Trong quá trình thăm khám sức khỏe sinh sản, chụp tử cung vòi trứng được xem là bước quan trọng để đánh giá khả năng sinh sản của nữ giới. Bên cạnh hiệu quả chẩn đoán, nhiều chị em thắc mắc liệu sau khi chụp có bị ra máu không và tình trạng này kéo dài bao lâu. Việc nắm rõ quy trình và những phản ứng có thể gặp sẽ giúp chị em yên tâm hơn khi thực hiện.
Chụp tử cung vòi trứng ra máu bao lâu?
Sau khi chụp tử cung vòi trứng (HSG), một số phụ nữ có thể bị chảy máu âm đạo nhẹ không liên quan đến kỳ kinh nguyệt. Tình trạng này thường chỉ kéo dài khoảng 1 - 2 ngày và sẽ tự hết. Tuy nhiên, nếu máu ra nhiều hoặc kéo dài bất thường, người bệnh cần thông báo ngay cho bác sĩ để được kiểm tra.

Thủ thuật chụp tử cung vòi trứng được đánh giá là khá an toàn. Biến chứng nghiêm trọng rất hiếm gặp, với tỷ lệ dưới 1%. Dù vậy, vẫn có một số rủi ro cần lưu ý để phát hiện sớm và xử trí kịp thời. Dưới đây là những rủi ro có thể gặp phải:
Nhiễm trùng vùng chậu
Nhiễm trùng là biến chứng đáng lo ngại nhất, thường xảy ra ở những người từng mắc bệnh lý vòi trứng như nhiễm Chlamydia. Trong trường hợp nặng, nhiễm trùng có thể gây tổn hại vòi trứng hoặc thậm chí phải cắt bỏ. Nếu người bệnh có biểu hiện sốt hoặc đau bụng tăng dần trong vòng 1 – 2 ngày sau thủ thuật, cần đi khám ngay.
Ngất xỉu trong hoặc sau thủ thuật
Một số ít trường hợp có thể cảm thấy choáng váng hoặc ngất xỉu ngay trong hoặc sau khi chụp tử cung vòi trứng. Đây thường là phản ứng tạm thời và không nguy hiểm nếu được theo dõi đúng cách.
Tiếp xúc với bức xạ
Lượng bức xạ từ chụp tử cung vòi trứng rất thấp, thậm chí còn thấp hơn so với chụp X-quang thận hoặc ruột. Hiện chưa có bằng chứng cho thấy mức phơi nhiễm này gây hại, ngay cả khi phụ nữ thụ thai sau đó trong cùng tháng. Tuy nhiên, thủ thuật không nên thực hiện nếu có nghi ngờ mang thai.
Dị ứng thuốc cản quang
Trong một số trường hợp hiếm gặp, bệnh nhân có thể bị dị ứng với thuốc cản quang chứa i-ốt. Những người có tiền sử dị ứng với i-ốt, hải sản hoặc thuốc cản quang tĩnh mạch nên thông báo cho bác sĩ trước khi làm thủ thuật. Nếu xuất hiện phát ban, ngứa hoặc sưng sau chụp tử cung vòi trứng, người bệnh cần liên hệ với bác sĩ để được xử trí kịp thời.
Tại sao cần chụp tử cung vòi trứng?
Chụp tử cung vòi trứng (HSG) là một thủ thuật hình ảnh học quan trọng trong đánh giá khả năng sinh sản của phụ nữ. Cụ thể:
Kiểm tra sự thông suốt của ống dẫn trứng
Một trong những mục đích chính của HSG là xác định xem ống dẫn trứng có bị tắc nghẽn hay không. Nếu ống dẫn trứng thông, tinh trùng có thể di chuyển đến gặp trứng và phôi sau khi thụ tinh có thể đi vào tử cung để phát triển thành thai nhi khỏe mạnh.

Ngược lại, tắc nghẽn ống dẫn trứng sẽ cản trở quá trình này và là một trong những nguyên nhân hàng đầu gây vô sinh ở nữ giới.
Đánh giá hiệu quả điều trị
Chụp tử cung vòi trứng còn được sử dụng để kiểm tra kết quả sau khi thực hiện thắt ống dẫn trứng, một phương pháp tránh thai vĩnh viễn. Thủ thuật này giúp bác sĩ xác định xem việc thắt có thành công hay không. Trong trường hợp bệnh nhân đã phẫu thuật đảo ngược ống dẫn trứng, HSG cũng cho thấy liệu ống dẫn trứng đã được tái thông hiệu quả hay chưa.
Phát hiện bất thường ở tử cung
Ngoài ống dẫn trứng, HSG có thể gợi ý những bất thường ở tử cung như u xơ tử cung hay hình dạng tử cung bất thường. Thông tin này giúp bác sĩ đưa ra kế hoạch kiểm tra bổ sung bằng siêu âm buồng tử cung hoặc soi tử cung.
Siêu âm buồng tử cung cho phép xác định rõ hơn kết quả HSG, còn soi tử cung không chỉ chẩn đoán mà còn có thể điều trị một số vấn đề ngay trong quá trình thực hiện.
Quy trình chụp tử cung vòi trứng hiện nay
Chụp tử cung vòi trứng là một thủ thuật nhanh gọn nhưng quan trọng trong đánh giá khả năng sinh sản. Người bệnh cần tuân thủ đúng hướng dẫn chuẩn bị của bác sĩ để thủ thuật diễn ra thuận lợi, an toàn.
Chuẩn bị trước thủ thuật
Trước khi chụp, bác sĩ có thể yêu cầu bệnh nhân uống thuốc giảm đau không kê đơn khoảng một giờ trước thủ thuật để hạn chế cảm giác khó chịu. Một số trường hợp cũng được khuyến nghị uống kháng sinh nhằm phòng ngừa nguy cơ nhiễm trùng.

