Tìm hiểu chung về bệnh dị dạng mạch máu não
Dị dạng mạch máu não là các bất thường về cấu trúc về sự kết nối của hệ mạch trong não, trong đó động mạch, mao mạch và tĩnh mạch không sắp xếp theo trật tự sinh lý bình thường. Phần lớn tình trạng này có nguồn gốc bẩm sinh, hình thành trong giai đoạn phát triển phôi thai do rối loạn quá trình tạo và biệt hóa mạch máu. Khi cấu trúc mạch bị bất thường, máu có thể chảy trực tiếp từ động mạch sang tĩnh mạch hoặc qua các mạch giãn, làm tăng áp lực dòng chảy và khiến thành mạch dễ vỡ.
Dị dạng mạch máu não là bệnh lý tương đối hiếm. Bệnh thường được phát hiện ở người trẻ, chủ yếu trong độ tuổi từ 20 đến 40, khi xuất hiện biến chứng như xuất huyết não, động kinh hoặc đau đầu kéo dài. Tuy nhiên, nhiều trường hợp có thể tồn tại âm thầm trong nhiều năm và chỉ được chẩn đoán tình cờ qua các phương tiện chẩn đoán hình ảnh. Không có sự khác biệt rõ rệt về tỷ lệ mắc giữa nam và nữ, mặc dù một số phân nhóm có thể gặp nhiều hơn ở một giới nhất định.
Phân loại dị dạng mạch máu não thường gặp:
- Dị dạng động - tĩnh mạch (Arteriovenous Malformation - AVM): Là nối trực tiếp giữa động mạch và tĩnh mạch không qua mao mạch, tạo thành ổ mạch bất thường. Thuộc nhóm dòng chảy cao, nguy cơ xuất huyết não và co giật cao.
- Dò động - tĩnh mạch màng não (Dural Arteriovenous Fistula - DAVF): Là thông nối bất thường giữa động mạch và tĩnh mạch ở màng não hoặc xoang tĩnh mạch. Cũng thuộc nhóm dòng chảy cao, có thể gây tăng áp tĩnh mạch và xuất huyết.
- Dị dạng tĩnh mạch phát triển (Developmental Venous Anomaly - DVA): Là tập hợp các tĩnh mạch nhỏ hội tụ vào một tĩnh mạch lớn. Không có shunt động - tĩnh mạch, thuộc nhóm dòng chảy thấp, thường lành tính và phát hiện tình cờ.
- Dị dạng hang (Cavernous Malformation/Cavernoma): Gồm các khoang mạch giãn chứa máu, thành mạch mỏng. Dòng chảy thấp, không có shunt rõ rệt, có thể gây xuất huyết nhỏ tái diễn.
- Giãn mao mạch (Capillary Telangiectasia): Là giãn khu trú các mao mạch trong nhu mô não, dòng chảy thấp, đa số không triệu chứng.
Triệu chứng bệnh dị dạng mạch máu não
Những dấu hiệu và triệu chứng của bệnh dị dạng mạch máu não
Dị dạng mạch máu não có thể tồn tại âm thầm trong nhiều năm và chỉ biểu hiện khi xảy ra rối loạn huyết động hoặc biến chứng. Các dấu hiệu và triệu chứng phụ thuộc vào loại dị dạng, vị trí tổn thương và việc có xuất huyết hay không. Dưới đây là các biểu hiện thường gặp trong thực hành lâm sàng:
- Xuất huyết não: Đây là biến chứng hay gặp ở dị dạng động - tĩnh mạch. Người bệnh có thể đột ngột đau đầu dữ dội, nôn ói, rối loạn ý thức, yếu liệt nửa người hoặc hôn mê.
- Động kinh: Co giật là triệu chứng phổ biến, đặc biệt ở người trẻ. Cơn động kinh có thể toàn thể hoặc khu trú tùy vị trí tổn thương, đôi khi là biểu hiện đầu tiên của bệnh.
- Đau đầu kéo dài hoặc tái diễn: Đau đầu mạn tính, không rõ nguyên nhân, có thể gặp ở bệnh nhân dị dạng mạch máu não chưa vỡ.
