Gãy xương sườn số 5 6 7 là chấn thương lồng ngực phức tạp, tiềm ẩn nguy cơ tổn thương phổi. Tìm hiểu ngay dấu hiệu, thời gian lành và cách chăm sóc để nhanh hồi phục.
Gãy xương sườn số 5 6 7 là gì? Có nguy hiểm không?
Gãy xương sườn là chấn thương thường gặp trong các vụ tai nạn giao thông, tai nạn lao động hoặc té ngã từ trên cao. Trong đó, tình trạng gãy xương sườn số 5 6 7 được đánh giá là khá phức tạp vì đây là các xương nằm ở vị trí trung tâm của lồng ngực, có nhiệm vụ bảo vệ các cơ quan nội tạng quan trọng như phổi và cơ hoành.
Khi gãy đồng thời cả ba xương 5, 6, 7, cấu trúc lồng ngực của người bệnh sẽ bị mất đi sự ổn định cần thiết. Mối nguy hiểm lớn nhất không chỉ nằm ở vết gãy xương mà còn là nguy cơ các đầu xương sắc nhọn đâm xuyên vào màng phổi, gây ra những biến chứng cấp tính đe dọa tính mạng.
Dấu hiệu nhận biết gãy xương sườn số 5 6 7
Người bệnh bị gãy xương sườn số 5 6 7 thường xuất hiện các triệu chứng điển hình ngay sau chấn thương:
- Đau nhói vùng ngực: Cơn đau tập trung ở mạn sườn, tăng lên dữ dội khi hít thở sâu, khi ho, hắt hơi hoặc khi xoay người.
- Khó thở: Do đau nên người bệnh thường thở nông và nhanh. Nếu gãy nhiều xương cùng lúc, bệnh nhân có thể cảm thấy hụt hơi rõ rệt.
- Biến dạng lồng ngực: Ở vị trí gãy có thể thấy sưng nề, bầm tím, hoặc cảm giác "lạo xạo" khi sờ vào (tiếng lạo xạo xương).
- Mảng sườn di động: Đây là dấu hiệu cực kỳ nguy hiểm khi các đoạn xương gãy khiến một phần lồng ngực chuyển động ngược chiều với nhịp thở.

Biến chứng tiềm ẩn khi gãy cùng lúc nhiều xương sườn
Tình trạng gãy xương sườn số 5 6 7 tiềm ẩn nhiều rủi ro hơn so với gãy xương đơn lẻ. Các biến chứng thường gặp bao gồm:
Tràn khí màng phổi
Đầu xương gãy có thể làm rách màng phổi, khiến không khí tràn vào khoang màng phổi gây xẹp phổi. Bệnh nhân sẽ bị khó thở cấp tính và cần được dẫn lưu ngay lập tức.
Tràn máu màng phổi
Các mạch máu liên sườn nằm ngay dưới xương số 5, 6, 7 có thể bị đứt do chấn thương, dẫn đến tích tụ máu trong lồng ngực, gây ép phổi và mất máu trong.
Viêm phổi và xẹp phổi
Do đau nên người bệnh không dám ho để đẩy đờm dãi ra ngoài. Sự tích tụ dịch tiết trong phổi dễ dẫn đến nhiễm trùng và viêm phổi cấp tính.
Chẩn đoán gãy xương sườn số 5 6 7 tại cơ sở y tế
Để xác định chính xác số lượng xương gãy và mức độ tổn thương nội tạng, bác sĩ sẽ chỉ định:
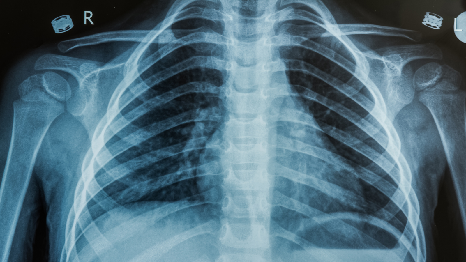
- Chụp X-quang ngực thẳng: Đây là phương pháp phổ biến nhất để xác định vị trí gãy xương sườn số 5 6 7 và kiểm tra tình trạng tràn khí/máu màng phổi.
