Sâu răng ở trẻ em, đặc biệt là răng hàm là một vấn đề phổ biến tại nhiều gia đình. Răng hàm nằm sâu trong khoang miệng, thường khó làm sạch kỹ lưỡng, khiến trẻ dễ gặp phải tình trạng sâu răng. Việc nắm rõ cấu trúc răng sữa, răng vĩnh viễn và thời điểm thay răng sẽ giúp cha mẹ chủ động hơn trong việc chăm sóc sức khỏe răng miệng cho con..
Trẻ bị sâu răng hàm có mọc lại không?
Khi trẻ bị sâu răng hàm, câu hỏi đầu tiên mà nhiều phụ huynh đặt ra là liệu chiếc răng bị sâu có thể mọc lại hay không. Câu trả lời phụ thuộc vào việc đó là răng sữa hay răng vĩnh viễn vì hai loại răng này có đặc điểm và vai trò hoàn toàn khác nhau.
Răng hàm sữa
Răng hàm sữa bắt đầu mọc khi trẻ được khoảng 13 đến 33 tháng tuổi. Mỗi trẻ có tổng cộng 8 răng hàm sữa, với 4 chiếc ở hàm trên và 4 chiếc ở hàm dưới. Những chiếc răng này đóng vai trò quan trọng trong việc giúp trẻ nhai thức ăn, hỗ trợ phát triển cơ hàm và giữ chỗ cho răng vĩnh viễn mọc đúng vị trí sau này. Thông thường, răng hàm sữa sẽ rụng tự nhiên khi trẻ từ 6 đến 12 tuổi, nhường chỗ cho răng vĩnh viễn.
Nếu trẻ bị sâu răng hàm sữa và răng bị rụng sớm do sâu nặng hoặc nhiễm trùng, răng vĩnh viễn vẫn sẽ mọc lên. Tuy nhiên, việc mất răng sữa trước thời điểm tự nhiên có thể gây ra một số vấn đề. Chẳng hạn, khoảng trống để lại có thể khiến các răng khác xô lệch, làm răng vĩnh viễn mọc chen chúc hoặc sai vị trí. Do đó, việc bảo vệ răng hàm sữa khỏi sâu răng là vô cùng cần thiết để đảm bảo sự phát triển bình thường của hàm mặt.
:format(webp)/tre_bi_sau_rang_ham_co_moc_lai_khong_1_e52a96a31f.png)
Răng hàm vĩnh viễn
Răng hàm vĩnh viễn bắt đầu xuất hiện từ khoảng 6 tuổi với răng hàm số 6 hay còn gọi là răng hàm lớn mọc đầu tiên. Nhiều phụ huynh lầm tưởng đây là răng sữa vì chúng mọc sớm, nhưng thực chất chúng là răng vĩnh viễn và không được thay thế. Các răng hàm số 7 và số 8 hay còn gọi là răng khôn sẽ mọc lần lượt khi trẻ lớn hơn, thường từ 12 tuổi trở lên. Nếu trẻ bị sâu răng hàm vĩnh viễn và phải nhổ bỏ, răng sẽ không mọc lại dẫn đến nhiều hậu quả nghiêm trọng về lâu dài, chẳng hạn như khó khăn trong ăn nhai, lệch khớp cắn, đau quai hàm hoặc ảnh hưởng đến thẩm mỹ khuôn mặt.
Vậy trẻ bị sâu răng hàm có mọc lại không? Tóm lại, nếu là răng hàm sữa thì răng sẽ được thay thế bởi răng vĩnh viễn nhưng cần được chăm sóc để tránh rụng sớm. Nếu là răng hàm vĩnh viễn, răng sẽ không mọc lại và việc mất răng có thể gây ra nhiều vấn đề nghiêm trọng. Do đó, phụ huynh cần xác định rõ loại răng bị sâu để có hướng xử lý phù hợp, đồng thời đưa trẻ đến nha sĩ để được tư vấn và điều trị kịp thời.