- Triệu chứng thần kinh khu trú: Bao gồm yếu liệt, rối loạn cảm giác, nói khó, nhìn mờ hoặc mất thị trường.

Biến chứng có thể gặp khi mắc bệnh dị dạng mạch máu não
Dị dạng mạch máu não có thể tiến triển âm thầm trong thời gian dài, nhưng khi xảy ra biến chứng, hậu quả thường nghiêm trọng do liên quan trực tiếp đến nhu mô não và hệ tuần hoàn não. Các biến chứng có thể gặp của bệnh lý dị dạng mạch máu não, bao gồm:
- Xuất huyết nội sọ: Đây là biến chứng nguy hiểm nhất, đặc biệt ở dị dạng động - tĩnh mạch. Thành mạch bất thường, mỏng và chịu áp lực cao dễ bị vỡ, gây xuất huyết nhu mô não, xuất huyết dưới nhện hoặc trong não thất. Tình trạng này có thể dẫn đến tăng áp lực nội sọ, tổn thương não cấp tính, hôn mê hoặc tử vong.
- Tổn thương thần kinh vĩnh viễn: Sau xuất huyết hoặc do chèn ép mạn tính, người bệnh có thể để lại di chứng như yếu liệt nửa người, rối loạn ngôn ngữ, giảm thị lực, suy giảm trí nhớ hoặc rối loạn vận động. Mức độ di chứng phụ thuộc vào vị trí và mức độ tổn thương não.
- Động kinh mạn tính: Các ổ dị dạng có thể kích thích vỏ não, làm xuất hiện các cơn co giật tái diễn. Nếu không kiểm soát tốt, động kinh có thể ảnh hưởng đáng kể đến chất lượng cuộc sống và chức năng thần kinh lâu dài.
- Tăng áp lực nội sọ và não úng thủy: Xuất huyết hoặc rối loạn lưu thông dịch não tủy có thể dẫn đến tăng áp lực nội sọ, đau đầu dữ dội, nôn ói, phù gai thị hoặc suy giảm ý thức.
- Thiếu máu mạn tính và rối loạn chức năng thần kinh.
Khi nào cần gặp bác sĩ?
Người bệnh cần đến gặp bác sĩ ngay khi xuất hiện các triệu chứng thần kinh đột ngột như đau đầu dữ dội, yếu liệt tay chân, nói khó, nhìn mờ, co giật hoặc rối loạn ý thức, vì đây có thể là dấu hiệu xuất huyết não do dị dạng mạch máu vỡ.
Ngoài ra, các trường hợp đau đầu kéo dài không rõ nguyên nhân hoặc phát hiện dị dạng tình cờ trên phim chụp não cũng nên được thăm khám chuyên khoa. Việc đánh giá sớm giúp xác định loại tổn thương, ước tính nguy cơ biến chứng và xây dựng kế hoạch theo dõi hoặc điều trị phù hợp.
Nguyên nhân gây bệnh dị dạng mạch máu não
Nguyên nhân gây dị dạng mạch máu não chủ yếu liên quan đến rối loạn phát triển hệ mạch trong giai đoạn bào thai. Trong quá trình hình thành mạch máu não, sự biệt hóa giữa động mạch, mao mạch và tĩnh mạch có thể diễn ra không hoàn chỉnh, dẫn đến cấu trúc mạch bất thường hoặc nối trực tiếp động - tĩnh mạch. Đây được xem là nguyên nhân chính gây bệnh thường gặp nhất.
Ngoài yếu tố bẩm sinh, một số trường hợp có liên quan đến yếu tố di truyền. Các đột biến gen ảnh hưởng đến quá trình tạo mạch và cấu trúc thành mạch có thể làm tăng nguy cơ hình thành dị dạng. Một số hội chứng di truyền hiếm gặp như bệnh giãn mạch xuất huyết di truyền cũng được ghi nhận có liên quan đến bất thường mạch máu não.
