Siêu âm ổ bụng là công cụ quan trọng trong việc tầm soát polyp túi mật, giúp phát hiện sớm những bất thường dù chưa có triệu chứng rõ ràng. Qua hình ảnh thu được, bác sĩ có thể phân biệt polyp lành tính hay nghi ngờ ác tính để có hướng theo dõi và xử trí kịp thời. Để hiểu hơn về tình trạng này, hãy cùng tìm hiểu ngay sau đây.
Vai trò của siêu âm ổ bụng polyp túi mật
Polyp túi mật là tổn thương dạng u nhú phát triển từ lớp niêm mạc túi mật, thường được phát hiện tình cờ trong quá trình thăm khám hình ảnh học. Trong số các phương pháp chẩn đoán hiện có, siêu âm ổ bụng đóng vai trò chủ lực trong việc phát hiện polyp túi mật nhờ tính sẵn có, không xâm lấn, chi phí thấp và khả năng đánh giá hình thái học tổn thương.

Siêu âm cho phép khảo sát toàn bộ cấu trúc của túi mật trong thời gian thực, dễ dàng nhận diện các tổn thương tăng âm nằm trong lòng túi mật. Kích thước polyp là yếu tố quan trọng được siêu âm xác định, có ý nghĩa trong phân loại nguy cơ ác tính và chỉ định can thiệp. Cụ thể, các polyp > 10 mm thường được xem là có nguy cơ cao và cần được chỉ định cắt túi mật.
Ngoài ra, siêu âm còn giúp phân biệt polyp thật với các tổn thương giả như sỏi nhỏ bám thành, bùn mật hoặc cholesterolosis. Điều này góp phần hạn chế chỉ định phẫu thuật không cần thiết. Độ nhạy và độ đặc hiệu của siêu âm trong chẩn đoán polyp túi mật thay đổi tùy thuộc vào kinh nghiệm người thực hiện, chất lượng máy móc và tình trạng người bệnh (ví dụ: Bụng chướng hơi, béo phì).
Tuy siêu âm ổ bụng là công cụ đầu tay, trong một số trường hợp nghi ngờ ác tính hoặc cần đánh giá chi tiết hơn, các kỹ thuật hình ảnh nâng cao như siêu âm nội soi (EUS), cộng hưởng từ mật tụy (MRCP) hoặc chụp cắt lớp vi tính (CT) có thể được chỉ định bổ sung.
Tóm lại, siêu âm phát hiện polyp túi mật là một bước quan trọng trong quy trình chẩn đoán và theo dõi bệnh lý túi mật. Việc khai thác tối ưu kỹ thuật này góp phần nâng cao hiệu quả điều trị, hạn chế biến chứng và cải thiện tiên lượng bệnh nhân.