Chức năng và tầm quan trọng của răng hàm
Để càng hiểu rõ hơn về vấn đề trẻ bị sâu răng hàm có mọc lại không, chúng ta cần nắm được đặc điểm của răng hàm ở trẻ em, bao gồm cả răng sữa và răng vĩnh viễn cũng như vai trò quan trọng của chúng trong sự phát triển của trẻ.
Răng hàm sữa
Như đã đề cập, trẻ có 8 răng hàm sữa, mọc từ khoảng 13 đến 33 tháng tuổi. Những chiếc răng này không chỉ giúp trẻ nhai và nghiền nát thức ăn mà còn đóng vai trò quan trọng trong việc định hình cấu trúc hàm. Răng hàm sữa giữ chỗ cho răng vĩnh viễn, đảm bảo răng vĩnh viễn mọc đúng vị trí và không bị lệch lạc. Nếu răng hàm sữa bị sâu và mất sớm, trẻ có nguy cơ gặp các vấn đề về răng miệng sau này, chẳng hạn như răng mọc chen chúc hoặc cần phải niềng răng để chỉnh lại.
Răng hàm vĩnh viễn
Răng hàm vĩnh viễn bao gồm các răng số 6, số 7 và số 8. Răng số 6 mọc đầu tiên khi trẻ khoảng 6 tuổi, tiếp theo là răng số 7 vào khoảng 12 đến 13 tuổi và cuối cùng sẽ là răng khôn số 8 khi trẻ trưởng thành. Những chiếc răng này không có răng sữa thay thế, nghĩa là nếu bị mất, chúng sẽ không mọc lại. Răng hàm vĩnh viễn đóng vai trò quan trọng trong việc nghiền thức ăn, hỗ trợ tiêu hóa và duy trì cấu trúc hàm mặt. Việc mất răng hàm vĩnh viễn có thể dẫn đến các vấn đề nghiêm trọng như lệch khớp cắn, khó khăn trong phát âm và thay đổi hình dáng khuôn mặt.
:format(webp)/tre_bi_sau_rang_ham_co_moc_lai_khong_3_77de6ca4e3.png)
Vì sao răng hàm rất quan trọng?
Răng hàm dù là răng sữa hay vĩnh viễn đều có vai trò không thể thay thế. Chúng giúp trẻ nghiền nát thức ăn, hỗ trợ quá trình tiêu hóa và hấp thụ dinh dưỡng. Ngoài ra, răng hàm còn góp phần định hình xương hàm, đảm bảo khớp cắn đúng và hỗ trợ phát âm rõ ràng. Nếu mất răng hàm sớm, trẻ có thể gặp khó khăn trong việc ăn uống, phát âm không chuẩn và thậm chí là ảnh hưởng đến thẩm mỹ khuôn mặt. Đặc biệt, khi trẻ bị sâu răng hàm vĩnh viễn và phải nhổ, chi phí chỉnh nha sau này có thể rất tốn kém, chưa kể đến những khó khăn về sức khỏe tổng thể.
Nguyên nhân khiến trẻ bị sâu răng hàm và cách phòng tránh hiệu quả
Hiểu được lý do trẻ bị sâu răng hàm là bước đầu tiên để cha mẹ có thể áp dụng các biện pháp phòng ngừa hiệu quả. Dưới đây là những nguyên nhân phổ biến và cách bảo vệ răng miệng cho trẻ.