- Chụp CT - scan lồng ngực: Giúp quan sát chi tiết các vết nứt nhỏ và đánh giá tổn thương ở phổi, mạch máu mà X-quang thường có thể bỏ sót.
- Siêu âm màng phổi: Hỗ trợ phát hiện nhanh tình trạng dịch trong khoang màng phổi ngay tại phòng cấp cứu.

Phương pháp điều trị gãy xương sườn số 5 6 7
Đa số các trường hợp gãy xương sườn số 5 6 7 đều được điều trị bảo tồn (không phẫu thuật) nếu không có biến chứng nặng.
Kiểm soát cơn đau
Đây là ưu tiên số một. Bác sĩ thường chỉ định thuốc giảm đau chống viêm (NSAIDs) hoặc phong bế thần kinh liên sườn để người bệnh có thể hít thở sâu, giúp phổi giãn nở tốt.
Vật lý trị liệu hô hấp
Người bệnh được hướng dẫn tập thở bằng bụng hoặc sử dụng dụng cụ tập thở để ngăn ngừa xẹp phổi. Việc vận động nhẹ nhàng tại giường cũng được khuyến khích sau khi cơn đau đã được kiểm soát.
Phẫu thuật cố định xương
Chỉ thực hiện khi có mảng sườn di động, xương gãy di lệch quá nhiều hoặc đầu xương đâm vào cơ quan nội tạng. Bác sĩ sẽ sử dụng các nẹp vít chuyên dụng để cố định lại các xương sườn số 5, 6 và 7.
Gãy xương sườn số 5 6 7 bao lâu thì lành?
Thời gian hồi phục cho tình trạng gãy xương sườn số 5 6 7 thường kéo dài hơn so với gãy 1 xương. Lộ trình cụ thể như sau:
- 2 - 4 tuần đầu: Cơn đau vẫn còn hiện hữu rõ rệt, can xương non bắt đầu hình thành.
- 6 - 8 tuần: Xương đã liền tương đối ổn định, người bệnh có thể đi lại và sinh hoạt nhẹ nhàng.
- 3 - 6 tháng: Xương sườn hồi phục hoàn toàn cấu trúc cứng cáp.
Tuy nhiên, thời gian này có thể thay đổi tùy thuộc vào độ tuổi và chế độ dinh dưỡng của bệnh nhân.
Cách chăm sóc tại nhà và phòng ngừa biến chứng
Khi được điều trị tại nhà, người bệnh gãy xương sườn số 5 6 7 cần tuân thủ các nguyên tắc sau:
- Tư thế ngủ: Nên nằm ngửa hoặc nằm nghiêng về phía không bị thương. Kê gối cao vừa phải để hỗ trợ hô hấp.
- Hỗ trợ khi ho: Khi cần ho hoặc hắt hơi, hãy ôm một chiếc gối mềm trước ngực để giảm rung chấn lên các xương 5, 6, 7.
- Không tự ý băng bó ngực: Việc quấn băng quá chặt làm hạn chế sự giãn nở của phổi, dễ gây viêm phổi cấp.
- Uống đủ nước: Giúp làm loãng đờm, dễ dàng tống ra ngoài khi tập thở.
Chế độ dinh dưỡng "vàng" giúp xương sườn nhanh liền
Dinh dưỡng là yếu tố then chốt giúp rút ngắn thời gian gãy xương sườn số 5 6 7 hồi phục và ngăn ngừa các biến chứng hậu phẫu. Một thực đơn khoa học không chỉ giúp can xương hình thành nhanh hơn mà còn hỗ trợ giảm viêm, giảm đau cho người bệnh.
Tăng cường canxi và vitamin D3
Canxi là thành phần cấu tạo chính của xương. Người bệnh nên bổ sung khoảng 1.000 - 1.200mg Canxi mỗi ngày thông qua các loại thực phẩm như sữa tách béo, sữa chua, phô mai và các loại rau có màu xanh đậm (cải xoăn, bông cải xanh).
Để Canxi không bị đào thải, bạn cần Vitamin D3 làm "chất dẫn" đưa Canxi vào xương. Việc tiếp xúc với ánh nắng mặt trời buổi sớm hoặc ăn các loại cá béo (cá hồi, cá mòi) sẽ giúp tối ưu quá trình này.
