Việc vệ sinh răng miệng kém có thể gây ra nhiều vấn đề sức khỏe răng miệng, trong đó tụt lợi là một trong những bệnh lý phổ biến và nguy hiểm. Khi tình trạng này tiến triển nặng, nướu tụt làm lộ cổ răng, dẫn đến răng trở nên yếu và dễ tổn thương.
Tụt lợi là gì? Triệu chứng thường gặp tụt lợi
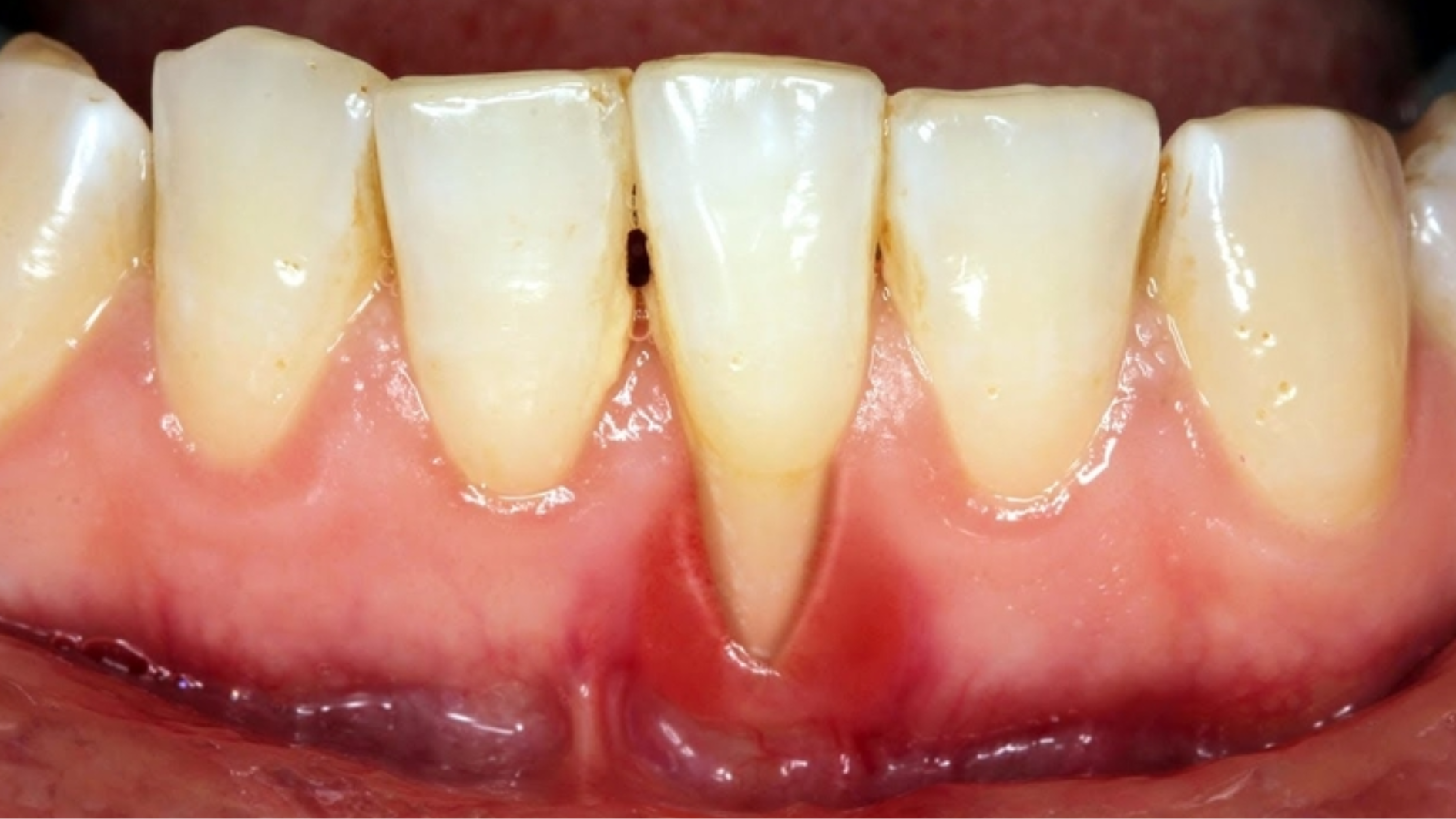
Tụt lợi (hay còn gọi là tụt nướu) là tình trạng phần mô nướu bao quanh răng bị co rút, khiến chân răng bị lộ ra nhiều hơn bình thường. Hiện tượng này có thể xảy ra ở một vài răng hoặc lan rộng khắp cả hàm trên và hàm dưới, gây ra cảm giác ê buốt, tăng nguy cơ sâu răng, viêm nha chu, và trong trường hợp nặng, thậm chí có thể dẫn đến mất răng vĩnh viễn.
