icon_app_03735b6399_696a3c8baf_193690009b

Tải ứng dụng Nhà Thuốc Long Châu để xem sổ tiêm chủng điện tử

Mở trong ứng dụng Nhà Thuốc Long Châu

470051785_8767135473405056_691967411107495592_n_6b2bbff755467434554_545745841560409_1066418224364723785_n_560a494f9c

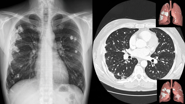
canxi hoá