Không ít người tình cờ sờ thấy vùng đầu bị lõm hoặc nhận ra hình dạng hộp sọ thay đổi theo thời gian. Khác với trẻ nhỏ, lõm đầu ở người lớn không còn là hiện tượng sinh lý và có thể liên quan đến chấn thương, bệnh lý xương sọ hoặc rối loạn chuyển hóa. Bài viết dưới đây sẽ giúp bạn hiểu rõ bản chất hiện tượng lõm đầu ở người lớn, mức độ nguy hiểm và hướng xử trí phù hợp.
Hiện tượng lõm đầu ở người lớn là gì?
Lõm đầu ở người lớn là tình trạng một vùng trên hộp sọ bị trũng xuống so với bề mặt xung quanh, có thể sờ thấy bằng tay hoặc nhìn thấy bằng mắt thường. Vị trí lõm có thể xuất hiện ở trán, đỉnh đầu, vùng thái dương hoặc vùng chẩm phía sau.
Ở người trưởng thành, các khớp sọ đã đóng hoàn toàn và xương sọ có độ cứng cao. Vì vậy, bất kỳ sự thay đổi hình dạng nào của hộp sọ đều cần được xem xét kỹ, đặc biệt khi xuất hiện mới hoặc tiến triển theo thời gian.

Hiện tượng lõm đầu ở người lớn có nguy hiểm không?
Mức độ nguy hiểm của hiện tượng lõm đầu phụ thuộc vào nhiều yếu tố:
- Nguyên nhân gây lõm;
- Kích thước và độ sâu vùng lõm;
- Tốc độ xuất hiện;
- Các triệu chứng thần kinh đi kèm.
Trong một số trường hợp, lõm đầu chỉ là biến đổi hình thái xương lành tính và không ảnh hưởng đến não. Tuy nhiên, cũng có trường hợp liên quan đến lún xương sọ, tổn thương não bên dưới hoặc bệnh lý tiêu xương, có thể gây biến chứng nếu không được chẩn đoán kịp thời.
Nguyên nhân gây hiện tượng lõm đầu ở người lớn
Hiện tượng lõm đầu ở người lớn có thể xuất phát từ nhiều nguyên nhân khác nhau, bao gồm:
Chấn thương vùng đầu
Đây là nguyên nhân phổ biến nhất. Sau tai nạn giao thông, té ngã, va đập mạnh hoặc chấn thương thể thao, xương sọ có thể bị lún hoặc nứt, tạo thành vùng lõm. Một số trường hợp chấn thương không gây đau nhiều hoặc không có triệu chứng rõ ràng ban đầu, nên người bệnh dễ bỏ qua.
Lõm đầu do chấn thương có thể đi kèm:
- Tụ máu ngoài hoặc trong sọ;
- Dập não;
- Nứt xương sọ.
Do đó, cần được đánh giá bằng chẩn đoán hình ảnh.

Di chứng sau phẫu thuật sọ não
Người từng phẫu thuật sọ não, mở sọ giải áp hoặc lấy khối u não có thể thấy vùng đầu bị lõm tại vị trí can thiệp. Đây là hậu quả của việc lấy bỏ một phần xương sọ hoặc thay đổi áp lực nội sọ sau mổ.
Trong nhiều trường hợp, đây là tình trạng đã được bác sĩ dự liệu trước, nhưng vẫn cần theo dõi lâu dài để tránh biến chứng.
Bệnh lý tiêu xương hoặc loãng xương nặng
Loãng xương nặng hoặc rối loạn chuyển hóa canxi - vitamin D kéo dài có thể làm xương sọ mỏng dần. Quá trình tiêu xương diễn ra chậm nhưng có thể dẫn đến lõm đầu khu trú theo thời gian.
Những trường hợp này thường gặp ở người lớn tuổi, người suy dinh dưỡng, hoặc người mắc bệnh nội tiết mạn tính.
U xương sọ hoặc tổn thương ác tính
U lành tính hoặc ác tính của xương sọ có thể gây phá hủy cấu trúc xương, dẫn đến vùng lõm bất thường. Một số khối u tiến triển âm thầm, không gây đau, chỉ được phát hiện khi thấy biến dạng đầu.
Đây là nhóm nguyên nhân cần đặc biệt lưu ý vì có thể ảnh hưởng trực tiếp đến não.
Viêm hoặc nhiễm trùng xương sọ
Nhiễm trùng xương sọ mạn tính, đặc biệt sau chấn thương hoặc phẫu thuật, có thể làm tiêu xương khu trú, gây lõm đầu. Dù hiếm gặp, nhưng nếu không điều trị kịp thời có thể lan rộng và gây biến chứng nguy hiểm.
Những dấu hiệu cảnh báo không nên bỏ qua
Người lớn có hiện tượng lõm đầu cần đi khám sớm nếu kèm theo:
- Lõm đầu xuất hiện nhanh hoặc ngày càng rõ;
- Đau đầu kéo dài, tăng dần;
- Chóng mặt, buồn nôn, nôn;
- Rối loạn thị giác, nói khó;
- Yếu liệt tay chân, tê bì;
- Co giật hoặc rối loạn ý thức;
- Tiền sử chấn thương đầu hoặc phẫu thuật sọ não.
Những dấu hiệu này có thể gợi ý tổn thương sâu cần can thiệp y tế sớm.

