Bệnh thủy đậu không phải là bệnh hiếm gặp, nhưng khi mắc phải ở người lớn, nó có thể gây ra những hậu quả nghiêm trọng hơn so với trẻ em. Hãy cùng tìm hiểu qua hình ảnh bệnh thủy đậu ở người lớn và các thông tin chi tiết về triệu chứng, biến chứng. Ngoài ra bài viết cũng bật mí cách chăm sóc người bệnh hiệu quả.
Bệnh thủy đậu nguy hiểm như thế nào?
Bệnh thủy đậu (Varicella) là bệnh do virus Varicella-zoster gây ra, thường gặp ở trẻ em nhưng người lớn cũng có thể mắc phải. Mặc dù là bệnh nhiễm trùng phổ biến, nhưng thủy đậu có thể gây ra nhiều biến chứng nghiêm trọng ở người lớn:
Các giai đoạn mắc bệnh
Bệnh thủy đậu ở người lớn trải qua ba giai đoạn chính. Mỗi giai đoạn có những biểu hiện và mức độ nghiêm trọng khác nhau. Ở giai đoạn đầu, người bệnh có thể chỉ thấy mệt mỏi, đau nhức cơ thể và sốt nhẹ. Tuy nhiên, khi bước vào giai đoạn tiếp theo, tình trạng phát ban, mụn nước và ngứa sẽ xuất hiện, làm tăng mức độ khó chịu.
Bệnh thủy đậu có thể kéo dài từ 7 đến 10 ngày, nhưng với người lớn, thời gian mắc bệnh có thể lâu hơn. Hình ảnh bệnh thủy đậu ở người lớn lúc này xuất hiện với các triệu chứng nghiêm trọng hơn, đặc biệt là khi không được điều trị kịp thời.

Biến chứng của bệnh thủy đậu
Biến chứng của bệnh thủy đậu ở người lớn có thể rất nguy hiểm, bao gồm:
- Viêm phổi thủy đậu: Đây là một trong những biến chứng nguy hiểm nhất của bệnh thủy đậu ở người lớn. Viêm phổi do thủy đậu có thể dẫn đến suy hô hấp và phải nhập viện.
- Viêm não: Virus Varicella-zoster có thể xâm nhập vào hệ thần kinh và gây viêm não, gây ra các triệu chứng nghiêm trọng như đau đầu, nôn mửa, và thay đổi ý thức.
- Nhiễm trùng thứ phát: Do vết thương hở trên da, bệnh nhân có thể bị nhiễm trùng vi khuẩn thứ phát, khiến tình trạng bệnh thêm trầm trọng.

Bên cạnh những biến chứng này, còn có một số biến chứng khác mà người bệnh thủy đậu ở người lớn có thể gặp phải:
- Hội chứng Ramsay Hunt: Biến chứng này xảy ra khi virus Varicella-zoster ảnh hưởng đến các dây thần kinh ở mặt, gây đau đớn dữ dội, mất cảm giác và có thể làm tê liệt mặt. Đây là biến chứng rất nghiêm trọng và cần được điều trị kịp thời để giảm thiểu tác động lâu dài.
- Nhiễm trùng máu (Sepsis): Trong một số trường hợp nghiêm trọng, các mụn nước vỡ có thể dẫn đến nhiễm trùng máu, gây ra tình trạng toàn thân rất nguy hiểm. Nhiễm trùng máu có thể đe dọa tính mạng nếu không được điều trị kịp thời.
Vì virus Varicella-zoster còn tồn tại trong cơ thể, có thể tái phát thành bệnh Zona thần kinh (Herpes zoster): Đây là một căn bệnh gây đau đớn do virus tấn công lại các dây thần kinh sau khi đã ngủ yên trong cơ thể sau lần mắc thủy đậu trước đó. Zona thường gây ra những vết mẩn đỏ và đau rát dữ dội. Các biến chứng trên cho thấy thủy đậu ở người lớn không phải là bệnh nhẹ và cần được điều trị cẩn thận để tránh những hậu quả nghiêm trọng.
Hình ảnh bệnh thủy đậu ở người lớn qua từng giai đoạn
Thủy đậu ở người lớn thường nặng hơn trẻ em, với triệu chứng kéo dài và có nguy cơ gặp biến chứng nghiêm trọng như viêm phổi, viêm não hoặc nhiễm trùng da. Cần được theo dõi và điều trị y tế sớm để tránh hậu quả nguy hiểm. Để nhận diện bệnh thủy đậu một cách chính xác, chúng ta có thể tham khảo hình ảnh qua các giai đoạn khác nhau. Mỗi giai đoạn có những biểu hiện và hình ảnh đặc trưng riêng:
Hình ảnh thủy đậu ở giai đoạn 1
Giai đoạn đầu của bệnh thủy đậu thường bắt đầu với các triệu chứng như sốt, mệt mỏi và đau đầu. Lúc này, bạn sẽ thấy những đốm đỏ nhỏ xuất hiện trên da. Những đốm này sẽ phát triển thành các mụn nước, có thể gây ngứa và khó chịu. Ở người lớn, các nốt này thường dày đặc và lan rộng hơn, thường xuất hiện trên mặt, cổ, và lưng. Hình ảnh bệnh thủy đậu ở giai đoạn này thường không quá rõ ràng, nhưng bạn có thể nhận ra được sự xuất hiện của những nốt mẩn đỏ nhỏ.

