Trong chu kỳ sinh sản của phụ nữ, quá trình phát triển và rụng trứng đóng vai trò quan trọng đối với khả năng thụ thai. Siêu âm theo dõi nang trứng là phương pháp phổ biến giúp bác sĩ đánh giá hoạt động của buồng trứng và xác định thời điểm trứng chuẩn bị rụng. Khi hiểu rõ đặc điểm của hình ảnh nang trứng trong giai đoạn trưởng thành, phụ nữ có thể chủ động hơn trong việc theo dõi sức khỏe sinh sản và lập kế hoạch mang thai.
Hình ảnh siêu âm trứng sắp rụng là gì? Dấu hiệu nhận biết trên siêu âm
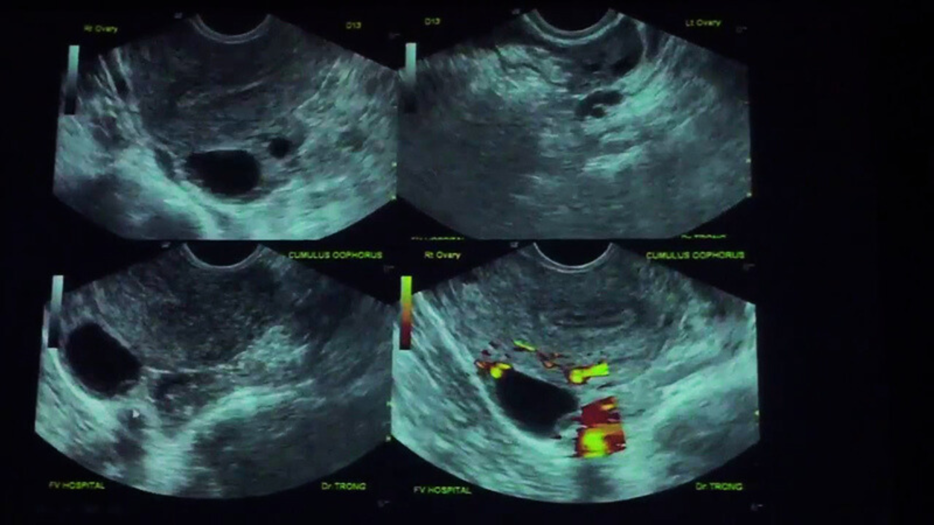
Hình ảnh siêu âm trứng sắp rụng là hình ảnh nang trứng trưởng thành được quan sát qua siêu âm khi trứng đã phát triển gần đến giai đoạn rụng trong chu kỳ kinh nguyệt. Nang trứng là cấu trúc nhỏ nằm trong buồng trứng và chứa trứng bên trong. Trong mỗi chu kỳ, một hoặc vài nang trứng sẽ phát triển, nhưng thường chỉ có một nang trội trưởng thành và giải phóng trứng.

Khi nang trứng đạt đến giai đoạn phát triển cuối cùng, cấu trúc này sẽ căng lên và chuẩn bị vỡ để trứng được phóng thích ra ngoài. Đây là thời điểm quan trọng trong chu kỳ sinh sản vì nó liên quan trực tiếp đến khả năng thụ thai.
Đặc điểm của nang trứng trưởng thành trên siêu âm
Trên hình ảnh siêu âm, nang trứng thường xuất hiện dưới dạng một vùng tròn hoặc bầu dục chứa dịch. Khi nang trứng trưởng thành, kích thước của nó sẽ lớn hơn so với các nang trứng khác trong buồng trứng. Thành nang thường mỏng và căng, cho thấy trứng bên trong đã phát triển gần hoàn chỉnh. Những đặc điểm này giúp bác sĩ nhận biết giai đoạn mà trứng đang chuẩn bị rụng.
Những thay đổi của buồng trứng trước khi trứng rụng
Trước khi trứng rụng, buồng trứng thường xuất hiện một nang trội phát triển nhanh hơn các nang còn lại. Nang trội này là nang chứa trứng có khả năng rụng trong chu kỳ.
Bên cạnh đó, niêm mạc tử cung cũng có sự thay đổi để chuẩn bị cho khả năng trứng được thụ tinh và làm tổ. Lớp niêm mạc có thể trở nên dày và giàu mạch máu hơn nhằm hỗ trợ quá trình mang thai nếu thụ tinh xảy ra.
Ý nghĩa của việc nhận biết trứng sắp rụng
Việc nhận biết hình ảnh siêu âm trứng sắp rụng giúp xác định giai đoạn thuận lợi nhất cho việc thụ thai. Khi trứng chuẩn bị rụng, khả năng thụ tinh thường cao hơn so với các thời điểm khác trong chu kỳ. Thông tin này giúp các cặp vợ chồng đang mong muốn có con lựa chọn thời điểm phù hợp để quan hệ, từ đó tăng cơ hội mang thai tự nhiên.

