Trong quá trình khám sức khỏe hoặc chụp X quang ngực, một số người có thể được thông báo xuất hiện vôi hóa phổi dưới dạng các nốt sáng nhỏ trong nhu mô phổi. Phần lớn trường hợp là dấu hiệu còn lại sau viêm hoặc nhiễm trùng trước đó, nhưng việc hiểu rõ vôi hóa phổi vẫn giúp theo dõi sức khỏe hô hấp tốt hơn.
Vôi hoá phổi là gì?
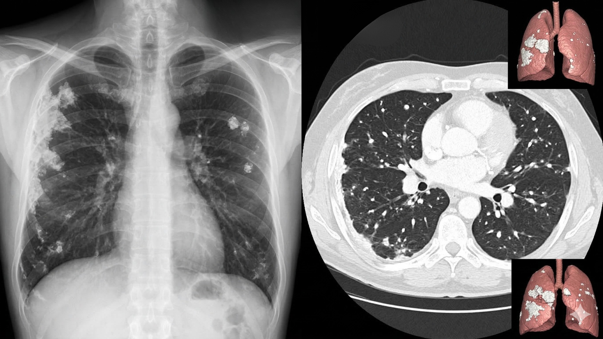
Vôi hoá phổi là hiện tượng muối canxi lắng đọng trong các mô phổi hoặc trong các nốt nhỏ hình thành ở nhu mô phổi. Những nốt này thường xuất hiện dưới dạng đốm sáng trên hình ảnh chẩn đoán như X quang hoặc chụp cắt lớp vi tính.
Theo các tài liệu y khoa quốc tế, sự lắng đọng canxi trong phổi thường xảy ra khi mô phổi từng bị tổn thương hoặc viêm nhiễm. Khi quá trình viêm kết thúc, cơ thể có thể để lại các cấu trúc u hạt hoặc mô xơ. Qua thời gian, các mô này có thể tích tụ canxi và trở thành nốt vôi hóa.
Cơ chế hình thành nốt vôi hóa trong phổi
Để hiểu rõ hơn về vôi hoá phổi, cần nhìn vào quá trình phản ứng của cơ thể khi phổi bị tổn thương.
Khi xảy ra nhiễm trùng hoặc viêm, hệ miễn dịch sẽ tập trung tế bào bảo vệ đến khu vực bị ảnh hưởng. Những tế bào này bao quanh tác nhân gây bệnh để hạn chế lan rộng. Sau khi quá trình viêm kết thúc, khu vực đó có thể để lại mô sẹo hoặc u hạt.
Theo thời gian, các mô này có thể tích tụ khoáng chất, đặc biệt là canxi, tạo thành các nốt vôi hóa.
Các dạng vôi hóa phổi thường gặp
Trong thực hành lâm sàng, nốt vôi hóa trong phổi có thể xuất hiện dưới nhiều dạng khác nhau. Một số dạng phổ biến gồm:
- Nốt vôi hóa đơn độc trong phổi.
- Vôi hóa trong u hạt phổi sau nhiễm trùng.
- Vôi hóa lan tỏa trong nhu mô phổi.

Mỗi dạng có thể liên quan đến nguyên nhân khác nhau và mức độ ảnh hưởng cũng không giống nhau.
Nguyên nhân gây vôi hoá phổi
Có nhiều yếu tố có thể dẫn đến sự hình thành các nốt vôi hóa trong phổi. Phần lớn trường hợp liên quan đến các bệnh lý hô hấp trước đó hoặc các tình trạng ảnh hưởng đến mô phổi.
Dưới đây là một số nguyên nhân thường được ghi nhận.
Nhiễm trùng phổi trước đây
Một trong những nguyên nhân phổ biến nhất của vôi hoá phổi là nhiễm trùng phổi đã xảy ra trong quá khứ. Các bệnh nhiễm trùng có thể gây tổn thương mô phổi và hình thành u hạt.
Một số bệnh có thể liên quan gồm:
Sau khi bệnh được kiểm soát, các tổn thương có thể lành lại và để lại nốt vôi hóa.
Bệnh phổi mạn tính
Một số bệnh lý hô hấp kéo dài cũng có thể làm thay đổi cấu trúc mô phổi. Theo thời gian, những thay đổi này có thể tạo điều kiện cho quá trình lắng đọng canxi.
Các bệnh có thể liên quan gồm:
- Viêm phế quản mạn.
- Bệnh phổi tắc nghẽn mạn tính.
- Xơ phổi.
Tiếp xúc với môi trường ô nhiễm
Phổi có thể bị ảnh hưởng khi tiếp xúc lâu dài với các loại bụi hoặc hóa chất trong môi trường làm việc. Một số yếu tố môi trường được ghi nhận có liên quan đến tổn thương phổi gồm:
- Bụi silic.
- Bụi than.
- Amiăng.
Những yếu tố này có thể gây viêm mạn tính và dẫn đến các thay đổi cấu trúc trong phổi.
Rối loạn chuyển hóa trong cơ thể
Trong một số trường hợp hiếm hơn, vôi hóa phổi có thể liên quan đến sự thay đổi chuyển hóa canxi trong cơ thể.
Một số tình trạng có thể ảnh hưởng đến quá trình này gồm:
- Bệnh thận mạn.
- Cường cận giáp.
- Rối loạn chuyển hóa vitamin D.

