Bàn chân giữ vai trò nâng đỡ toàn bộ trọng lượng cơ thể và tham gia trực tiếp vào các hoạt động đi đứng, vận động hằng ngày. Khi xuất hiện đau, sưng hoặc biến dạng bàn chân, việc chẩn đoán chính xác nguyên nhân là yếu tố then chốt để điều trị hiệu quả. Trong bối cảnh đó, X-quang bàn chân là phương tiện cận lâm sàng phổ biến, giúp bác sĩ có cái nhìn ban đầu về tình trạng tổn thương xương khớp của người bệnh.
X-quang bàn chân là gì? Có vai trò gì trong chẩn đoán?
X-quang bàn chân là phương pháp sử dụng tia X để tạo hình ảnh các xương ở bàn chân, bao gồm xương cổ chân, xương bàn chân và các đốt ngón chân. Đây là kỹ thuật cơ bản, thường được chỉ định đầu tiên khi nghi ngờ tổn thương xương bàn chân. Phương pháp này không xâm lấn, thực hiện nhanh chóng và cung cấp hình ảnh rõ nét về cấu trúc xương.
Nguyên lý chụp X-quang bàn chân dựa trên việc tia X đi xuyên qua bàn chân và được hấp thụ khác nhau tùy theo mật độ mô. Xương hấp thụ tia X nhiều nên hiện lên màu trắng rõ nét trên phim, trong khi mô mềm hấp thụ ít hơn và hiện mờ hơn. Nhờ đó, bác sĩ có thể đánh giá hình dạng, vị trí, sự liên tục của các xương bàn chân cũng như các bất thường liên quan đến khớp.
Những thông tin X-quang bàn chân có thể cung cấp rất hữu ích trong chẩn đoán ban đầu. Thông qua phim X-quang, bác sĩ có thể phát hiện:
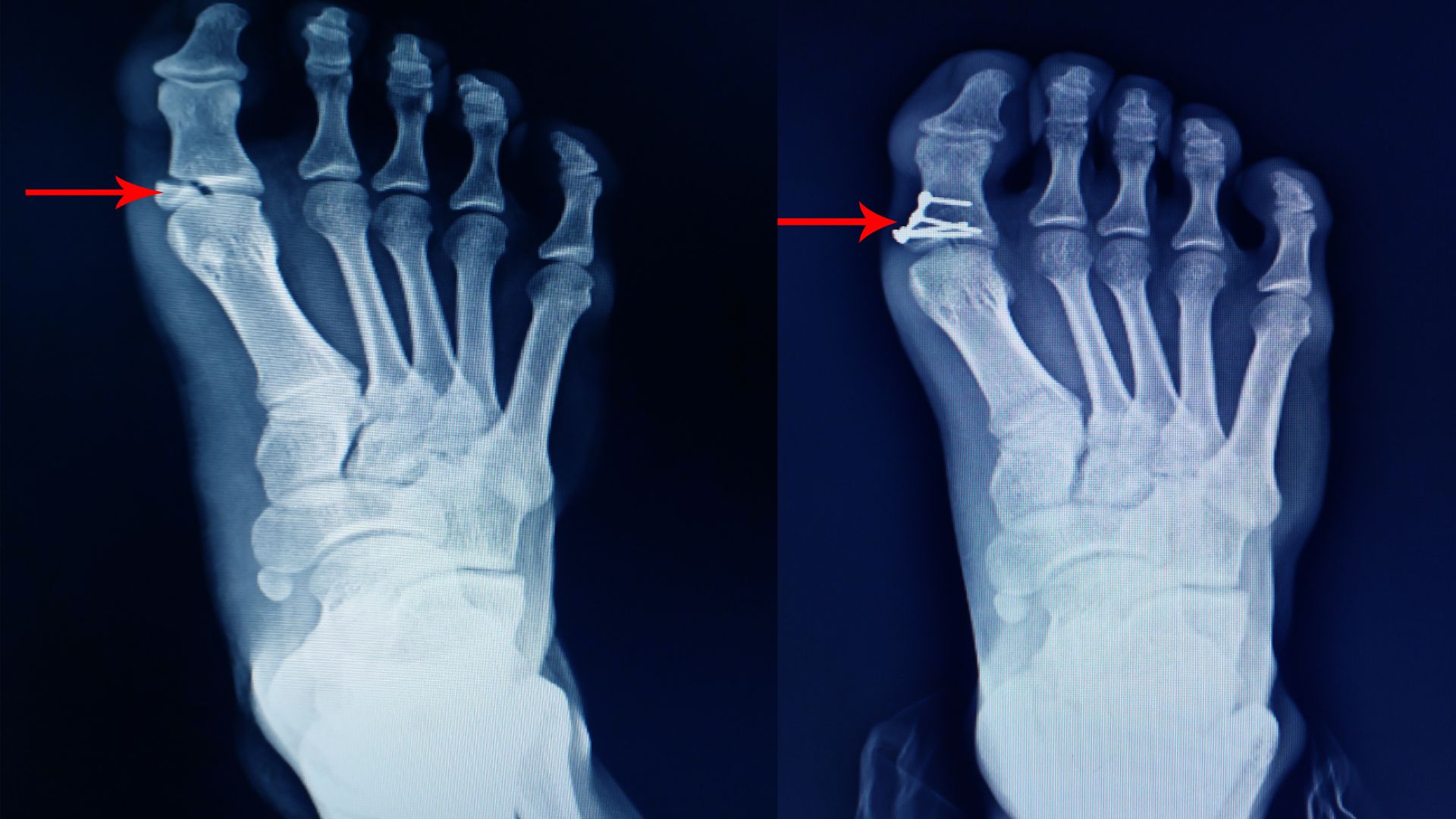
- Gãy xương bàn chân hoặc xương ngón chân, bao gồm gãy kín, gãy hở hoặc gãy do stress.
- Trật khớp bàn - ngón hoặc cổ chân.
- Biến dạng bàn chân như bàn chân bẹt, hallux valgus (ngón cái vẹo ngoài, còn gọi là bunion).
- Thoái hóa khớp bàn - ngón, với dấu hiệu hẹp khe khớp, gai xương hoặc biến dạng khớp.
- Dị tật bẩm sinh của xương bàn chân.
- Một số dấu hiệu gợi ý viêm hoặc tổn thương xương mạn tính.
