Tìm hiểu chung về viêm tủy răng ở trẻ em
Viêm tủy răng là tình trạng viêm nhiễm xảy ra ở mô tủy nằm bên trong răng, nơi chứa các mạch máu và dây thần kinh có chức năng nuôi dưỡng và dẫn truyền cảm giác. Ở trẻ em, viêm tủy thường xảy ra ở răng sữa do sâu răng tiến triển hoặc chấn thương răng. Tủy răng bị viêm có thể hồi phục nếu được điều trị sớm, nhưng nếu để lâu sẽ dẫn đến hoại tử, gây đau dữ dội và ảnh hưởng đến cấu trúc răng vĩnh viễn sau này.
Răng sữa đóng vai trò quan trọng trong việc ăn nhai, phát âm và giữ chỗ cho răng vĩnh viễn. Vì vậy, việc chủ quan với bệnh lý tủy răng ở trẻ có thể gây hậu quả lâu dài, ảnh hưởng đến sức khỏe toàn thân và tâm lý của trẻ. Viêm tủy răng không chỉ gây đau mà còn làm trẻ mất ngủ, chán ăn, ảnh hưởng đến sự phát triển thể chất và tinh thần.
Triệu chứng viêm tủy răng ở trẻ em
Những dấu hiệu và triệu chứng của viêm tủy răng ở trẻ em
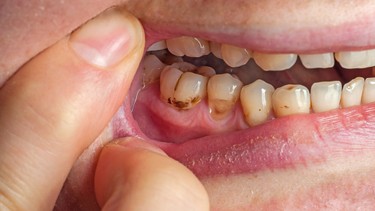
Triệu chứng có thể khác nhau tùy theo mức độ viêm và giai đoạn bệnh, từ viêm tủy có hồi phục đến viêm tủy không hồi phục hoặc hoại tử tủy. Dưới đây là các triệu chứng thường gặp:
- Trẻ kêu đau răng, đặc biệt khi ăn đồ nóng, lạnh hoặc ngọt;
- Đau răng tự phát, không rõ nguyên nhân, thường xuất hiện về đêm;
- Răng đổi màu nhẹ, sẫm hơn so với các răng bên cạnh;
- Hơi thở có mùi hôi, dù đã vệ sinh răng miệng;
- Sưng nướu quanh răng bị viêm, có thể kèm theo mủ;
- Trẻ biếng ăn, khó ngủ, hay quấy khóc do đau răng.
:format(webp)/viem_tuy_rang_o_tre_em_nguyen_nhan_gay_benh_va_phuong_phap_dieu_tri_phong_ngua_hieu_qua_1_9c53f5169b.jpg)
Biến chứng có thể gặp khi mắc bệnh viêm tủy răng ở trẻ em
Viêm tủy răng nếu không được phát hiện và điều trị kịp thời có thể dẫn đến nhiều biến chứng nghiêm trọng, ảnh hưởng đến sức khỏe răng miệng và toàn thân của trẻ. Dưới đây là các biến chứng thường gặp:
- Hoại tử tủy: Tủy răng bị chết, mất khả năng dẫn truyền cảm giác, gây đau âm ỉ kéo dài.
- Áp xe quanh chóp răng: Tụ mủ ở vùng quanh chân răng, gây sưng nề, đau nhức và có thể lan rộng ra vùng mặt.
- Viêm xương hàm: Nhiễm trùng lan từ răng sang xương hàm, gây đau dữ dội, sốt cao và khó há miệng.
- Ảnh hưởng đến răng vĩnh viễn: Răng vĩnh viễn mọc lên có thể bị thiểu sản men, đổi màu hoặc dị dạng do nhiễm trùng từ răng sữa.
Khi nào cần gặp bác sĩ?
