Sâu răng là một trong những bệnh lý răng miệng phổ biến nhất trên toàn cầu. Bệnh răng miệng ảnh hưởng đến gần 3,7 tỷ người trên thế giới, trong đó sâu răng (hay còn gọi là sâu răng) là tình trạng thường gặp nhất. Việc nhận diện đúng vi khuẩn làm sâu răng, cơ chế hoạt động và tác động của chúng không chỉ giúp phòng bệnh tốt hơn mà còn hỗ trợ cha mẹ, người chăm sóc xây dựng thói quen vệ sinh răng miệng khoa học cho trẻ em và cả gia đình.
Cơ chế vi khuẩn gây sâu răng
Vi khuẩn làm răng hoạt động theo một cơ chế tương đối rõ ràng và có thể phòng ngừa nếu được kiểm soát đúng cách.
Hình thành mảng bám trên răng
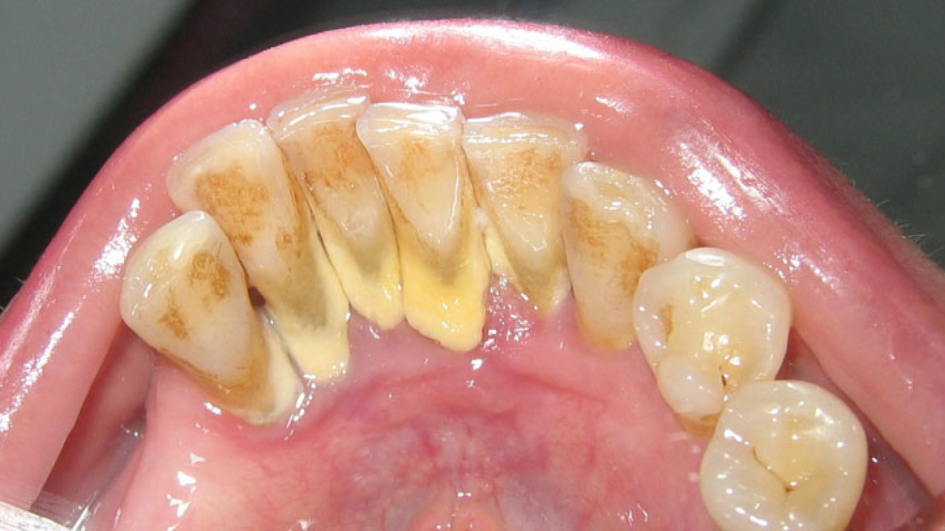
Trong miệng luôn có sẵn nhiều loại vi khuẩn. Khi chúng ta ăn uống, đặc biệt là đồ ngọt hoặc thực phẩm chứa nhiều tinh bột, vụn thức ăn còn sót lại sẽ bám trên bề mặt răng. Vi khuẩn kết hợp với nước bọt và cặn thức ăn tạo thành một lớp màng dính gọi là mảng bám răng. Lớp mảng bám này bám chặt vào men răng và là môi trường thuận lợi để vi khuẩn phát triển.
Nếu không được làm sạch kỹ, mảng bám sẽ dày lên và cứng lại thành cao răng, khiến việc vệ sinh răng miệng trở nên khó khăn hơn và tạo điều kiện cho vi khuẩn tiếp tục sinh sôi.