Tuy nhiên, X-quang bàn chân chủ yếu đánh giá tổn thương xương, không phản ánh đầy đủ tình trạng gân, dây chằng hay mô mềm quanh khớp. Do đó, trong nhiều trường hợp, cần kết hợp với các phương pháp khác để chẩn đoán toàn diện.

Khi nào cần chụp X-quang bàn chân?
Không phải mọi trường hợp đau bàn chân đều cần chụp X-quang bàn chân. Việc chỉ định cần dựa trên triệu chứng lâm sàng và đánh giá của bác sĩ để tránh phơi nhiễm tia X không cần thiết.
X-quang bàn chân thường được chỉ định khi người bệnh có:
- Đau bàn chân sau chấn thương, té ngã, tai nạn giao thông hoặc va đập mạnh.
- Sưng, bầm tím hoặc biến dạng bàn chân rõ rệt.
- Nghi ngờ gãy xương hoặc trật khớp ở bàn chân.
- Đau bàn chân kéo dài không rõ nguyên nhân, ảnh hưởng đến sinh hoạt hàng ngày.
- Theo dõi tiến triển các bệnh lý xương khớp bàn chân đã được chẩn đoán trước đó, như thoái hóa hoặc biến dạng.
Ngoài chẩn đoán ban đầu, X-quang bàn chân còn được sử dụng để:
- Đánh giá kết quả sau điều trị bảo tồn hoặc phẫu thuật.
- Theo dõi quá trình liền xương sau gãy.
- Phát hiện biến chứng xương sau chấn thương.
Việc chỉ định X-quang bàn chân giúp bác sĩ định hướng nhanh chóng, tránh bỏ sót tổn thương nghiêm trọng và hỗ trợ lập kế hoạch điều trị phù hợp.

Quy trình chụp X-quang bàn chân diễn ra như thế nào?
Chụp X-quang bàn chân là thủ thuật đơn giản, nhanh chóng và không xâm lấn, thường chỉ mất vài phút.
Chuẩn bị trước khi chụp
Người bệnh thường không cần chuẩn bị đặc biệt trước khi chụp X-quang bàn chân. Tuy nhiên, để đảm bảo hình ảnh rõ nét và an toàn, cần lưu ý:
- Tháo giày dép, tất và vật kim loại ở vùng bàn chân (như vòng chân, khuyên) để tránh che khuất hình ảnh.
- Thông báo cho nhân viên y tế nếu đang mang thai hoặc nghi ngờ mang thai, vì tia X có thể ảnh hưởng đến thai nhi.
- Mặc quần áo thoải mái, dễ kéo ống quần lên để lộ bàn chân.

