Xương mác, dù không chịu lực chính như xương chày, nhưng đóng vai trò quan trọng trong việc ổn định và phối hợp vận động của chi dưới. Khi bị gãy, nếu không được xử trí đúng cách, người bệnh có thể gặp hạn chế vận động, đau kéo dài và thậm chí biến dạng cẳng chân. Cùng tìm hiểu nguyên nhân, triệu chứng và phương pháp điều trị gãy xương mác là điều cần thiết để bảo vệ sức khỏe xương khớp.
Gãy xương mác là gì? Vị trí và vai trò của xương mác
Cẳng chân của con người gồm hai xương chính: Xương chày và xương mác. Xương chày nằm ở phía trong, chịu phần lớn trọng lượng cơ thể khi đứng hoặc đi lại. Trong khi đó, xương mác là xương phụ nằm phía ngoài và sau của cẳng chân, kéo dài từ đầu gối xuống mắt cá chân ngoài.
Mặc dù không gánh trọng lực chính, xương mác có vai trò quan trọng trong việc hỗ trợ chuyển động xoay của cẳng chân, duy trì sự cân bằng, và bảo vệ các cấu trúc thần kinh, mạch máu dọc theo chân. Ngoài ra, đầu dưới của xương mác còn tạo thành phần ngoài của mắt cá chân, góp phần giữ vững khớp cổ chân khi vận động.
Theo thống kê y khoa, gãy xương mác chiếm khoảng 16 - 20% tổng số các trường hợp gãy chi dưới. Tùy vào vị trí và mức độ tổn thương, gãy xương mác có thể đơn giản, phức tạp, hoặc đi kèm tổn thương xương chày và khớp cổ chân, đòi hỏi phương pháp xử lý khác nhau.

Nguyên nhân và yếu tố nguy cơ gây gãy xương mác
Gãy xương mác thường xảy ra do chấn thương trực tiếp hoặc gián tiếp vào cẳng chân, và nguy cơ cao hơn ở người có loãng xương, tai nạn giao thông, chơi thể thao va chạm mạnh hoặc thừa cân.
Tai nạn giao thông, té ngã, chấn thương thể thao
Đây là nguyên nhân phổ biến nhất. Lực va đập mạnh trực tiếp vào vùng cẳng chân ngoài, hoặc xoắn vặn đột ngột trong khi chơi thể thao, có thể khiến xương mác bị nứt hoặc gãy hoàn toàn. Những môn thể thao như bóng đá, bóng rổ, trượt ván hoặc chạy bộ địa hình thường tiềm ẩn nguy cơ này.
Vận động sai tư thế, không khởi động kỹ
Khi khớp cổ chân hoặc đầu gối xoay lệch trong lúc vận động, đặc biệt khi cơ và dây chằng chưa được làm nóng đầy đủ, xương mác dễ chịu lực bất thường dẫn đến gãy hoặc nứt. Điều này hay gặp ở người tập thể dục đột ngột sau thời gian dài ít vận động.

