Chụp X-quang não giúp bác sĩ quan sát hình thái hộp sọ thông qua hình ảnh hai chiều thu được từ tia bức xạ liều thấp. Phương pháp này thường được áp dụng trong cấp cứu chấn thương hoặc theo dõi bệnh lý liên quan đến xương sọ. Việc hiểu rõ giá trị và giới hạn của kỹ thuật sẽ giúp người bệnh lựa chọn đúng chỉ định. Nội dung dưới đây sẽ trình bày cụ thể vai trò, quy trình và những lưu ý quan trọng khi thực hiện.
Chụp X-quang não là gì?
Chụp X-quang não là phương pháp chẩn đoán hình ảnh sử dụng tia X để ghi lại hình ảnh cấu trúc xương sọ. Hình ảnh có thể hiển thị trên phim truyền thống hoặc hệ thống kỹ thuật số, giúp bác sĩ đánh giá mật độ và hình dạng của xương.
Kỹ thuật này đặc biệt hữu ích trong việc phát hiện các tổn thương như nứt xương, gãy xương, gãy lún hoặc biến dạng hộp sọ sau va chạm mạnh. Nhờ hình ảnh thu được, bác sĩ có thể xác định vị trí tổn thương, mức độ ảnh hưởng và đưa ra hướng xử trí phù hợp.

Phương pháp chủ yếu khảo sát các thành phần xương, bao gồm vòm sọ, nền sọ và các đường khớp giữa các mảnh xương. Khi xảy ra chấn thương đầu, phim chụp có thể cho thấy đường gãy mảnh hoặc tổn thương lan rộng ở nhiều vị trí khác nhau. Đây là cơ sở quan trọng để đánh giá nguy cơ biến chứng và quyết định có cần thực hiện thêm các kỹ thuật hình ảnh chuyên sâu hay không.
Thông thường, chụp X-quang sọ não được thực hiện ở ít nhất hai tư thế để tăng độ chính xác:
Tư thế thẳng: Giúp quan sát tổng thể cấu trúc phía trước và phía sau của hộp sọ.
Tư thế nghiêng: Hỗ trợ phát hiện các đường gãy ở vùng thái dương, đỉnh đầu hoặc phía bên của sọ.
Việc kết hợp nhiều góc chụp giúp hạn chế bỏ sót các vết nứt nhỏ và nâng cao khả năng phát hiện tổn thương xương trong giai đoạn đầu.
Khi nào cần chụp X-quang não?
Chụp X-quang sọ não thường được chỉ định khi bác sĩ nghi ngờ có tổn thương xương sọ sau chấn thương vùng đầu. Những tình huống thường gặp gồm tai nạn giao thông, té ngã, va đập mạnh khi chơi thể thao hoặc tai nạn sinh hoạt.
Một số dấu hiệu lâm sàng có thể khiến bác sĩ cân nhắc thực hiện kỹ thuật này bao gồm:
Đau đầu xuất hiện tại một vị trí rõ ràng sau va chạm.
Sưng nề, bầm tím hoặc biến dạng bất thường ở vùng đầu.
Chảy máu tai, chảy máu mũi sau chấn thương.
Xuất hiện khối tụ máu dưới da đầu hoặc nghi ngờ có dị vật găm vào xương.
Trong những trường hợp này, phim X-quang giúp phát hiện gãy, nứt hoặc lún xương sọ, từ đó hỗ trợ quyết định hướng xử trí tiếp theo.
Ngoài chấn thương, phương pháp này đôi khi được sử dụng để đánh giá bất thường bẩm sinh liên quan đến hình dạng hộp sọ hoặc theo dõi tình trạng liền xương sau điều trị gãy xương trước đó.
Việc lựa chọn kỹ thuật hình ảnh phụ thuộc vào tình trạng cụ thể của người bệnh. Người dân không nên tự ý yêu cầu chụp khi chưa có chỉ định từ nhân viên y tế để tránh lãng phí và tiếp xúc bức xạ không cần thiết.

Quy trình thực hiện và mức độ an toàn
Chụp X-quang sọ não là kỹ thuật không xâm lấn, diễn ra nhanh và thường hoàn thành trong vài phút. Trước khi chụp, người bệnh sẽ được yêu cầu tháo trang sức, kính mắt, kẹp tóc hoặc các vật kim loại quanh vùng đầu và cổ để tránh ảnh hưởng đến chất lượng hình ảnh.
Quy trình thực hiện thường gồm các bước cơ bản sau:
Kỹ thuật viên hướng dẫn người bệnh vào đúng tư thế theo từng góc chụp.
Đầu được cố định trong vài giây để hạn chế cử động khi máy phát tia X.
Hình ảnh sau khi ghi nhận sẽ được kiểm tra kỹ thuật trước khi chuyển cho bác sĩ phân tích và đọc kết quả.
Trong chẩn đoán thông thường, liều tia X sử dụng ở mức thấp và được kiểm soát theo nguyên tắc an toàn bức xạ. Khi có chỉ định phù hợp, lợi ích từ việc phát hiện sớm tổn thương thường cao hơn nguy cơ tiềm ẩn do tiếp xúc với bức xạ liều thấp.
Tuy nhiên, phụ nữ đang mang thai hoặc nghi ngờ có thai cần thông báo trước với nhân viên y tế. Bác sĩ sẽ cân nhắc giữa lợi ích và nguy cơ trước khi chỉ định. Nếu việc chụp là cần thiết, các biện pháp che chắn bảo vệ sẽ được áp dụng để hạn chế ảnh hưởng đến thai nhi.
Người bệnh nên tuân thủ đúng hướng dẫn và giữ tư thế ổn định trong lúc chụp. Điều này giúp hình ảnh rõ nét ngay từ lần đầu, tránh phải chụp lại và giảm tổng lượng bức xạ tiếp xúc.

