Viêm amidan là bệnh hô hấp thường gặp ở bé nhỏ, dễ tái phát và khiến nhiều ba mẹ lo lắng khi bé sốt, đau họng, khó ăn uống. Thời gian hồi phục của bệnh phụ thuộc vào nguyên nhân, mức độ viêm và cách chăm sóc.
Vì sao bé thường dễ bị viêm amidan?
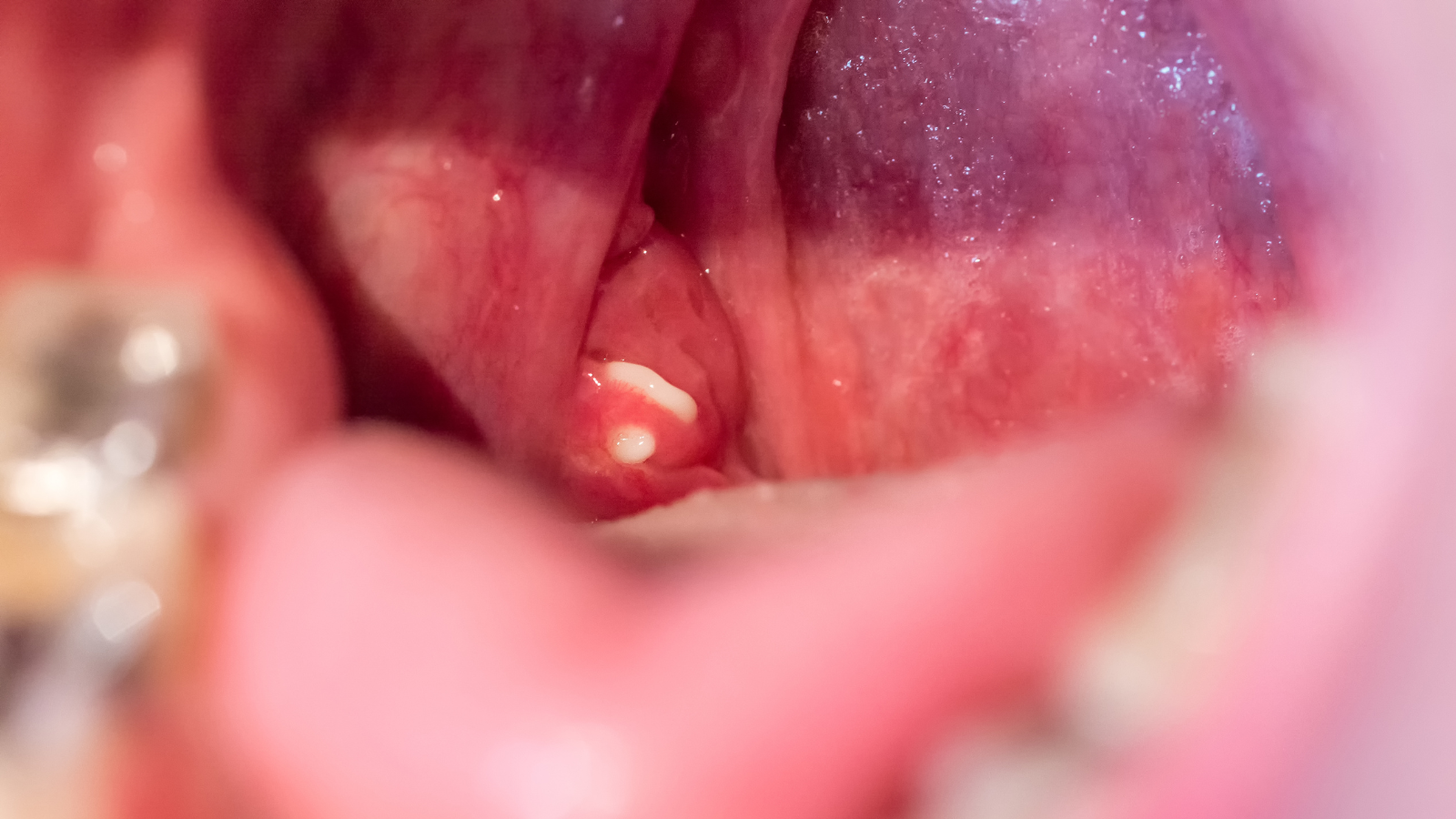
Amidan là tổ chức bạch huyết nằm ở vùng hầu họng, gồm nhiều khối lympho như amidan khẩu cái, amidan vòm, amidan vòi và amidan lưỡi. Chức năng chính của amidan là hỗ trợ hệ miễn dịch tại chỗ, phát hiện và ngăn chặn vi khuẩn, virus xâm nhập qua đường mũi - họng vào sâu bên trong cơ thể.
