Mắt cá chân là bộ phận quan trọng giúp cơ thể di chuyển linh hoạt, giữ thăng bằng và chịu tải trọng lớn mỗi ngày. Việc chăm sóc đúng cách không chỉ bảo vệ khớp khỏi chấn thương mà còn duy trì sự dẻo dai cho vận động. Bài viết dưới đây sẽ mang đến thông tin hữu ích về cấu tạo, chức năng và cách chăm sóc mắt cá chân.
Khái quát về mắt cá chân là gì
Mắt cá chân là khớp nối giữa bàn chân và cẳng chân, giúp cơ thể có thể di chuyển linh hoạt và giữ thăng bằng. Đây là một trong những khớp chịu lực nhiều nhất, gánh vác toàn bộ trọng lượng cơ thể khi bạn đi, chạy, nhảy hoặc đứng lâu.
Không chỉ đóng vai trò cơ học, mắt cá chân còn ảnh hưởng đến sự cân đối của toàn bộ hệ cơ xương khớp. Một tổn thương nhỏ ở vùng này cũng có thể gây ra sự mất cân bằng khi vận động, dẫn đến đau đầu gối, hông hoặc thậm chí là cột sống.

Nếu có dấu hiệu đau hoặc sưng bất thường tại mắt cá chân, hãy chú ý theo dõi thay vì bỏ qua.
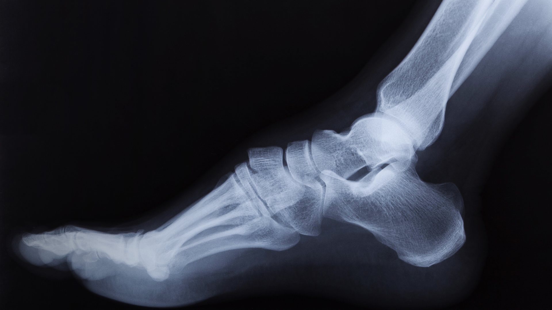
Vị trí và cấu tạo mắt cá chân
Mắt cá chân nằm ở điểm tiếp nối giữa cẳng chân và bàn chân, cấu thành bởi nhiều bộ phận khác nhau:
- Xương: Khớp được hình thành từ ba xương chính là xương chày, xương mác và xương sên. Chúng kết hợp tạo thành ổ khớp vững chắc.
- Dây chằng: Hệ thống dây chằng bên trong và bên ngoài có nhiệm vụ giữ ổn định khớp, giúp ngăn ngừa trật khớp trong quá trình vận động.
- Gân: Liên kết các cơ ở cẳng chân với bàn chân, đóng vai trò quan trọng trong việc gập và duỗi bàn chân.
- Sụn: Bao phủ bề mặt khớp, giảm ma sát khi cử động và hấp thụ lực tác động từ trọng lượng cơ thể.

Chính sự phối hợp nhịp nhàng của các cấu trúc này giúp mắt cá chân vận hành linh hoạt, đảm bảo khả năng chịu lực và duy trì sự cân bằng khi di chuyển trên nhiều địa hình khác nhau.
Hiểu rõ cấu tạo khớp sẽ giúp bạn có ý thức hơn trong việc bảo vệ mắt cá chân khỏi những chấn thương thường gặp.
Mắt cá chân có chức năng gì
Mắt cá chân có nhiều chức năng then chốt, bao gồm:
- Giúp di chuyển linh hoạt: Khớp này cho phép bàn chân gập xuống, duỗi lên, xoay trong và xoay ngoài, tạo ra sự uyển chuyển khi bước đi.
- Chịu tải trọng cơ thể: Đây là một trong những điểm chính gánh vác trọng lượng, đặc biệt khi bạn chạy hoặc mang vác nặng.
- Giữ thăng bằng: Nhờ mắt cá chân, cơ thể có thể đứng vững trên cả bề mặt phẳng lẫn địa hình gồ ghề.
- Giảm chấn động: Khi tiếp xúc với mặt đất, khớp giúp phân tán và hấp thụ lực, giảm nguy cơ tổn thương cho đầu gối và hông.
Để khớp mắt cá chân duy trì chức năng tốt, bạn nên rèn luyện thể lực thường xuyên và giữ cho cân nặng trong mức hợp lý.
Những bất thường có thể xảy ra tại mắt cá chân
Do thường xuyên chịu áp lực và hoạt động liên tục, mắt cá chân dễ gặp phải các vấn đề như:
- Bong gân: Dây chằng bị kéo căng hoặc rách, thường do xoay hoặc lật cổ chân quá mức. Biểu hiện: sưng, đau, bầm tím và hạn chế vận động.
- Gãy xương: Xảy ra khi có va đập mạnh hoặc tai nạn, gây đau dữ dội, sưng to và biến dạng khớp.
- Viêm khớp: Tình trạng bào mòn sụn dẫn đến đau mạn tính, cứng khớp và giảm khả năng vận động.
- Viêm gân: Thường do hoạt động quá mức hoặc chấn thương lặp lại, gây đau vùng gót hoặc dọc theo mắt cá.
- Nhiễm trùng khớp: Ít gặp nhưng nguy hiểm, gây sưng nóng đỏ và có thể kèm sốt.

