Ung thư vú là bệnh lý có thể tiến triển qua nhiều giai đoạn. Khi các tế bào ác tính phát triển mạnh chúng có khả năng lan đến những cơ quan khác bên ngoài tuyến vú. Trong số các vị trí di căn thường gặp phổi là cơ quan dễ bị ảnh hưởng do hệ thống mạch máu dày đặc. Tuy không phải tất cả trường hợp đều có triệu chứng nghiêm trọng nhưng việc nhận biết sớm giúp hạn chế biến chứng.
Ung thư vú di căn phổi là gì?
Di căn phổi xảy ra khi tế bào ung thư từ vú tách ra rồi theo mạch máu đến phổi. Tại đây các tế bào này phát triển thành khối tổn thương mới ảnh hưởng đến hoạt động hô hấp. Mặc dù mức độ tiến triển khác nhau giữa từng người, nhưng đây vẫn là dấu hiệu cho thấy ung thư đã bước vào giai đoạn tiến xa hơn.
Cơ chế lan rộng của tế bào ung thư
Tế bào ung thư có khả năng xâm lấn mạnh vào mô lân cận. Khi tách khỏi vị trí ban đầu chúng theo dòng máu hoặc bạch huyết di chuyển đến cơ quan khác. Phổi là nơi dễ chịu tác động vì có mạng lưới mao mạch dày và diện tích trao đổi khí lớn. Khi tế bào ung thư dừng lại chúng có thể nhân lên tạo thành tổn thương thứ phát.
Các đặc điểm thường gặp khi ung thư lan đến phổi
Khối di căn thường xuất hiện dưới dạng nốt nhỏ rải rác hoặc một vài khối lớn tùy mức độ tiến triển. Mỗi người có thể có biểu hiện khác nhau, nhưng đa phần các tổn thương này ảnh hưởng đến chức năng hô hấp. Tuy nhiên, cũng có trường hợp tổn thương rất nhỏ khiến người bệnh không cảm nhận được bất kỳ triệu chứng nào trong giai đoạn đầu.

Dấu hiệu nhận biết khi ung thư vú lan đến phổi
Triệu chứng của ung thư vú di căn lên phổi phụ thuộc vào số lượng vị trí và kích thước tổn thương. Nhiều dấu hiệu có thể nhầm lẫn với bệnh hô hấp thông thường:
- Ho kéo dài: Ho dai dẳng là triệu chứng phổ biến nhất khi tổn thương ảnh hưởng đến đường thở. Người bệnh có thể ho khan hoặc ho có đờm tùy vị trí khối u. Tình trạng này thường tăng dần theo thời gian khiến người bệnh khó chịu đặc biệt vào ban đêm.
- Khó thở hoặc thở nhanh: Khi khối di căn gây chèn ép mô phổi hoặc làm giảm thể tích trao đổi khí người bệnh có cảm giác khó thở. Một số trường hợp thở nhanh do cơ thể cố gắng bù lại lượng oxy thiếu hụt. Đây là dấu hiệu cần theo dõi sát để đánh giá mức độ tiến triển.
- Đau ngực: Xuất hiện khi màng phổi bị kích thích. Cảm giác đau có thể âm ỉ hoặc nhói mạnh khi hít sâu. Cơn đau kéo dài khiến người bệnh khó vận động mạnh và giảm chất lượng cuộc sống. Việc theo dõi mức độ đau rất quan trọng giúp bác sĩ định hướng phương pháp kiểm soát phù hợp.
- Mệt mỏi hoặc giảm cân không rõ nguyên nhân: Đây là những biểu hiện toàn thân xuất hiện khi cơ thể phải “chiến đấu” với sự lan rộng của tế bào ác tính. Mặc dù không đặc trưng cho phổi nhưng khi kết hợp cùng các triệu chứng hô hấp khác điều này có thể gợi ý tình trạng di căn.