Cách chẩn đoán hiện tượng lõm đầu ở người lớn
Để xác định chính xác nguyên nhân và mức độ ảnh hưởng, bác sĩ sẽ thực hiện các bước sau trong quá trình chẩn đoán hiện tượng lõm đầu ở người lớn:
Khám lâm sàng
Bác sĩ sẽ đánh giá:
- Vị trí và kích thước vùng lõm;
- Độ cứng của xương tại vị trí lõm;
- Dấu hiệu thần kinh kèm theo;
- Tiền sử chấn thương, phẫu thuật hoặc bệnh lý nền.
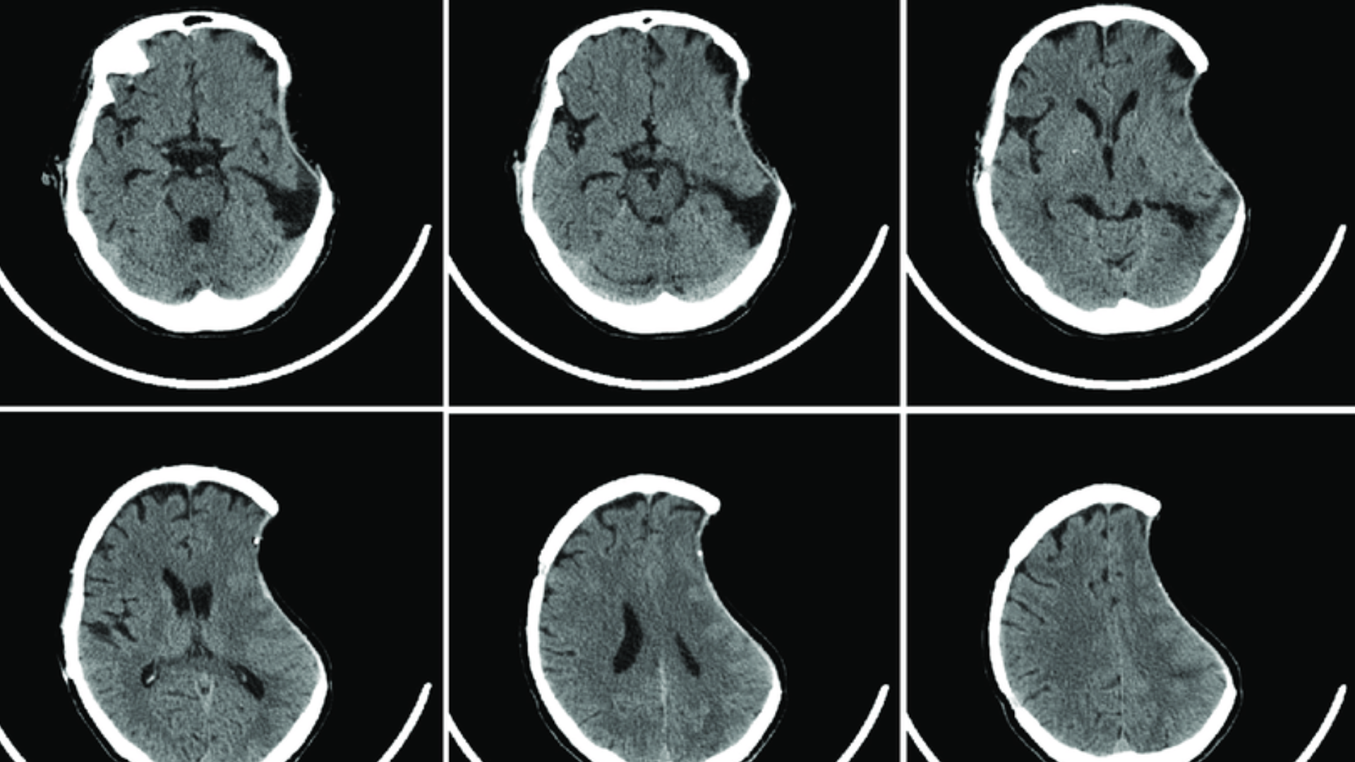
Chẩn đoán hình ảnh
Các phương pháp thường được chỉ định gồm:
- CT sọ não: Đánh giá cấu trúc xương, phát hiện lún hoặc tiêu xương.
- MRI sọ não: Đánh giá mô não bên dưới nếu nghi ngờ tổn thương thần kinh.
Những kỹ thuật này giúp xác định chính xác nguyên nhân và mức độ nguy hiểm.