Mặc dù amidan góp phần bảo vệ cơ thể, nếu bé tiếp xúc với số lượng lớn tác nhân gây bệnh hoặc hệ miễn dịch của bé còn non yếu, amidan có thể bị chính vi khuẩn, virus tấn công và viêm nhiễm. Khi đó, các ổ viêm hình thành tại amidan có thể gây đau họng, sưng đỏ, ảnh hưởng đến ăn uống và sinh hoạt của bé.

Bé nhỏ, đặc biệt từ khoảng 4 - 10 tuổi, là nhóm dễ mắc viêm amidan nhất vì hệ miễn dịch của bé chưa hoàn chỉnh và chức năng kháng nhiễm còn kém so với người lớn. Theo Tổ chức Y tế Thế giới (WHO), các nhiễm trùng đường hô hấp trên (bao gồm viêm họng và viêm amidan do virus hoặc vi khuẩn) là nguyên nhân phổ biến gây bệnh ở bé em trên toàn thế giới, phản ánh sự nhạy cảm của bé với các tác nhân gây viêm tại vùng họng và amidan.
Viêm amidan ở bé có thể biểu hiện dưới nhiều dạng, từ cấp tính đến mạn tính, tùy vào mức độ và tần suất tái phát:
- Viêm amidan cấp tính: Đây là thể thường gặp nhất. Khi virus hoặc vi khuẩn xâm nhập và vượt quá khả năng phòng vệ của amidan, amidan sẽ phản ứng bằng cách sưng đỏ, đau rát và đôi khi kèm sốt, khó nuốt.
- Viêm amidan mạn tính: Khi viêm amidan cấp tái diễn nhiều lần trong thời gian ngắn hoặc không được điều trị dứt điểm, tình trạng viêm sẽ kéo dài và trở nên mãn tính.
Bé bị viêm amidan bao lâu thì khỏi?
Đây là thắc mắc rất thường gặp của các bậc phụ huynh khi con không may mắc viêm amidan. Trên thực tế, thời gian hồi phục của bé bị viêm amidan không cố định, mà phụ thuộc vào nhiều yếu tố như mức độ bệnh, thể bệnh (cấp hay mạn), sức đề kháng của bé cũng như việc phát hiện và điều trị có kịp thời, đúng cách hay không:
Khi bé mới chớm viêm amidan: Nếu bệnh được phát hiện sớm, bé được nghỉ ngơi, chăm sóc đúng cách và điều trị phù hợp, các triệu chứng thường thuyên giảm nhanh. Trong nhiều trường hợp, bé có thể hồi phục sau khoảng 5 - 7 ngày.

Trường hợp viêm amidan cấp tính: Lúc này amidan thường sưng đỏ, đau họng rõ, bé có thể sốt, mệt mỏi và khó nuốt. Nếu được điều trị theo đúng phác đồ y khoa, tuân thủ hướng dẫn của bác sĩ, thời gian khỏi bệnh thường dao động khoảng 7 - 10 ngày. Việc điều trị sớm giúp hạn chế nguy cơ biến chứng như viêm tai giữa, viêm khớp hay thấp tim.