Nếu không được xử trí kịp thời, bệnh viêm tủy răng ở trẻ em có thể gây đau kéo dài, ảnh hưởng đến chức năng ăn nhai, giấc ngủ và sự phát triển răng vĩnh viễn của trẻ. Phụ huynh nên đưa trẻ đến nha sĩ ngay khi có các dấu hiệu sau:
- Trẻ kêu đau răng liên tục, đặc biệt về đêm hoặc khi ăn uống;
- Răng đổi màu bất thường, sẫm hơn so với các răng khác;
- Nướu quanh răng bị sưng, đỏ, có thể xuất hiện mủ;
- Trẻ biếng ăn, mất ngủ, hay quấy khóc không rõ lý do;
- Hơi thở có mùi hôi dù đã vệ sinh răng miệng đầy đủ;
- Trẻ mệt mỏi, suy dinh dưỡng;
- Có tiền sử sâu răng kéo dài hoặc chấn thương răng trước đó.
:format(webp)/viem_tuy_rang_o_tre_em_nguyen_nhan_gay_benh_va_phuong_phap_dieu_tri_phong_ngua_hieu_qua_2_eedecd6268.jpg)
Nguyên nhân gây viêm tủy răng ở trẻ em
Viêm tủy răng ở trẻ em chủ yếu bắt nguồn từ các tổn thương răng kéo dài mà không được điều trị đúng cách. Tủy răng là mô sống nằm sâu bên trong răng, rất nhạy cảm với các tác nhân gây hại từ bên ngoài. Khi lớp men và ngà răng bị phá hủy, vi khuẩn dễ dàng xâm nhập vào tủy, gây viêm nhiễm và hoại tử.
Dưới đây là các nguyên nhân thường gặp:
- Sâu răng sữa tiến triển: Là nguyên nhân phổ biến nhất, do vi khuẩn trong mảng bám răng tiết acid phá hủy men và ngà răng.
- Chấn thương răng: Té ngã, va đập mạnh khiến răng bị nứt, gãy, tạo điều kiện cho vi khuẩn xâm nhập vào tủy.
- Mòn răng do thói quen xấu: Trẻ nghiến răng khi ngủ hoặc dùng răng cắn vật cứng làm mòn lớp bảo vệ bên ngoài.
- Điều trị nha khoa không triệt để: Sâu răng được trám nhưng không làm sạch hoàn toàn, dẫn đến viêm tủy tiềm ẩn.
:format(webp)/viem_tuy_rang_o_tre_em_nguyen_nhan_gay_benh_va_phuong_phap_dieu_tri_phong_ngua_hieu_qua_3_7262aa511b.jpg)
Nguy cơ mắc phải viêm tủy răng ở trẻ em
Những ai có nguy cơ mắc phải viêm tủy răng ở trẻ em?
Viêm tủy răng có thể xảy ra ở bất kỳ trẻ nào, nhưng một số nhóm trẻ có nguy cơ cao hơn do đặc điểm sinh lý, thói quen ăn uống và điều kiện chăm sóc răng miệng chưa đầy đủ. Dưới đây là các nhóm trẻ có nguy cơ cao:
- Trẻ từ 3 - 6 tuổi: Đây là giai đoạn răng sữa đã mọc đầy đủ, nhưng men răng còn mỏng, dễ bị sâu và tổn thương.
- Trẻ có tiền sử sâu răng nhiều: Sâu răng chưa được điều trị triệt để dễ tiến triển thành viêm tủy.
- Trẻ sống ở vùng nông thôn, vùng sâu vùng xa: Điều kiện chăm sóc răng miệng còn hạn chế, ít được khám nha khoa định kỳ.
- Trẻ có chế độ ăn nhiều đường, ít rau xanh: Làm tăng nguy cơ hình thành mảng bám và sâu răng.
:format(webp)/viem_tuy_rang_o_tre_em_nguyen_nhan_gay_benh_va_phuong_phap_dieu_tri_phong_ngua_hieu_qua_4_392ac6fe51.jpg)
Yếu tố làm tăng nguy cơ mắc phải viêm tủy răng ở trẻ em
Việc nhận diện các yếu tố nguy cơ của bệnh viêm tủy răng ở trẻ em giúp phụ huynh chủ động phòng tránh và bảo vệ sức khỏe răng miệng cho con ngay từ sớm. Dưới đây là các yếu tố làm tăng nguy cơ mắc bệnh:
- Chế độ ăn nhiều đường, ít rau xanh và thực phẩm giàu canxi: Làm giảm sức đề kháng của men răng, tăng nguy cơ sâu răng tiến triển.