Hiện tượng lõm đầu ở người lớn có điều trị được không?
Việc điều trị phụ thuộc hoàn toàn vào nguyên nhân:
- Lõm đầu do chấn thương nhẹ, không tổn thương não: Theo dõi định kỳ;
- Lún xương sọ rõ rệt: Có thể cần phẫu thuật chỉnh hình xương;
- Lõm đầu do bệnh lý xương: Điều trị nguyên nhân nền, bổ sung vi chất, theo dõi tiến triển;
- U xương hoặc tổn thương ác tính: Điều trị chuyên khoa, có thể cần phẫu thuật hoặc điều trị phối hợp;
- Di chứng sau phẫu thuật: Cân nhắc phục hồi xương sọ nếu ảnh hưởng chức năng hoặc thẩm mỹ.
Không phải mọi trường hợp đều cần can thiệp, nhưng tuyệt đối không nên tự điều trị tại nhà.
Có nên tự xoa bóp hoặc nắn vùng đầu bị lõm không?
Người bệnh không nên tự ý xoa bóp, day ấn hoặc nắn chỉnh vùng đầu bị lõm. Việc này có thể:
- Làm nặng thêm tổn thương xương;
- Gây ảnh hưởng mô não bên dưới;
- Che lấp triệu chứng khiến chẩn đoán muộn.

Theo dõi lâu dài và phòng ngừa biến chứng
Người đã được chẩn đoán lõm đầu cần:
- Tái khám định kỳ theo chỉ định;
- Theo dõi sự thay đổi kích thước vùng lõm;
- Tránh chấn thương vùng đầu;
- Điều trị tốt các bệnh lý nền về xương và chuyển hóa.
Việc theo dõi đúng giúp phát hiện sớm biến chứng và giảm nguy cơ can thiệp phẫu thuật.
Khi nào cần đi khám bác sĩ?
Người lớn nên đi khám ngay khi:
- Phát hiện vùng đầu bị lõm bất thường;
- Có tiền sử chấn thương đầu dù đã lâu;
- Lõm đầu kèm triệu chứng thần kinh;
- Lõm đầu tiến triển theo thời gian.
Hiện tượng lõm đầu ở người lớn không phải là biểu hiện sinh lý bình thường và có thể liên quan đến chấn thương hoặc các bệnh lý xương sọ tiềm ẩn. Mức độ nguy hiểm phụ thuộc vào nguyên nhân và triệu chứng đi kèm. Khi phát hiện vùng đầu bị lõm, người bệnh không nên chủ quan mà cần thăm khám y tế để được chẩn đoán chính xác và có hướng xử trí phù hợp, nhằm bảo vệ an toàn cho não bộ và sức khỏe lâu dài.
:format(webp)/470051785_8767135473405056_691967411107495592_n_6b2bbff755.png)
:format(webp)/467434554_545745841560409_1066418224364723785_n_560a494f9c.png)
/nghe_phoi_cach_nhan_biet_som_benh_ho_hap_qua_am_thanh_1_23c687964a.jpg)
/chuot_rut_ngon_chan_dau_hieu_canh_bao_suc_khoe_khong_nen_xem_nhe_1_f3560c8e19.png)
/chuot_rut_bap_chan_nguyen_nhan_dau_hieu_va_cach_xu_ly_hieu_qua_1_e6fed81fa7.png)
/do_p_h_trong_co_the_nguoi_la_bao_nhieu_va_anh_huong_den_suc_khoe_nhu_the_nao_3_3b0e5a2040.png)
/duong_vat_co_xuong_khong_cau_tao_duong_vat_co_che_cuong_duong_va_su_that_it_ai_biet_4920d0b1e9.jpg)