Hạn chế của Chụp X-quang não và khi nào cần phương pháp khác?
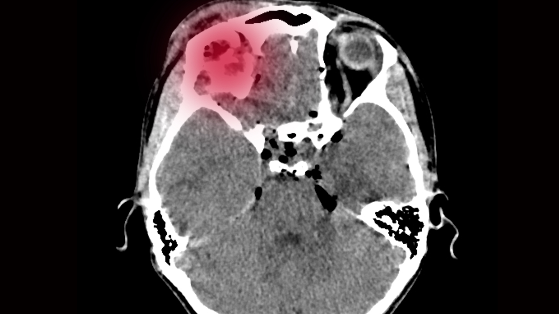
Chụp X-quang não có ưu điểm trong việc đánh giá cấu trúc xương sọ, nhưng không phải là phương pháp toàn diện để khảo sát não bộ. Kỹ thuật này không cho thấy được nhu mô não, mạch máu não hay các tổn thương bên trong hộp sọ.
Do đó, phim X-quang không phát hiện được các tình trạng như máu tụ nội sọ, phù não hoặc tổn thương vi thể của mô não. Điều này đồng nghĩa với việc một người vẫn có thể bị chấn thương sọ não dù hình ảnh X-quang không ghi nhận bất thường ở xương. Vì vậy, kết quả chụp luôn cần được đánh giá cùng với triệu chứng lâm sàng và thăm khám thực tế.

Bác sĩ thường cân nhắc phương pháp chẩn đoán khác trong các trường hợp như:
Nghi ngờ xuất huyết nội sọ hoặc tụ máu ngoài màng cứng.
Rối loạn ý thức kéo dài, lơ mơ hoặc tình trạng tri giác xấu đi sau chấn thương.
Xuất hiện dấu hiệu thần kinh khu trú như yếu liệt tay chân, nói khó hoặc co giật.
Trong những tình huống này, chụp CT sọ não thường được ưu tiên vì cho hình ảnh cắt lớp chi tiết, giúp phát hiện nhanh máu tụ và tổn thương nhu mô não trong giai đoạn cấp cứu. MRI có thể được chỉ định khi cần đánh giá kỹ hơn cấu trúc mô mềm, dây thần kinh hoặc các tổn thương mạn tính chưa rõ nguyên nhân.

Việc lựa chọn đúng kỹ thuật hình ảnh giúp tối ưu hiệu quả chẩn đoán, tránh thực hiện xét nghiệm không cần thiết và hạn chế tiếp xúc bức xạ. Người bệnh nên trao đổi với bác sĩ để hiểu rõ mục tiêu thăm khám trước khi quyết định thực hiện bất kỳ phương pháp nào.
Chụp X-quang não là phương pháp hình ảnh đơn giản, nhanh chóng và hữu ích trong đánh giá tổn thương xương sọ sau chấn thương. Kỹ thuật này an toàn khi được chỉ định đúng nhưng không thay thế được CT hoặc MRI trong khảo sát mô não. Khi có dấu hiệu bất thường vùng đầu, người bệnh nên thăm khám sớm để được hướng dẫn phù hợp. Hiểu rõ giá trị và giới hạn của chụp X-quang ở não sẽ giúp chủ động hơn trong chăm sóc và bảo vệ sức khỏe.
:format(webp)/470051785_8767135473405056_691967411107495592_n_6b2bbff755.png)
:format(webp)/467434554_545745841560409_1066418224364723785_n_560a494f9c.png)
/xquang_xuong_ban_chan_y_nghia_quy_trinh_thuc_hien_va_nhung_dieu_can_biet_0_ea57112549.jpg)
/khi_nao_can_chup_xquang_khop_vai_va_mot_so_luu_y_ban_can_biet_0_e998400494.jpg)
/chup_x_quang_lung_bao_nhieu_tien_nhung_luu_y_truoc_khi_chup_x_quang_0_43392bde8a.jpg)
/chup_x_quang_khop_goi_vai_tro_chan_doan_va_nhung_dieu_can_biet_1_a865077101.jpg)
/x_quang_xuong_cang_tay_chi_dinh_quy_trinh_va_luu_y_an_toan_1_e256cf24e3.jpg)