Phân loại polyp túi mật và đặc điểm hình ảnh trên siêu âm
Dựa vào bản chất mô học, polyp được chia thành hai nhóm chính: Polyp giả (không tân sinh) và polyp thật (tân sinh). Việc phân loại này có ý nghĩa quan trọng trong tiên lượng và định hướng xử trí.
Polyp giả là loại thường gặp nhất, chiếm khoảng 60 - 90% tổng số trường hợp. Nhóm này bao gồm: Polyp cholesterol (phổ biến nhất), viêm giả u (inflammatory pseudopolyps), và tăng sản niêm mạc (adenomyomatosis). Các tổn thương này thường lành tính, không liên quan đến ung thư hóa.
Ngược lại, polyp thật gồm các tổn thương tân sinh như u tuyến (adenoma) và ung thư túi mật giai đoạn sớm. Mặc dù chiếm tỷ lệ nhỏ (< 10%), nhưng polyp thật có khả năng tiến triển ác tính, đặc biệt khi kích thước vượt quá 10 mm, không có cuống hoặc phát triển nhanh theo thời gian.
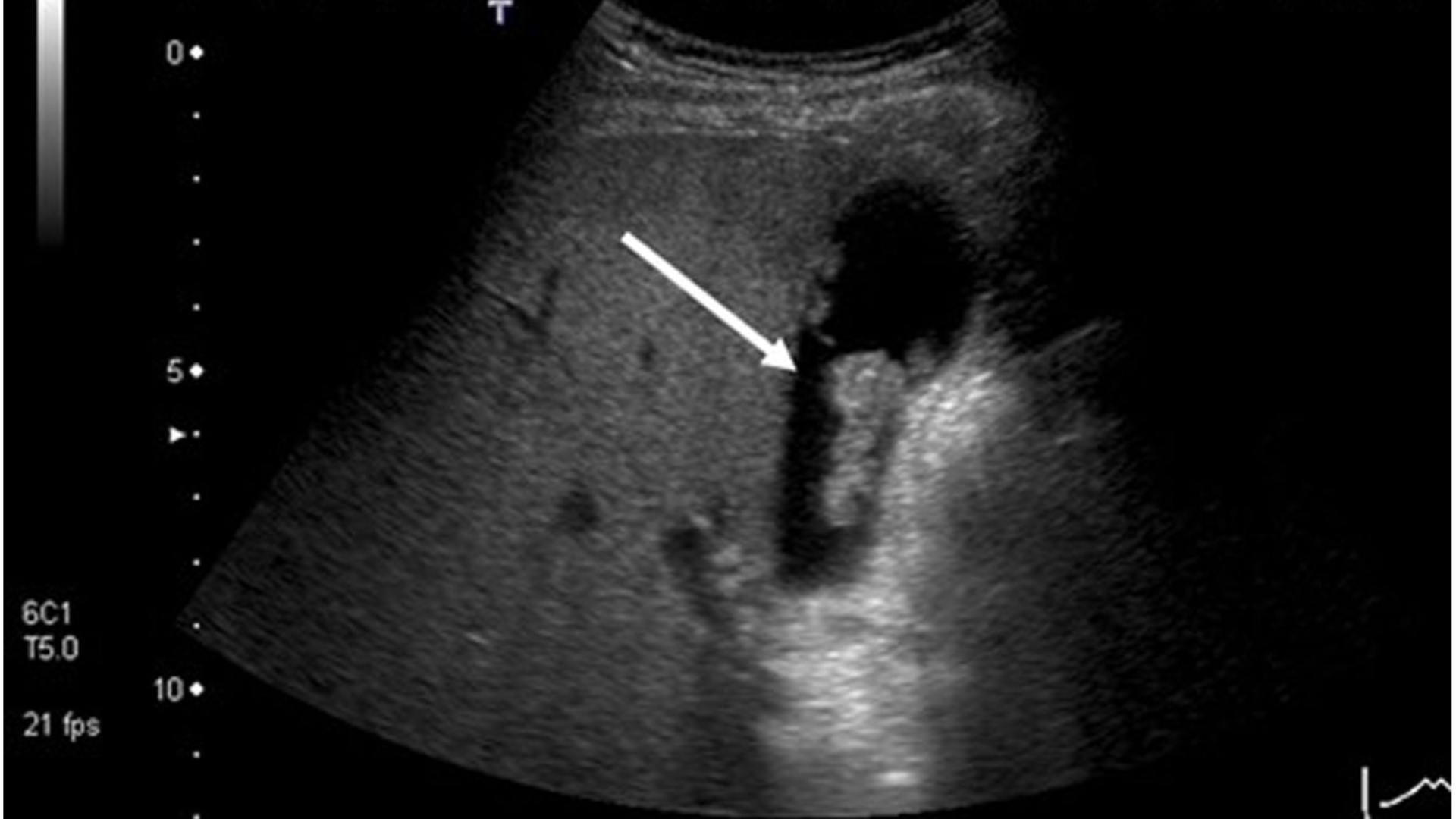
Trên siêu âm, polyp túi mật được mô tả là cấu trúc tăng âm nằm trong lòng túi mật, không tạo bóng lưng và không di động theo thay đổi tư thế, giúp phân biệt với sỏi mật. Polyp cholesterol thường nhỏ (< 10 mm), nhiều polyp, bờ đều, có cuống mảnh, không kèm dày thành túi mật. Trong khi đó, polyp thật có xu hướng đơn độc, kích thước lớn hơn, bờ không đều, và có thể gắn rộng vào thành túi mật.

Một số dấu hiệu nghi ngờ ác tính trên siêu âm bao gồm: Kích thước > 10 mm, phát triển nhanh, mất cuống, cấu trúc không đồng nhất, và kèm theo dấu hiệu dày thành bất thường. Tuy nhiên, phân biệt chính xác bằng siêu âm thông thường vẫn còn nhiều hạn chế, đặc biệt với tổn thương nhỏ hoặc ở vị trí khó quan sát.
Do đó, nhận diện đúng phân loại và đặc điểm hình ảnh của polyp túi mật trên siêu âm đóng vai trò then chốt trong quá trình theo dõi và quyết định điều trị phù hợp cho bệnh nhân.
Phương pháp xử trí polyp túi mật
Xử trí polyp túi mật phụ thuộc vào nhiều yếu tố, trong đó quan trọng nhất là kích thước, đặc điểm hình ảnh, triệu chứng lâm sàng và nguy cơ ác tính (bao gồm: Polyp đơn độc, không có cuống, bờ không đều, tăng kích thước nhanh, bệnh nhân > 50 tuổi, có tiền sử polyp đại tràng, mắc viêm xơ cứng đường mật nguyên phát - PSC hoặc kèm dày thành túi mật). Mục tiêu của xử trí là phân biệt các tổn thương lành tính không cần can thiệp với những trường hợp tiềm ẩn nguy cơ ung thư, nhằm tránh điều trị quá mức nhưng vẫn đảm bảo an toàn cho người bệnh.
Polyp có kích thước < 6 mm, không có triệu chứng và không kèm yếu tố nguy cơ ác tính: Theo dõi bảo tồn bằng siêu âm định kỳ mỗi 6 - 12 tháng trong 2 năm đầu. Nếu tổn thương không thay đổi về kích thước hoặc hình thái, có thể giãn khoảng cách theo dõi hoặc ngừng theo dõi tùy theo đánh giá của bác sĩ lâm sàng. Không cần can thiệp phẫu thuật nếu không có biểu hiện lâm sàng đáng lo ngại.