Trong số ít trường hợp, dị dạng mạch máu não có thể xuất hiện sau chấn thương đầu, viêm mạch, nhiễm trùng hoặc xạ trị vùng não, tuy nhiên đây không phải là nguyên nhân thường gặp. Nhìn chung, đa số bệnh nhân mắc dị dạng mạch máu não là do rối loạn phát triển mạch máu từ sớm, chứ không phải do lối sống hay thói quen sinh hoạt.

Nguy cơ gây bệnh dị dạng mạch máu não
Những ai có nguy cơ mắc bệnh dị dạng mạch máu não?
Dị dạng mạch máu não chủ yếu là bệnh lý bẩm sinh, vì vậy nguy cơ mắc bệnh không phụ thuộc nhiều vào lối sống mà liên quan đến yếu tố phát triển mạch máu từ sớm. Tuy nhiên, một số nhóm dưới đây được xem là có nguy cơ cao hơn:
- Người có bất thường mạch máu bẩm sinh.
- Người có yếu tố di truyền nếu trong gia đình có người mắc bệnh mạch máu não bất thường hoặc hội chứng liên quan như giãn mạch xuất huyết di truyền có thể làm tăng nguy cơ xuất hiện dị dạng mạch máu.
- Người trẻ tuổi, khoảng 20 - 40 tuổi.
- Người từng tổn thương não.
Yếu tố làm tăng nguy cơ mắc bệnh dị dạng mạch máu não
Dị dạng mạch máu phần lớn có nguồn gốc bẩm sinh, không phải bệnh do thói quen sinh hoạt gây ra, nhưng một số yếu tố có thể làm tăng nguy cơ xuất hiện hoặc phát hiện bệnh như sau các tổn thương hoặc bệnh lý mạch máu não trước đó:
- Chấn thương sọ não.
- Viêm mạch.
- Nhiễm trùng não.
- Xạ trị vùng não.
Phương pháp chẩn đoán và điều trị bệnh dị dạng mạch máu não
Phương pháp xét nghiệm và chẩn đoán bệnh dị dạng mạch máu não
