lên da để tránh bỏng lạnh. Thời gian chườm chỉ từ 15-20 phút, ngưng khi cơn sưng đau giảm.
- Chú ý tư thế ngủ: Nên nằm ngửa, hạn chế nằm sấp hoặc nghiêng để giảm áp lực lên xương sườn.
- Xây dựng chế độ ăn uống phù hợp, đặc biệt bổ sung thực phẩm giàu canxi, kali, đạm và chất xơ để hỗ trợ quá trình liền xương.

Tóm lại, rạn xương sườn bao lâu thì khỏi? Rạn xương sườn là chấn thương có thể tự hồi phục nếu được phát hiện sớm và chăm sóc đúng cách. Tuân thủ phác đồ điều trị, nghỉ ngơi hợp lý, ăn uống đầy đủ chất dinh dưỡng cùng các biện pháp hỗ trợ như chườm lạnh hay điều chỉnh tư thế ngủ sẽ giúp rút ngắn thời gian hồi phục và giảm thiểu nguy cơ biến chứng. Nhận biết các yếu tố ảnh hưởng và áp dụng các lưu ý chăm sóc phù hợp chính là chìa khóa để xương sườn nhanh chóng trở lại trạng thái ổn định và chắc khỏe.
:format(webp)/Desktop_da87817305.png)
:format(webp)/Mobile_1_0b0c1a773a.png)
/benh_a_z_gian_day_chang_0_f7871f7f9a.jpg)
/trieu_chung_thoai_hoa_khop_goi_va_cach_dieu_tri_hieu_qua_0_1e7341d579.png)
/trieu_chung_thoai_hoa_khop_va_cach_dieu_tri_hieu_qua_0_4dc46edec8.png)
/bat_mi_cach_chua_ban_chan_bet_o_nguoi_lon_va_cac_bien_phap_phong_ngua_f6e93426de.jpg)
/phuong_phap_chua_thoai_hoa_cot_song_hieu_qua_va_nhung_luu_y_quan_trong_can_biet_a439f9b261.jpg)