Polyp có kích thước từ 6 - 9 mm, không có yếu tố nguy cơ: Theo dõi chặt chẽ bằng siêu âm mỗi 6 tháng đến 1 năm. Vì đây là nhóm có nguy cơ trung bình, việc theo dõi cần kéo dài hơn 2 năm, và có thể cần đánh giá bằng các phương tiện hình ảnh nâng cao nếu có thay đổi trong quá trình theo dõi.
Polyp có kích thước từ 6 - 9 mm, kèm theo ít nhất một yếu tố nguy cơ ác tính: Cân nhắc chỉ định cắt túi mật sớm, đặc biệt ở những bệnh nhân có khả năng dung nạp phẫu thuật tốt. Siêu âm nội soi (EUS) có thể được sử dụng để đánh giá thêm tính chất tổn thương trước phẫu thuật.
Polyp có kích thước ≥ 10 mm, không triệu chứng: Chỉ định cắt túi mật được đặt ra ngay cả khi không có yếu tố nguy cơ kèm theo, vì tỷ lệ ác tính tăng rõ rệt từ ngưỡng kích thước này. Không nên trì hoãn can thiệp trong các trường hợp đủ điều kiện phẫu thuật.
Polyp có kích thước ≥ 20 mm: Coi là có nguy cơ ác tính rất cao. Cần tiến hành các xét nghiệm hình ảnh nâng cao như siêu âm nội soi (EUS) hoặc cộng hưởng từ mật tụy (MRCP/MRI) để đánh giá khả năng xâm lấn. Chỉ định phẫu thuật gần như tuyệt đối và cần được thực hiện sớm.
Polyp túi mật kèm triệu chứng lâm sàng: Nếu xuất hiện các triệu chứng như đau bụng vùng hạ sườn phải, đầy hơi, khó tiêu kéo dài hoặc phát hiện đồng thời với sỏi túi mật,... cắt túi mật là chỉ định được ưu tiên, bất kể kích thước polyp. Việc loại bỏ túi mật không chỉ điều trị triệu chứng mà còn loại trừ nguy cơ tiến triển của các tổn thương ác tính tiềm ẩn.

Polyp túi mật là một thực thể lâm sàng thường gặp và có thể tiềm ẩn nguy cơ tiến triển ác tính nếu không được phát hiện và xử trí kịp thời. Trong bối cảnh đó, siêu âm ổ bụng polyp túi mật đóng vai trò then chốt trong chẩn đoán sớm và theo dõi tổn thương. Việc hiểu rõ đặc điểm hình ảnh, phân loại mô học cũng như các yếu tố nguy cơ đi kèm sẽ giúp bác sĩ lâm sàng đưa ra quyết định điều trị hợp lý, cân bằng giữa theo dõi bảo tồn và can thiệp phẫu thuật.
:format(webp)/470051785_8767135473405056_691967411107495592_n_6b2bbff755.png)
:format(webp)/467434554_545745841560409_1066418224364723785_n_560a494f9c.png)
/xquang_xuong_ban_chan_y_nghia_quy_trinh_thuc_hien_va_nhung_dieu_can_biet_0_ea57112549.jpg)
/khi_nao_can_chup_xquang_khop_vai_va_mot_so_luu_y_ban_can_biet_0_e998400494.jpg)
/chup_x_quang_lung_bao_nhieu_tien_nhung_luu_y_truoc_khi_chup_x_quang_0_43392bde8a.jpg)
/chup_x_quang_khop_goi_vai_tro_chan_doan_va_nhung_dieu_can_biet_1_a865077101.jpg)
/chup_x_quang_nao_vai_tro_chi_dinh_va_luu_y_quan_trong_1_9ff84ec54e.jpg)