Ung thư phổi là một trong những bệnh lý nguy hiểm do tiến triển âm thầm và thường chỉ được phát hiện khi đã ở giai đoạn muộn. Nhiều người không có triệu chứng rõ ràng trong thời gian dài, khiến việc chẩn đoán sớm trở nên khó khăn. Trong bối cảnh đó, các hình ảnh trực quan về tổn thương phổi đóng vai trò quan trọng trong việc giúp cộng đồng hình dung rõ hơn mức độ phá hủy của bệnh, từ đó nâng cao nhận thức và chủ động theo dõi sức khỏe hô hấp.
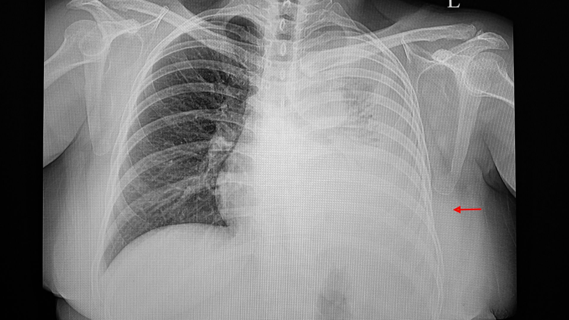
Hình ảnh phổi bị ung thư phản ánh điều gì?
Để trả lời trực tiếp cho mối quan tâm của người đọc, cần khẳng định rằng hình ảnh của phổi bị ung thư không chỉ đơn thuần là những “đốm lạ” xuất hiện trên phim chụp. Trên thực tế, các hình ảnh này phản ánh quá trình tổn thương sâu và phức tạp của mô phổi, nơi các tế bào bất thường phát triển mất kiểm soát và dần xâm lấn mô lành.
Ở phổi bình thường, cấu trúc mô phổi thể hiện rõ các vùng thông khí đều, ranh giới giải phẫu tương đối rõ ràng. Khi ung thư xuất hiện, hình ảnh ghi nhận cho thấy những vùng đặc bất thường, khối u với hình dạng không đồng đều hoặc ranh giới không rõ. Những thay đổi này cho thấy sự phá vỡ cấu trúc vốn có của phổi.
Ngoài ra, các hình ảnh còn giúp nhận biết mức độ lan rộng của tổn thương. Ở giai đoạn đầu, khối u phổi có thể chỉ khu trú tại một vùng nhỏ. Khi bệnh tiến triển, tổn thương có xu hướng lan sang các khu vực lân cận, làm giảm diện tích phổi lành và ảnh hưởng trực tiếp đến chức năng hô hấp. Vì vậy, hình ảnh y khoa được xem là công cụ quan trọng để bác sĩ đánh giá tình trạng bệnh và theo dõi diễn tiến theo thời gian.

Quan sát hình ảnh ung thư phổi qua các giai đoạn tiến triển
Việc quan sát hình ảnh ung thư phổi theo từng giai đoạn giúp hình dung rõ hơn quá trình tiến triển của ung thư và lý do vì sao phát hiện sớm lại đặc biệt quan trọng. Hình ảnh ung thư phổi cụ thể qua từng giai đoạn như sau:
Giai đoạn sớm
Ở giai đoạn sớm, tổn thương ung thư phổi thường biểu hiện khá kín đáo trên hình ảnh. Khối u có kích thước nhỏ, khu trú tại một vùng nhất định của phổi và chưa gây biến dạng rõ rệt toàn bộ cấu trúc phổi. Trong nhiều trường hợp, người bệnh hầu như không có triệu chứng lâm sàng đặc hiệu, hoặc chỉ xuất hiện những biểu hiện mơ hồ như ho nhẹ, mệt mỏi.
Trên hình ảnh chẩn đoán, tổn thương có thể chỉ là một vùng mờ nhỏ hoặc nốt bất thường khó phân biệt với các tổn thương lành tính. Chính vì vậy, nếu không được kiểm tra định kỳ hoặc không có chỉ định chụp chiếu phù hợp, giai đoạn này rất dễ bị bỏ sót. Điều này lý giải vì sao nhiều trường hợp ung thư phổi không được phát hiện ngay từ đầu.
Giai đoạn tiến triển
Khi bệnh bước sang giai đoạn tiến triển, hình ảnh phổi cho thấy những thay đổi rõ ràng hơn. Khối u tăng kích thước, ranh giới trở nên không đều và bắt đầu chèn ép các cấu trúc xung quanh như phế quản hoặc mạch máu. Các vùng phổi lân cận có thể xuất hiện hình ảnh xẹp phổi hoặc viêm do tắc nghẽn đường thở.
Ở giai đoạn này, người bệnh thường bắt đầu có triệu chứng rõ ràng hơn như ho kéo dài, khó thở hoặc đau ngực. Hình ảnh y khoa phản ánh mối liên hệ trực tiếp giữa tổn thương giải phẫu và biểu hiện lâm sàng, cho thấy bệnh đã ảnh hưởng đáng kể đến chức năng hô hấp.
Giai đoạn muộn
Trong giai đoạn muộn, hình ảnh phổi cho thấy mức độ tổn thương nghiêm trọng và lan rộng. Khối u có thể chiếm phần lớn nhu mô phổi, làm biến dạng cấu trúc giải phẫu ban đầu. Một số trường hợp ghi nhận tràn dịch màng phổi hoặc phổi bị xẹp, khiến khả năng trao đổi khí suy giảm nghiêm trọng.
Những hình ảnh ở giai đoạn này thường gây ấn tượng mạnh và cho thấy rõ tính chất nguy hiểm của bệnh. Chức năng hô hấp bị ảnh hưởng nặng nề, chất lượng cuộc sống của người bệnh giảm sút đáng kể. Đây cũng là giai đoạn việc điều trị gặp nhiều khó khăn hơn so với giai đoạn sớm.

