Siêu âm thai là một trong những mốc quan trọng trong thai kỳ, giúp theo dõi sự phát triển của em bé. Ở tuần thứ 12, thai nhi đã có hình dạng rõ ràng hơn, khiến nhiều mẹ bắt đầu tò mò về giới tính. Tuy nhiên, việc dự đoán ở giai đoạn này vẫn cần được hiểu đúng để tránh nhầm lẫn.
Hình ảnh siêu âm bé trai 12 tuần là gì?
Ở tuần thứ 12, siêu âm không chỉ giúp đánh giá sự phát triển của thai nhi mà còn có thể gợi ý giới tính thông qua một số đặc điểm nhất định. Tuy nhiên, để hiểu rõ hơn, cần xem xét cụ thể những gì có thể quan sát ở giai đoạn này.
Siêu âm thai 12 tuần cho thấy gì?
Ở thời điểm này, thai nhi thường có chiều dài khoảng vài centimet, với các bộ phận như đầu, tay và chân đã hình thành khá rõ. Tim thai hoạt động ổn định và một số cấu trúc cơ thể bắt đầu hoàn thiện.
Đây cũng là giai đoạn cơ quan sinh dục bắt đầu phát triển. Tuy nhiên, sự khác biệt giữa bé trai và bé gái vẫn chưa rõ ràng hoàn toàn trên hình ảnh siêu âm.
Hình ảnh siêu âm bé trai và bé gái 12 tuần khác nhau thế nào?
Để phân biệt, người ta thường quan sát một cấu trúc gọi là mầm sinh dục. Cấu trúc này xuất hiện ở cả hai giới nhưng hướng phát triển sẽ khác nhau.
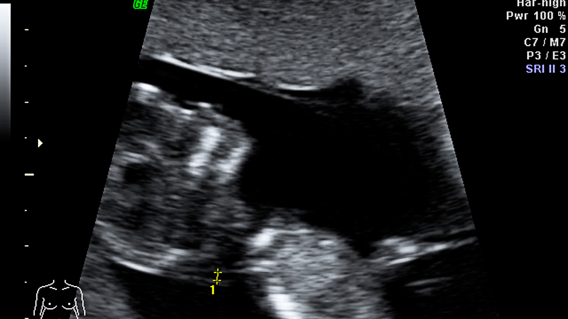
Hình ảnh siêu âm bé trai 12 tuần
Trong nhiều trường hợp, mầm sinh dục của bé trai có xu hướng hướng lên trên so với cột sống. Điều này tạo ra một góc nhô rõ hơn khi quan sát trên hình ảnh siêu âm.
Hình ảnh siêu âm bé gái 12 tuần
Ngược lại, mầm sinh dục của bé gái thường nằm song song hoặc có góc thấp hơn so với cột sống, khiến hình ảnh trông “phẳng” hơn.

Dấu hiệu nhận biết bé trai qua siêu âm 12 tuần
Việc nhận biết giới tính thai nhi ở giai đoạn này thường dựa trên một số đặc điểm nhất định. Tuy nhiên, cần hiểu rằng các dấu hiệu này chỉ mang tính tham khảo.
Nub theory là gì?
Một trong những phương pháp được nhắc đến nhiều là nub theory. Đây là cách dự đoán giới tính dựa trên góc của "mầm sinh dục" so với cột sống thai nhi.
Phương pháp này thường được áp dụng trong khoảng tuần 11 đến 13 của thai kỳ.
Một số nghiên cứu đề xuất việc dự đoán giới tính dựa trên góc mầm sinh dục (nub), tuy nhiên phương pháp này chưa được xem là tiêu chuẩn chẩn đoán trong y khoa.
Các dấu hiệu gợi ý bé trai
Khi quan sát hình ảnh siêu âm, có thể chú ý một số điểm sau:
- Mầm sinh dục tạo góc lớn so với cột sống.
- Hướng nhô lên rõ rệt.
- Vị trí nằm cao hơn trục cơ thể.
Những đặc điểm này thường được xem là gợi ý thai nhi có thể là bé trai.
Vì sao dễ nhầm lẫn?
Dù có các dấu hiệu gợi ý, việc xác định vẫn có thể sai lệch. Nguyên nhân có thể bao gồm:
- Thai chưa phát triển hoàn chỉnh.
- Tư thế thai không thuận lợi.
- Hình ảnh siêu âm chưa rõ nét.
Do đó, việc kết luận cần được cân nhắc cẩn thận.

