Bệnh lý này hình thành khi động mạch vành bị hẹp hoặc tắc nghẽn, làm giảm dòng máu đến cơ tim. Xác định chính xác mức độ tổn thương qua chẩn đoán sẽ quyết định hiệu quả điều trị và cải thiện tiên lượng sống.
Chẩn đoán thiếu máu cơ tim cục bộ gồm những gì?
Thiếu máu cơ tim cục bộ là tình trạng cơ tim không nhận đủ máu và oxy do mạch vành bị hẹp hoặc tắc. Việc chẩn đoán chính xác có ý nghĩa quan trọng để xác định mức độ tổn thương, định hướng điều trị và phòng ngừa biến chứng nguy hiểm. Các phương pháp thường được áp dụng bao gồm:
Điện tâm đồ (ECG): Ghi lại hoạt động điện của tim, phát hiện sóng bất thường, đặc biệt trong cơn đau ngực hoặc khi gắng sức.
Siêu âm tim: Đánh giá khả năng co bóp, lưu lượng máu, phát hiện vùng cơ tim bị suy giảm chức năng.
Xét nghiệm men tim (troponin, CK - MB): Xác định có tổn thương cơ tim cấp tính hay không.
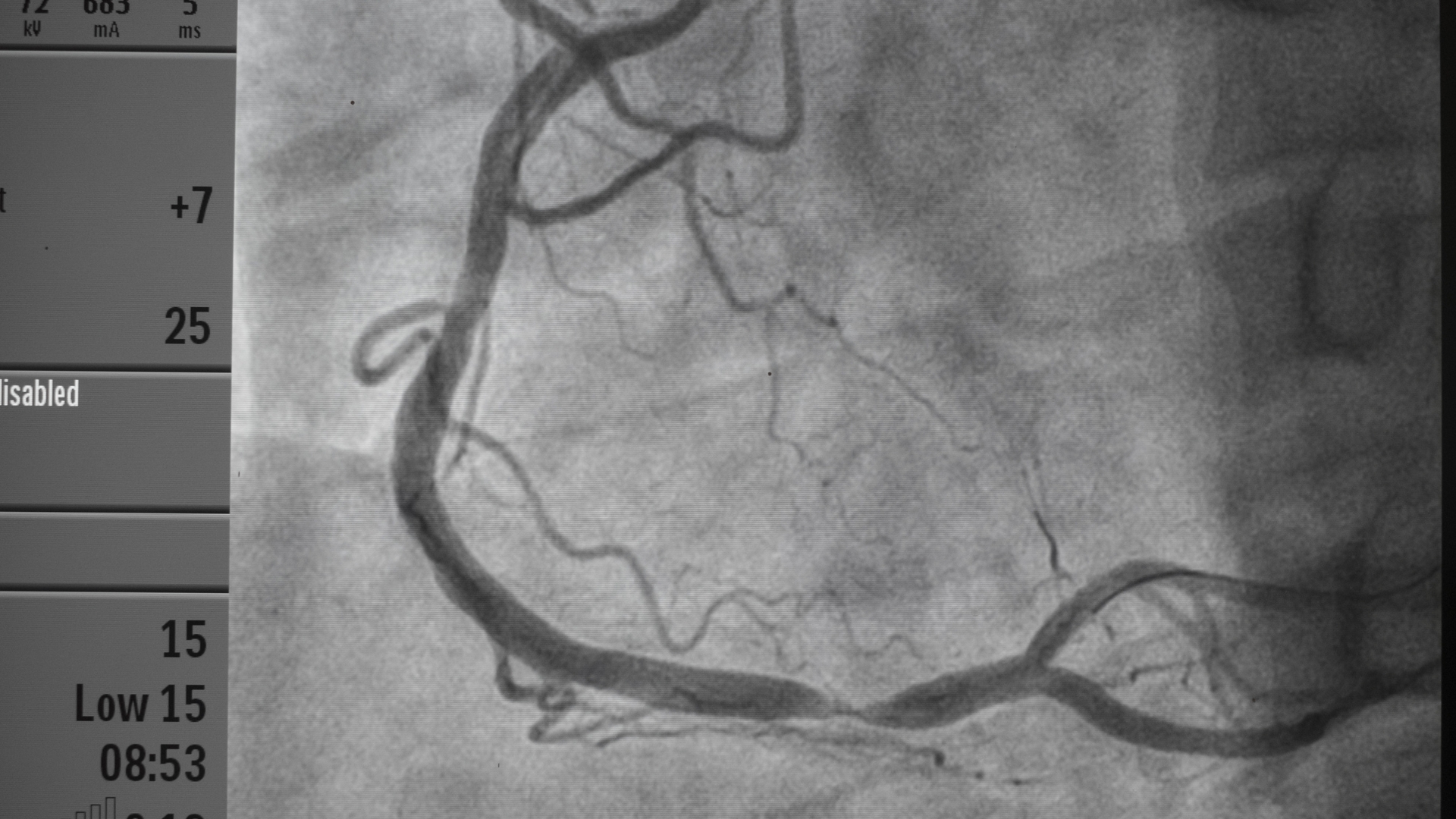
Chụp mạch vành (coronary angiography): Là tiêu chuẩn vàng để phát hiện vị trí, mức độ hẹp hoặc tắc nghẽn động mạch vành, từ đó quyết định can thiệp nong mạch hay phẫu thuật.
Những kỹ thuật này thường kết hợp để đảm bảo kết quả chính xác, giúp phát hiện sớm bệnh và cải thiện tiên lượng điều trị.