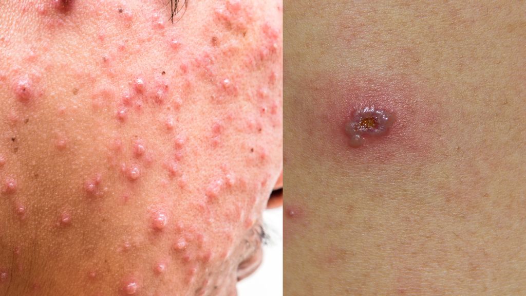
Hình ảnh thủy đậu ở giai đoạn 2
Giai đoạn tiếp theo là khi các mụn nước bắt đầu vỡ và tiết dịch. Đây là giai đoạn mà hình ảnh bệnh thủy đậu trở nên rõ ràng hơn với những mụn nước màu trong suốt hoặc đục, có thể vỡ ra và chảy dịch. Nốt mụn nước có thể gây đau rát và ngứa ngáy. Hình ảnh bệnh thủy đậu ở người lớn lúc này với các nốt mụn lớn hơn và có thể lan sang các khu vực khác trên cơ thể, bao gồm cả mặt và bộ phận sinh dục. Hình ảnh bệnh thủy đậu ở giai đoạn này sẽ cho thấy những mụn nước vỡ và tạo thành vết loét.

Hình ảnh thủy đậu ở giai đoạn 3
Đến giai đoạn cuối, mụn nước bắt đầu đóng vảy và khô lại. Vết loét bắt đầu lành và sẽ để lại những vết sẹo trên da. Hình ảnh thủy đậu ở giai đoạn này là các mảng da khô, có vảy, màu nâu hoặc vàng. Tuy nhiên, quá trình lành này có thể kéo dài hơn ở người lớn, và đôi khi các vết sẹo có thể tồn tại lâu dài. Các vết sẹo này thường sẽ mờ dần theo thời gian nhưng có thể để lại những vết thâm hoặc sẹo vĩnh viễn nếu không được chăm sóc đúng cách.

Chăm sóc người bệnh thủy đậu như thế nào?
Sau khi tìm hiểu hình ảnh bệnh thủy đậu ở người lớn qua các giai đoạn, hãy cùng quan tâm đến cách chăm người bệnh. Khi bị bệnh thủy đậu, việc chăm sóc đúng cách là rất quan trọng để giúp người bệnh cảm thấy thoải mái và giảm nguy cơ biến chứng. Dưới đây là một số lưu ý trong việc chăm sóc người bệnh thủy đậu:
Về vệ sinh và thoa thuốc
Vệ sinh là yếu tố quan trọng trong việc chăm sóc bệnh nhân thủy đậu. Người bệnh cần được giữ gìn sạch sẽ, đặc biệt là các vùng da bị tổn thương để tránh nhiễm trùng thứ phát. Dùng xà phòng nhẹ nhàng rửa sạch cơ thể và lau khô bằng khăn sạch. Nếu mụn nước bị vỡ, cần cẩn thận để không lây nhiễm.
Thoa thuốc lên các vùng bị mụn nước có thể giúp làm dịu cơn ngứa và giảm viêm. Thuốc bôi như calamine lotion hoặc các loại thuốc kháng viêm có thể giúp giảm triệu chứng ngứa ngáy và khó chịu.