Những rối loạn này có thể làm tăng nồng độ canxi trong máu và dẫn đến lắng đọng canxi tại nhiều cơ quan, trong đó có phổi.
Dấu hiệu và triệu chứng của vôi hoá phổi
Trong nhiều trường hợp, vôi hoá phổi không gây ra triệu chứng rõ ràng. Điều này khiến nhiều người chỉ phát hiện tình trạng này khi đi kiểm tra sức khỏe định kỳ hoặc chụp X quang vì lý do khác.
Trường hợp không có triệu chứng
Nhiều nốt vôi hóa trong phổi có kích thước nhỏ và không ảnh hưởng đến chức năng hô hấp. Vì vậy, người bệnh có thể không nhận thấy bất kỳ dấu hiệu nào.
Đây là lý do khiến việc khám sức khỏe định kỳ và chụp phim phổi khi cần thiết trở nên quan trọng.
Các triệu chứng có thể gặp
Trong một số trường hợp, đặc biệt khi nốt vôi hóa liên quan đến bệnh phổi nền, người bệnh có thể gặp một số biểu hiện như:
- Ho kéo dài.
- Khó thở.
- Đau tức ngực.
- Cảm giác mệt mỏi.

Khi nào nên đi khám?
Nếu xuất hiện các triệu chứng hô hấp kéo dài hoặc bất thường, việc đi khám là cần thiết để xác định nguyên nhân.
Bác sĩ có thể chỉ định các phương pháp chẩn đoán như:
- Chụp X quang phổi.
- Chụp CT ngực.
- Xét nghiệm chức năng hô hấp.
Những phương pháp này giúp đánh giá kích thước, vị trí và đặc điểm của nốt phổi.
Vôi hoá phổi có nguy hiểm không?
Một trong những câu hỏi thường gặp nhất khi phát hiện nốt phổi là liệu tình trạng này có nguy hiểm hay không. Câu trả lời phụ thuộc vào nguyên nhân và đặc điểm của nốt vôi hóa.
Phần lớn trường hợp là lành tính
Trong nhiều trường hợp, nốt vôi hóa trong phổi chỉ là dấu hiệu còn lại sau nhiễm trùng hoặc viêm phổi trước đây. Các nốt này có thể tồn tại ổn định trong nhiều năm mà không gây ảnh hưởng đến sức khỏe.
Khi cần theo dõi cẩn thận
Một số đặc điểm có thể khiến bác sĩ khuyến nghị theo dõi chặt chẽ hơn, chẳng hạn như:
- Nốt phổi có kích thước lớn.
- Hình dạng bất thường.
- Thay đổi kích thước theo thời gian.
Trong những trường hợp này, bác sĩ có thể đề nghị kiểm tra định kỳ bằng CT ngực để đánh giá sự thay đổi của nốt phổi.
Phân biệt với các bệnh lý khác
Một số nốt phổi cần được đánh giá kỹ để loại trừ các bệnh lý khác. Việc phân biệt này thường dựa trên hình ảnh chẩn đoán, tiền sử bệnh và các xét nghiệm cần thiết.
Chẩn đoán và điều trị vôi hoá phổi
Khi phát hiện các nốt vôi hóa trong phổi, bác sĩ sẽ đánh giá nhiều yếu tố để xác định nguyên nhân và hướng theo dõi phù hợp.
Các phương pháp chẩn đoán
Một số kỹ thuật thường được sử dụng để đánh giá nốt phổi gồm:
- Chụp X quang phổi.
- Chụp CT ngực.
- PET CT trong một số trường hợp.
- Sinh thiết phổi khi cần thiết.
Những phương pháp này giúp xác định cấu trúc và đặc điểm của nốt phổi.
Hướng theo dõi và điều trị
Không phải tất cả các trường hợp vôi hoá phổi đều cần điều trị. Hướng xử trí phụ thuộc vào nguyên nhân và tình trạng sức khỏe của người bệnh.
Một số hướng theo dõi có thể được áp dụng gồm:
- Theo dõi định kỳ bằng hình ảnh.
- Điều trị bệnh lý nền nếu có.
- Can thiệp khi nốt phổi gây triệu chứng hoặc có dấu hiệu bất thường.
Việc điều trị cụ thể cần được quyết định dựa trên đánh giá của nhân viên y tế.

Vôi hoá phổi là hiện tượng lắng đọng canxi trong mô phổi và thường được phát hiện qua các phương pháp chẩn đoán hình ảnh. Phần lớn trường hợp không gây triệu chứng rõ ràng và không ảnh hưởng nghiêm trọng đến sức khỏe.
Tuy nhiên, việc theo dõi định kỳ và kiểm tra khi có triệu chứng hô hấp kéo dài vẫn rất quan trọng để đảm bảo phát hiện sớm các bất thường nếu có.
:format(webp)/470051785_8767135473405056_691967411107495592_n_6b2bbff755.png)
:format(webp)/467434554_545745841560409_1066418224364723785_n_560a494f9c.png)
/ron_phoi_dam_la_gi_nguyen_nhan_muc_do_nguy_hiem_va_khi_nao_can_di_kham_1_303224b5fb.png)
/ron_phoi_la_gi_y_nghia_tren_x_quang_va_khi_nao_can_lo_lang_1_f6606bd272.png)
/uong_nuoc_dua_co_tot_cho_phoi_khong_hieu_dung_de_cham_soc_he_ho_hap_1_8a731e0abc.png)
/giai_doc_phoi_cho_nguoi_hut_thuoc_nhanh_nhat_cach_lam_sach_phoi_hieu_qua_a38820b13f.jpg)
/dau_nguc_kieu_mang_phoi_dau_hieu_canh_bao_benh_ly_can_luu_y_1_59a0052450.jpg)