Bài viết này sẽ giúp bạn hiểu rõ vi khuẩn lậu là gì, các triệu chứng thường gặp, phương pháp xét nghiệm phát hiện chính xác và những con đường lây truyền phổ biến để chủ động phòng tránh và chăm sóc sức khỏe đúng cách.
Vi khuẩn lậu là gì?
Vi khuẩn lậu có tên khoa học là Neisseria gonorrhoeae, thuộc nhóm song cầu khuẩn. Loại vi khuẩn này là tác nhân trực tiếp gây ra bệnh lậu - một bệnh nhiễm trùng chủ yếu lây qua quan hệ tình dục không an toàn.
Loại vi khuẩn này thường sinh sôi tại các vị trí có niêm mạc ẩm như niệu đạo, cổ tử cung, âm đạo, hậu môn và họng. Trong một số trường hợp, vi khuẩn lậu còn có thể gây viêm mắt nếu tiếp xúc trực tiếp với dịch tiết chứa mầm bệnh.
Điểm nguy hiểm của vi khuẩn lậu là khả năng gây bệnh âm thầm. Nhiều người nhiễm vi khuẩn lậu nhưng không có biểu hiện rõ ràng, đặc biệt là nữ giới, khiến bệnh dễ bị bỏ qua và lây lan trong cộng đồng.
Vi khuẩn lậu là tác nhân nguy hiểm không chỉ vì khả năng lây truyền nhanh mà còn do diễn tiến kín đáo. Việc hiểu đúng bản chất của vi khuẩn lậu là bước đầu quan trọng giúp mỗi người nâng cao ý thức phòng ngừa và chủ động thăm khám khi có dấu hiệu nghi ngờ.

Triệu chứng nhiễm vi khuẩn lậu
Triệu chứng nhiễm vi khuẩn lậu không giống nhau ở mỗi người và có thể thay đổi tùy theo giới tính, vị trí nhiễm cũng như giai đoạn bệnh. Việc nhận biết sớm các biểu hiện bất thường giúp hạn chế biến chứng nguy hiểm.
Triệu chứng vi khuẩn lậu ở nam giới
Ở nam giới, triệu chứng thường xuất hiện sớm và rõ ràng hơn. Trước khi liệt kê, cần lưu ý rằng các dấu hiệu này có thể tăng dần nếu không được điều trị.
- Tiểu buốt, tiểu rát, nóng khi đi tiểu;
- Chảy dịch mủ màu trắng đục, vàng hoặc xanh ở đầu dương vật;
- Đau hoặc sưng tinh hoàn;
- Khó chịu dọc niệu đạo.

Triệu chứng vi khuẩn lậu ở nữ giới
Ở nữ giới, biểu hiện thường kín đáo và dễ nhầm với các bệnh phụ khoa khác. Nhiều trường hợp chỉ được phát hiện khi bệnh đã tiến triển.
- Khí hư ra nhiều, có mùi hôi hoặc màu bất thường;
- Tiểu buốt, tiểu rắt;
- Đau âm ỉ vùng bụng dưới;
- Chảy máu âm đạo bất thường, nhất là sau quan hệ.
Triệu chứng vi khuẩn lậu ở vị trí khác
Ngoài cơ quan sinh dục, vi khuẩn lậu còn có thể gây bệnh ở những vị trí khác nếu có tiếp xúc trực tiếp.
- Nhiễm họng: Đau họng kéo dài, rát họng;
- Nhiễm hậu môn: Ngứa, đau, chảy dịch;
- Nhiễm mắt: Đỏ mắt, chảy mủ, đau nhức.
Triệu chứng nhiễm vi khuẩn lậu rất đa dạng và không phải lúc nào cũng rõ ràng. Vì vậy, khi cơ thể xuất hiện các dấu hiệu bất thường, người bệnh không nên chủ quan mà cần thăm khám sớm để được chẩn đoán chính xác.
