Các bệnh lý mạch máu não như phình mạch, hẹp mạch hay tắc mạch thường diễn tiến âm thầm nhưng có thể gây hậu quả nghiêm trọng như đột quỵ. Chụp CT mạch máu não là kỹ thuật giúp phát hiện sớm những bất thường này trong thời gian rất ngắn. Bài viết dưới đây sẽ giúp bạn hiểu rõ quy trình chụp CT mạch máu não và những điều cần biết trước, trong và sau khi thực hiện.
Chụp CT mạch máu não là gì?
Chụp CT mạch máu não là kỹ thuật chẩn đoán hình ảnh sử dụng tia X kết hợp với thuốc cản quang tiêm tĩnh mạch để khảo sát hệ thống mạch máu trong não. Phương pháp này cho phép quan sát chi tiết hình dạng, đường đi, kích thước lòng mạch và mức độ lưu thông của các động mạch và tĩnh mạch não.
So với CT não thường quy, CT mạch máu não cung cấp thông tin chuyên sâu hơn về hệ mạch, đặc biệt hữu ích trong việc phát hiện các bất thường mạch máu mà CT thường hoặc một số kỹ thuật khác khó đánh giá đầy đủ.

Chụp CT mạch máu não phát hiện được bệnh gì?
Chụp CT mạch máu não giúp đánh giá chi tiết hệ thống mạch máu trong não và phát hiện sớm nhiều bất thường nguy hiểm, bao gồm:
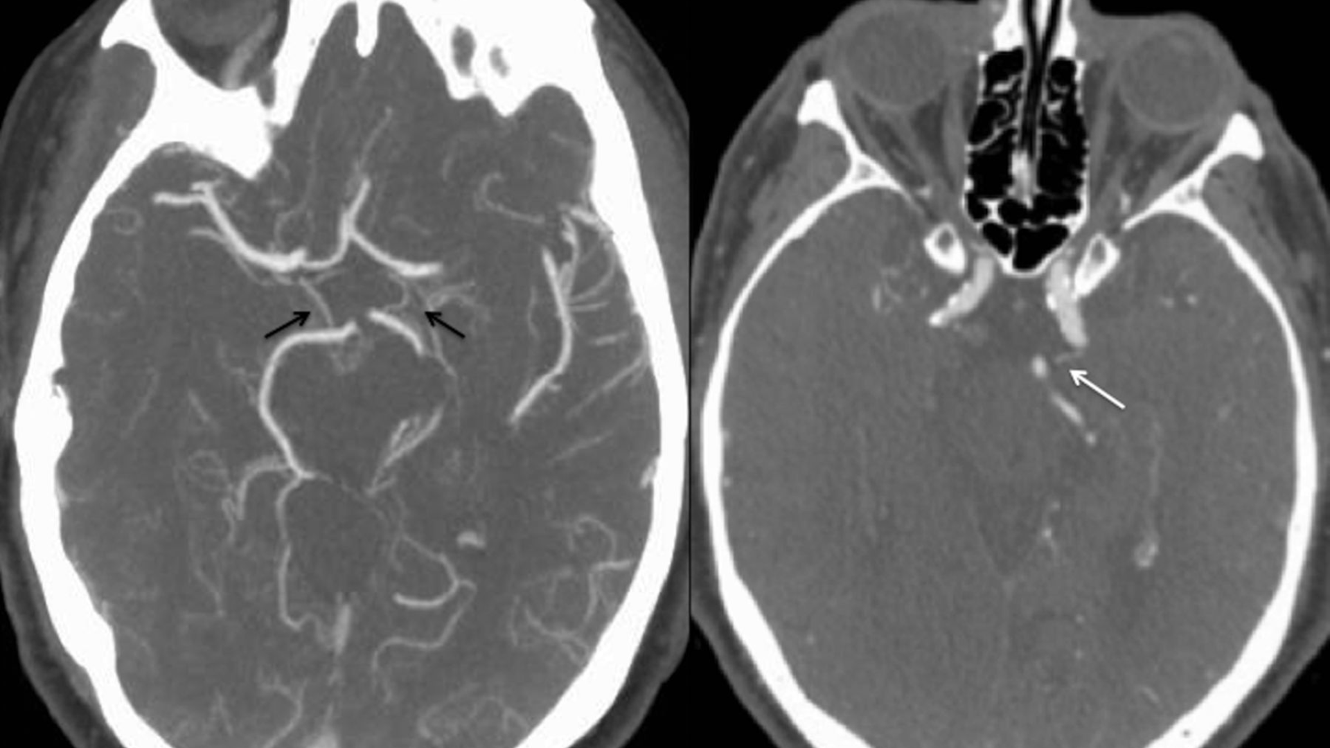
Phát hiện phình mạch não
CT mạch máu não giúp phát hiện túi phình mạch não, đánh giá chính xác kích thước, hình dạng và vị trí phình mạch. Đây là bệnh lý nguy hiểm vì phình mạch có nguy cơ vỡ gây xuất huyết não đột ngột, đe dọa tính mạng nếu không được phát hiện và xử trí kịp thời.
Phát hiện hẹp và tắc mạch máu não
Phương pháp này cho phép đánh giá mức độ hẹp hoặc tắc các động mạch não do xơ vữa, huyết khối hoặc co thắt mạch. Thông tin này rất quan trọng trong tiên lượng nguy cơ đột quỵ thiếu máu não và lựa chọn chiến lược điều trị phù hợp.
Phát hiện dị dạng mạch máu não
CT mạch máu não có thể phát hiện dị dạng động - tĩnh mạch não, giúp đánh giá cấu trúc bất thường của mạch máu, mức độ shunt và ảnh hưởng đến mô não xung quanh.

