Gan là cơ quan nội tạng lớn nhất cơ thể, đảm nhiệm nhiều chức năng sống còn. Trong đó, tiểu thùy gan được xem là đơn vị cấu trúc và chức năng cơ bản, nơi diễn ra hầu hết các hoạt động chuyển hóa, thải độc và tổng hợp của gan. Cùng Tiêm chủng Long Châu tìm hiểu nhé!
Tiểu thùy gan là gì?
Để hiểu rõ cách gan hoạt động hiệu quả, cần bắt đầu từ đơn vị nhỏ nhất tạo nên cơ quan này. Tiểu thùy gan chính là nền tảng giúp gan thực hiện đồng thời nhiều chức năng phức tạp trong cơ thể.
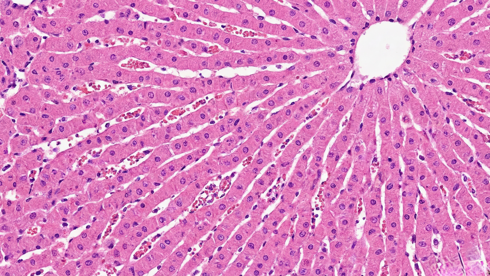
Tiểu thùy gan là đơn vị cấu trúc và chức năng cơ bản của gan, thường có hình lục giác khi quan sát dưới kính hiển vi. Mỗi tiểu thùy gan được tạo thành từ các tế bào gan (hepatocyte) sắp xếp thành bè, tỏa ra từ trung tâm là tĩnh mạch trung tâm.
Bao quanh tiểu thùy gan là các khoảng cửa (portal triad), bao gồm:
- Nhánh tĩnh mạch cửa.
- Nhánh động mạch gan.
- Ống mật nhỏ.
Sự sắp xếp đặc biệt này giúp máu giàu dưỡng chất và oxy đi qua từng tiểu thùy gan, tạo điều kiện cho tế bào gan thực hiện các quá trình chuyển hóa và lọc độc chất.

Nhờ cấu trúc khoa học và đồng bộ, tiểu thùy gan đóng vai trò trung tâm trong việc đảm bảo gan hoạt động hiệu quả và duy trì cân bằng nội môi của cơ thể.
Cấu trúc chi tiết của tiểu thùy gan
Cấu trúc vi thể của tiểu thùy gan phản ánh trực tiếp chức năng sinh lý của gan. Việc hiểu rõ từng thành phần giúp lý giải vì sao gan có khả năng chuyển hóa và thải độc mạnh mẽ.
Tế bào gan (Hepatocyte)
Tế bào gan (hepatocyte) chiếm khoảng 70 - 80% khối lượng gan là thành phần cấu trúc chủ yếu và giữ vai trò trung tâm trong hoạt động sinh lý của gan. Hầu hết các chức năng sống còn của gan đều được thực hiện trực tiếp tại các tế bào này bên trong tiểu thùy gan. Các tế bào này đảm nhiệm:
- Chuyển hóa các chất dinh dưỡng như: Carbohydrate, lipid và protein.
- Tổng hợp các chất cần thiết cho cơ thể: Albumin, các yếu tố đông máu như fibrinogen, prothrombin, góp phần kiểm soát quá trình cầm máu.
- Chuyển hóa và khử độc: Tế bào gan chứa hệ enzyme cytochrome P450 giúp chuyển hóa thuốc, rượu và các chất độc thành dạng ít độc hơn để đào thải qua mật hoặc nước tiểu.
- Dự trữ vi chất: Lưu trữ vitamin (A, D, B12), sắt và các khoáng chất cần thiết cho cơ thể.
Xoang gan (Sinusoid)
Bên cạnh tế bào gan, xoang gan là thành phần cấu trúc đặc biệt giúp tiểu thùy gan thực hiện hiệu quả chức năng trao đổi chất và lọc máu.
Xoang gan là các mao mạch dạng xoang nằm xen kẽ giữa các bè tế bào gan trong tiểu thùy gan. Đây là nơi máu từ tĩnh mạch cửa (giàu chất dinh dưỡng) và động mạch gan (giàu oxy) hòa trộn trước khi chảy về tĩnh mạch trung tâm.
Thành xoang gan có cấu trúc mỏng và tính thấm cao, cho phép:
- Máu tiếp xúc trực tiếp với bề mặt tế bào gan.
- Dễ dàng trao đổi chất dinh dưỡng, oxy và các chất độc cần xử lý.
- Các tế bào Kupffer (đại thực bào của gan) trong xoang gan tham gia loại bỏ vi khuẩn và mảnh vụn tế bào khỏi tuần hoàn.
Dòng máu chảy chậm trong xoang gan giúp kéo dài thời gian tiếp xúc giữa máu và tế bào gan, từ đó tăng hiệu quả chuyển hóa và thải độc.
Tĩnh mạch trung tâm
Mỗi tiểu thùy gan có một tĩnh mạch trung tâm, đóng vai trò thu gom máu sau khi đã được xử lý và dẫn về hệ tuần hoàn chung.
- Tế bào gan sắp xếp hình nan hoa.
- Xoang gan tạo điều kiện trao đổi chất tối ưu.
- Dòng máu chảy từ ngoại vi vào trung tâm.