Về dinh dưỡng
Dinh dưỡng là yếu tố quan trọng giúp người bệnh nhanh chóng phục hồi. Người bệnh thủy đậu cần ăn các món dễ tiêu, giàu vitamin C để tăng cường sức đề kháng. Các loại trái cây như cam, chanh, dâu tây và các món súp rau củ sẽ giúp cung cấp đủ chất dinh dưỡng cho cơ thể. Ngoài ra, cần uống nhiều nước để cơ thể không bị mất nước và hỗ trợ quá trình hồi phục.
Về sinh hoạt hằng ngày
Người bệnh thủy đậu nên được nghỉ ngơi hoàn toàn để cơ thể có thể phục hồi nhanh chóng. Tránh vận động mạnh, ra ngoài hoặc tiếp xúc với người khác để tránh lây nhiễm. Hạn chế tiếp xúc với những người chưa từng mắc thủy đậu, đặc biệt là phụ nữ mang thai, người có hệ miễn dịch yếu hoặc trẻ nhỏ. Ngoài ra, người bệnh cần tránh gãi các mụn nước vì điều này có thể làm tăng nguy cơ nhiễm trùng và để lại sẹo.
Sau tất cả, phòng bệnh luôn tốt hơn trị bệnh. Ngày nay vắc xin phòng thuỷ đậu đã giúp cho rất nhiều trẻ em, người lớn an toàn trước virus gây bệnh. Tại Trung tâm Tiêm chủng Long Châu đang sử dụng vắc xin Varilrix và vắc xin Varivax phòng thủy đậu đảm bảo an toàn tiêm chủng. Ngoài ra đội ngũ bác sĩ, nhân viên y tế, tư vấn viên tại trung tâm sẵn sàng giải đáp cho bạn mọi thắc mắc liên quan đến tiêm phòng. Để biết thêm thông tin về tình trạng vắc xin, quy trình tiêm chủng, bạn có thể truy cập website chính thức của Trung tâm Tiêm chủng Long Châu.
Bệnh thủy đậu ở người lớn có thể gặp nhiều khó khăn và nguy hiểm hơn so với trẻ em, nhưng nếu được chăm sóc đúng cách và điều trị kịp thời, bệnh nhân sẽ hồi phục một cách nhanh chóng. Việc nhận diện bệnh qua các hình ảnh bệnh thủy đậu ở người lớn từng giai đoạn sẽ giúp bạn dễ dàng nhận ra và chủ động điều trị. Hãy luôn chú ý vệ sinh và dinh dưỡng cho người bệnh để giúp họ mau chóng vượt qua giai đoạn khó khăn này.
Xem thêm:
:format(webp)/470051785_8767135473405056_691967411107495592_n_6b2bbff755.png)
:format(webp)/467434554_545745841560409_1066418224364723785_n_560a494f9c.png)
/top_thuoc_boi_thuy_dau_giup_giam_ngua_phong_boi_nhiem_va_han_che_seo_4_857ee25ebf.png)
/benh_a_z_phu_nao_0_ecbf2019e9.jpg)
/benh_a_z_viem_giac_mac_0_d135b54501.jpg)
/hormone_sinh_duc_la_gi_vai_tro_chuc_nang_va_nhung_xet_nghiem_quan_trong_can_biet_1_ee260090bc.png)
/nguyen_nhan_benh_roi_loan_chuyen_hoa_thuong_gap_can_luu_y_3_58f22fb29c.jpg)