Nguyên nhân dẫn đến thiếu máu cơ tim cục bộ cần được chẩn đoán
Chẩn đoán không chỉ nhằm xác định tổn thương cơ tim mà còn giúp làm rõ nguyên nhân gốc rễ gây bệnh, từ đó bác sĩ có thể xây dựng phác đồ điều trị chính xác và hiệu quả hơn. Những nguyên nhân phổ biến và yếu tố nguy cơ thường gặp bao gồm:
Xơ vữa động mạch vành: Đây là nguyên nhân chủ yếu, xảy ra khi cholesterol, canxi và các chất béo tích tụ trong thành mạch, tạo thành mảng xơ vữa. Mảng này khiến lòng mạch hẹp dần, làm giảm lưu lượng máu đến cơ tim, nhất là khi gắng sức.
Hình thành huyết khối: Khi mảng xơ vữa bị nứt hoặc vỡ, các tiểu cầu bám dính và tạo cục máu đông. Huyết khối có thể gây tắc nghẽn hoàn toàn động mạch vành trong thời gian ngắn, dẫn đến nhồi máu cơ tim cấp.
Co thắt động mạch vành: Tình trạng co thắt bất thường của mạch vành, thường liên quan đến thói quen hút thuốc lá, lạm dụng rượu bia hoặc chất kích thích. Stress kéo dài cũng có thể kích hoạt cơ chế này, gây thiếu máu tạm thời nhưng nguy hiểm.
Yếu tố nguy cơ đi kèm: Những bệnh lý và thói quen không lành mạnh như tăng huyết áp, tiểu đường, rối loạn lipid máu, béo phì, hút thuốc, chế độ ăn nhiều chất béo bão hòa và ít vận động đều góp phần thúc đẩy bệnh tiến triển nhanh hơn.
Nhận diện đầy đủ nguyên nhân và yếu tố nguy cơ không chỉ có giá trị trong chẩn đoán mà còn là cơ sở quan trọng để bác sĩ đưa ra giải pháp điều trị đúng hướng, đồng thời giúp bệnh nhân thay đổi lối sống nhằm phòng ngừa biến chứng lâu dài.