Protein và các acid amin thiết yếu
Protein đóng vai trò tạo ra mạng lưới collagen - "bộ khung" để canxi bám vào và lấp đầy vết gãy. Nhiều người bệnh lo lắng về việc kiêng khem và đặt câu hỏi cắt amidan có được ăn trứng không, hay gãy xương có nên ăn trứng không?
Thực tế, trứng là siêu thực phẩm dành cho người gãy xương nhờ chứa hàm lượng protein cao và kẽm giúp kích thích tái tạo mô. Bên cạnh đó, các loại thịt nạc, ức gà và các loại đậu cũng là nguồn đạm lành tính giúp phục hồi thể lực nhanh chóng.
Vitamin C và các khoáng chất chống oxy hóa
Vitamin C là chất xúc tác không thể thiếu để cơ thể sản sinh collagen tự nhiên. Việc bổ sung cam, bưởi, dâu tây hoặc ớt chuông vào bữa ăn hằng ngày giúp tăng cường sức bền cho các mao mạch vùng xương sườn bị tổn thương, từ đó giảm tình trạng bầm tím và sưng nề.
Ngoài ra, magie và phốt pho có trong các loại hạt (hạnh nhân, hạt điều) cũng góp phần làm tăng mật độ xương tại vị trí gãy.
Kiểm soát các chất gây cản trở liền xương
Bên cạnh việc bổ sung, người bệnh cần tuyệt đối tránh các tác nhân làm chậm quá trình lành thương:
- Thuốc lá: Nicotine làm co mạch máu, khiến lượng máu nuôi dưỡng vùng xương sườn số 5, 6, 7 bị sụt giảm nghiêm trọng, dẫn đến nguy cơ chậm liền xương hoặc khớp giả.
- Rượu bia: Chất cồn làm rối loạn quá trình trao đổi chất và ngăn cản cơ thể hấp thụ canxi.
- Thức ăn quá mặn: Lượng muối dư thừa sẽ kéo canxi ra khỏi xương và đào thải qua đường nước tiểu.

Việc kết hợp giữa dinh dưỡng đúng cách và các bài tập thở nhẹ nhàng sẽ giúp người bệnh sớm vượt qua giai đoạn đau đớn và trở lại với sinh hoạt bình thường.
Khi nào người bệnh cần gặp bác sĩ ngay?
Gãy nhiều xương sườn như các số 5, 6, 7 có thể gây ra những diễn biến đột ngột. Hãy đến bệnh viện ngay nếu thấy:
- Khó thở tăng dần, cảm giác nghẹt thở.
- Ho ra máu tươi hoặc đờm có lẫn máu.
- Sốt cao, ớn lạnh, đau ngực không giảm khi dùng thuốc.
- Vùng ngực bị bầm tím lan rộng hoặc sưng phồng bất thường.
Theo dõi sát sao và tái khám đúng lịch là cách tốt nhất để đảm bảo quá trình hồi phục diễn ra suôn sẻ.

Gãy xương sườn số 5 6 7 là một chấn thương cần sự kiên trì trong điều trị và chăm sóc. Bằng cách kiểm soát tốt cơn đau, tập thở đều đặn và bổ sung dinh dưỡng hợp lý, bạn hoàn toàn có thể phục hồi sức khỏe lồng ngực sau 2 tháng.
:format(webp)/470051785_8767135473405056_691967411107495592_n_6b2bbff755.png)
:format(webp)/467434554_545745841560409_1066418224364723785_n_560a494f9c.png)
/phuong_phap_chua_thoai_hoa_cot_song_hieu_qua_va_nhung_luu_y_quan_trong_can_biet_a439f9b261.jpg)
/cac_bai_tap_phuc_hoi_day_chang_cheo_truoc_huong_dan_an_toan_va_hieu_qua_2_52dafb350e.jpg)
/nguyen_nhan_tran_dich_khop_goi_nhung_yeu_to_pho_bien_can_biet_1_d668990b6f.jpg)
/giai_dap_chi_tiet_gai_got_chan_la_gi_va_cach_xoa_diu_con_dau_4_991cfb7922.png)
/viem_bao_hoat_dich_u_ngoi_la_gi_nguyen_nhan_va_cach_dieu_tri_796be190d1.jpg)