Vì sao hình ảnh phổi ung thư gây ám ảnh và cảnh báo cao?
Sau khi quan sát các giai đoạn tiến triển, không ít người cảm thấy ám ảnh trước những hình ảnh phổi bị tổn thương nặng nề. Điều này xuất phát từ việc các hình ảnh trực quan cho thấy rõ sự phá hủy dần dần của một cơ quan đóng vai trò sống còn trong cơ thể.
Hình ảnh phổi ung thư phản ánh quá trình mô phổi lành bị thay thế bởi các khối u bất thường, làm mất đi chức năng trao đổi khí. Khi nhìn thấy những vùng phổi bị đặc, xơ hóa hoặc biến dạng, người xem dễ nhận ra rằng đây không chỉ là một bệnh lý thông thường mà là tình trạng có thể đe dọa tính mạng nếu không được phát hiện kịp thời.
Từ góc độ truyền thông y tế, các hình ảnh này mang giá trị cảnh báo cao. Chúng giúp cộng đồng hiểu rằng ung thư phổi không xảy ra đột ngột mà tiến triển theo thời gian, thường âm thầm và khó nhận biết. Việc tiếp cận hình ảnh trực quan góp phần nâng cao nhận thức về phòng bệnh, tầm soát sớm và theo dõi sức khỏe hô hấp, đặc biệt ở những người có yếu tố nguy cơ.

Khi nào cần đi khám khi thấy dấu hiệu nghi ngờ từ hình ảnh?
Mặc dù hình ảnh trực quan mang lại nhiều thông tin giá trị, người đọc cần hiểu rằng không nên tự chẩn đoán bệnh chỉ dựa trên các hình ảnh tham khảo trên mạng. Mỗi người có đặc điểm sức khỏe khác nhau, và chỉ có đánh giá chuyên môn mới đưa ra kết luận chính xác.
Việc đi khám được khuyến nghị khi người bệnh có các triệu chứng hô hấp kéo dài như ho dai dẳng, khó thở, đau ngực hoặc sụt cân bất thường không rõ nguyên nhân. Trong những trường hợp này, bác sĩ sẽ chỉ định các phương pháp chẩn đoán phù hợp để đánh giá tình trạng phổi một cách toàn diện.
Ngoài ra, những người có yếu tố nguy cơ cao hoặc thường xuyên tiếp xúc với môi trường ô nhiễm cũng nên chủ động kiểm tra sức khỏe định kỳ. Việc thăm khám giúp phát hiện sớm các bất thường, từ đó có hướng theo dõi và can thiệp kịp thời. Hình ảnh y khoa khi được sử dụng đúng cách sẽ là công cụ hỗ trợ đắc lực cho quá trình chẩn đoán và quản lý bệnh.

Hình ảnh phổi bị ung thư giúp người đọc hình dung rõ ràng mức độ tổn thương nghiêm trọng của phổi qua từng giai đoạn tiến triển của bệnh. Việc hiểu đúng ý nghĩa của các hình ảnh này không chỉ góp phần nâng cao nhận thức mà còn nhấn mạnh tầm quan trọng của việc theo dõi sức khỏe và thăm khám kịp thời khi có dấu hiệu nghi ngờ. Nhận diện sớm luôn là yếu tố then chốt giúp cải thiện tiên lượng và chất lượng cuộc sống.
:format(webp)/470051785_8767135473405056_691967411107495592_n_6b2bbff755.png)
:format(webp)/467434554_545745841560409_1066418224364723785_n_560a494f9c.png)
/xet_nghiem_nse_de_lam_gi_khi_nao_nen_thuc_hien_xet_nghiem_dinh_luong_nse_1_453b4bc0ae.jpg)
/chi_so_xet_nghiem_cyfra_21_1_la_gi_cac_yeu_to_lam_tang_chi_so_cyfra_21_1_1_14435c1d25.jpg)
/mot_so_nguyen_nhan_pho_bien_gay_cyfra_21_1_duong_tinh_gia_1_e421c43c22.jpg)
/chi_so_cyfra_21_1_bao_nhieu_la_nguy_hiem_nguyen_nhan_cyfra_21_1_tang_cao_1_4df6dc40c4.jpg)
/noi_soi_mang_phoi_la_gi_khi_nao_can_thuc_hien_va_nhung_dieu_nguoi_benh_nen_biet_1_1bedbccd7a.jpg)