Đánh giá mạch máu trong đột quỵ não
Trong cấp cứu đột quỵ, CT mạch máu não giúp xác định nhanh vị trí tắc mạch lớn, mức độ tổn thương và khả năng can thiệp tái thông mạch, hỗ trợ bác sĩ đưa ra quyết định điều trị kịp thời.
Khi nào bác sĩ chỉ định chụp CT mạch máu não?
Bác sĩ có thể chỉ định chụp CT mạch máu não trong các trường hợp:
- Nghi ngờ phình mạch hoặc dị dạng mạch máu não.
- Đau đầu dữ dội, đột ngột, khác thường.
- Đánh giá nguyên nhân đột quỵ não.
- Nghi ngờ hẹp hoặc tắc động mạch não.
- Theo dõi sau can thiệp hoặc phẫu thuật mạch máu não.
- Đánh giá hệ mạch não trước phẫu thuật thần kinh.

Chụp CT mạch máu não có cần tiêm thuốc cản quang không?
Để hiểu rõ hơn về kỹ thuật này trước khi thực hiện, dưới đây là thông tin giải đáp thắc mắc chụp CT mạch máu não có cần tiêm thuốc cản quang không:
Vai trò bắt buộc của thuốc cản quang
Chụp CT mạch máu não bắt buộc phải sử dụng thuốc cản quang để làm rõ hệ thống mạch máu. Nhờ thuốc cản quang, hình ảnh mạch máu hiện rõ trên phim CT, giúp bác sĩ đánh giá chính xác các bất thường về cấu trúc và lưu thông.
Độ an toàn của thuốc cản quang
Thuốc cản quang hiện nay được sử dụng phổ biến và tương đối an toàn. Một số người có thể cảm thấy nóng bừng, buồn nôn nhẹ hoặc vị kim loại trong miệng khi tiêm, các triệu chứng này thường thoáng qua. Phản ứng nghiêm trọng rất hiếm gặp và được hạn chế bằng việc sàng lọc kỹ trước khi chụp.
Quy trình chụp CT mạch máu não diễn ra như thế nào?
Để giúp người bệnh nắm rõ các bước thực hiện và chuẩn bị tốt hơn, dưới đây là quy trình chụp CT mạch máu não thường được tiến hành tại cơ sở y tế:
Chuẩn bị trước khi chụp CT mạch máu não
Người bệnh thường được yêu cầu nhịn ăn từ 4 đến 6 giờ trước khi chụp để giảm nguy cơ buồn nôn khi tiêm thuốc cản quang. Bác sĩ sẽ hỏi kỹ về tiền sử dị ứng thuốc, bệnh thận, bệnh tim mạch, đái tháo đường hoặc tình trạng mang thai.
Ngoài ra, người bệnh cần tháo bỏ các vật dụng kim loại vùng đầu - cổ như kẹp tóc, trang sức hoặc răng giả tháo lắp để tránh gây nhiễu hình ảnh.
Thực hiện chụp CT mạch máu não
Người bệnh nằm ngửa trên bàn chụp, đầu được cố định nhẹ nhằm hạn chế cử động. Thuốc cản quang được tiêm qua đường tĩnh mạch, đồng thời máy CT tiến hành quét nhanh vùng đầu để thu nhận hình ảnh mạch máu não.
Trong quá trình chụp, người bệnh cần nằm yên và có thể được yêu cầu nín thở trong vài giây. Toàn bộ quá trình thường chỉ kéo dài vài phút.