Ngoài ra, bệnh nhân nên sắp xếp người thân đưa về sau khi thực hiện, bởi cảm giác chuột rút có thể khiến việc tự lái xe trở nên khó khăn.
Thời gian thực hiện thủ thuật
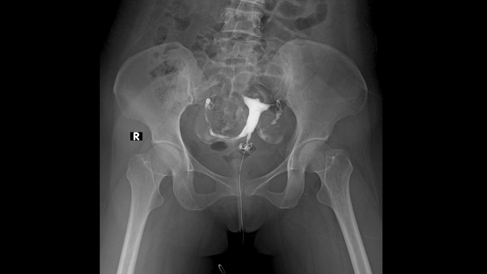
Quá trình chụp HSG diễn ra khá nhanh, thường chưa đầy năm phút và bệnh nhân có thể về nhà ngay trong ngày. Trong suốt thủ thuật, bác sĩ sẽ bơm dung dịch thuốc nhuộm vào tử cung và ống dẫn trứng, đồng thời chụp X-quang để ghi lại hình ảnh, từ đó đánh giá tình trạng của đường sinh sản.
Các bước thực hiện cụ thể
Quy trình thực hiện bao gồm:
- Tư thế và chuẩn bị: Bệnh nhân nằm trên bàn, đầu gối gập và chân mở rộng như khi khám phụ khoa. Máy X-quang huỳnh quang được đặt phía trên vùng chậu. Bác sĩ sẽ đưa mỏ vịt vào âm đạo để tiếp cận cổ tử cung, sau đó làm sạch và đặt ống thông mỏng vào tử cung. Một số loại ống thông có bóng nhỏ ở đầu để giữ cố định.
- Tiêm thuốc nhuộm: Sau khi tháo mỏ vịt, bệnh nhân duỗi thẳng chân và dung dịch nhuộm được bơm từ từ vào tử cung. Trong quá trình này, có thể cảm thấy đau quặn, đặc biệt nếu ống dẫn trứng bị tắc. Bác sĩ có thể thay đổi tư thế bệnh nhân để quan sát rõ hơn sự di chuyển của thuốc nhuộm.
- Ghi nhận kết quả: Nếu ống dẫn trứng thông, thuốc nhuộm sẽ tràn ra ngoài và lan đến khu vực gần ruột trước khi được cơ thể hấp thụ. Nếu ống dẫn trứng bị tắc, thuốc nhuộm sẽ ngưng lại bên trong. Sau khi chụp đủ hình ảnh, bác sĩ rút ống thông ra mà không cần dùng lại mỏ vịt.

Chụp tử cung vòi trứng là thủ thuật nhanh, an toàn, mang lại nhiều thông tin quan trọng về sức khỏe sinh sản. Nhờ sự chuẩn bị kỹ lưỡng và thực hiện đúng quy trình, kết quả chụp sẽ giúp bác sĩ đánh giá tình trạng tử cung vòi trứng, từ đó có hướng điều trị phù hợp cho người bệnh.
Bài viết đã trả lời câu hỏi: “Chụp tử cung vòi trứng ra máu bao lâu?”. Chụp tử cung vòi trứng là thủ thuật có giá trị trong chẩn đoán các bệnh lý sinh sản, đồng thời hiện tượng ra máu nhẹ sau khi chụp thường chỉ kéo dài trong thời gian ngắn, do đó không quá đáng lo. Việc chuẩn bị tâm lý tốt, tuân thủ hướng dẫn của bác sĩ và theo dõi cơ thể sau thủ thuật sẽ giúp quá trình chụp tử cung vòi trứng diễn ra an toàn, hiệu quả, giảm thiểu rủi ro.
Xem thêm:
:format(webp)/470051785_8767135473405056_691967411107495592_n_6b2bbff755.png)
:format(webp)/467434554_545745841560409_1066418224364723785_n_560a494f9c.png)
/cac_benh_ba_bau_tuan_thu_30_thuong_gap_va_cach_phong_tranh_hieu_qua_2_e11a129c51.jpg)
/cham_dut_benh_lao_co_kha_thi_cap_nhat_xet_nghiem_chan_doan_moi_nhat_tu_who_giup_phat_hien_som_0_15ef06d02e.png)
/nguyen_nhan_hoi_tho_co_mui_amoniac_la_gi_cach_khac_phuc_hieu_qua_2_2243c18c6f.jpg)
/phan_do_child_trong_xo_gan_la_gi_y_nghia_trong_danh_gia_muc_do_benh_2_bcd51f12db.png)
/x_quang_khop_khuyu_khi_nao_can_chup_phat_hien_gi_va_nhung_dieu_can_biet_1_5d75fb6a4d.png)