Nguyên nhân sâu răng hàm
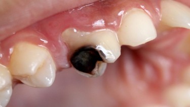
Sâu răng hàm ở trẻ em thường xuất phát từ thói quen ăn uống và vệ sinh răng miệng chưa đúng cách. Việc trẻ tiêu thụ quá nhiều thực phẩm chứa đường, chẳng hạn như kẹo, bánh ngọt hay nước ngọt là một trong những nguyên nhân hàng đầu. Đặc biệt, thói quen uống sữa hoặc nước trái cây vào ban đêm mà không vệ sinh răng sau đó khiến vi khuẩn dễ dàng tấn công men răng. Ngoài ra, việc chải răng không kỹ, không làm sạch vùng răng hàm nằm sâu trong khoang miệng, cũng góp phần làm tăng nguy cơ sâu răng
:format(webp)/tre_bi_sau_rang_ham_co_moc_lai_khong_2_ad5fbd4caf.png)
Một yếu tố khác là thiếu fluoride, một khoáng chất cần thiết để củng cố men răng và ngăn ngừa sâu răng. Nhiều trẻ không được bổ sung fluoride qua kem đánh răng hoặc nguồn nước, khiến răng dễ bị tổn thương hơn. Cuối cùng, việc không khám răng định kỳ cũng khiến phụ huynh khó phát hiện sớm các dấu hiệu sâu răng, dẫn đến tình trạng nặng hơn trước khi được điều trị.
Cách phòng ngừa sâu răng hàm
Để bảo vệ răng hàm của trẻ, cha mẹ cần xây dựng thói quen vệ sinh răng miệng khoa học ngay từ sớm. Trẻ nên được hướng dẫn chải răng ít nhất hai lần mỗi ngày, sử dụng kem đánh răng chứa fluoride phù hợp với lứa tuổi. Cha mẹ cũng nên giám sát và hỗ trợ trẻ chải răng đúng cách, đặc biệt chú ý làm sạch vùng răng hàm.
Ngoài ra, việc xây dựng chế độ ăn lành mạnh dựa trên tháp dinh dưỡng, hạn chế trẻ ăn vặt liên tục, đặc biệt là các thực phẩm ngọt và dính như kẹo cao su hay bánh quy, sẽ giúp giảm nguy cơ sâu răng. Thay vào đó, hãy khuyến khích trẻ ăn các thực phẩm giàu dinh dưỡng như rau củ, trái cây ít đường. Đặc biệt, cần tránh cho trẻ uống sữa hoặc nước ngọt vào ban đêm mà không vệ sinh răng sau đó.
Khám nha khoa định kỳ 6 tháng một lần là một biện pháp quan trọng để phát hiện và xử lý sớm các vấn đề răng miệng. Nha sĩ có thể phát hiện những lỗ sâu nhỏ mà mắt thường không thấy, từ đó đưa ra giải pháp kịp thời. Một mẹo nhỏ là cha mẹ có thể sử dụng bàn chải điện đầu nhỏ dành cho trẻ để làm sạch răng hàm hiệu quả hơn, đặc biệt với những trẻ chưa quen chải răng kỹ lưỡng.
:format(webp)/tre_bi_sau_rang_ham_co_moc_lai_khong_4_c70076fd4a.png)
Trên đây là lời giải đáp cho thắc mắc trẻ bị sâu răng hàm có mọc lại không mà bạn có thể tham khảo. Để bảo vệ sức khỏe răng miệng của trẻ, cha mẹ cần chú trọng phòng ngừa sâu răng từ sớm thông qua vệ sinh đúng cách, chế độ ăn uống khoa học và khám nha khoa định kỳ. Việc phát hiện và điều trị kịp thời sẽ giúp trẻ có một hàm răng khỏe mạnh, hỗ trợ sự phát triển toàn diện trong tương lai.
:format(webp)/470051785_8767135473405056_691967411107495592_n_6b2bbff755.png)
:format(webp)/467434554_545745841560409_1066418224364723785_n_560a494f9c.png)
:format(webp)/sau_rang_o_nguoi_lon_nguyen_nhan_dau_hieu_va_cach_dieu_tri_hieu_qua_1_55930877ac.png)
:format(webp)/rang_sau_bi_thoi_nguyen_nhan_dau_hieu_va_cach_xu_ly_dung_de_tranh_mat_rang_1_1ebf42eb57.png)
:format(webp)/rang_lay_tuy_co_bi_tieu_xuong_khong_1_5afc11fb27.png)
:format(webp)/sau_rang_nhe_danh_rang_co_het_khong_1_7346fdb8ef.png)
:format(webp)/tai_sao_sau_rang_lai_dau_ve_dem_1_5fc7f1eb6c.png)