Loãng xương, suy dinh dưỡng, dùng corticoid kéo dài
Ở người cao tuổi hoặc người bệnh mãn tính, mật độ xương giảm khiến xương giòn và dễ gãy dù chỉ va chạm nhẹ. Ngoài ra, việc dùng thuốc corticoid lâu dài cũng làm suy yếu cấu trúc xương, tăng nguy cơ gãy tự phát.
Chế độ dinh dưỡng thiếu canxi, vitamin D hoặc protein cũng góp phần làm giảm khả năng tái tạo và bền vững của xương.
Triệu chứng nhận biết gãy xương mác
Dấu hiệu đặc trưng là đau nhức dữ dội vùng cẳng chân ngoài, tăng khi xoay chân hoặc chịu lực. Nhiều người nghe thấy tiếng “rắc” khi chấn thương xảy ra, báo hiệu xương đã gãy. Khu vực xương mác bị tổn thương thường sưng, bầm tím và đôi khi biến dạng nếu gãy di lệch. Người bệnh khó đứng vững, không thể đi lại bình thường và cử động nhẹ cũng gây đau buốt.
Trong những trường hợp nặng, có thể kèm tê bì, lạnh chân hoặc mạch yếu nếu mạch máu và thần kinh bị tổn thương. Trường hợp sốc chấn thương với da tái, mồ hôi lạnh và mệt mỏi cần cấp cứu ngay.
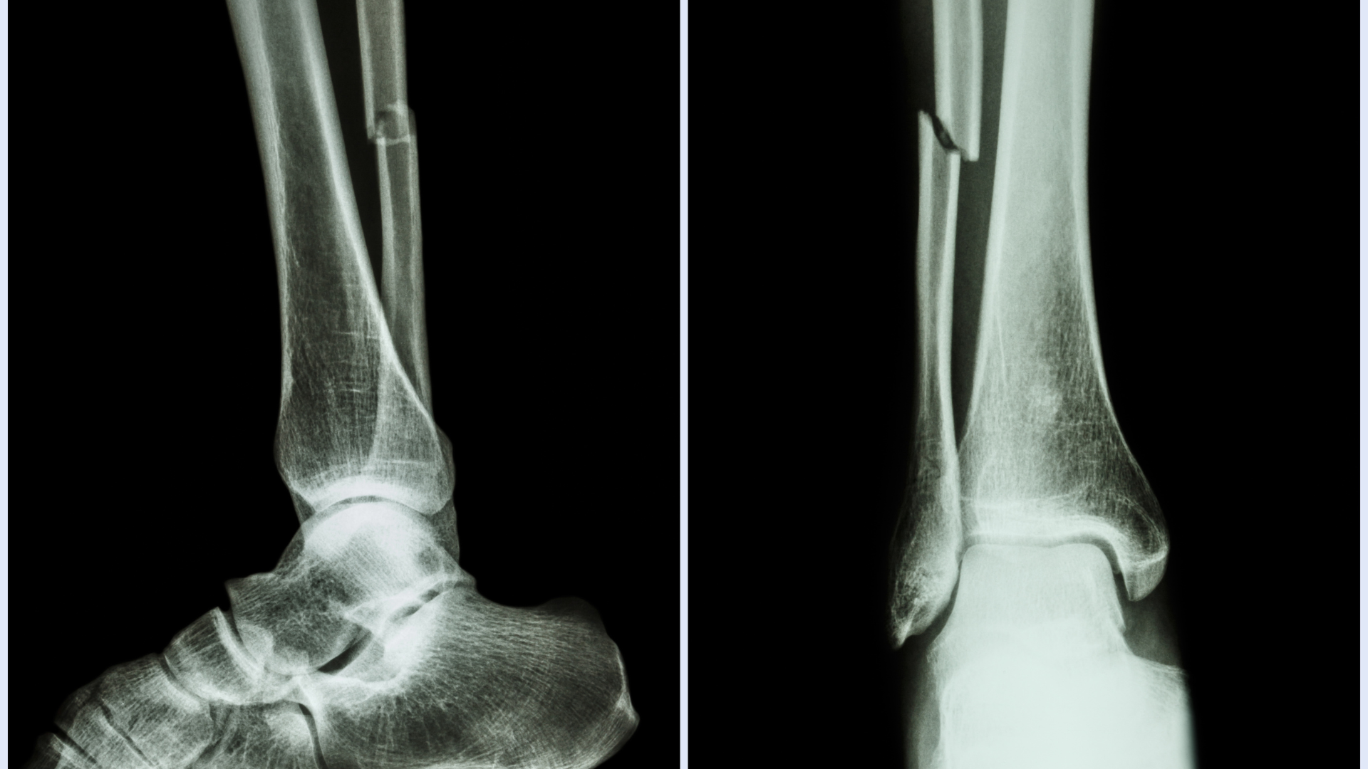
Chẩn đoán hình ảnh giúp xác định vị trí và mức độ gãy. X-quang cẳng chân là bước cơ bản, trong khi CT scan hoặc MRI được sử dụng khi nghi ngờ gãy phức tạp hoặc tổn thương mô mềm, giúp bác sĩ đưa ra phương án điều trị chính xác.