Độ chính xác của hình ảnh siêu âm bé trai 12 tuần
Một trong những yếu tố được quan tâm nhiều nhất là độ chính xác của việc xác định giới tính ở tuần 12.
Tỷ lệ chính xác theo tuần thai
Theo các tài liệu y khoa, độ chính xác của siêu âm tăng dần theo tuổi thai. Ở tuần 12, việc dự đoán có thể đạt mức tương đối cao nhưng vẫn chưa hoàn toàn chắc chắn.
Vì sao 12 tuần chưa thể kết luận chắc chắn?
Nguyên nhân chính là do cơ quan sinh dục chưa phát triển đầy đủ. Ngoài ra, góc quan sát và chất lượng hình ảnh cũng ảnh hưởng đáng kể đến kết quả.
Khi nào biết giới tính rõ hơn?
Thông thường, từ tuần 18 đến 22, việc xác định giới tính sẽ rõ ràng hơn. Ngoài ra, một số phương pháp xét nghiệm hiện đại có thể hỗ trợ xác định sớm hơn, tuy nhiên cần được thực hiện theo chỉ định y tế.
Các yếu tố ảnh hưởng đến việc xác định giới tính qua siêu âm
Không phải lúc nào hình ảnh siêu âm bé trai 12 tuần cũng dễ đọc. Có nhiều yếu tố có thể tác động đến kết quả quan sát.
- Tư thế của thai nhi: Nếu thai nhi quay lưng hoặc co chân, việc quan sát vùng sinh dục sẽ khó khăn hơn.
- Chất lượng thiết bị: Thiết bị hiện đại có thể cho hình ảnh rõ nét hơn, giúp việc đánh giá chính xác hơn.
- Kinh nghiệm người thực hiện: Người thực hiện siêu âm có kinh nghiệm sẽ biết cách chọn góc quan sát phù hợp, từ đó tăng khả năng nhận diện.

Lưu ý khi xem hình ảnh siêu âm bé trai 12 tuần
Để tránh hiểu sai, bạn cần lưu ý một số điểm quan trọng khi xem kết quả siêu âm.
- Không nên kết luận quá sớm: Kết quả ở tuần 12 chỉ mang tính định hướng, chưa thể khẳng định chính xác.
- Không tự đọc kết quả: Việc diễn giải hình ảnh cần được thực hiện bởi nhân viên y tế để đảm bảo độ chính xác.
- Theo dõi các mốc siêu âm tiếp theo: Các mốc siêu âm sau sẽ cung cấp thông tin rõ ràng hơn về sự phát triển của thai nhi, bao gồm cả giới tính.

Hình ảnh siêu âm bé trai 12 tuần có thể mang lại những gợi ý ban đầu về giới tính thai nhi. Tuy nhiên, độ chính xác còn phụ thuộc vào nhiều yếu tố khác nhau. Việc theo dõi thai kỳ đúng lịch và tham khảo ý kiến y tế sẽ giúp mẹ bầu có cái nhìn đầy đủ và an tâm hơn.
Để hiểu rõ hơn về các thuật ngữ y khoa thường gặp cũng như cập nhật kiến thức chăm sóc sức khỏe đúng cách, bạn có thể tham khảo thêm nhiều bài viết hữu ích tại Tiêm chủng Long Châu. Đây là nguồn thông tin được xây dựng theo hướng dễ hiểu, giúp bạn chủ động hơn trong việc theo dõi sức khỏe và đưa ra quyết định phù hợp cho bản thân và gia đình.
:format(webp)/470051785_8767135473405056_691967411107495592_n_6b2bbff755.png)
:format(webp)/467434554_545745841560409_1066418224364723785_n_560a494f9c.png)
/cham_dut_benh_lao_co_kha_thi_cap_nhat_xet_nghiem_chan_doan_moi_nhat_tu_who_giup_phat_hien_som_0_15ef06d02e.png)
/x_quang_khop_khuyu_khi_nao_can_chup_phat_hien_gi_va_nhung_dieu_can_biet_1_5d75fb6a4d.png)
/sieu_am_co_phat_hien_soi_than_khong_nhung_dieu_can_biet_1_2e61fdc0ef.png)
/tang_am_giam_am_trong_sieu_am_la_gi_hieu_dung_de_doc_ket_qua_khong_con_lo_lang_1_2b30a18772.png)
/buon_tieu_de_sieu_am_vi_sao_can_va_cach_thuc_hien_dung_1_822ebb7d4e.png)