Các phương pháp xét nghiệm phát hiện vi khuẩn lậu
Phát hiện sớm vi khuẩn lậu giúp việc điều trị đơn giản hơn và hạn chế tối đa các biến chứng nguy hiểm. Hiện nay, bác sĩ có thể chẩn đoán bệnh lậu bằng nhiều phương pháp xét nghiệm khác nhau, phổ biến nhất gồm:
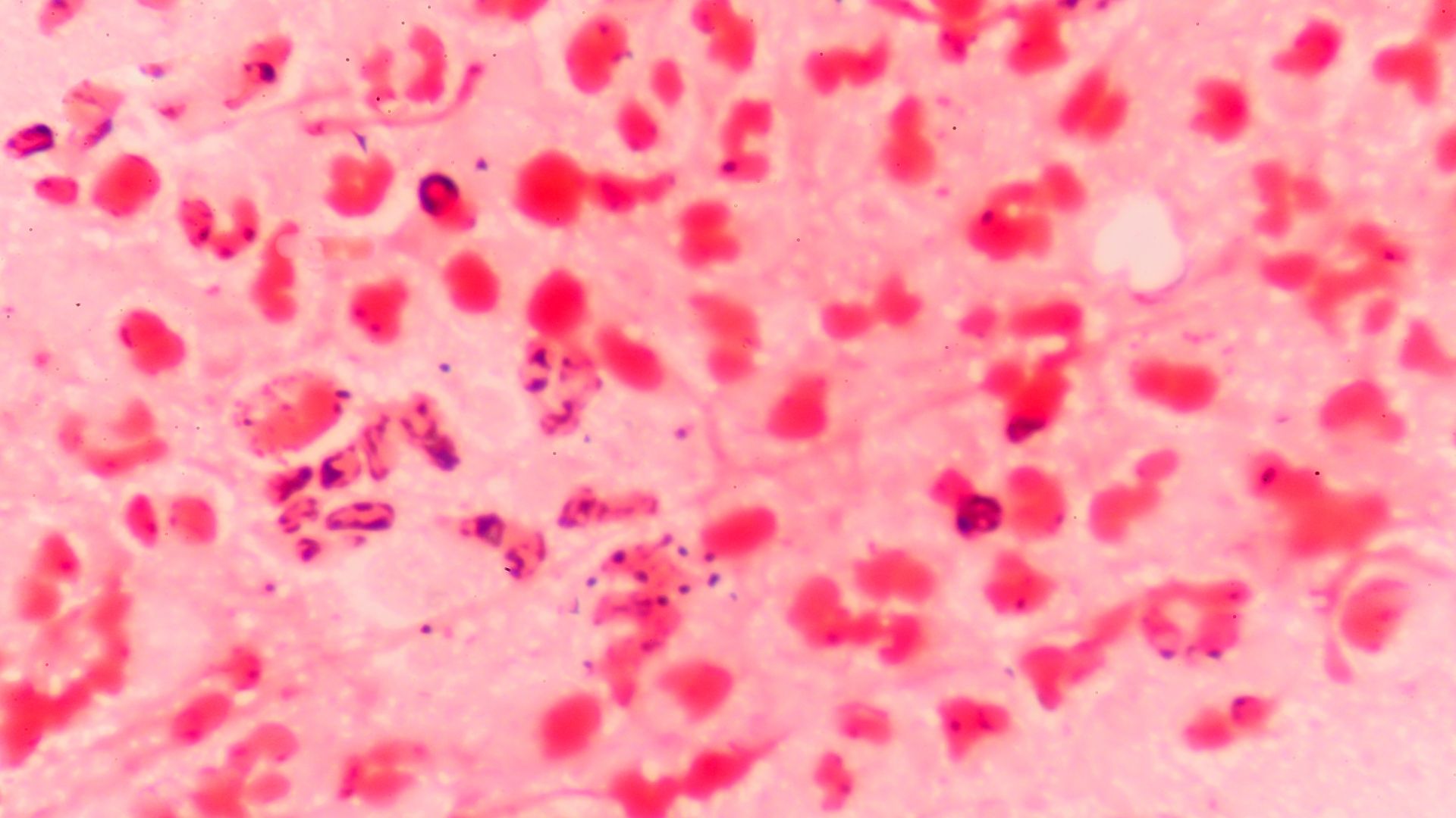
Nhuộm soi Gram
Đây là xét nghiệm cơ bản, thường được dùng khi người bệnh có triệu chứng rõ. Mẫu dịch sinh dục được nhuộm màu và soi dưới kính hiển vi để tìm vi khuẩn lậu. Vi khuẩn lậu thường có hình dạng giống hạt cà phê và đứng thành từng cặp. Phương pháp này cho kết quả khá chính xác ở nam giới, nhưng ở nữ giới độ tin cậy thấp hơn nên chỉ dùng để hỗ trợ chẩn đoán.