- Vệ sinh răng miệng không đúng cách: Trẻ chải răng qua loa, không sử dụng kem đánh răng chứa fluoride, không súc miệng sau ăn.
- Không khám răng định kỳ: Bỏ qua các tổn thương nhỏ, để sâu răng tiến triển đến tủy.
- Thói quen xấu như nghiến răng, cắn vật cứng, thở miệng khi ngủ: Gây mòn răng và tổn thương lớp bảo vệ bên ngoài.
Phương pháp chẩn đoán và điều trị viêm tủy răng ở trẻ em
Phương pháp xét nghiệm và chẩn đoán viêm tủy răng ở trẻ em
Việc chẩn đoán chính xác viêm tủy răng ở trẻ em đòi hỏi sự phối hợp giữa khai thác triệu chứng, khám lâm sàng và các xét nghiệm hỗ trợ. Điều trị cần được thực hiện sớm để bảo tồn răng sữa, giảm đau và ngăn ngừa biến chứng ảnh hưởng đến răng vĩnh viễn. Dưới đây là các phương pháp chẩn đoán thường được sử dụng:
- Khám lâm sàng: Đánh giá mức độ đau, phản ứng với nhiệt độ, kiểm tra sưng nướu và màu sắc răng.
- Chụp X-quang quanh chóp: Giúp phát hiện tổn thương tủy, tiêu xương quanh chân răng hoặc áp xe.
- Kiểm tra độ sống của tủy: Dùng nhiệt hoặc điện để đánh giá phản ứng của tủy răng.
- Khai thác tiền sử bệnh: Ghi nhận các triệu chứng đau, thời gian xuất hiện và yếu tố khởi phát.
Điều trị viêm tủy răng ở trẻ em
Việc điều trị viêm tủy răng ở trẻ em cần được thực hiện sớm để bảo tồn răng sữa, giảm đau và ngăn ngừa biến chứng. Tùy theo mức độ tổn thương tủy, bác sĩ sẽ lựa chọn phương pháp phù hợp nhằm phục hồi chức năng răng và đảm bảo sự phát triển răng vĩnh viễn sau này. Dưới đây là các phương pháp điều trị thường được áp dụng:
- Đánh giá mức độ tổn thương tủy trước khi tiến hành điều trị.
- Làm sạch mô sâu và trám răng nếu tủy còn khả năng hồi phục.
- Đặt thuốc kháng khuẩn trong buồng tủy như Formocresol hoặc Ferric Sulfate.
- Nhổ răng nếu răng không còn khả năng phục hồi hoặc ảnh hưởng đến mầm răng vĩnh viễn;
- Sử dụng kháng sinh như Amoxicillin hoặc Metronidazol nếu có nhiễm trùng lan rộng;
- Hướng dẫn phụ huynh chăm sóc răng miệng tại nhà và tái khám đúng hẹn.
Chế độ sinh hoạt và phòng ngừa viêm tủy răng ở trẻ em
Những thói quen sinh hoạt có thể giúp bạn hạn chế diễn tiến của viêm tủy răng ở trẻ em
Chế độ sinh hoạt:
Việc duy trì chế độ sinh hoạt hợp lý và thực hiện các biện pháp phòng ngừa đóng vai trò quan trọng trong việc bảo vệ sức khỏe răng miệng cho trẻ. Vì viêm tủy răng không có vắc xin phòng ngừa, nên các phương pháp dự phòng chủ yếu tập trung vào vệ sinh cá nhân, dinh dưỡng và thói quen sinh hoạt lành mạnh. Dưới đây là những thói quen nên duy trì:
- Chải răng đúng cách ít nhất 2 lần mỗi ngày, sử dụng kem đánh răng chứa fluoride.