Các tư thế chụp thường dùng
Tùy mục đích chẩn đoán, bác sĩ có thể chỉ định:
- Chụp thẳng bàn chân (AP): Người bệnh nằm ngửa hoặc ngồi, bàn chân đặt sát phim, lòng bàn chân vuông góc với phim để quan sát tổng thể xương đốt bàn và ngón chân.
- Chụp nghiêng bàn chân (lateral): Bàn chân nghiêng, mặt bên sát phim để đánh giá chiều cao vòm bàn chân, vị trí gót và sự chồng lấp của các xương.
- Chụp chếch (oblique): Bàn chân nghiêng khoảng 45 độ giúp quan sát rõ các khớp bàn - ngón và các xương chồng lấp, giúp phát hiện tổn thương ẩn.
Mỗi tư thế cho phép quan sát các cấu trúc xương ở những góc độ khác nhau, giúp phát hiện tổn thương chính xác hơn.
Thời gian và cảm giác khi chụp: Thời gian chụp thường chỉ kéo dài vài phút. Người bệnh không cảm thấy đau, chỉ cần giữ bàn chân đúng tư thế theo hướng dẫn của kỹ thuật viên trong vài giây khi tia X phát ra.
Ưu điểm, hạn chế và những lưu ý an toàn khi chụp X-quang bàn chân
Việc hiểu rõ lợi ích và hạn chế của X-quang bàn chân giúp người bệnh sử dụng phương pháp này đúng chỉ định.
Ưu điểm
Phương pháp này có nhiều ưu điểm trong chẩn đoán ban đầu các bệnh lý cơ xương khớp, đặc biệt là tổn thương xương:
- Nhanh chóng, dễ thực hiện, kết quả có ngay.
- Chi phí tương đối thấp, dễ tiếp cận.
- Có giá trị cao trong phát hiện tổn thương xương như gãy, trật hoặc biến dạng.
Hạn chế
Bên cạnh những lợi ích, phương pháp này cũng tồn tại một số hạn chế nhất định cần được cân nhắc khi chỉ định:
- Không đánh giá được mô mềm như gân, dây chằng hoặc sụn khớp sớm.
- Không phát hiện được tổn thương sớm của sụn khớp hoặc viêm nhiễm mô mềm.
- Có phơi nhiễm tia X, dù liều thấp và an toàn khi thực hiện đúng chỉ định.
Lưu ý về an toàn: Theo các tài liệu y khoa, liều tia X trong chụp X-quang bàn chân được kiểm soát ở mức thấp và an toàn. Tuy nhiên, người bệnh không nên chụp lặp lại nhiều lần nếu không có chỉ định rõ ràng từ bác sĩ chuyên khoa. Phụ nữ mang thai nên tránh hoặc chỉ chụp khi thực sự cần thiết và có biện pháp bảo vệ.

X-quang bàn chân là phương pháp chẩn đoán hình ảnh cơ bản và quan trọng trong đánh giá các tổn thương xương khớp bàn chân. Dù có nhiều ưu điểm về tính nhanh chóng và khả năng phát hiện tổn thương xương, phương pháp này vẫn có những hạn chế nhất định. Vì vậy, việc chụp X-quang bàn chân cần được chỉ định và đọc kết quả bởi bác sĩ chuyên môn, nhằm đảm bảo chẩn đoán chính xác và an toàn cho người bệnh.
Nếu bạn đang gặp vấn đề về bàn chân như đau kéo dài hoặc sau chấn thương, hãy đến gặp bác sĩ để được tư vấn và hướng dẫn phù hợp, giúp bảo vệ sức khỏe bàn chân hiệu quả.
:format(webp)/Desktop_70c81619bb.png)
:format(webp)/467434554_545745841560409_1066418224364723785_n_560a494f9c.png)
/dien_tim_binh_thuong_la_gi_cach_nhan_biet_va_y_nghia_trong_chan_doan_tim_mach_1_002a697c80.jpg)
/do_dien_tim_la_gi_khi_nao_can_do_dien_tim_de_phat_hien_benh_tim_mach_som_1_01cb9ebe69.jpg)
/x_quang_ban_tay_la_gi_khi_nao_can_chup_va_can_luu_y_nhung_gi_1_c3bf816f93.jpg)
/x_quang_cot_song_co_khi_nao_can_chup_va_gia_tri_chan_doan_1_0d4b2d71e2.jpg)
/x_quang_cot_song_that_lung_la_gi_khi_nao_can_chup_va_can_luu_y_gi_1_88ab088f1f.jpg)