Các bất thường này nếu không được phát hiện và xử lý kịp thời có thể dẫn đến biến chứng, làm giảm đáng kể khả năng vận động.
Khi gặp chấn thương hoặc bất thường tại mắt cá chân, hãy thăm khám để có chẩn đoán chính xác và điều trị kịp thời.
Điều trị những bệnh lý tại mắt cá
Cách điều trị phụ thuộc vào nguyên nhân và mức độ:
- Chăm sóc ban đầu: Nghỉ ngơi, chườm lạnh, băng ép và kê cao chân để giảm đau và sưng.
- Thuốc giảm đau hoặc kháng viêm: Được sử dụng trong trường hợp triệu chứng gây khó chịu.
- Vật lý trị liệu: Các bài tập phục hồi chức năng giúp cải thiện sức mạnh cơ và độ linh hoạt của khớp.
- Nẹp hoặc băng cố định: Được áp dụng để giữ ổn định khớp trong quá trình hồi phục.
- Phẫu thuật: Được chỉ định khi có tổn thương nặng, chẳng hạn như gãy xương phức tạp hoặc thoái hóa khớp tiến triển.
Thời gian phục hồi có thể dao động từ vài tuần với bong gân nhẹ, cho đến vài tháng hoặc lâu hơn nếu chấn thương nặng. Một số trường hợp viêm khớp mạn tính có thể cần điều trị duy trì lâu dài.
Đừng tự ý dùng thuốc hay điều trị tại nhà nếu cơn đau kéo dài. Hãy tham khảo ý kiến y tế để lựa chọn phương pháp an toàn.
Biện pháp giúp bảo vệ khớp mắt cá chân
Để duy trì sự khỏe mạnh và giảm nguy cơ chấn thương, bạn nên:
- Khởi động trước khi tập luyện: Giúp các cơ và dây chằng dẻo dai hơn, hạn chế bong gân.
- Mang giày phù hợp: Chọn giày thể thao có độ ôm vừa vặn, hỗ trợ tốt cho cổ chân.
- Kiểm soát cân nặng: Giảm áp lực dồn xuống mắt cá chân.
- Tập các bài tăng cường cơ quanh khớp: Như đứng nhón gót, xoay cổ chân, bước ngang bằng dây kháng lực.
- Lắng nghe cơ thể: Khi có dấu hiệu đau hoặc sưng, nên nghỉ ngơi và điều chỉnh cường độ vận động.

Thói quen sinh hoạt hợp lý và rèn luyện khoa học chính là chìa khóa giúp bảo vệ khớp mắt cá chân lâu dài.
Mắt cá chân tuy nhỏ nhưng có vai trò quan trọng trong vận động và cân bằng cơ thể. Việc hiểu rõ cấu tạo, chức năng và những vấn đề thường gặp sẽ giúp bạn chủ động chăm sóc, phòng ngừa chấn thương và bảo vệ sức khỏe.
:format(webp)/470051785_8767135473405056_691967411107495592_n_6b2bbff755.png)
:format(webp)/467434554_545745841560409_1066418224364723785_n_560a494f9c.png)
/khop_co_chan_nhac_nhe_de_hieu_ky_va_bao_ve_dung_cach_1_b49819c810.png)
/trat_mat_ca_chan_cach_nhan_biet_xu_tri_va_phuc_hoi_dung_cach_1_fc0e7214a5.png)
/viem_khop_mat_ca_chan_nguyen_nhan_dau_hieu_va_huong_dieu_tri_1_75ff837c40.png)
/thuc_don_7_ngay_cho_nguoi_benh_gout_giup_kiem_soat_axit_uric_hieu_qua_1_89afdacafb.png)
/10_dau_hieu_benh_gout_thuong_gap_tuyet_doi_khong_the_chu_quan_5_aa0d835341.png)