Nguyên nhân khiến tế bào ung thư lan đến phổi
Ung thư vú có nhiều con đường di căn. Đối với phổi quá trình này xảy ra khi tế bào ung thư tách khỏi khối nguyên phát rồi theo dòng máu di chuyển. Bạn cần hiểu rằng, di căn là kết quả của nhiều cơ chế sinh học phức tạp như:
- Tính chất của tế bào ung thư: Tế bào ung thư tăng sinh nhanh mất kiểm soát và có khả năng xâm lấn mạnh. Khi các tế bào này phá vỡ cấu trúc mô vú chúng dễ dàng đi vào mạch máu. Điều này tạo điều kiện cho việc di chuyển đến phổi. Vì vậy, những loại ung thư có tốc độ phát triển nhanh thường có nguy cơ di căn cao hơn.
- Ảnh hưởng của hệ bạch huyết: Hệ bạch huyết có mạng lưới rộng khắp cơ thể. Khi tế bào ung thư xâm nhập vào hệ thống này chúng có thể theo dòng chảy đến nhiều cơ quan. Phổi là một trong những vị trí dễ bị tác động vì là nơi lọc máu và có lưu lượng tuần hoàn lớn.
- Yếu tố giai đoạn bệnh: Di căn phổi thường gặp hơn ở giai đoạn tiến xa. Khi khối u ban đầu lớn đồng thời phá vỡ nhiều cấu trúc mô xung quanh tế bào ác tính dễ thoát ra ngoài. Vì vậy việc phát hiện và điều trị sớm ung thư vú đóng vai trò rất quan trọng giúp giảm nguy cơ di căn.
Chẩn đoán khi nghi ngờ di căn phổi
Khi người bệnh có triệu chứng hô hấp bất thường bác sĩ sẽ chỉ định một số phương pháp đánh giá tình trạng phổi. Các kỹ thuật này giúp xác định vị trí kích thước và số lượng tổn thương:
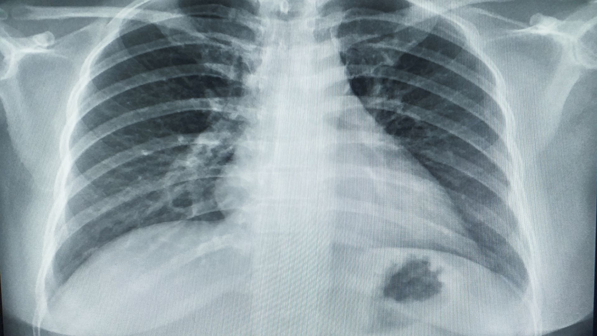
- Chụp X-quang phổi: X-quang là bước đầu tiên giúp quan sát tổng quát hình ảnh phổi. Hình ảnh có thể cho thấy các nốt mờ hoặc vùng bất thường. Mặc dù không thể đánh giá chi tiết nhưng đây là bước quan trọng để định hướng phương pháp tiếp theo.
- Chụp CT ngực: CT cung cấp hình ảnh rõ nét hơn giúp xác định chính xác kích thước và vị trí tổn thương. Nhờ khả năng cắt lớp CT hỗ trợ phát hiện những khối u rất nhỏ mà X-quang khó quan sát. Điều này đặc biệt quan trọng trong giai đoạn sớm của di căn.
- Xét nghiệm mô bệnh học: Khi cần xác định bản chất tổn thương bác sĩ có thể lấy mẫu mô phổi. Mẫu này được phân tích dưới kính hiển vi để xác định tế bào có phải ung thư từ vú hay không. Đây là bước quyết định trong chẩn đoán di căn.

Hướng xử lý khi người bệnh được chẩn đoán ung thư vú lan đến phổi
Tùy từng trường hợp bác sĩ sẽ đưa ra hướng can thiệp phù hợp. Mục tiêu điều trị giai đoạn này tập trung vào kiểm soát triệu chứng duy trì chất lượng cuộc sống và làm chậm tiến triển bệnh, cụ thể như sau:
Điều trị toàn thân
Điều trị toàn thân bao gồm thuốc tác động lên toàn bộ cơ thể nhằm ngăn chặn sự phát triển của tế bào ung thư. Tùy từng loại ung thư vú, bác sĩ có thể sử dụng liệu pháp nội tiết hoặc hóa trị. Những phương pháp này giúp giảm kích thước khối di căn đồng thời làm chậm sự lan rộng sang cơ quan khác.

Điều trị nhắm trúng đích hoặc miễn dịch
Một số người bệnh có đặc điểm sinh học phù hợp có thể sử dụng liệu pháp nhắm trúng đích hoặc miễn dịch. Các thuốc này tác động vào các phân tử đặc hiệu trong tế bào ung thư giúp tăng hiệu quả kiểm soát bệnh. Phương pháp này có ưu điểm là ít ảnh hưởng đến mô khỏe mạnh.
Điều trị hỗ trợ giảm triệu chứng
Khi khối di căn gây ho, khó thở hoặc đau ngực bác sĩ có thể chỉ định thuốc giảm đau hoặc thuốc hỗ trợ hô hấp. Việc giảm triệu chứng giúp người bệnh dễ chịu hơn duy trì sinh hoạt thường ngày. Một số trường hợp cần hỗ trợ hô hấp chuyên sâu tùy mức độ tổn thương phổi.
Người bệnh cần hiểu rằng tình trạng ung thư vú di căn phổi không đồng nghĩa với mất đi cơ hội điều trị mà cần có hướng chăm sóc đúng để nâng cao chất lượng sống.
Ung thư vú lan đến phổi là dấu hiệu cho thấy bệnh đã bước vào giai đoạn tiến xa hơn nhưng người bệnh vẫn có nhiều lựa chọn hỗ trợ. Việc nhận biết sớm triệu chứng hô hấp bất thường theo dõi sát tình trạng và tuân thủ hướng dẫn chuyên môn giúp duy trì chất lượng cuộc sống. Đồng thời việc chăm sóc dinh dưỡng nghỉ ngơi hợp lý cũng đóng vai trò quan trọng trong quá trình hỗ trợ điều trị. Khi có dấu hiệu nghi ngờ bạn nên thăm khám sớm để được đánh giá đầy đủ và lựa chọn phương án phù hợp.
:format(webp)/470051785_8767135473405056_691967411107495592_n_6b2bbff755.png)
:format(webp)/467434554_545745841560409_1066418224364723785_n_560a494f9c.png)
/nhung_xet_nghiem_ung_thu_vu_va_thoi_diem_can_tam_soat_ung_thu_vu_0_89e34cdfca.png)
/trong_nguc_co_cuc_cung_khong_dau_la_gi_nhung_dieu_can_luu_y_0_e32526c52a.png)
/ca_15_3_la_xet_nghiem_gi_y_nghia_cua_xet_nghiem_ca_15_3_1_959175ed26.png)
/xet_nghiem_ca_15_3_la_gi_chi_so_ca_15_3_binh_thuong_la_bao_nhieu_1_9b94e542a8.jpg)
/u_vu_ac_tinh_la_gi_dau_hieu_nguyen_nhan_va_cach_dieu_tri_1_34f9ce9e67.png)