Vì sao cần theo dõi hình ảnh siêu âm trứng sắp rụng trong chăm sóc sức khỏe sinh sản?
Nguyên nhân siêu âm canh trứng lại đóng vai trò then chốt trong việc theo dõi sức khỏe sinh sản và tối ưu hóa cơ hội thụ thai thành công:
Hỗ trợ xác định thời điểm dễ thụ thai
Trong chu kỳ kinh nguyệt, trứng chỉ rụng trong một khoảng thời gian nhất định. Việc theo dõi sự phát triển của nang trứng qua siêu âm giúp bác sĩ dự đoán thời điểm trứng chuẩn bị rụng. Khi biết được thời điểm này, các cặp vợ chồng có thể chủ động hơn trong việc lên kế hoạch mang thai.
Đánh giá hoạt động của buồng trứng
Siêu âm theo dõi nang trứng là phương pháp giúp bác sĩ đánh giá khả năng hoạt động của buồng trứng. Thông qua việc quan sát sự phát triển của nang trứng trong từng chu kỳ, bác sĩ có thể nhận biết buồng trứng có hoạt động bình thường hay không. Trong một số trường hợp, việc theo dõi này giúp phát hiện các vấn đề như rối loạn rụng trứng hoặc sự phát triển bất thường của nang trứng.
Hỗ trợ điều trị hiếm muộn
Đối với những cặp vợ chồng gặp khó khăn trong việc mang thai, theo dõi hình ảnh siêu âm trứng sắp rụng là bước quan trọng trong quá trình điều trị hiếm muộn. Thông qua việc theo dõi nang trứng, bác sĩ có thể đánh giá phản ứng của buồng trứng với các phương pháp điều trị và điều chỉnh kế hoạch phù hợp.
Theo dõi sự phát triển của niêm mạc tử cung
Ngoài việc quan sát nang trứng, siêu âm còn giúp đánh giá tình trạng niêm mạc tử cung. Niêm mạc tử cung cần đạt độ dày và cấu trúc phù hợp để hỗ trợ trứng đã thụ tinh làm tổ. Nhờ đó, bác sĩ có thể đánh giá toàn diện hơn về khả năng sinh sản của người phụ nữ.

Những lưu ý khi theo dõi hình ảnh siêu âm trứng sắp rụng
Những lưu ý quan trọng khi theo dõi hình ảnh siêu âm trứng sắp rụng để tăng cơ hội thụ thai thành công:
Thực hiện siêu âm đúng thời điểm của chu kỳ
Để quan sát rõ sự phát triển của nang trứng, siêu âm thường được thực hiện vào những ngày nhất định trong chu kỳ kinh nguyệt. Bác sĩ sẽ xác định thời điểm siêu âm dựa trên độ dài chu kỳ của từng người. Việc siêu âm đúng thời điểm giúp theo dõi chính xác quá trình phát triển của nang trứng và xác định giai đoạn trứng chuẩn bị rụng.
Kết hợp theo dõi với các dấu hiệu sinh lý khác
Ngoài siêu âm, cơ thể phụ nữ cũng có những dấu hiệu tự nhiên cho thấy thời điểm rụng trứng đang đến gần. Ví dụ như sự thay đổi của dịch cổ tử cung hoặc cảm giác căng tức nhẹ ở vùng bụng dưới. Khi kết hợp những dấu hiệu này với kết quả siêu âm, việc xác định thời điểm rụng trứng sẽ trở nên chính xác hơn.
Tuân thủ hướng dẫn của bác sĩ chuyên khoa
Việc theo dõi nang trứng cần được thực hiện tại cơ sở y tế và dưới sự hướng dẫn của bác sĩ. Điều này giúp đảm bảo kết quả siêu âm được đánh giá đúng và hạn chế những hiểu lầm về tình trạng sức khỏe sinh sản. Nếu có bất kỳ thắc mắc nào về kết quả siêu âm, người bệnh nên trao đổi trực tiếp với bác sĩ để được giải thích rõ ràng.

Duy trì lối sống lành mạnh
Lối sống có thể ảnh hưởng đến hoạt động của buồng trứng và chu kỳ rụng trứng. Việc duy trì chế độ dinh dưỡng cân bằng, ngủ đủ giấc và giảm căng thẳng có thể hỗ trợ sức khỏe sinh sản. Khi cơ thể khỏe mạnh, chu kỳ rụng trứng thường diễn ra ổn định hơn.
Theo dõi hình ảnh siêu âm trứng sắp rụng là phương pháp quan trọng giúp bác sĩ đánh giá sự phát triển của nang trứng và xác định thời điểm rụng trứng trong chu kỳ sinh sản. Việc nhận biết đúng những dấu hiệu này giúp phụ nữ hiểu rõ hơn về hoạt động của buồng trứng và khả năng sinh sản của mình.
Khi được thực hiện đúng cách và kết hợp với việc theo dõi các dấu hiệu sinh lý khác, siêu âm nang trứng có thể hỗ trợ hiệu quả cho những cặp vợ chồng đang mong muốn có con. Nếu có nhu cầu theo dõi rụng trứng hoặc gặp khó khăn trong việc mang thai, phụ nữ nên tham khảo ý kiến bác sĩ chuyên khoa để được tư vấn và chăm sóc phù hợp.
:format(webp)/470051785_8767135473405056_691967411107495592_n_6b2bbff755.png)
:format(webp)/467434554_545745841560409_1066418224364723785_n_560a494f9c.png)
/sieu_am_co_phat_hien_soi_than_khong_nhung_dieu_can_biet_1_2e61fdc0ef.png)
/tang_am_giam_am_trong_sieu_am_la_gi_hieu_dung_de_doc_ket_qua_khong_con_lo_lang_1_2b30a18772.png)
/buon_tieu_de_sieu_am_vi_sao_can_va_cach_thuc_hien_dung_1_822ebb7d4e.png)
/sieu_am_bung_tong_quat_o_dau_uy_tin_goi_y_lua_chon_phu_hop_va_luu_y_quan_trong_1_d22b068528.png)
/sieu_am_tong_quat_la_gi_loi_ich_va_nhung_dieu_can_biet_1_0ef66fb5a5.png)