Triệu chứng gợi ý cần tiến hành chẩn đoán thiếu máu cơ tim cục bộ
Các biểu hiện lâm sàng của thiếu máu cơ tim cục bộ có thể rất đa dạng, từ rõ ràng điển hình đến âm thầm khó phát hiện. Việc nhận diện sớm các triệu chứng là yếu tố quan trọng giúp người bệnh được chẩn đoán kịp thời, ngăn ngừa những biến chứng nặng nề. Những dấu hiệu thường gặp bao gồm:
Đau tức ngực: Đây là triệu chứng phổ biến nhất. Người bệnh thường cảm thấy cảm giác đè nặng, thắt chặt hoặc bỏng rát ở vùng sau xương ức. Cơn đau có thể kéo dài vài phút, xuất hiện khi gắng sức, leo cầu thang hoặc căng thẳng, và thường lan sang vai trái, cổ, hàm hoặc cánh tay.
Khó thở và mệt mỏi: Thiếu máu nuôi tim khiến cơ tim hoạt động kém hiệu quả, dẫn đến tình trạng khó thở ngay cả khi vận động nhẹ, thậm chí xuất hiện cả lúc nghỉ ngơi. Người bệnh thường cảm thấy suy nhược, giảm khả năng gắng sức.
Vã mồ hôi lạnh, buồn nôn hoặc chóng mặt: Đây là những dấu hiệu đi kèm thường gặp trong các cơn đau thắt ngực cấp. Người bệnh có thể đột ngột toát mồ hôi, kèm cảm giác choáng váng, buồn nôn, thậm chí nôn ói.
Trường hợp thầm lặng: Đáng lo ngại là nhiều bệnh nhân, đặc biệt là người mắc tiểu đường hoặc người cao tuổi, có thể không có triệu chứng điển hình. Thay vào đó, họ chỉ cảm thấy mệt mỏi kéo dài hoặc khó thở không rõ nguyên nhân, khiến việc phát hiện trở nên khó khăn và dễ bỏ sót.
Bất kỳ dấu hiệu bất thường nào liên quan đến tim mạch cũng không nên xem nhẹ. Khi xuất hiện các triệu chứng kể trên, người bệnh cần nhanh chóng được kiểm tra bằng các phương pháp cận lâm sàng. Can thiệp sớm sẽ giúp giảm đáng kể nguy cơ nhồi máu cơ tim, suy tim và tử vong đột ngột.

Biến chứng nguy hiểm nếu không chẩn đoán kịp thời
Việc chậm trễ chẩn đoán và điều trị sẽ làm bệnh tiến triển nặng, dẫn đến những hậu quả nghiêm trọng:
Nhồi máu cơ tim cấp: Hoại tử cơ tim do tắc nghẽn hoàn toàn, nguy cơ tử vong cao.
Rối loạn nhịp tim: Có thể gây ngừng tim đột ngột.
Suy tim mạn tính: Giảm khả năng bơm máu, ảnh hưởng chất lượng cuộc sống.
Đột tử do tim: Xảy ra bất ngờ, thường ở người không được phát hiện sớm.
Chẩn đoán sớm và chính xác giúp giảm nguy cơ biến chứng và nâng cao hiệu quả điều trị.

Phương pháp điều trị và phòng ngừa sau chẩn đoán thiếu máu cơ tim cục bộ
Khi đã được xác định bệnh, hướng điều trị sẽ phụ thuộc vào mức độ tổn thương, tình trạng sức khỏe chung và yếu tố nguy cơ đi kèm. Mục tiêu là khôi phục lưu lượng máu cho tim và phòng ngừa tái phát.
Điều trị y khoa
Bác sĩ thường chỉ định thuốc kết hợp với theo dõi định kỳ:
Thuốc giãn mạch (nitrat, chẹn kênh canxi, chẹn beta): Giúp cải thiện lưu lượng máu.
Thuốc chống kết tập tiểu cầu hoặc chống đông: Ngăn hình thành huyết khối.
Thuốc hạ huyết áp và hạ lipid máu: Kiểm soát yếu tố nguy cơ, giảm gánh nặng cho tim.
Can thiệp và phẫu thuật
Áp dụng khi điều trị nội khoa không đủ hiệu quả:
Nong mạch và đặt stent: Khôi phục dòng máu tại vị trí hẹp hoặc tắc.
Phẫu thuật bắc cầu động mạch vành (CABG): Tạo đường dẫn máu mới vượt qua đoạn mạch bị tắc.

Phòng ngừa lâu dài
Thay đổi lối sống là yếu tố quyết định trong kiểm soát bệnh:
Ăn uống lành mạnh, hạn chế mỡ bão hòa và cholesterol.
Bỏ thuốc lá, hạn chế rượu bia.
Tập thể dục đều đặn ít nhất 30 phút/ngày.
Kiểm soát tốt huyết áp, đường huyết và mỡ máu.
Khám sức khỏe định kỳ để theo dõi hiệu quả điều trị.
Chẩn đoán thiếu máu cơ tim cục bộ có vai trò quan trọng trong việc phòng ngừa biến chứng nặng nề. Việc chủ động thăm khám định kỳ, tuân thủ phác đồ điều trị và duy trì lối sống khoa học là những cách thiết thực giúp bảo vệ sức khỏe tim mạch, giữ trái tim khỏe mạnh và kéo dài tuổi thọ.