Mặc dù khá phổ biến, nhiều người vẫn không để ý vì các triệu chứng tiến triển từ từ, khó nhận ra bằng mắt thường. Chỉ khi bạn khám răng định kỳ tại nha khoa, các vấn đề ở nướu mới được phát hiện kịp thời, giúp ngăn ngừa tình trạng chảy máu chân răng và tụt nướu nặng.
Một số dấu hiệu nhận biết tụt lợi bao gồm:
- Nướu co rút: Lợi dần tụt về phía chân răng, khiến răng trông dài hơn hoặc lộ rõ chân răng.
- Răng nhạy cảm: Răng có thể ê buốt, đau khi ăn đồ nóng, lạnh hoặc chua, kèm theo chảy máu khi chải răng và cảm giác răng yếu đi.
- Nguy cơ bệnh lý răng miệng: Nếu không được điều trị sớm, tụt lợi có thể gây viêm nướu, răng lung lay, tiêu xương ổ răng, thậm chí dẫn đến mất răng vĩnh viễn.
Việc nhận biết sớm các triệu chứng này là bước quan trọng để bảo vệ sức khỏe răng miệng và hạn chế biến chứng nghiêm trọng.

Tụt lợi có tự khỏi không?
Đây là câu hỏi mà nhiều người quan tâm khi gặp phải tình trạng này. Thực tế, tụt lợi không thể tự lành vì mô nướu không có khả năng tái tạo để che phủ lại phần chân răng đã bị lộ.
Trong trường hợp tụt lợi nhẹ, bạn chỉ cần duy trì vệ sinh răng miệng đúng cách và sử dụng thuốc kháng viêm, kháng sinh theo hướng dẫn của bác sĩ, nướu có thể hồi phục phần nào.
Tuy nhiên, nếu tình trạng tụt lợi nặng, phần chân răng bị lộ rõ, người bệnh nên đến nha khoa uy tín để được thăm khám và điều trị kịp thời nhằm ngăn ngừa biến chứng và khôi phục sức khỏe răng miệng.

Cách điều trị và phòng ngừa tụt lợi hiệu quả
Để cải thiện tình trạng tụt lợi, có thể áp dụng nhiều biện pháp khác nhau, từ việc thay đổi thói quen chăm sóc răng miệng đến can thiệp điều trị chuyên sâu tại nha khoa.
Điều chỉnh chế độ ăn uống
Trong chế độ ăn hàng ngày, nên hạn chế các loại đồ uống có tính axit cao như nước cam, nước chanh, nước ngọt có gas hay sữa chua, vì chúng có thể làm men răng mòn đi và tăng cảm giác ê buốt. Đồng thời, tránh các thực phẩm chứa nhiều đường, vì chúng tạo điều kiện cho vi khuẩn phát triển, khiến tình trạng tụt lợi nghiêm trọng hơn.
Thay vào đó, bạn nên xây dựng thực đơn lành mạnh, bổ sung đầy đủ vitamin, khoáng chất, canxi, phốt pho và chất xơ từ rau củ, trái cây, thịt, hải sản,… để nuôi dưỡng răng và nướu chắc khỏe hơn.