- Súc miệng sau khi ăn, đặc biệt sau khi dùng thực phẩm ngọt hoặc có tính acid.
- Hạn chế ăn vặt, đặc biệt là bánh kẹo, nước ngọt có gas.
:format(webp)/viem_tuy_rang_o_tre_em_nguyen_nhan_gay_benh_va_phuong_phap_dieu_tri_phong_ngua_hieu_qua_5_d94283be8b.jpg)
Chế độ dinh dưỡng:
Bên cạnh các thói quen sinh hoạt khoa học, chế độ ăn uống khoa học giúp người bệnh hạn chế tiến triển bệnh và ngăn ngừa biến chứng tiến triển, cụ thể:
- Tăng cường thực phẩm giàu canxi như sữa, phô mai, rau xanh;
- Bổ sung vitamin D từ ánh nắng sáng sớm hoặc thực phẩm chức năng theo chỉ định;
- Hạn chế đường tinh luyện, thực phẩm chế biến sẵn;
- Ưu tiên thực phẩm tươi, ít acid, dễ tiêu hóa.
Việc kết hợp giữa vệ sinh răng miệng đúng cách và chế độ dinh dưỡng hợp lý sẽ giúp trẻ có hàm răng khỏe mạnh, giảm nguy cơ sâu răng và viêm tủy.
Phương pháp phòng ngừa viêm tủy răng ở trẻ em
Việc chủ động chăm sóc răng miệng ngay từ giai đoạn đầu đời đóng vai trò quan trọng trong việc ngăn ngừa viêm tủy, hạn chế sâu răng tiến triển và bảo vệ cấu trúc tủy khỏi các tổn thương không hồi phục. Để đạt hiệu quả phòng ngừa tối ưu, cần áp dụng các biện pháp sau:
- Dạy trẻ kỹ thuật đánh răng đúng cách, ưu tiên sử dụng bàn chải lông mềm kết hợp với kem đánh răng có chứa fluoride để tăng cường khả năng tái khoáng men răng.
- Kiểm soát thói quen ăn vặt bằng cách giảm tần suất sử dụng bánh kẹo, nước ngọt có gas và các món ăn chứa đường tinh luyện.
- Đưa trẻ đi khám nha khoa định kỳ mỗi 3 đến 6 tháng để phát hiện sớm các dấu hiệu sâu răng và can thiệp kịp thời trước khi tổn thương lan vào buồng tủy.
:format(webp)/viem_tuy_rang_o_tre_em_nguyen_nhan_gay_benh_va_phuong_phap_dieu_tri_phong_ngua_hieu_qua_6_d25041ff5a.jpg)
Viêm tủy răng ở trẻ em là bệnh lý phổ biến nhưng hoàn toàn có thể phòng ngừa nếu được chăm sóc đúng cách. Việc phát hiện sớm, điều trị kịp thời và duy trì thói quen vệ sinh răng miệng sẽ giúp trẻ tránh được đau đớn và biến chứng nguy hiểm. Hãy đồng hành cùng con trong việc bảo vệ sức khỏe răng miệng ngay từ những năm đầu đời.
:format(webp)/470051785_8767135473405056_691967411107495592_n_6b2bbff755.png)
:format(webp)/467434554_545745841560409_1066418224364723785_n_560a494f9c.png)
:format(webp)/viem_tuy_rang_o_tre_em_ce10e82508.png)
:format(webp)/tuyet_doi_tranh_cac_thuc_pham_cung_hoac_dai_de_ngan_ngua_tinh_trang_xe_dich_tru_implant_hau_phau_1_eeb5c78aa3.png)
:format(webp)/nhung_tac_hai_cua_nieng_rang_thuong_gap_la_gi_1_7b815490c2.png)
:format(webp)/rang_vinh_vien_bi_lung_lay_thi_phai_lam_sao_1_d595de0d2b.png)
:format(webp)/quy_trinh_trong_rang_implant_dien_ra_nhu_the_nao_2_4f3b32f544.png)
:format(webp)/ho_chan_rang_0e279ad3f5.jpg)