Phương pháp điều trị gãy xương mác
Phác đồ điều trị gãy xương mác phụ thuộc vào mức độ di lệch, vị trí gãy và tình trạng toàn thân của bệnh nhân. Có hai hướng chính:
Điều trị bảo tồn
Áp dụng với những trường hợp gãy không di lệch hoặc nứt xương mác.
- Bệnh nhân được bó bột từ đầu gối đến cổ chân, nhằm cố định xương trong khoảng 4 - 6 tuần.
- Trong thời gian này, cần hạn chế tỳ lực lên chân bị thương, có thể dùng nạng hỗ trợ đi lại.
- Bác sĩ sẽ theo dõi định kỳ bằng X-quang để đảm bảo xương liền đúng vị trí.
- Kèm theo đó, bệnh nhân được kê thuốc giảm đau, kháng viêm và bổ sung canxi, vitamin D.
Phẫu thuật
Được chỉ định khi xương gãy di lệch nhiều, gãy phức tạp, hoặc kèm gãy xương chày, trật khớp cổ chân.
- Bác sĩ tiến hành kết hợp xương bằng nẹp vít hoặc đinh nội tủy, giúp xương ổn định nhanh.
- Sau phẫu thuật, người bệnh được hướng dẫn tập phục hồi sớm để tránh cứng khớp và teo cơ.
- Tùy theo mức độ tổn thương, thời gian liền xương trung bình từ 6 - 8 tuần, nhưng có thể kéo dài hơn ở người lớn tuổi hoặc có bệnh lý nền.

Dù điều trị bằng phương pháp nào, yếu tố quan trọng là tuân thủ đúng hướng dẫn của bác sĩ, tránh tự ý tháo bột, vận động sớm hoặc bỏ qua giai đoạn phục hồi.
Phục hồi chức năng và phòng ngừa tái gãy
Phục hồi chức năng sau gãy xương và phòng ngừa tái gãy cần tiến hành theo từng giai đoạn, kết hợp tập luyện, dinh dưỡng và phòng tránh nguy cơ té ngã để xương liền tốt và hạn chế biến chứng.
Vật lý trị liệu
Sau khi xương bắt đầu liền, bệnh nhân cần thực hiện các bài tập nhẹ nhàng giúp phục hồi sức mạnh cơ vùng cẳng chân. Giai đoạn đầu, tập co duỗi khớp cổ chân, nâng chân thụ động. Tiếp theo, chuyển sang tập đi có hỗ trợ, rồi dần dần bỏ nạng khi chân đủ vững. Việc tập đúng cách giúp ngăn cứng khớp, giảm teo cơ và cải thiện tuần hoàn máu.

Dinh dưỡng
Cơ thể cần được bổ sung đủ canxi, vitamin D, kẽm và protein để thúc đẩy quá trình liền xương. Thực phẩm nên dùng gồm: Sữa, cá hồi, trứng, rau xanh, các loại hạt, và uống đủ nước mỗi ngày. Ngoài ra, nên hạn chế rượu bia, thuốc lá và cà phê vì chúng ảnh hưởng đến quá trình tái tạo xương.
Phòng ngừa tái gãy
- Khởi động kỹ trước khi vận động thể thao hoặc lao động nặng.
- Kiểm tra mật độ xương định kỳ ở người trên 50 tuổi hoặc có yếu tố nguy cơ loãng xương.
- Giữ môi trường sống an toàn, tránh trơn trượt, đặc biệt đối với người cao tuổi.
- Duy trì thói quen tập luyện phù hợp, như đi bộ, bơi lội, yoga để tăng độ dẻo dai của xương khớp.
Như vậy, gãy xương mác tuy không phải là chấn thương quá hiếm gặp, nhưng nếu chủ quan trong điều trị, người bệnh có thể đối mặt với biến chứng vận động lâu dài. Việc chẩn đoán sớm, điều trị đúng phác đồ và tuân thủ phục hồi giúp xương liền tốt, giảm đau và ngăn tái gãy. Hãy chăm sóc xương khớp hằng ngày, dinh dưỡng hợp lý và vận động đúng cách để bảo vệ đôi chân khỏe mạnh, linh hoạt mỗi ngày.
:format(webp)/470051785_8767135473405056_691967411107495592_n_6b2bbff755.png)
:format(webp)/467434554_545745841560409_1066418224364723785_n_560a494f9c.png)
/dau_ha_suon_trai_nguyen_nhan_thuong_gap_va_dau_hieu_can_luu_y_587df00add.jpg)
/gay_xuong_mat_ca_chan_la_gi_cach_cham_soc_va_tap_phuc_hoi_sau_gay_xuong_mat_ca_chan_3_a2aa9a6f3f.jpg)
/gay_xuong_ngon_chan_co_nguy_hiem_khong_khi_nao_can_di_kham_2_f8cac2f31a.jpg)
/gay_xuong_cang_chan_nguyen_nhan_dieu_tri_va_thoi_gian_hoi_phuc_1_6b176ac27d.jpg)
/gay_xuong_ban_chan_dau_hieu_nhan_biet_va_cach_dieu_tri_2_abbec8b479.jpg)