Việc chẩn đoán dị dạng mạch máu não cần phối hợp giữa khám lâm sàng và các phương pháp cận lâm sàng. Khai thác triệu chứng như đau đầu dữ dội, co giật, yếu liệt hoặc rối loạn ý thức giúp bác sĩ định hướng nghi ngờ tổn thương mạch máu não.
Tuy nhiên, do bệnh liên quan đến cấu trúc mạch bên trong nhu mô não, các kỹ thuật chẩn đoán hình ảnh đóng vai trò quyết định trong xác định chính xác loại dị dạng và mức độ nguy cơ.
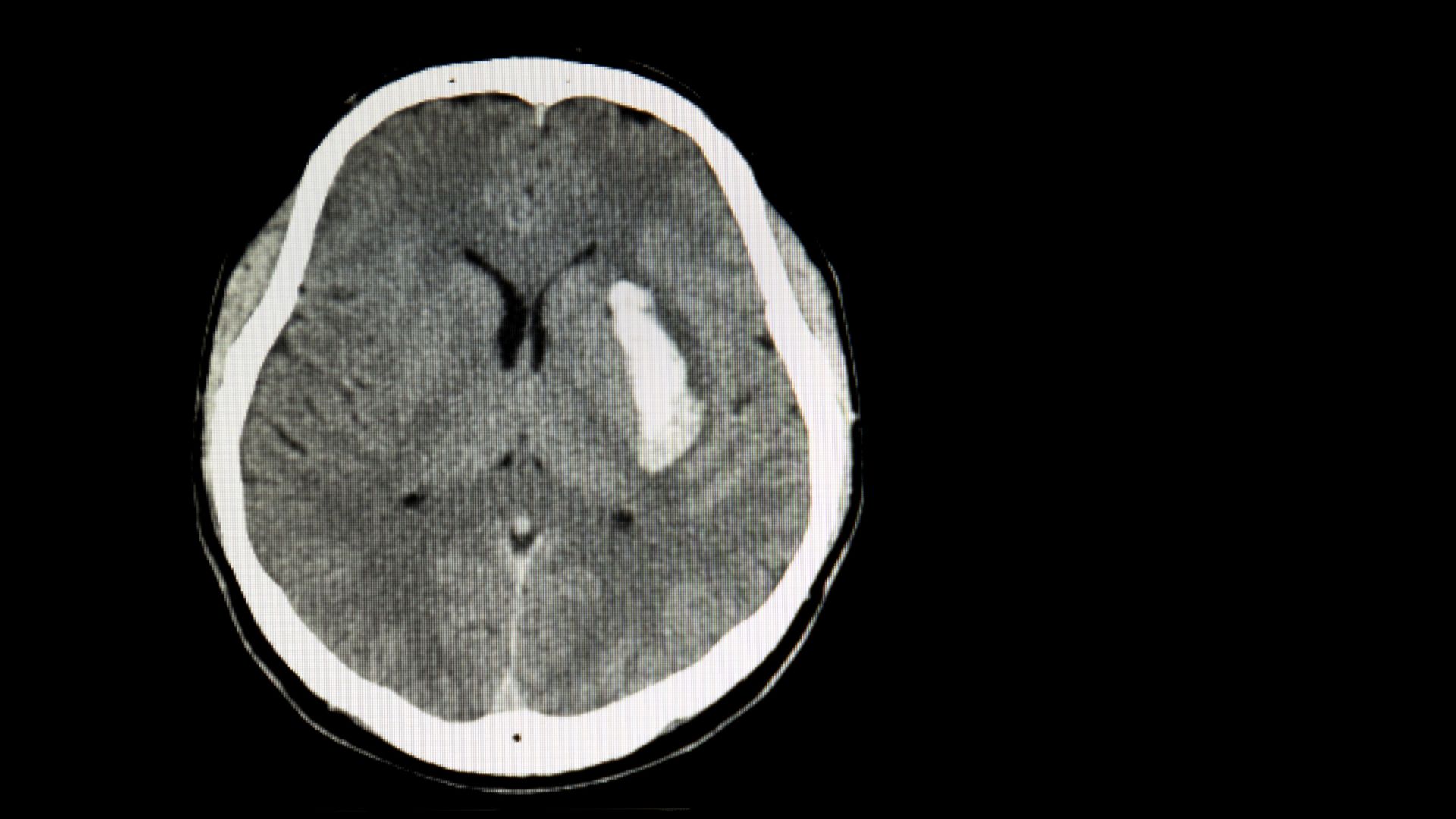
- CT não: Thường dùng trong cấp cứu để phát hiện xuất huyết nội sọ nhanh chóng.
- MRI não: Cho hình ảnh chi tiết về cấu trúc nhu mô và dị dạng mạch, đặc biệt hữu ích khi chưa có biến chứng vỡ.
- CTA hoặc MRA: Giúp đánh giá hệ mạch não bằng thuốc cản quang hoặc kỹ thuật cộng hưởng từ.
- DSA: Là tiêu chuẩn vàng trong đánh giá dị dạng động - tĩnh mạch, cung cấp thông tin chính xác về cấu trúc và dòng chảy để lập kế hoạch điều trị.

Phương pháp điều trị bệnh dị dạng mạch máu não
Điều trị dị dạng mạch máu não phụ thuộc vào loại dị dạng, kích thước, vị trí, nguy cơ xuất huyết và tình trạng sức khỏe của người bệnh. Mục tiêu chính là ngăn ngừa chảy máu não, kiểm soát triệu chứng và giảm nguy cơ di chứng thần kinh.
- Với các dị dạng không triệu chứng hoặc nguy cơ thấp, bác sĩ có thể chỉ định theo dõi định kỳ bằng MRI.
- Can thiệp nội mạch: Bác sĩ đưa ống thông qua động mạch đến vị trí dị dạng và bơm vật liệu chuyên biệt để làm tắc dòng chảy bất thường.
- Phẫu thuật cắt bỏ dị dạng: Được chỉ định khi tổn thương nằm ở vị trí có thể tiếp cận an toàn. Phẫu thuật giúp loại bỏ hoàn toàn ổ dị dạng, đặc biệt trong trường hợp đã xuất huyết.