Trường hợp viêm amidan mạn tính: Đây là tình trạng bệnh tái phát nhiều lần trong năm, có thể ảnh hưởng lâu dài đến sức khỏe và sinh hoạt của bé. Với viêm amidan mạn, rất khó xác định chính xác thời gian khỏi bệnh, bởi nhiều trường hợp chỉ có thể kiểm soát triệu chứng chứ không điều trị dứt điểm hoàn toàn. Một số bé cần theo dõi lâu dài và can thiệp y tế khi có chỉ định phù hợp.
Khi bé có dấu hiệu viêm amidan kéo dài, tái phát nhiều lần hoặc biểu hiện nặng, cha mẹ nên sớm đưa bé đến cơ sở y tế để được thăm khám và tư vấn hướng điều trị phù hợp. Việc can thiệp kịp thời không chỉ giúp bé hồi phục nhanh hơn mà còn hạn chế nguy cơ biến chứng và ảnh hưởng lâu dài đến sức khỏe.

Cha mẹ cần làm gì khi bé bị viêm amidan?
Khi bé có dấu hiệu viêm amidan, cha mẹ cần theo dõi kỹ các biểu hiện như sốt, đau họng, khó nuốt, ngủ ngáy… và đưa bé đến cơ sở y tế để được thăm khám sớm. Tuyệt đối không tự ý mua thuốc, đặc biệt là kháng sinh, vì dùng sai thuốc hoặc không đúng liều có thể làm bệnh nặng hơn và tăng nguy cơ kháng thuốc về sau.
Tùy mức độ bệnh, việc chăm sóc và điều trị sẽ khác nhau:
- Viêm amidan nhẹ: Bé thường chỉ có triệu chứng nhẹ, thoáng qua. Lúc này, bác sĩ thường hướng dẫn chăm sóc tại nhà như cho bé súc miệng bằng nước muối sinh lý hằng ngày để sát khuẩn họng, ăn uống đầy đủ dinh dưỡng, tăng cường thực phẩm giàu vitamin C, giữ ấm cổ họng và tránh đồ ăn lạnh, cay.
- Viêm amidan nặng hoặc tái phát nhiều lần: Bé cần điều trị theo phác đồ của bác sĩ. Với các trường hợp viêm amidan mạn tính, amidan sưng to, mất chức năng và gây ảnh hưởng đến sức khỏe, bác sĩ có thể cân nhắc chỉ định cắt amidan để phòng ngừa biến chứng.

Nhìn chung, bé bị viêm amidan bao lâu thì khỏi còn phụ thuộc vào mức độ bệnh, thể viêm (cấp hay mạn tính) và việc điều trị có kịp thời, đúng cách hay không. Vì vậy, ba mẹ cần chủ động theo dõi sức khỏe của trẻ, đưa trẻ đi khám sớm khi có dấu hiệu bất thường và tuân thủ phác đồ điều trị để giúp con nhanh khỏi bệnh và hạn chế tái phát.
:format(webp)/470051785_8767135473405056_691967411107495592_n_6b2bbff755.png)
:format(webp)/467434554_545745841560409_1066418224364723785_n_560a494f9c.png)
/cach_cham_soc_tre_bi_nhiem_khuan_tiet_nieu_va_luu_y_khi_thuc_hien_51f75328d3.jpg)
/sot_virus_o_tre_em_keo_dai_bao_lau_khi_nao_can_dua_tre_di_kham_bb57ffc545.png)
/vi_sao_hpv_co_the_tien_trien_thanh_ung_thu_chuyen_gia_chi_ra_8_yeu_to_nguy_co4_55714bad4e.png)
/tre_duoi_5_tuoi_can_tiem_vac_xin_gi_de_bao_ve_suc_khoe_toan_dien_0_123e43b661.png)
/chup_ct_cho_tre_em_nhung_thong_tin_can_biet_caee91237f.jpg)