Đặc biệt, nếu bạn có thói quen hút thuốc lá hoặc uống rượu bia, cần dừng ngay lập tức. Lúc này nướu và răng đã yếu, việc hút thuốc không chỉ làm răng ố vàng, mất thẩm mỹ mà còn tăng nguy cơ ung thư khoang miệng lên đến 65%. Đây là một biện pháp đơn giản tại nhà giúp phòng ngừa tụt lợi và các bệnh lý răng miệng khác.
Vệ sinh răng miệng đúng cách
- Chọn bàn chải lông mềm và chải răng nhẹ nhàng, nghiêng bàn chải khoảng 45 độ so với bề mặt răng.
- Chú ý vệ sinh kỹ các kẽ răng, chân răng, đầu răng, mặt ngoài và mặt trong để loại bỏ thức ăn thừa và vi khuẩn.
- Sử dụng kem đánh răng có fluor giúp làm chắc men răng và ngăn ngừa ê buốt.
- Kết hợp chỉ nha khoa và nước súc miệng kháng khuẩn để bảo vệ nướu, giảm mài mòn răng và ngăn ngừa bệnh lý răng miệng.

Khám răng định kỳ
Khi phát hiện dấu hiệu bất thường của nướu hoặc răng, bác sĩ sẽ đưa ra phác đồ điều trị kịp thời, bao gồm kê thuốc hoặc các phương pháp chuyên môn nhằm ngăn ngừa biến chứng nguy hiểm.
Trong những trường hợp tụt nướu nặng hoặc tổn thương nghiêm trọng, bác sĩ có thể chỉ định:
- Lấy cao răng: Đây là bước cơ bản và quan trọng. Việc loại bỏ cao răng giúp ngăn vi khuẩn xâm nhập, hỗ trợ nướu hồi phục và làm chậm quá trình tụt lợi. Ngay cả khi nướu bình thường, bạn cũng nên lấy cao răng định kỳ 6 tháng/lần để hạn chế vôi răng tích tụ - nguyên nhân chính gây tụt lợi.
- Ghép mô mềm: Áp dụng khi nướu tụt quá nhiều, không tự phục hồi. Bác sĩ sẽ lấy mô từ vùng khác trong miệng hoặc sử dụng mô hiến tặng để ghép vào vùng bị tổn thương, tái tạo nướu che phủ chân răng.
- Ghép xương răng: Khi tụt lợi đi kèm tiêu xương ổ răng, cần kết hợp ghép xương và mô mềm để phục hồi cấu trúc răng - nướu, đảm bảo điều trị triệt để và ngăn ngừa tái phát.

Qua những thông tin trên, có thể thấy tụt lợi có tự khỏi không là điều hầu như không thể, bởi mô nướu khi đã co rút sẽ khó phục hồi hoàn toàn nếu không can thiệp. Tuy nhiên, bạn vẫn có thể khắc phục và hạn chế tình trạng này bằng các biện pháp chăm sóc răng miệng đúng cách, thăm khám nha khoa định kỳ và áp dụng các phương pháp điều trị phù hợp. Việc chủ động phòng ngừa và chăm sóc sẽ giúp bảo vệ răng chắc khỏe và duy trì nụ cười tự tin.
:format(webp)/Desktop_70c81619bb.png)
:format(webp)/467434554_545745841560409_1066418224364723785_n_560a494f9c.png)
/rang_bi_lung_lay_la_gi_nguyen_nhan_muc_do_nguy_hiem_va_cach_xu_tri_an_toan_e5ec95739d.jpg)
/cao_voi_rang_la_gi_khi_nao_can_cao_voi_rang_va_nhung_dieu_can_biet_c2683aadc7.jpg)
/mewing_la_gi_cach_tap_mewing_dung_va_nhung_dieu_ban_can_biet_0_63bbfd74a9.jpg)
/rang_khon_la_gi_nhung_thong_tin_co_ban_ve_rang_khon_khong_phai_ai_cung_biet_db74be97cf.jpg)
/nho_rang_khon_co_nguy_hiem_khong_muc_do_rui_ro_va_nhung_dieu_can_biet_truoc_khi_nho_248dac9ce4.jpg)