- Xạ phẫu định vị: Sử dụng tia xạ tập trung để làm xơ hóa và bít dần dị dạng theo thời gian, thường áp dụng cho tổn thương nhỏ hoặc ở vị trí sâu, khó phẫu thuật.
Chế độ sinh hoạt và phòng ngừa bệnh dị dạng mạch máu não
Những thói quen sinh hoạt có thể giúp hạn chế diễn tiến bệnh dị dạng mạch máu não
Dị dạng mạch máu não chủ yếu là bất thường cấu trúc mạch bẩm sinh nên chế độ sinh hoạt và dinh dưỡng không thể làm biến mất tổn thương. Tuy nhiên, lối sống hợp lý có vai trò quan trọng trong giảm nguy cơ xuất huyết, ổn định huyết động và hạn chế biến chứng thần kinh.
Chế độ sinh hoạt
- Theo dõi và giữ huyết áp trong mức an toàn.
- Tránh hoạt động gắng sức đột ngột làm tăng áp lực nội sọ.
- Duy trì ngủ đủ 7 - 8 giờ mỗi đêm, hạn chế căng thẳng.
- Không sử dụng thuốc lá, hạn chế rượu bia và chất kích thích.
- Tuân thủ hướng dẫn điều trị và tái khám đúng hẹn.
Chế độ dinh dưỡng
- Giảm lượng muối trong khẩu phần ăn.
- Ưu tiên rau xanh, trái cây tươi và ngũ cốc nguyên cám.
- Hạn chế thực phẩm nhiều mỡ động vật và đồ chiên rán.
- Bổ sung cá biển, các nguồn chất béo không bão hòa có lợi cho tim mạch.
- Giữ cân nặng ổn định và cung cấp đủ nước cho cơ thể mỗi ngày.
Phương pháp phòng ngừa bệnh dị dạng mạch máu não
Dị dạng mạch máu não phần lớn có nguồn gốc bẩm sinh nên không thể phòng ngừa hoàn toàn theo nghĩa loại bỏ nguyên nhân. Tuy nhiên, việc chủ động kiểm soát các yếu tố nguy cơ và duy trì lối sống lành mạnh có ý nghĩa quan trọng trong giảm nguy cơ biến chứng, đặc biệt là xuất huyết não. Phòng ngừa đúng cách giúp ổn định huyết động, bảo vệ thành mạch và phát hiện sớm bất thường để xử trí kịp thời.
- Kiểm soát huyết áp ổn định, điều trị tăng huyết áp nếu có.
- Khám chuyên khoa khi xuất hiện đau đầu bất thường, co giật hoặc triệu chứng thần kinh.
- Không hút thuốc lá, hạn chế rượu bia và chất kích thích.
- Tránh hoạt động gắng sức quá mức hoặc làm tăng áp lực nội sọ đột ngột.
- Tuân thủ tái khám định kỳ nếu đã được chẩn đoán dị dạng mạch máu.
- Kiểm soát tốt các bệnh lý tim mạch và rối loạn đông máu đi kèm.

:format(webp)/470051785_8767135473405056_691967411107495592_n_6b2bbff755.png)
:format(webp)/467434554_545745841560409_1066418224364723785_n_560a494f9c.png)
:format(webp)/benh_a_z_di_dang_mach_mau_nao_541dd9d3dd.jpg)
/tang_sinh_mach_mau_la_gi_va_phuong_phap_dieu_tri_0_ff61fa86f0.png)
/benh_a_z_tac_mach_mau_nao_6508898027.jpg)
/phinh_mach_mau_nao_phuong_phap_dieu_tri_nhanh_chong_va_phong_ngua_hieu_qua_0132bbc8c6.jpg)
/benh_a_z_nhoi_mau_nao_b0c70edec5.jpg)
/khi_tinh_mach_cua_la_gi_nguyen_nhan_muc_do_nguy_hiem_va_huong_xu_tri_928a636c43.jpg)