Vi khuẩn tạo axit làm hỏng men răng
Khi vi khuẩn sử dụng đường trong thức ăn, chúng tạo ra axit. Chính lượng axit này làm môi trường trong miệng trở nên “chua” hơn và bắt đầu bào mòn men răng. Nếu tình trạng này lặp đi lặp lại nhiều lần trong ngày, lớp men răng sẽ dần yếu đi, mất khoáng và xuất hiện những lỗ nhỏ trên bề mặt răng, đó chính là sâu răng.
Tổn thương lan sâu nếu không điều trị
Ban đầu, sâu răng chỉ ảnh hưởng đến lớp men bên ngoài. Tuy nhiên, nếu không được xử lý kịp thời, vi khuẩn sẽ tiếp tục tấn công vào lớp ngà răng và sâu hơn nữa là tủy răng. Khi đó, người bệnh có thể cảm thấy ê buốt khi ăn đồ nóng, lạnh hoặc ngọt. Nặng hơn là đau nhức dữ dội, sưng vùng nướu, thậm chí hình thành ổ mủ quanh chân răng.
Các loại vi khuẩn làm sâu răng thường gặp
Trong khoang miệng có hàng trăm loại vi khuẩn khác nhau và không phải loại nào cũng gây hại. Tuy nhiên, một số vi khuẩn có khả năng sinh axit mạnh và bám dính tốt trên bề mặt răng, từ đó đóng vai trò chính trong quá trình hình thành và tiến triển sâu răng.
Streptococcus mutans
Đây là vi khuẩn được xem là tác nhân hàng đầu gây sâu răng, đặc biệt ở giai đoạn khởi phát tổn thương.
- Bám dính rất chắc vào bề mặt răng nhờ tạo polysaccharide ngoại bào từ đường sucrose.
- Chuyển hóa đường thành axit (chủ yếu là axit lactic) với tốc độ nhanh.
- Tồn tại và phát triển tốt trong môi trường có độ pH thấp.
- Có thể lây truyền trong gia đình, nhất là từ mẹ sang con qua việc dùng chung dụng cụ ăn uống, hôn miệng trẻ hoặc thổi nguội thức ăn.
Vi khuẩn sâu răng có khả năng lây truyền trong những năm đầu đời của trẻ, làm tăng nguy cơ sâu răng sớm nếu không được kiểm soát tốt.

Lactobacillus
Khác với Streptococcus mutans, Lactobacillus không phải là nguyên nhân khởi phát sâu răng. Tuy nhiên, khi lỗ sâu đã hình thành, vi khuẩn này góp phần làm tổn thương tiến triển nặng hơn thông qua:
- Phát triển mạnh trong môi trường axit, đặc biệt ở các lỗ sâu đã xuất hiện.
- Làm tăng tốc độ lan rộng và ăn sâu của tổn thương răng.
- Thường được tìm thấy nhiều ở giai đoạn sâu răng tiến triển.
Actinomyces
Actinomyces thường liên quan đến sâu răng ở vùng chân răng, nhất là ở người lớn tuổi hoặc người bị tụt lợi. Vi khuẩn này có vai trò đáng chú ý trong các tổn thương mạn tính với những đặc điểm sau:
- Tấn công vùng chân răng bị lộ do tụt nướu hoặc mảng bám tích tụ lâu ngày.
- Phát triển trong mảng bám mạn tính quanh cổ răng.
- Gây tổn thương kéo dài nếu vệ sinh răng miệng không được kiểm soát tốt, thường gặp ở người trưởng thành hơn là trẻ em.

Ảnh hưởng của vi khuẩn làm sâu răng đối với sức khỏe
Vi khuẩn làm sâu răng không chỉ ảnh hưởng đến răng mà còn tác động đến chất lượng cuộc sống và sức khỏe toàn thân nếu không được kiểm soát.
- Gây đau nhức và giảm khả năng ăn nhai: Khi tổn thương lan đến ngà răng và tủy răng, người bệnh có thể đau dữ dội, ê buốt khi ăn nóng - lạnh - ngọt. Điều này làm giảm khả năng ăn nhai, dẫn đến ăn uống kém, đặc biệt ở trẻ em và người cao tuổi.
- Tăng nguy cơ nhiễm trùng: Nếu vi khuẩn xâm nhập vào tủy răng và mô quanh răng, có thể dẫn đến áp xe răng. Trong trường hợp nghiêm trọng, nhiễm trùng có thể lan rộng, ảnh hưởng đến xương hàm hoặc các cơ quan lân cận.
- Ảnh hưởng đến sự phát triển của trẻ: Sâu răng không được điều trị có thể gây đau kéo dài, ảnh hưởng đến giấc ngủ, khả năng tập trung và kết quả học tập của trẻ. Trẻ có thể quấy khóc, khó ngủ, sụt cân, suy dinh dưỡng do ăn uống kém. Hơn nữa, hơi thở hôi và tự ti khi giao tiếp cũng ảnh hưởng đến tâm lý phát triển.
- Gánh nặng kinh tế và xã hội: Bệnh răng miệng được ghi nhận nằm trong nhóm bệnh không lây nhiễm phổ biến nhất toàn cầu và gây chi phí điều trị lớn cho cá nhân và hệ thống y tế. Ở Việt Nam và nhiều quốc gia khác, sâu răng vẫn là vấn đề phổ biến do thói quen ăn uống và vệ sinh chưa tốt.