Sự phối hợp chặt chẽ giữa các thành phần giúp tiểu thùy gan trở thành “nhà máy sinh học” hiệu quả, đảm bảo gan thực hiện trọn vẹn các chức năng sống còn.
Vai trò của tiểu thùy gan trong chức năng sinh lý
Không chỉ mang ý nghĩa về mặt cấu trúc, tiểu thùy gan còn là nơi diễn ra hầu hết các hoạt động sinh lý quan trọng của gan. Tiểu thùy gan tham gia trực tiếp vào:
- Chuyển hóa chất dinh dưỡng: Glucose, acid béo, acid amin.
- Thải độc: Khử độc rượu, thuốc, hóa chất thông qua hệ enzyme.
- Sản xuất mật: Hỗ trợ tiêu hóa và hấp thu chất béo.
- Dự trữ: Glycogen, vitamin A, D, B12 và sắt.

Nhờ hoạt động đồng bộ của hàng triệu tiểu thùy gan, gan có thể thích nghi nhanh với các thay đổi của môi trường trong và ngoài cơ thể.
Ý nghĩa lâm sàng của tiểu thùy gan
Trong y học lâm sàng, tổn thương tiểu thùy gan là nền tảng của nhiều bệnh lý gan mạn tính và cấp tính.
Tiểu thùy gan và bệnh gan mạn
Tiểu thùy gan là đơn vị cấu trúc và chức năng cơ bản của gan, vì vậy mọi tổn thương kéo dài tại gan đều ít nhiều ảnh hưởng trực tiếp đến cấu trúc và hoạt động của tiểu thùy gan.
Các bệnh gan mạn tính như viêm gan virus, gan nhiễm mỡ, xơ gan, cấu trúc tiểu thùy gan sẽ bị phá vỡ, làm giảm khả năng thải độc và chuyển hóa.
Khả năng tái tạo của tiểu thùy gan
Một đặc điểm đặc biệt của gan là khả năng tái tạo. Khi một phần tiểu thùy gan bị tổn thương, các tế bào gan còn lại có thể tăng sinh để bù trừ chức năng.
- Tổn thương kéo dài có thể gây xơ hóa.
- Phát hiện sớm giúp bảo tồn cấu trúc tiểu thùy gan.
- Điều trị đúng giúp phục hồi chức năng gan.

Tiểu thùy gan là đơn vị cấu trúc và chức năng nền tảng, quyết định khả năng chuyển hóa, thải độc và tái tạo của gan. Hiểu rõ vai trò của tiểu thùy gan giúp mỗi người chủ động hơn trong việc chăm sóc và bảo vệ sức khỏe gan lâu dài.
Tiêm chủng Long Châu luôn đồng hành cùng bạn trong việc phòng ngừa các bệnh lý ảnh hưởng đến gan thông qua cung cấp kiến thức y khoa và tiêm phòng các bệnh truyền nhiễm liên quan đến chức năng gan, giúp bạn chủ động bảo vệ sức khỏe cho bản thân và gia đình.
Xem thêm:
:format(webp)/470051785_8767135473405056_691967411107495592_n_6b2bbff755.png)
:format(webp)/467434554_545745841560409_1066418224364723785_n_560a494f9c.png)
/nghe_phoi_cach_nhan_biet_som_benh_ho_hap_qua_am_thanh_1_23c687964a.jpg)
/chuot_rut_ngon_chan_dau_hieu_canh_bao_suc_khoe_khong_nen_xem_nhe_1_f3560c8e19.png)
/chuot_rut_bap_chan_nguyen_nhan_dau_hieu_va_cach_xu_ly_hieu_qua_1_e6fed81fa7.png)
/duong_vat_co_xuong_khong_cau_tao_duong_vat_co_che_cuong_duong_va_su_that_it_ai_biet_4920d0b1e9.jpg)
/nhot_tien_dinh_mui_nhan_biet_som_de_tranh_bien_chung_nguy_hiem_1_cffcd80792.png)