Sau khi chụp CT mạch máu não
Sau chụp, người bệnh có thể sinh hoạt bình thường. Nên uống nhiều nước trong 24 giờ tiếp theo để hỗ trợ đào thải thuốc cản quang. Một số cơ sở y tế sẽ theo dõi người bệnh trong thời gian ngắn để phát hiện sớm các phản ứng không mong muốn.
Những điều cần biết trước khi chụp CT mạch máu não
Để đảm bảo an toàn và thu được hình ảnh chẩn đoán chính xác, người bệnh cần nắm rõ một số thông tin quan trọng trước khi chụp CT mạch máu não như sau:
Tuân thủ nhịn ăn đúng hướng dẫn
Nhịn ăn giúp giảm nguy cơ buồn nôn và đảm bảo an toàn khi tiêm thuốc cản quang. Người bệnh không nên tự ý ăn uống trước khi chụp nếu chưa được hướng dẫn cụ thể.
Khai báo đầy đủ tiền sử bệnh
Thông tin về dị ứng thuốc cản quang, bệnh thận, đái tháo đường hoặc mang thai có vai trò rất quan trọng trong việc đảm bảo an toàn và lựa chọn phương án chụp phù hợp.
Chuẩn bị tâm lý thoải mái
Chụp CT mạch máu não là thủ thuật nhanh, không đau và không xâm lấn. Việc giữ tâm lý thoải mái giúp quá trình chụp diễn ra thuận lợi và chính xác hơn.
Chụp CT mạch máu não có nguy hiểm không?
CT mạch máu não được đánh giá là an toàn khi thực hiện đúng chỉ định y khoa. Liều tia X sử dụng nằm trong giới hạn cho phép và được kiểm soát chặt chẽ. Lợi ích phát hiện sớm các bệnh lý mạch máu não nguy hiểm thường vượt trội so với nguy cơ phơi nhiễm bức xạ.
Tuy nhiên, phụ nữ mang thai cần đặc biệt thận trọng và chỉ nên chụp khi thật sự cần thiết theo chỉ định của bác sĩ.

CT mạch máu não khác gì MRI mạch máu não?
CT mạch máu não có ưu điểm là thời gian thực hiện nhanh, phù hợp trong các tình huống cấp cứu như đột quỵ. MRI mạch máu não không sử dụng tia X và cho hình ảnh mô mềm tốt hơn, nhưng thời gian chụp lâu hơn và không phù hợp trong một số trường hợp khẩn cấp. Hai phương pháp này thường bổ sung cho nhau tùy theo mục tiêu chẩn đoán.
Chụp CT mạch máu não là phương pháp chẩn đoán hình ảnh hiện đại, giúp phát hiện sớm và đánh giá chính xác nhiều bệnh lý mạch máu não nguy hiểm như phình mạch, hẹp mạch hay tắc mạch. Việc hiểu rõ quy trình thực hiện và những điều cần biết trước khi chụp sẽ giúp người bệnh chuẩn bị tốt hơn, yên tâm hơn và phối hợp hiệu quả với bác sĩ, từ đó góp phần nâng cao hiệu quả chẩn đoán và điều trị.
:format(webp)/470051785_8767135473405056_691967411107495592_n_6b2bbff755.png)
:format(webp)/467434554_545745841560409_1066418224364723785_n_560a494f9c.png)
/chup_mri_la_gi_nhung_luu_y_quan_trong_truoc_va_sau_khi_chup_1_ed4f8ba52e.png)
/chup_oct_mat_bao_nhieu_tien_nhung_yeu_to_anh_huong_den_chi_phi_4_a7f860ed97.png)
/chup_oct_mat_la_gi_quy_trinh_chup_va_nhung_dieu_can_biet_3_def17bf832.png)
/chup_ct_dai_trang_quy_trinh_thuc_hien_va_luu_y_quan_trong_5_19a8eaa7e4.png)
/chup_ct_phoi_co_hai_khong_ai_nen_va_khong_nen_chup_5_944f3fd667.png)