Cách chăm sóc răng miệng đúng cách
Việc kiểm soát vi khuẩn làm sâu răng phụ thuộc chủ yếu vào thói quen chăm sóc răng miệng hằng ngày. Duy trì những biện pháp đơn giản nhưng đúng cách sẽ giúp giảm số lượng vi khuẩn và hạn chế nguy cơ hình thành lỗ sâu.
- Đánh răng ít nhất 2 lần/ngày (sáng và tối): Sử dụng kem đánh răng chứa fluor với nồng độ khoảng 1000 - 1500 ppm. Fluor giúp tái khoáng men răng và tăng khả năng chống lại axit do vi khuẩn tạo ra.
- Sử dụng chỉ nha khoa mỗi ngày: Làm sạch kẽ răng, vị trí bàn chải khó tiếp cận và là nơi vi khuẩn, mảng bám dễ tích tụ.
- Hạn chế thực phẩm và đồ uống chứa nhiều đường: Tránh ăn vặt liên tục trong ngày, ưu tiên uống nước lọc thay vì nước ngọt hoặc nước trái cây có thêm đường để giảm nguồn “thức ăn” cho vi khuẩn.
- Súc miệng bằng nước sạch sau khi ăn: Áp dụng khi chưa thể đánh răng ngay, giúp giảm bớt mảng bám và lượng đường còn sót lại trong miệng.
- Khám răng định kỳ 6 tháng/lần: Giúp phát hiện sớm tổn thương sâu răng, đồng thời loại bỏ mảng bám và cao răng tích tụ lâu ngày.
- Hướng dẫn trẻ chải răng đúng cách từ sớm: Sử dụng bàn chải lông mềm, chải nhẹ nhàng theo vòng tròn hoặc chiều lên xuống trong khoảng 2 phút để làm sạch hiệu quả mà không làm tổn thương nướu.
- Không dùng chung dụng cụ ăn uống với trẻ nhỏ: Tránh dùng chung muỗng, đũa hoặc thổi nguội thức ăn vì có thể làm lây truyền vi khuẩn như Streptococcus mutans, một trong những tác nhân chính gây sâu răng ở trẻ.

Vi khuẩn gây sâu răng là nguyên nhân trực tiếp dẫn đến tổn thương men răng thông qua quá trình tạo axit từ đường trong thực phẩm. Các loại vi khuẩn như Streptococcus mutans, Lactobacillus và Actinomyces đóng vai trò quan trọng trong quá trình này. Việc hiểu rõ cơ chế hoạt động của vi khuẩn và thực hành chăm sóc răng miệng đúng cách có thể giúp giảm đáng kể nguy cơ sâu răng ở cả trẻ em và người lớn.
:format(webp)/Desktop_da87817305.png)
:format(webp)/Mobile_1_0b0c1a773a.png)
/rang_sua_chua_rung_da_moc_rang_moi_xu_ly_sao_de_khong_lech_ham_523ea1676d.jpg)
/lich_thay_rang_sua_theo_tung_do_tuoi_dau_hieu_va_cach_cham_soc_dung_77293b07cd.jpg)
/hoi_tho_co_mui_nguyen_nhan_dau_hieu_va_cach_khac_phuc_hau_qua_704dd272b8.jpg)
/tuyet_doi_tranh_cac_thuc_pham_cung_hoac_dai_de_ngan_ngua_tinh_trang_xe_dich_tru_implant_hau_phau_1_eeb5c78aa3.png)
/dau_rang_an_thit_ga_co_sao_khong_nhung_luu_y_can_biet_47d3482d6e.jpg)