Nuôi cấy vi khuẩn
Mẫu bệnh phẩm sau khi lấy sẽ được đưa vào môi trường thích hợp để theo dõi sự phát triển của vi khuẩn lậu. Ưu điểm lớn nhất của phương pháp này là giúp xác định loại kháng sinh còn hiệu quả. Tuy nhiên, thời gian chờ kết quả khá lâu và kết quả phụ thuộc nhiều vào quá trình lấy, bảo quản mẫu.

Xét nghiệm PCR
Xét nghiệm PCR là phương pháp hiện đại, cho phép phát hiện vi khuẩn lậu ngay cả khi bệnh mới khởi phát. Chỉ cần mẫu nước tiểu hoặc dịch sinh dục, xét nghiệm có thể cho kết quả nhanh và độ chính xác rất cao. Đây hiện là phương pháp được ưu tiên trong chẩn đoán bệnh lậu.
Que thử lậu tại nhà
Một số bộ que thử lậu được bán trên thị trường có thể giúp sàng lọc ban đầu. Tuy nhiên, độ chính xác không cao và dễ cho kết quả sai. Vì vậy, để biết chắc chắn mình có mắc bệnh lậu hay không, người bệnh vẫn nên đến cơ sở y tế để làm xét nghiệm chuyên sâu.
Xét nghiệm đóng vai trò then chốt trong chẩn đoán vi khuẩn lậu. Việc lựa chọn phương pháp phù hợp giúp phát hiện bệnh sớm, điều trị kịp thời và hạn chế tối đa nguy cơ lây nhiễm cho người khác.
Vi khuẩn lậu lây truyền qua đường nào?
Vi khuẩn lậu không lây qua tiếp xúc thông thường như bắt tay hay ăn uống chung. Tuy nhiên, chúng có thể lây lan nhanh chóng qua một số con đường đặc thù.
Lây truyền qua quan hệ tình dục không an toàn
Đây là con đường lây nhiễm phổ biến nhất.
- Quan hệ âm đạo;
- Quan hệ hậu môn;
- Quan hệ bằng miệng.
Chỉ cần tiếp xúc trực tiếp với dịch tiết chứa vi khuẩn, nguy cơ lây nhiễm đã rất cao.
Lây truyền từ mẹ sang con
Trong quá trình sinh thường, trẻ sơ sinh có thể nhiễm vi khuẩn lậu từ mẹ, làm tăng nguy cơ viêm kết mạc mắt và có thể để lại hậu quả nghiêm trọng nếu không được phát hiện, xử trí kịp thời
Lây truyền gián tiếp qua đồ dùng cá nhân
Trong một số trường hợp hiếm gặp, vi khuẩn lậu có thể lây qua:
- Khăn tắm;
- Đồ lót;
- Dụng cụ tình dục không được vệ sinh sạch sẽ.
Hiểu rõ các con đường lây truyền của vi khuẩn lậu giúp mỗi người chủ động phòng tránh trong sinh hoạt hằng ngày. Quan hệ tình dục an toàn và giữ vệ sinh cá nhân đúng cách là những yếu tố quan trọng giúp giảm nguy cơ mắc bệnh.

Vi khuẩn lậu là tác nhân gây bệnh nguy hiểm nhưng hoàn toàn có thể kiểm soát nếu được phát hiện sớm. Việc trang bị kiến thức đúng về vi khuẩn lậu, triệu chứng, xét nghiệm và con đường lây truyền sẽ giúp mỗi người bảo vệ sức khỏe sinh sản cho bản thân và cộng đồng.
:format(webp)/470051785_8767135473405056_691967411107495592_n_6b2bbff755.png)
:format(webp)/467434554_545745841560409_1066418224364723785_n_560a494f9c.png)
/xet_nghiem_mau_phat_hien_lau_co_chinh_xac_khong_va_can_luu_y_gi_2_5e92f85218.png)
/benh_lau_co_tai_phat_lai_khong_1_b0256a69b3.png)
/chua_benh_lau_het_bao_nhieu_tien_thong_tin_chi_tiet_ban_can_biet_1_9c2ad94bb2.png)
/khoi_benh_lau_bao_lau_thi_quan_he_duoc_giai_dap_chuan_y_khoa_cho_nguoi_dang_dieu_tri_1_ee63b5e1cb.png)
/cum_mua_do_vi_khuan_hay_virus_giai_dap_day_du_va_de_hieu_3_292295a37a.jpg)